以色列医疗设备有哪些追问weekly | 过去一周,脑科学领域有哪些新发现?Vol.63

新闻资讯2026-04-26 00:03:21
以色列医疗设备有哪些追问weekly | 过去一周,脑科学领域有哪些新发现?Vol.63_https://www.jmylbn.com_新闻资讯_第1张

神经科学

Science:挑战赫布理论,记忆形成的细胞和亚细胞结构特征

Nature:鹦鹉大脑如何模仿人类语言?

Nature:犯错也有道理,感觉皮层在学习中的高阶计算作用

初级视觉皮层在视觉工作记忆中起关键作用

大脑如何学会躲避危险?科学家揭示关键神经机制

氧气在早期神经发育中的关键作用

大脑从出生起就具有灵活性,经由经验塑造功能区域

海马体通过组合与回放构建未来行为

睡眠中的“记忆增强器”:慢波上升期刺激提升运动记忆

大脑折叠的力学密码:轴突如何选择路径?

人工操作神经细胞控制雄性小鼠性行为

突触可塑性新规则揭示记忆形成的动态机制

大脑4D成像技术揭示视听信息处理机制

不可预测的童年环境如何影响大脑发育?

两个大脑区域争夺记忆的控制权

光声成像揭示大脑学习新信息的独特模式


认知科学

Nature:自然行为是通过多巴胺介导的强化学习得来的

Nature:大脑使用“基函数”高效处理复杂社交决策

Science:为什么我们不记得婴儿时期的事情?

前额叶皮层之外:人类大脑独特性的新视角

注视行为决定你如何描述世界

一晚好觉,记忆顺序更清晰


大脑健康

7T MRI技术为耐药性癫痫患者带来手术希望

过早绝经可能让女性更易患阿尔茨海默病

炎症信使IL-12如何加速大脑衰老

七种基因和十三种药物:延缓大脑衰老的新希望

每天一件新鲜事,让老年人记忆和情绪都变好

女性更易患 PTSD?新研究揭示创伤后关键脑部变化

无法预测的疼痛更痛

TDP-43基因缺失:神经退行性疾病的新线索

月经周期不影响认知能力?最新研究打破长期误解

前额叶和颞叶萎缩与语言记忆下降直接相关

TikTok 上的ADHD错误信息影响年轻人认知

夜猫子更容易患抑郁症

贫穷加速衰老:血液蛋白质揭示健康不平等机制

深部脑刺激显著减少孤独症儿童自残行为

失眠果蝇记忆力更强,揭示睡眠与记忆的微妙平衡

视错觉不再是难题,专业训练可以显著减少


AI驱动科学

Nature:AI工具助力科研论文错误检测,提升科学文献质量

新型忆阻器突破人工神经网络“灾难性遗忘”难题

松鼠启发的机器人实现树枝间精准跳跃

机器人当老板,效率不如人

机器人也有“家族树”?新百科全书重新定义机器人分类

AIDP在帕金森病诊断中准确率高达96%

任务特定工具显著提升大型语言模型的医疗计算能力

DeepCeres:AI驱动的超高分辨率小脑分割技术

从鱼群到机器人:不确定性如何塑造集体智慧?

机器学习帮助医生检测“脑海啸”

人造语言与自然语言:大脑的反应竟如此相似

MetaVision3D:AI驱动的三维脑代谢组图谱

NicheCompass:深度学习模型揭示细胞间通讯

AI诊断新突破:实验室数据让准确率飙升30%

五滴血测出你的“衰老速度”,AI模型揭示压力如何加速衰老

AI模型PFTSleep以高精度分析整夜睡眠数据

6G 网络将像人类一样思考

智能连体裤精准监测婴儿运动发展

Unfold AI精准预测前列腺癌治疗效果,减少72%治疗失败

手机摄像头实现高精度心率监测

AI被视为“伟大机器”可能削弱国家安全危机应对

手机拍照即可获取食物的精确营养分析

谷歌推出AI co-scientist,旨在辅助科学家生成研究假设

腿式机器人通过强化学习框架成功学会滑板

麻省理工学院开发出多向弯曲人工肌肉


大模型技术

多模态机器学习显著提高欺骗检测准确性

开源AI模型在复杂医疗诊断中媲美顶级闭源模型

ϕ-Decoding:自适应前瞻采样策略,平衡推理时的探索与利用

AI能力每7个月翻一番,未来5年或可自动化复杂软件任务

KBLaM:将外部知识高效整合到大语言模型中的新方法

机器人也能泡咖啡,新框架让机器人在不确定环境中完成任务

COBRA框架有效解决LLM训练中的恶意反馈问题

SEARCH-R1:让语言模型更懂搜索与推理

阶跃星辰开源Step-Video-TI2V:图生视频模型的新突破


意识与脑机接口

抗生素治疗脑植入物感染:短期有效,长期有害

贝叶斯算法解锁视觉脑植入新可能

新方法PCA-ANFIS:准确率高达 99.5%

医疗植入物的“指纹锁”:物理动作确保患者安全


神经科学


Science:挑战赫布理论,记忆形成的细胞和亚细胞结构特征


记忆的形成和存储是神经科学中的一个核心问题,但其在细胞和亚细胞水平上的结构特征尚未完全理解。斯克里普斯研究所的科学家马科·乌蒂埃波、安东·马克西莫夫及其同事通过先进的技术手段,揭示了小鼠大脑中记忆形成的结构基础。研究还挑战了传统学习理论中“一起放电的神经元会相互连接”的观点。


