圈套器品牌有哪些品牌技术 | 肛门保卫战—ESD手术带来福音

新闻资讯2026-04-26 02:55:22

圈套器品牌有哪些品牌技术 | 肛门保卫战—ESD手术带来福音_https://www.jmylbn.com_新闻资讯_第1张



圈套器品牌有哪些品牌技术 | 肛门保卫战—ESD手术带来福音_https://www.jmylbn.com_新闻资讯_第2张


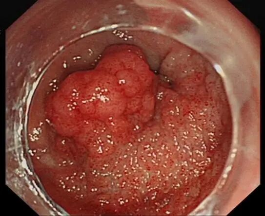
近日,患者温大爷因反复无痛性便血伴肛门肿物脱出半年就诊外院,行结肠镜检查发现其直肠距肛门4cm以上可见环周2/3生长的形状不规则新生物,大小约11cm*8cm,立即行活检病理回报管状-绒毛状腺瘤伴有高级别上皮内瘤变,此属癌前病变,应尽快切除。


温大爷心急如焚

对自己的病情和接下来的治疗方案

非常担心


圈套器品牌有哪些品牌技术 | 肛门保卫战—ESD手术带来福音_https://www.jmylbn.com_新闻资讯_第3张
圈套器品牌有哪些品牌技术 | 肛门保卫战—ESD手术带来福音_https://www.jmylbn.com_新闻资讯_第4张


圈套器品牌有哪些品牌技术 | 肛门保卫战—ESD手术带来福音_https://www.jmylbn.com_新闻资讯_第5张

在为温大爷完善了增强MR检查后,对温大爷的病情细致分析。认为肿瘤面积大,如果使用普通的内镜下息肉切除术,很可能无法清除彻底,留下复发的祸根;另外肿瘤离肛门比较近,如果采取传统外科手术,需切除部分肠段,后期可能存在肠瘘、出血、肠道狭窄,梗阻等风险,不仅无法保住肛门,且不利于术后恢复,以后生活质量会大大下降,温大爷需要承受更多的痛苦。

根据温大爷的病情,结合各项辅助检查,温大爷转诊至赣州市第五人民医院肝病科消化肝病区行“内镜下粘膜下剥离术(简称ESD)”,不开刀清除“肿瘤”。

圈套器品牌有哪些品牌技术 | 肛门保卫战—ESD手术带来福音_https://www.jmylbn.com_新闻资讯_第6张
圈套器品牌有哪些品牌技术 | 肛门保卫战—ESD手术带来福音_https://www.jmylbn.com_新闻资讯_第7张

定下治疗方案

圈套器品牌有哪些品牌技术 | 肛门保卫战—ESD手术带来福音_https://www.jmylbn.com_新闻资讯_第8张



内镜下不开刀“切肿瘤”


圈套器品牌有哪些品牌技术 | 肛门保卫战—ESD手术带来福音_https://www.jmylbn.com_新闻资讯_第2张

经过数小时的努力,手术过程顺利,肿瘤被完整切除,切下来的组织送检后发现病变部分已进展至癌,为早期直肠癌。术后温大爷恢复良好,已能正常进食,并顺利出院。

圈套器品牌有哪些品牌技术 | 肛门保卫战—ESD手术带来福音_https://www.jmylbn.com_新闻资讯_第10张




圈套器品牌有哪些品牌技术 | 肛门保卫战—ESD手术带来福音_https://www.jmylbn.com_新闻资讯_第11张

瘤体ESD术

切除中

圈套器品牌有哪些品牌技术 | 肛门保卫战—ESD手术带来福音_https://www.jmylbn.com_新闻资讯_第12张

手术顺利

完整切下瘤体

圈套器品牌有哪些品牌技术 | 肛门保卫战—ESD手术带来福音_https://www.jmylbn.com_新闻资讯_第13张

(术后病理)


一个月后温大爷返院复查

再次安排了结肠镜检查

圈套器品牌有哪些品牌技术 | 肛门保卫战—ESD手术带来福音_https://www.jmylbn.com_新闻资讯_第14张
圈套器品牌有哪些品牌技术 | 肛门保卫战—ESD手术带来福音_https://www.jmylbn.com_新闻资讯_第15张



可见术口愈合良好

一枚钛夹残留,旁见增生物

圈套器切除后送检

病理回报为炎性息肉,未见癌灶。


圈套器品牌有哪些品牌技术 | 肛门保卫战—ESD手术带来福音_https://www.jmylbn.com_新闻资讯_第16张


ESD术

成功为温大爷避免了

“开刀”而治愈了肿瘤

圈套器品牌有哪些品牌技术 | 肛门保卫战—ESD手术带来福音_https://www.jmylbn.com_新闻资讯_第17张



圈套器品牌有哪些品牌技术 | 肛门保卫战—ESD手术带来福音_https://www.jmylbn.com_新闻资讯_第18张

什么是内镜下粘膜剥离术(ESD)?

