国产的医用ct有哪些国产“双”光子CT横空出世!国产超高端CT的“王炸”来了!

新闻资讯2026-04-26 02:46:40

国产的医用ct有哪些国产“双”光子CT横空出世!国产超高端CT的“王炸”来了!_https://www.jmylbn.com_新闻资讯_第1张

国产的医用ct有哪些国产“双”光子CT横空出世!国产超高端CT的“王炸”来了!_https://www.jmylbn.com_新闻资讯_第2张



2025年4月8日,第91届中国国际医疗器械博览会(CMEF)在上海国家会展中心盛大开幕。作为国产高端医疗影像设备的领军者,东软医疗携多款创新产品震撼登场,其中光子计数CT16cm超高清螺旋CT成为展会焦点。这两款产品不仅展示了东软医疗在技术创新上的巅峰实力,更为精准医疗和低剂量筛查树立了全新标杆。


国产的医用ct有哪些国产“双”光子CT横空出世!国产超高端CT的“王炸”来了!_https://www.jmylbn.com_新闻资讯_第3张 

光子计数CT:
重塑CT技术边界,开启“光子时代”


光子计数CT(Photon-Counting CT,PCCT)作为下一代CT技术的核心方向,长期被视为“技术无人区”。东软医疗凭借十年技术攻坚,成功突破光子计数探测器、全流程能谱成像等核心技术,让中国成为全球第三个掌握该技术的国家



颠覆性技术突破


光子计数CT通过直接捕获单个X射线光子信号,彻底颠覆传统CT能量积分探测器的物理极限。这一技术实现了辐射剂量、空间分辨率和物质识别能力的跨越式提升。根据国际权威期刊《Investigative Radiology》的研究,光子计数CT在肺癌筛查中,平均辐射剂量(CTDIvol)仅为0.11 mGy,较传统低剂量CT(0.65 mGy)下降83%,同时保持94%的肺结节检测灵敏度。目前进口的光子计数CT在国内可以说“一路繁花”,有媒体将之形容为“击穿中国市场”般的存在,但东软医疗国产自研或将改变这一格局。



AI赋能光子CT的全流程进化


东软医疗将AI技术深度嵌入光子计数CT的全生命周期,创造性地融合碲锌镉(CZT)探测器与深度学习重建算法,实现了“零”电子噪声,一次扫描即可获得多个能量的图像。这一技术突破,使设备在低辐射剂量、低造影剂模式下仍能实现高清成像,为心血管、肿瘤等重大慢病的早期诊断带来了质的飞跃。


国产的医用ct有哪些国产“双”光子CT横空出世!国产超高端CT的“王炸”来了!_https://www.jmylbn.com_新闻资讯_第4张 

东软医疗16cm超高清螺旋CT(准光子):
开启超高清成像新纪元


在CMEF上,东软医疗重磅发布了另外一款超高端CT:NeuViz Epoch Elite无极系列CT——16cm超高清螺旋CT,将成为国产CT的又一里程碑式产品,以无与伦比的46.5lp/cm超高空间分辨率,开启了CT超高清成像新纪元。


国产的医用ct有哪些国产“双”光子CT横空出世!国产超高端CT的“王炸”来了!_https://www.jmylbn.com_新闻资讯_第5张 


超高清图像质量

NeuViz Epoch Elite搭载东软医疗全新自主研发的UHD超薄精雕探测器,通过钻石级切割工艺,实现业内最薄的0.156mm采集层厚,颠覆性的设计引领了行业发展,从源头提升对于微小病灶的检出能力。其最高空间分辨率46.5lp/cm,提供媲美光子计数CT的图像质量。


国产的医用ct有哪些国产“双”光子CT横空出世!国产超高端CT的“王炸”来了!_https://www.jmylbn.com_新闻资讯_第6张 


16cm螺旋扫描技术

弧面等焦探测器设计,从源头避免锥形束伪影,实现16cm轴扫+16cm螺旋扫描全覆盖,大幅提升全身检查效率,改善图像质量。



0.239s高转速

搭载航空级超音速平台,实现0.239s超高机架转速,结合16cm宽体覆盖探测器及第三代冠脉运动伪影校正技术,使设备的最高时间分辨率可达19ms,轻松应对各类复杂冠脉病变检查。