以色列医疗设备有哪些追问weekly | 过去一周,脑科学领域有哪些新发现?Vol.63_https://www.jmylbn.com_新闻资讯_第2张

这幅图像展示了一个典型多突触末梢的结构,这是记忆痕迹的结构特征。Credit: Maximov lab at Scripps Research


研究团队结合了先进的遗传工具、三维电子显微镜(3D-EM)和人工智能,重建了参与学习的神经元连接图,并详细描述了这些神经元及其在细胞和亚细胞水平上的结构变化。研究发现,记忆痕迹的神经元通过多突触突触小体(multi-synaptic boutons)重新组织与其他神经元的连接。这种连接方式并不依赖于神经元的同步激活,而是通过一种非典型的连接机制实现。此外,这些神经元还重新组织了某些细胞内结构,增强了与星形细胞的相互作用。这表明,记忆的形成可能更多地依赖于神经元之间的结构重组,而不是简单的同步激活。


研究还发现,多突触突触小体的增加并不改变孤立神经末梢和树突棘的数量或空间分布。这意味着,记忆形成过程中的突触连接变化是独立于神经元同步激活的,进一步挑战了赫布理论的核心观点。研究发表在 Science 上。

#神经科学 #记忆机制 #多突触突触小体 #三维电子显微镜 #人工智能


阅读更多:

Uytiepo, Marco, et al. “Synaptic Architecture of a Memory Engram in the Mouse Hippocampus.” Science, vol. 387, no. 6740, Mar. 2025, p. eado8316. science.org (Atypon), https://doi.org/10.1126/science.ado8316


Nature:鹦鹉大脑如何模仿人类语言?


鹦鹉能够模仿人类语言,但其大脑如何实现这一功能尚不清楚。纽约大学格罗斯曼医学院的研究团队,通过记录鹦鹉发声时的大脑活动,首次揭示了鹦鹉大脑中与人类语言产生相似的神经模式。


研究团队使用高密度硅探针记录了鹦鹉前脑区域AAC( the central nucleus of the anterior arcopallium)的神经活动,该区域直接投射到脑干的发声运动神经元。研究发现,AAC神经元形成了反映发声频谱特性的功能性发声运动图谱,能够系统性地表征音高并精确控制发声。这一发现表明鹦鹉和人类在高级大脑活动与声音产生之间存在相似的连接。研究还发现,AAC神经元能够系统性地表征不同的发声特征(如谐波结构和宽带能量),并在群体水平上有序地表征音高。这一研究为理解语言产生的神经机制提供了重要视角,未来可能有助于开发治疗语言障碍的新方法。研究发表在 Nature 上。

#神经科学 #语言障碍 #鹦鹉大脑 #神经机制 #语言产生


阅读更多:

Yang, Zetian, and Michael A. Long. “Convergent Vocal Representations in Parrot and Human Forebrain Motor Networks.” Nature, Mar. 2025, pp. 1–8. www.nature.com, https://doi.org/10.1038/s41586-025-08695-8


Nature:犯错也有道理,感觉皮层在学习中的高阶计算作用


传统观点认为,动物学习速度较慢,且学习过程主要依赖于非感觉脑区的活动,而感觉皮层仅负责处理感觉输入。然而,约翰霍普金斯大学的研究团队通过观察小鼠大脑中单个神经元的活动,颠覆了这一假设。他们的研究发现,感觉皮层不仅参与感觉处理,还在学习过程中扮演关键角色,这一发现可能适用于包括人类在内的所有动物物种。


以色列医疗设备有哪些追问weekly | 过去一周,脑科学领域有哪些新发现?Vol.63_https://www.jmylbn.com_新闻资讯_第3张

低秩张量分解揭示了与学习相关的网络动力学。Credit: Kishore Kuchibhotla et al


研究人员设计了一项听觉go/no-go任务,训练小鼠在听到特定音调(tone)时舔舐,而在听到不同声音时不舔舐。通过双光子钙成像技术,研究团队记录了小鼠听觉皮层中神经元的活动,并结合光遗传学技术对特定脑区进行沉默实验,以验证这些区域在学习中的作用。


研究发现,小鼠在20到40次尝试中就能学会任务,学习速度远超传统假设中的“数千次尝试”。这一结果表明,动物可能比我们想象的更聪明,且学习速度更快。此外,研究还发现,学习活动主要发生在感觉皮层,而非高级认知功能。


研究团队进一步发现了两类高阶信号:奖励预测信号:在训练初期,小鼠的听觉皮层中迅速出现了一种与奖励预测相关的信号,这种信号在早期错误行为中尤为明显,但在小鼠成为“专家”后逐渐消失;舔舐抑制信号:另一组神经元编码了舔舐抑制行为,这些信号驱动了较慢的表现提升。


研究还发现,当小鼠在任务中犯错时,其大脑活动显示它们已经掌握了任务规则,只是在进行“边界测试”,即尝试不同的行为选项以探索更多可能性。这一发现表明,动物的错误行为可能并非由于无知,而是出于策略性探索。研究发表在 Nature 上。

