儿童是祖国的未来,孩子在成长阶段难免会遇到一些意想不到的危险, 一旦不小心就会受到伤害、发生骨折。当孩子发生骨折就医时,家长通常都非常担心,生怕创伤影响孩子的生长发育,影响孩子日后的生活。确实,儿童的骨骼在不断生长发育,与成人骨骼不同,儿童骨折后不能完全照搬成人的治疗方案,因此,儿童长骨骨折治疗应保证不损伤骨骺,尽可能不破坏骨骼血供是必须考虑的问题。

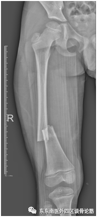
近日,我科收治了一名因房屋倒塌不慎造成右股骨干骨折的6岁男童,涛涛。


(受伤的X线片)
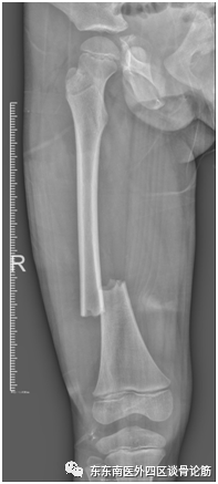
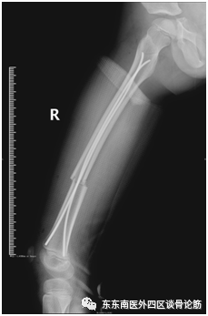
评估病情后,我科运用闭合复位弹性髓内针固定的微创技术对涛涛进行了手术治疗,将其断骨接上了。弹性髓内针可以做到闭合置钉,不仅可达到良好复位及良好固定的基本要求,还具有小切口微创置入,骨折处无需切开,对血供影响小,不破坏骨膜,不损伤神经,利于骨痂生长,完全符合儿童生理。这一微创治疗方式有效地降低了因手术创伤影响儿童骨折生长发育的风险。

(术前标记进针点)

(C臂X光机引导下闭合复位穿针)

(术中透视)


(术中切口)



(术后X线)
【专科科普】
一、什么是弹性髓内针
1982年,法国的Metaizeau和Nancy发明了钛合金弹性钉 (titanic elastic nailing, TEN),它是一种由钛合金制作、带有镰刀状弯头的内固定器械,该器械首先用于临床治疗儿童成骨不全(脆骨病), 后来逐步用于治疗四肢长骨干骨折。1988年,法国的Ligier医生最早报道应用TEN固定治疗儿童股骨干骨折并取得了较好的疗效。通过一系列重要文献的回顾,临床资料提示:儿童弹性髓内钉是治疗儿童长骨骨折的**方法。目前,儿童弹性髓内钉技术已经成为为儿童长骨骨折的主流技术,并且在世界各地获得使用和推广。儿童弹性髓内钉技术也是中华小儿外科学会骨科专业治疗儿童长骨骨折的推荐技术。弹性髓内针技术因其微创,临床效果好,所以成为骨科医生治疗儿童长管状骨的又一神器,被称为上帝给长骨骨折儿童的礼物。

二、弹性髓内针有什么优点
1.微创:切口小,出血少,疤痕小,骨折端不切开,不破坏骨膜,不破坏骨折端血运,愈合快,不损伤骨骺;
2.对于活动和部分负重具有足够的稳定性;
3.从生理和临床适应性方面比较适合儿童长骨横行、短斜行、短螺旋形骨折;
4.对于适龄儿童的骨折进行生物微创骨折,能够达到满意的复位和固定;
5.降低感染机率,以及内固定取出简单。

【总结】
儿童骨折不是成人骨折的缩小版,儿童骨折有自身的特点:1.年龄大于6或7岁的儿童,对于骨干骨折保守治疗不满意,牵引时间会明显延长;2.6周或更长时间的住院或卧床所致的教育耽搁和心理障碍。弹性髓内针技术为长骨骨折儿童提供了一个安全、有效、微创的治疗方法。
随着东莞市东南部中心医院骨科(外四区)学科建设的加快,我们坚持微创骨科,加速康复理念,普及和推广弹性髓内针技术,严格把握手术适应症,选择合适的髓内针,进针点准确,避免反复进针,术后科学护理,必将使更多的患儿受益。