当前,NeuViz Epoch Elite无极系列CT已经在国内多家知名三甲医院进行了临床患者扫描,光说不练假把式,这台高端CT多牛,我们一起来看看它在多系统领域的扫描效果吧~


心脑血管疾病领域



山东大学齐鲁医院已将NeuViz Epoch Elite应用于复杂心脑血管病变的临床诊断中。院方表示:“这款设备的高时间分辨率和宽体探测器设计,使我们能够轻松应对复杂心律患者的检查,显著提升了诊断效率和准确性。”


国产的医用ct有哪些国产“双”光子CT横空出世!国产超高端CT的“王炸”来了!_https://www.jmylbn.com_新闻资讯_第7张
国产的医用ct有哪些国产“双”光子CT横空出世!国产超高端CT的“王炸”来了!_https://www.jmylbn.com_新闻资讯_第8张

图 冠脉CTA扫描曲面重建(CPR)显示:前降支及左回旋支血管壁多发钙化斑块


冠脉CTA在检测冠脉钙化斑块方面具有极高的敏感性,能够为冠心病的诊断和治疗提供重要信息,图像可见左前降支近段血管壁钙化斑块,NeuViz Epoch Elite超高清扫描可更精细的显示斑块的形态、密度、分布,为动脉粥样硬化进展监测和血运重建策略提供关键依据。


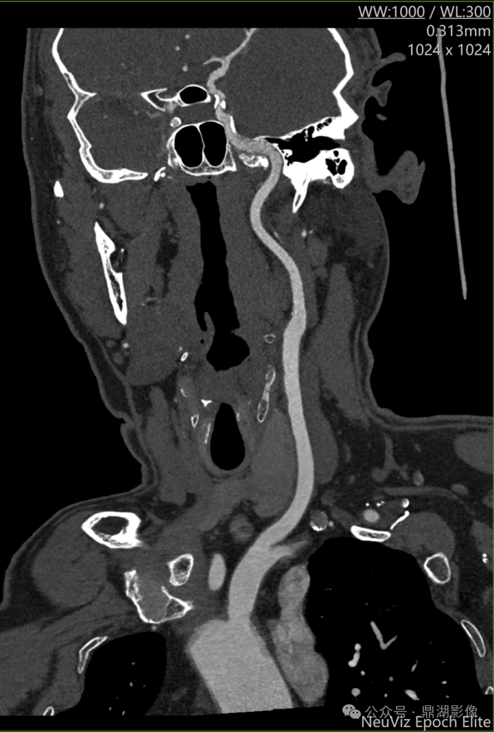
国产的医用ct有哪些国产“双”光子CT横空出世!国产超高端CT的“王炸”来了!_https://www.jmylbn.com_新闻资讯_第9张

图 头颈CTA扫描曲面重建(CPR)显示:右侧颈内动脉虹吸段血管壁钙化斑块


CT高清扫描在头颈部血管疾病中兼具解剖与功能评估优势,是脑血管病筛查、诊断及治疗规划的核心工具,NeuViz Epoch Elite超高清模式可更精细的显示头颈部血管的解剖结构复杂,包括颈动脉、椎动脉、Willis环等结构。


五官(内耳道)疾病领域



首都医科大学附属北京同仁医院也利用该设备完成了多项科研项目,特别是在微小病灶的早期检出方面取得了显著成果。同仁医院指出:“NeuViz Epoch Elite的超高清成像能力,为我们的科研工作提供了强有力的支持。”


国产的医用ct有哪些国产“双”光子CT横空出世!国产超高端CT的“王炸”来了!_https://www.jmylbn.com_新闻资讯_第10张

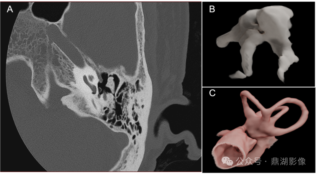
图 内耳高分辨率扫描显示:听小骨(镫骨)结构


NeuViz Epoch Elite通过46.5lp/cm超高空间分辨率可精准评估镫骨形态及毗邻关系,为耳科手术(如镫骨切除术)提供关键解剖信息。


国产的医用ct有哪些国产“双”光子CT横空出世!国产超高端CT的“王炸”来了!_https://www.jmylbn.com_新闻资讯_第11张

图 内耳超高清扫描及重建精细显示:听小骨、半规管结构


肺部疾病领域



国产的医用ct有哪些国产“双”光子CT横空出世!国产超高端CT的“王炸”来了!_https://www.jmylbn.com_新闻资讯_第12张

图 肺部高分辨率CT扫描显示肺磨玻璃样结节(GGN):右肺下叶局灶性密度增高影,呈云雾状,密度低于实性结节,不掩支气管和血管结构。通过46.5lp/cm超高空间分辨率CT结合动态随访,可有效区分GGO的良恶性,指导临床决策(观察、活检或手术)。