#神经科学 #神经机制与脑功能解析 #感觉皮层 #学习机制 #小鼠模型


阅读更多:

Drieu, Céline, et al. “Rapid Emergence of Latent Knowledge in the Sensory Cortex Drives Learning.” Nature, Mar. 2025, pp. 1–11. www.nature.com, https://doi.org/10.1038/s41586-025-08730-8


初级视觉皮层在视觉工作记忆中起关键作用


工作记忆是我们维持环境中信息的能力,是支持大多数高级认知功能的基础。尽管前额叶皮层被认为在工作记忆中起重要作用,但最近的研究表明,初级视觉皮层(V1)也可能在其中扮演关键角色。为了验证这一假设,Mrugank Dake和Clayton E. Curtis等研究人员使用经颅磁刺激(TMS)干扰V1的神经处理,并测量其对视觉工作记忆的影响。


研究团队使用TMS在记忆保持期间干扰人类V1的神经处理,并同时使用脑电图测量其对工作记忆神经生理特征的影响。研究发现,TMS干扰V1会显著降低视觉工作记忆的准确性,特别是在受刺激影响的视觉区域。EEG测量进一步证实,TMS不仅影响了记忆行为,还干扰了工作记忆的神经生理特征。研究还发现,TMS在记忆保持阶段产生的记忆缺陷与在编码阶段产生的缺陷同样显著。这表明V1不仅在视觉信息的编码和早期巩固中起作用,还在记忆的维持阶段发挥关键作用。此外,研究通过严格控制实验条件,排除了TMS对其他脑区(如前额叶皮层)的间接影响,进一步支持了V1在工作记忆中的必要性。这些结果为“感觉招募模型”提供了直接因果证据,表明V1在维持准确的工作记忆表征中起着重要作用。研究发表在 Nature Communications 上。

#认知科学 #记忆机制 #视觉工作记忆 #经颅磁刺激 #脑电图


阅读更多:

Dake, Mrugank, and Clayton E. Curtis. “Perturbing Human V1 Degrades the Fidelity of Visual Working Memory.” Nature Communications, vol. 16, no. 1, Mar. 2025, p. 2675. www.nature.com, https://doi.org/10.1038/s41467-025-57882-8


大脑如何学会躲避危险?科学家揭示关键神经机制


加州大学洛杉矶分校(UCLA)的研究团队发表了一项研究,揭示了大脑发育过程中控制回避行为的神经结构变化。研究团队由Laura DeNardo领导,通过行为实验、病毒表达技术、纤维光度法和光遗传学等方法,研究了小鼠在不同发育阶段(幼年、青少年和成年)对威胁的回避行为及其神经机制。


以色列医疗设备有哪些追问weekly | 过去一周,脑科学领域有哪些新发现?Vol.63_https://www.jmylbn.com_新闻资讯_第4张

蓝色显示 mPFC 轴突的图像(轴突为洋红色,黄色为突触前钮扣,蓝色为神经元核)。Credit: Nature Neuroscience (2025). 


研究团队首先设计了一种行为实验,模拟青少年小鼠的冒险行为,发现幼年和青少年小鼠的威胁回避水平低于成年小鼠。随后,他们使用病毒表达技术将分子递送到小鼠大脑中,结合纤维光度法(fiber photometry,一种监测活体动物大脑神经元活动的技术)和光遗传学,追踪和操纵小鼠的神经活动。


研究发现,mPFC通路在成年小鼠中对威胁和安全线索的编码更强,而NAc和BLA的活动模式在不同年龄组之间更为相似。通过光遗传学技术,研究人员精确调控了mPFC通路的活动,发现不同发育阶段的mPFC通路与NAc和BLA的细胞类型连接方式不同,导致各年龄段的行为功能差异。研究还发现,mPFC-NAc通路的突触强度逐渐增强,而mPFC-BLA通路的突触强度在成年后才发生变化。这些发现揭示了大脑发育过程中神经通路的异质性变化如何影响行为适应。研究发表在 Nature Neuroscience 上。

#神经科学 #神经机制与脑功能解析 #大脑发育 #回避行为 #光遗传学


阅读更多:

Klune, Cassandra B., et al. “Developmentally Distinct Architectures in Top–down Pathways Controlling Threat Avoidance.” Nature Neuroscience, Feb. 2025, pp. 1–13. www.nature.com, https://doi.org/10.1038/s41593-025-01890-w


氧气在早期神经发育中的关键作用


氧气在大脑早期神经发育中起着至关重要的作用,尤其是在血管系统完全建立之前。为了深入研究氧气在神经发育中的作用,Yuan-Hsuan Liu、Meng-Ting Chung、Hsi-Chieh Lin、Tse-Ang Lee等研究人员使用人脑类器官模型,结合多组学分析,揭示了氧气在早期神经发生中的关键作用。


研究团队构建了人脑类器官(hCOs)模型,并使用基于钌的氧敏感荧光微珠和频域荧光寿命成像显微镜(FD-FLIM)进行时间推移的类器官内氧张力测量。FD-FLIM具有宽场能力,能够以最小的激发光剂量快速测量荧光寿命,并对环境光噪声具有出色的免疫力,适合长期监测。此外,研究还结合了共聚焦显微镜和单细胞RNA测序进行多组学分析,以研究早期神经发育过程中的细胞反应。研究发现,在类器官发育的第4至6周期间,氧张力显著升高,这一时期对早期神经发育至关重要。通过多组学分析,研究团队从功能、基因型、表型和蛋白质组学角度揭示了氧气在早期神经发生中的作用。研究发表在 Science Advances 上。