内镜黏膜下剥离术(ESD术)是在内镜下黏膜切除术(EMR)基础上发展而来的新技术, 治疗主要针对早期消化道癌和癌前病变。通过ESD术可完整地切除病变,达到根治消化道肿瘤的效果,将癌症扼杀在萌芽状态。




圈套器品牌有哪些品牌技术 | 肛门保卫战—ESD手术带来福音_https://www.jmylbn.com_新闻资讯_第18张

ESD的优点

ESD全称内镜黏膜下剥离术,可以让更多的消化道息肉、早癌能够在内镜下一次性完整切除,达到外科手术治愈水平,免除开腹手术的痛苦。

相比于外科手术治疗,该治疗具有不改变消化道解剖结构、不开刀、体表无创口、创伤小、出血少、恢复快、术后并发症少、不影响患者术后生活质量等优势,是近年来国际上最新兴起的内窥镜下微创治疗手段之一。其中重点在于人群的早期肿瘤的筛查。早发现、早治疗。

ESD是我院消化内科目前常规治疗的技术,为很多患者行微创切除病变,解除病痛,预后良好,大大提高了术后生活质量。




圈套器品牌有哪些品牌技术 | 肛门保卫战—ESD手术带来福音_https://www.jmylbn.com_新闻资讯_第18张

ESD的适应症

消化道早癌:通过放大内镜、超声等检查方法,确定肿瘤局限在黏膜层及没有淋巴结转移的黏膜下层,ESD术切除肿瘤可以达到外科手术同样的治疗效果。

巨大平坦息肉:超过2cm的息肉尤其是平坦息肉,建议ESD治疗,一次性完整切除病变。

黏膜下肿瘤:经超声内镜诊断的脂肪瘤、间质瘤、类癌等黏膜下病变,ESD可以完整剥离病变。




圈套器品牌有哪些品牌技术 | 肛门保卫战—ESD手术带来福音_https://www.jmylbn.com_新闻资讯_第18张

哪些人需要结肠镜检查?

以下人群需要尽快做结肠镜诊治:

①40-45岁以上的普通人群。无论男女,均应做一次结肠镜检查。如有阳性发现(溃疡、息肉等),在做完治疗后均应定期复查。

②有不良生活习惯:抽烟、喝酒、饮食不规律或暴饮暴食或大鱼大肉,喜吃腌制食品和烧烤,工作压力大、经常熬夜。

③结肠癌、直肠癌家族史的人群可将初检年龄提前到40岁甚至35岁。

④出现肠道不适,可表现为下腹痛,大便习惯与性状的改变,比如每天排便一次变为排便多次,或者便秘、便稀、便血、鼻涕状黏液血便等。

⑤正常体检时发现CEA、CA199、CA724等消化道肿瘤标志物升高,需要尽快做结肠镜以进一步排查。




圈套器品牌有哪些品牌技术 | 肛门保卫战—ESD手术带来福音_https://www.jmylbn.com_新闻资讯_第22张

科室简介

圈套器品牌有哪些品牌技术 | 肛门保卫战—ESD手术带来福音_https://www.jmylbn.com_新闻资讯_第23张


赣州市第五人民医院消化肝病区系海峡两岸医药卫生交流协会消化内镜学分会消化道出血学组副组长单位。开展各种肝病、消化系统疾病诊治及内镜下诊疗技术,尤其在肝硬化相关并发症:顽固性腹水、消化道出血治疗、肝功能衰竭、人工肝等方面有丰富经验。在国内首批独立开展内镜下食管胃静脉曲张精准断流术(ESVD),采取个体化诊疗方案治疗全消化道出血:溃疡出血、食管胃静脉曲张、异位静脉曲张、血管畸形出血、肿瘤出血。并开设“痔病专科门诊”针对内痔、外痔、混合痔,于国内先行开展微创、无痛、快速康复“内镜下痔微创手术(ERBL、硬化)”,并于全国率先开展整合微创治疗。并同期向全国同道推广、传授改技术,水平国内领先。针对临床常见疾病胃食管反流病(GERD),率先于国内开展经口内镜下贲门缩窄术(PECC)、内镜下抗反流黏膜切除术(ARMS);同时开展早期消化道肿瘤内镜粘膜下剥离术(ESD)、胃肠息肉内镜粘膜切除术(EMR);贲门失迟缓POEM术、内镜粘膜下肿瘤挖除术 (ESE) ;食管胃肠狭窄扩张及支架置入等内镜手术。




专家简介

圈套器品牌有哪些品牌技术 | 肛门保卫战—ESD手术带来福音_https://www.jmylbn.com_新闻资讯_第24张

圈套器品牌有哪些品牌技术 | 肛门保卫战—ESD手术带来福音_https://www.jmylbn.com_新闻资讯_第25张


圈套器品牌有哪些品牌技术 | 肛门保卫战—ESD手术带来福音_https://www.jmylbn.com_新闻资讯_第26张

圈套器品牌有哪些品牌技术 | 肛门保卫战—ESD手术带来福音_https://www.jmylbn.com_新闻资讯_第27张

圈套器品牌有哪些品牌技术 | 肛门保卫战—ESD手术带来福音_https://www.jmylbn.com_新闻资讯_第28张