骨关节疾病领域



国产的医用ct有哪些国产“双”光子CT横空出世!国产超高端CT的“王炸”来了!_https://www.jmylbn.com_新闻资讯_第13张

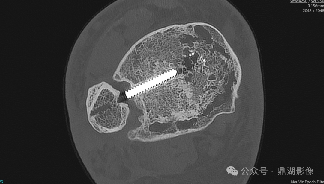
图 膝关节CT薄层扫描显示:金属内固定走行及结构,骨小梁及骨皮质等病变。


通过46.5lp/cm超高空间分辨率扫描结合多模态重建,可精准评估足踝螺钉内固定的解剖位置、骨整合状态及并发症,为临床决策提供关键依据。



全域AI赋能

NeuAI 2.0智能平台涵盖从摆位、扫描、重建到诊断的全流程人工智能服务,大幅提升了工作效率与诊断准确性。入选中国专家共识的ClearInfinity深度学习重建算法,可大幅降噪去伪影,实现低剂量精准成像。


国产的医用ct有哪些国产“双”光子CT横空出世!国产超高端CT的“王炸”来了!_https://www.jmylbn.com_新闻资讯_第14张 

东软医疗:
从追赶到领跑,定义国产影像新高度


从1998年研发出中国首台CT打破国际垄断,到如今引领光子计数CT技术革命,东软医疗的“技术狂飙”印证了中国高端医疗装备产业的崛起之路。国家药监局特别审批通道的开启,加速了光子计数CT的临床落地进程,释放出政策对原始创新的强力支持信号。


东软医疗的创新不仅局限于技术层面,更体现在生态布局上。通过“全产业链+全场景”生态服务商的转型,东软医疗正从高端医疗设备制造商向医疗服务整体解决方案提供商迈进。在“健康中国2030”的宏伟蓝图下,东软医疗的生态化路径正在书写产业升级的新范式。


国产的医用ct有哪些国产“双”光子CT横空出世!国产超高端CT的“王炸”来了!_https://www.jmylbn.com_新闻资讯_第15张

国产的医用ct有哪些国产“双”光子CT横空出世!国产超高端CT的“王炸”来了!_https://www.jmylbn.com_新闻资讯_第16张 


结语


在2025年CMEF展会上,东软医疗以光子计数CT和超高清CT为核心,展示了其在高端医疗影像设备领域的技术实力和创新成果。这两款产品不仅代表了东软医疗的技术巅峰,更将为全球医疗健康产业注入新的活力。我们期待东软医疗继续以创新科技引领影像技术新纪元,为人类健康福祉作出卓越贡献!





·END·



国产的医用ct有哪些国产“双”光子CT横空出世!国产超高端CT的“王炸”来了!_https://www.jmylbn.com_新闻资讯_第17张

精彩推荐:
全网最全的解剖图库,千万不要错过
300+神经、头颈系统超全影像文章汇总
全网最全头颅影像解剖学,不容错过(更新版)
全网最全大关节影像解剖,不容错过(更新版)
影像科急诊必备手册,必点收藏
脊柱、脊髓解剖及常见疾病汇总(41篇)
乳腺解剖及影像学检查详细汇总
心胸系统文章汇总(132篇)
全网最全全身X线高清图谱


国产的医用ct有哪些国产“双”光子CT横空出世!国产超高端CT的“王炸”来了!_https://www.jmylbn.com_新闻资讯_第18张

更多精彩医学影像内容,尽在鼎湖影像
权威医学影像公众号,欢迎您的关注↓↓


国产的医用ct有哪些国产“双”光子CT横空出世!国产超高端CT的“王炸”来了!_https://www.jmylbn.com_新闻资讯_第19张↓↓ 欢迎进入鼎湖学堂