#神经科学 #跨学科整合 #氧气张力 #人脑类器官 #多组学分析


阅读更多:

Liu, Yuan-Hsuan, et al. “Shaping Early Neural Development by Timed Elevated Tissue Oxygen Tension: Insights from Multiomic Analysis on Human Cerebral Organoids.” Science Advances, vol. 11, no. 11, Mar. 2025, p. eado1164. science.org (Atypon), https://doi.org/10.1126/sciadv.ado1164


大脑从出生起就具有灵活性,经由经验塑造功能区域


大脑中专门用于识别面孔、物体、单词和地点的区域是如何形成的?是由遗传密码预先决定,还是由经验和环境影响而形成?斯坦福大学Wu & Tsai神经科学研究所的研究人员及其国际合作伙伴对此进行了深入研究。来自Kalanit Grill-Spector教授实验室的Emily Kubota,发现尽管大脑组织的白质连接从出生时就存在,但大脑生来具有灵活性,经验也在塑造功能区域。


研究团队使用定制的婴儿MRI线圈和先进的扩散磁共振成像(dMRI)技术,对从出生到六个月大的婴儿大脑进行了扫描,并与成人大脑进行了比较。研究发现,腹侧颞叶皮层(VTC)区域从出生起就具有独特的白质连接,这些连接的组织方式预示着未来功能区域的发展。特别是,预定成为面部和词区域的VTC区域从出生开始就拥有更多从视觉场中心传递高分辨率细节的连接,而预定成为空间敏感区域的区域则从更多连接到外围视觉区域开始。研究发表在 Nature Human Behaviour 上。

#神经科学 #神经机制与脑功能解析 #大脑发育 #白质连接 #腹侧颞叶皮层


阅读更多:

Kubota, Emily, et al. “White Matter Connections of Human Ventral Temporal Cortex Are Organized by Cytoarchitecture, Eccentricity and Category-Selectivity from Birth.” Nature Human Behaviour, Mar. 2025, pp. 1–16. www.nature.com, https://doi.org/10.1038/s41562-025-02116-6


海马体通过组合与回放构建未来行为


海马体在记忆、想象和构建性推理中起着关键作用。最近的研究表明,海马体的神经元反应可以通过状态空间模型来解释,这些模型模拟了经验之间的转换。为了调和这些观点,Jacob J. W. Bakermans等研究人员通过模拟和海马体记录,展示了如果状态空间是从现有构建块或原语中组合构建的,海马体反应可以被解释为组合记忆,将这些原语绑定在一起。这一发现使代理能够在没有新学习的情况下在新环境中表现出最优行为,直接从组合中推断行为。


海马体细胞提供了预学习构建块的组合,指定了它们在当前经验中的排列。这意味着海马体不再需要自己学习转换,因为这些转换是从构建块的动力学中继承的。此外,研究还表明,在探索过程中形成这些组合的记忆为未来行为提供了理想的状态空间。


如果构建块具有前向模型,则可以通过回放(replay)离线形成记忆,从而使代理能够有效地为未来行为构建组合状态空间。实验数据支持了这一组合机制,表明当发现新的结构元素时,回放会构建一个组合记忆,嵌入到该地标的向量中。计算模型(如REMERGE和Tolman-Eichenbaum machine, TEM)此前已经表明,海马体中的联合编码支持泛化,但本文的模型通过形成结构-结构联合,从结构构建块中组合状态空间,从而能够泛化行为。


研究还提出了回放在构建新皮质原语中的作用,特别是在睡眠中通过生成训练样本来学习组合策略。这种组合推理是人类和动物认知的基本属性,未来在认知和神经反应的模型中,组合推理将扮演越来越重要的角色。研究发表在 Nature Neuroscience 上。

#神经科学 #记忆机制 #海马体 #组合推理 #回放


阅读更多:

Bakermans, Jacob J. W., et al. “Constructing Future Behavior in the Hippocampal Formation through Composition and Replay.” Nature Neuroscience, Mar. 2025, pp. 1–12. www.nature.com, https://doi.org/10.1038/s41593-025-01908-3


睡眠中的“记忆增强器”:慢波上升期刺激提升运动记忆


记忆巩固是大脑在睡眠期间通过特定的脑电波活动增强记忆的过程。Judith Nicolas、Bradley R. King、David Lévesque等研究人员通过闭环靶向记忆重激活(CL-TMR)技术,研究了慢波(SO)不同阶段对运动记忆巩固的影响。


研究采用功能性磁共振成像和脑电图技术,在31名健康年轻参与者学习运动序列时记录其大脑活动,并在随后的睡眠期间通过EEG实时检测慢波,并在慢波的不同阶段(上升期、下降期)播放与学习任务相关的声音刺激。结果显示,上升期刺激显著提高了运动表现,增加了慢波振幅和sigma波段功率,并增强了与任务相关的海马和纹状体-皮质网络的活动。研究发表在 Nature Communications 上。

#神经科学 #记忆机制 #闭环靶向记忆重激活 #慢波 #运动记忆


阅读更多:

Nicolas, Judith, et al. “Unraveling the Neurophysiological Correlates of Phase-Specific Enhancement of Motor Memory Consolidation via Slow-Wave Closed-Loop Targeted Memory Reactivation.” Nature Communications, vol. 16, no. 1, Mar. 2025, p. 2644. www.nature.com, https://doi.org/10.1038/s41467-025-57602-2


大脑折叠的力学密码:轴突如何选择路径?


大脑的折叠和轴突连接是大脑发育的关键过程,但这两者之间的力学关系尚不清楚。宾汉姆顿大学的Mir Jalil Razavi及其团队,包括Akbar Solhtalab和Ali H. Foroughi,以及哈佛医学院和波士顿儿童医院的Lana Pierotich,提出了一个动态模型,揭示了大脑皮层折叠和轴突连接发展之间的复杂力学行为。


以色列医疗设备有哪些追问weekly | 过去一周,脑科学领域有哪些新发现?Vol.63_https://www.jmylbn.com_新闻资讯_第5张

动态生长和折叠双层系统中纤维的动态增长与路径寻找。Credit: Nature Communications (2025). 


研究团队提出了“轴突重新定向”的概念,并制定了一个力学模型来揭示皮层折叠和连接发展之间联系的多尺度力学。通过模拟结合轴突束重新定向和应力诱导生长,研究发现轴突在脑回(gyri)中的密度远高于在脑沟(sulci)。这是由于轴突在脑白质内受到拉伸或压缩力时,其生长方式不同。轴突更喜欢处于张力状态而不是压缩状态,尽管它们在更坚硬的环境中生长得更快,但它们倾向于向更柔软的环境中移动。研究发表在 Nature Communications 上。

#神经科学 #预测模型构建 #大脑健康 #轴突连接 #大脑折叠


阅读更多:

Solhtalab, Akbar, et al. “Stress Landscape of Folding Brain Serves as a Map for Axonal Pathfinding.” Nature Communications, vol. 16, no. 1, Jan. 2025, p. 1187. www.nature.com, https://doi.org/10.1038/s41467-025-56362-3


人工操作神经细胞控制雄性小鼠性行为


为了揭示驱动动物性行为的因素,北京生命科学研究所和日本筑波大学的研究人员研究了雄性小鼠在性行为过程中直至射精的一系列动作中的大脑活动。研究显示负责两种化学物质——多巴胺和乙酰胆碱之间愉悦的大脑区域中的复杂舞蹈,控制着性行为的进展。


图形显示雄性小鼠从爬跨到射精期间脑内激素波动。Credit: Miyasaka et al., Neuron


研究团队将能够检测神经递质的荧光传感器注入雄性小鼠的伏隔核,观察大脑释放多巴胺和乙酰胆碱的情况。研究发现,在性行为过程中,乙酰胆碱和多巴胺的释放与小鼠的推挤动作同步波动,多巴胺的浓度在性行为的不同阶段发挥了重要作用。在插入过程中,表达两种主要多巴胺受体的神经细胞(D2R 和 D1R)的活性低于平时。如果在插入过程中研究人员人工激活 D1R 细胞,小鼠会立即回到爬跨阶段。如果激活 D2R 神经细胞,小鼠将完全停止参与性行为。研究发表在 Neuron 上。

#神经科学 #神经机制与脑功能解析 #多巴胺 #乙酰胆碱 #性行为


阅读更多:

Miyasaka, Ai, et al. “Sequential Transitions of Male Sexual Behaviors Driven by Dual Acetylcholine-Dopamine Dynamics.” Neuron, vol. 0, no. 0, Mar. 2025. www.cell.com, https://doi.org/10.1016/j.neuron.2025.01.032


突触可塑性新规则揭示记忆形成的动态机制


突触可塑性被认为是大脑存储记忆的关键机制,但传统观点认为神经元同时放电会增强连接,单独放电会减弱连接。芝加哥大学的Mark Sheffield和Antoine Madar等人通过研究小鼠海马体位置细胞的活动,发现行为时间尺度突触可塑性(BTSP)比传统规则更能解释记忆形成的动态变化。


研究人员记录了小鼠在熟悉和新环境中奔跑时海马体位置细胞的活动,并构建了计算模型来模拟这些活动。通过比较不同的突触可塑性规则,他们发现行为时间尺度突触可塑性能够更好地解释位置细胞的动态变化。BTSP触发的事件在学习新环境时更为频繁,且能够驱动神经元表征的持续漂移。研究还发现,BTSP在海马体CA3区域的发生频率低于CA1区域,且表现不同。研究发表在 Nature Neuroscience 上。

#神经科学 #记忆机制 #突触可塑性 #计算模型 #海马体


阅读更多:

Madar, Antoine D., et al. “Synaptic Plasticity Rules Driving Representational Shifting in the Hippocampus.” Nature Neuroscience, Mar. 2025, pp. 1–13. www.nature.com, https://doi.org/10.1038/s41593-025-01894-6


大脑4D成像技术揭示视听信息处理机制


大脑如何无缝整合多感官信息以形成连贯感知一直是一个未解之谜。西安大略大学的Yalda Mohsenzadeh和Yu (Brandon) Hu团队通过开发一种新的4D成像技术,揭示了大脑在处理视听信息时的独特机制。


以色列医疗设备有哪些追问weekly | 过去一周,脑科学领域有哪些新发现?Vol.63_https://www.jmylbn.com_新闻资讯_第6张

实验设计及数据分析方案。Credit: Communications Biology (2025). 


研究团队使用功能性磁共振成像和脑电图技术,对参与者观看60个自然场景视频片段时的脑活动进行了记录和分析。结果显示,大脑的初级视觉皮层对视觉和低级听觉输入都有反应,而初级听觉皮层仅处理听觉信息。这种不对称的跨模态交互表明,视觉信息在感知中占据主导地位。研究还发现,高层次的概念和语义信息在多感官联合区域后期出现,进一步揭示了跨模态整合的复杂性。通过与双分支深度神经网络模型的比较,研究强调了早期跨模态连接在构建生物合理的视听感知模型中的重要性。研究发表在 Communications Biology 上。

#神经科学 #计算模型与人工智能模拟 #大脑信号解析 #4D成像技术 #视听信息处理


阅读更多:

Hu, Yu, and Yalda Mohsenzadeh. “Neural Processing of Naturalistic Audiovisual Events in Space and Time.” Communications Biology, vol. 8, no. 1, Jan. 2025, pp. 1–16. www.nature.com, https://doi.org/10.1038/s42003-024-07434-5


不可预测的童年环境如何影响大脑发育?


童年逆境对全球超过一半的儿童产生影响,并显著增加成年后认知和心理健康问题的风险。加州大学欧文分校的Tallie Z. Baram和Matthew Birnie等学者通过综述研究,发现童年逆境对大脑发育具有深远影响。


以色列医疗设备有哪些追问weekly | 过去一周,脑科学领域有哪些新发现?Vol.63_https://www.jmylbn.com_新闻资讯_第7张

压力的维度。Credit: Neuron (2025). 


研究通过综述现有文献,结合动物模型和分子生物学技术,探讨童年压力对大脑发育的影响机制。研究发现,儿童早期环境的不可预测性(如不稳定的感官输入)对神经发育有重要影响。此外,压力通过表观遗传机制改变神经元基因表达,并干扰大脑网络的成熟过程。研究还发现,糖皮质激素和促肾上腺皮质激素释放激素等分子在压力对大脑的影响中起关键作用。这些发现为开发针对性的干预策略提供了新思路。研究发表在 Neuron 上。

#神经科学 #心理健康与精神疾病 #童年逆境 #表观遗传机制 #糖皮质激素


阅读更多:

Birnie, Matthew T., and Tallie Z. Baram. “The Evolving Neurobiology of Early-Life Stress.” Neuron, vol. 0, no. 0, Mar. 2025. www.cell.com, https://doi.org/10.1016/j.neuron.2025.02.016


两个大脑区域争夺记忆的控制权


记忆的形成和更新涉及多个大脑区域的复杂互动,尤其是蓝斑(LC)和腹侧被盖区(VTA)对海马体突触可塑性的调控。德国波鸿鲁尔大学的Hardy Hagena和Denise Manahan-Vaughan团队通过光遗传学技术,揭示了这两个区域如何通过竞争影响记忆的形成。


研究团队使用光遗传学技术对实验大鼠进行基因改造,使其特定神经细胞可以通过光激活或失活。通过激活VTA,研究人员观察到海马体的长期增强,即突触传递能力的增强;而激活LC则导致长期抑制,即突触传递能力的减弱。这些效应具有频率依赖性,表明VTA和LC通过不同的神经递质(多巴胺和去甲肾上腺素)调控海马体的突触可塑性,从而影响记忆的形成和更新。研究还发现,VTA和LC的竞争机制在决定记忆内容方面起关键作用,特别是在处理情感和空间信息时。研究发表在 PNAS 上。

#神经科学 #记忆机制 #光遗传学 #突触可塑性 #海马体


阅读更多:

Hagena, Hardy, and Denise Manahan-Vaughan. “Oppositional and Competitive Instigation of Hippocampal Synaptic Plasticity by the VTA and Locus Coeruleus.” Proceedings of the National Academy of Sciences, vol. 122, no. 1, Jan. 2025, p. e2402356122. pnas.org (Atypon), https://doi.org/10.1073/pnas.2402356122


光声成像揭示大脑学习新信息的独特模式


韦恩州立大学的研究团队使用光声成像技术探索大脑如何响应不同类型的学习和体验。该研究由James Matchynski、Shane Perrine和Alana Conti领导,并与伊利诺伊大学芝加哥分校生物医学工程系的同事合作。研究发现,恐惧条件组的大鼠前额叶皮层表现出独特的Fos依赖性信号强度模式。


以色列医疗设备有哪些追问weekly | 过去一周,脑科学领域有哪些新发现?Vol.63_https://www.jmylbn.com_新闻资讯_第8张

Credit: Photoacoustics (2024).


研究团队使用光声成像(photoacoustic imaging,利用光学和声学在生物组织中产生信号的技术)结合模式识别分析,观察大鼠前额叶皮层(PFC)在条件性恐惧学习中的神经元活动。结果显示,恐惧条件组的大鼠前额叶皮层表现出独特的Fos依赖性信号强度模式,而其他实验组(如行为幼稚组和假条件组)则没有这种模式。这表明,只有高度协调的学习任务才能在前额叶皮层中引发同质的活动模式。研究发表在 Photoacoustics 上。

#神经科学 #大脑信号解析 #光声成像 #模式识别 #前额叶皮层


阅读更多:

“Use of Pattern Recognition in Photoacoustic Imaging to Identify Neuronal Ensembles in the Prefrontal Cortex of Rats Undergoing Conditioned Fear Learning.” Photoacoustics, vol. 41, Feb. 2025, p. 100680. www.sciencedirect.com, https://doi.org/10.1016/j.pacs.2024.100680



认知科学


Nature:自然行为是通过多巴胺介导的强化学习得来的


自然行为(如说话或行走)通常通过试错学习获得,而多巴胺在这一过程中扮演关键角色。Jonathan Kasdin等研究人员研究了幼年斑胸草雀的歌曲学习过程,揭示了多巴胺如何通过强化学习机制驱动行为改进。


研究团队使用纤维光度测定法(fibre photometry)追踪了幼年斑胸草雀在Area X(与唱歌相关的基底神经节区域)中的多巴胺活动。研究发现,当幼鸟的鸣叫音节更接近成年版本时,多巴胺活动增强;而当音节偏离成年版本时,多巴胺活动被抑制。此外,多巴胺活动能够预测歌曲的未来演变,表明多巴胺驱动行为。多巴胺活动与当前表现和近期表现历史的对比一致,支持其在强化学习模型中编码预测误差的假设。这一发现表明,复杂的自然行为可以通过多巴胺介导的强化学习获得。研究发表在 Nature 上。

#认知科学 #神经机制与脑功能解析 #多巴胺 #强化学习 #斑胸草雀


阅读更多:

Kasdin, Jonathan, et al. “Natural Behaviour Is Learned through Dopamine-Mediated Reinforcement.” Nature, Mar. 2025, pp. 1–8. www.nature.com, https://doi.org/10.1038/s41586-025-08729-1


Nature:大脑使用“基函数”高效处理复杂社交决策


在复杂的社会环境中,大脑如何高效处理多人互动?Marco K. Wittmann、Yongling Lin、Deng Pan等研究人员组成的团队通过功能性磁共振成像(fMRI)和行为实验,揭示了背内侧前额叶皮层(dmPFC)和前扣带皮层(ACC)在社交决策中的关键作用。


研究团队设计了多项实验,包括fMRI实验和行为实验。在fMRI实验中,参与者完成了一个多人的社交决策任务,研究人员通过fMRI记录了他们在决策过程中dmPFC和ACC的活动。行为实验则用于验证fMRI实验的结果。研究发现,dmPFC和ACC使用了一组有限的基函数,这些基函数以压缩的形式总结了可能的社交互动。基函数与社交互动类型相关,而不是与个体身份相关。


研究结果显示,基函数在决策过程中被灵活地组合使用,帮助参与者高效地处理复杂的社交信息。例如,在群体决策中,基函数能够将多个个体的表现压缩为简单的数值差异,从而快速指导决策。此外,行为实验验证了基函数在决策中的重要性,表明基函数的使用显著提高了决策的准确性。研究还发现,基函数的编码方式与视觉和运动领域中的抽象编码方式类似,表明大脑在处理复杂信息时采用了跨领域的通用策略。


进一步的分析表明,基函数的使用不仅提高了决策效率,还减少了计算负担。通过将复杂的社交信息压缩为低维度的基函数,大脑能够更快速地做出反应,尤其是在需要同时处理多个个体互动的场景中。研究还通过控制实验验证了基函数在非社交任务中的适用性,表明这种编码方式可能是一种通用的信息处理机制。研究发表在 Nature 上。

#认知科学 #预测模型构建 #社交决策 #基函数 #fMRI


阅读更多:

Wittmann, Marco K., et al. “Basis Functions for Complex Social Decisions in Dorsomedial Frontal Cortex.” Nature, Mar. 2025, pp. 1–11. www.nature.com, https://doi.org/10.1038/s41586-025-08705-9


Science:为什么我们不记得婴儿时期的事情?


成年人无法回忆起婴儿时期的特定事件,这一现象被称为“婴儿失忆症”。耶鲁大学的 Nick Turk-Browne 和 Tristan Yates 团队通过功能性磁共振成像,发现婴儿海马体能够编码记忆,但记忆检索机制的不成熟可能是导致失忆症的原因。


研究团队向 4 个月到 2 岁的婴儿展示新图像,并通过功能性磁共振成像记录其海马体活动。随后,研究人员测试婴儿是否能够识别之前看过的图像。结果显示,婴儿海马体的活动强度与其记忆能力相关,尤其是在海马体后部(靠近后脑勺的区域),这一区域与成人的情景记忆密切相关。研究发现,12 个月以上的婴儿记忆编码能力更强,表明婴儿失忆症可能是由于记忆检索机制的不成熟,而非记忆编码能力的缺失。这一发现为理解婴儿记忆的形成和消失提供了新视角。研究结果发表在 Science 上。

#认知科学 #记忆机制 #婴儿失忆症 #海马体 #fMRI


阅读更多:

Ramsaran, Adam I., and Paul W. Frankland. “Babies Form Fleeting Memories.” Science, vol. 387, no. 6740, Mar. 2025, pp. 1253–54. science.org (Atypon), https://doi.org/10.1126/science.adw1923

Yates, Tristan S., et al. “Hippocampal Encoding of Memories in Human Infants.” Science, vol. 387, no. 6740, Mar. 2025, pp. 1316–20. science.org (Atypon), https://doi.org/10.1126/science.adt7570


前额叶皮层之外:人类大脑独特性的新视角


人类大脑的独特性一直是神经科学研究的核心问题。之前研究人员认为前额叶皮层是区分人类与非人类灵长类动物的关键。但牛津大学的 Rogier Mars 和马赛大学的 Katherine Bryant 团队通过比较人类、黑猩猩和猕猴的大脑皮层组织,发现了人类大脑在颞叶和顶叶连接模式上(情绪和社会行为)的独特性,挑战了传统观点。


以色列医疗设备有哪些追问weekly | 过去一周,脑科学领域有哪些新发现?Vol.63_https://www.jmylbn.com_新闻资讯_第9张

这张图像突出了(红色)左右脑半球在比较后表现出高度差异的行为领域。上方显示的是人类和大猩猩之间差异最大的领域。下方显示的是人类和猕猴之间差异最大的领域。Credit: Bryant et al., JNeurosci 2025


研究团队使用白质图谱(white matter atlases)创建了连接蓝图,量化比较了人类、黑猩猩和猕猴的大脑皮层组织。研究发现,人类在颞叶和顶叶的连接模式上具有独特性,这些区域与语言处理和社会认知密切相关。此外,前额叶皮层的组织也显示出独特性,但研究结果表明,颞叶和顶叶的进化在塑造人类能力中起到了同样重要的作用。通过功能脑激活的元数据分析,研究进一步将这些解剖学差异与人类行为联系起来,表明这些区域的连接模式可能是人类独特行为的基础。研究发表在 Journal of Neuroscience上。

#认知科学 #神经机制与脑功能解析 #语言处理 #社会认知 #大脑进化


阅读更多:

Bryant, Katherine L., et al. “Connectivity Profile and Function of Uniquely Human Cortical Areas.” Journal of Neuroscience, Feb. 2025. www.jneurosci.org, https://doi.org/10.1523/JNEUROSCI.2017-24.2025


注视行为决定你如何描述世界


不同的人在观看同一场景时,是否会形成不同的感知?为了探索这一问题,Diana Kollenda、Anna-Sophia Reher和Benjamin de Haas等研究人员展开了一项研究,发现个体的注视行为能够预测其场景描述的差异。


研究团队让参与者自由观看100个自然场景,并记录他们的注视行为和场景描述。通过计算参与者之间的注视分布相似性(dwell time distributions)和描述语义相似性(semantic similarity),研究团队发现,注视模式相似的参与者,其场景描述也更为相似,尤其是在名词使用上。例如,对文字和人脸的注视倾向与其描述中提及这些内容的频率显著相关。此外,这种注视与描述的关系在不同场景中具有一致性,表明个体的注视行为与其感知方式之间存在稳定的联系。研究发表在 Scientific Reports 上。

#认知科学 #预测模型构建 #注视行为 #场景描述 #个体差异


阅读更多:

Kollenda, Diana, et al. “Individual Gaze Predicts Individual Scene Descriptions.” Scientific Reports, vol. 15, no. 1, Mar. 2025, p. 9443. www.nature.com, https://doi.org/10.1038/s41598-025-94056-4


一晚好觉,记忆顺序更清晰


睡眠对记忆巩固的作用已被广泛研究,但其如何影响现实世界经历的记忆仍不明确。多伦多大学贝克莱斯特研究与教育学院罗特曼研究所的Brian Levine、Nicholas B. Diamond和Stephanie Simpson团队通过沉浸式艺术之旅实验,发现睡眠不仅能保护记忆,还能显著增强对事件顺序的记忆准确性。


以色列医疗设备有哪些追问weekly | 过去一周,脑科学领域有哪些新发现?Vol.63_https://www.jmylbn.com_新闻资讯_第10张

研究设计概述。Credit: Nature Human Behaviour (2025).


研究采用Baycrest Tour(一种沉浸式音频导览艺术之旅)作为实验范式,参与者参观后接受记忆测试,测试内容包括对细节(如画作颜色)和序列(如画作顺序)的记忆。测试分别在参观后立即、第二天、一周后和一个月后进行。研究发现,经过一晚睡眠后,参与者对游览顺序的记忆显著增强,且这种优势在后续测试中持续存在。研究还通过多导睡眠图(polysomnography)监测参与者的脑活动,发现慢波睡眠(slow-wave sleep,一种深度睡眠阶段)的持续时间和神经生理特征(如纺锤波-慢波耦合)与记忆增强相关。这一发现表明,睡眠通过特定的神经机制主动增强了顺序记忆的准确性。研究发表在 Nature Human Behaviour 上。

#认知科学 #记忆机制 #慢波睡眠 #沉浸式实验 #神经机制与脑功能解析


阅读更多:

Diamond, N. B., et al. “Sleep Selectively and Durably Enhances Memory for the Sequence of Real-World Experiences.” Nature Human Behaviour, Mar. 2025, pp. 1–12. www.nature.com, https://doi.org/10.1038/s41562-025-02117-5



疾病与健康


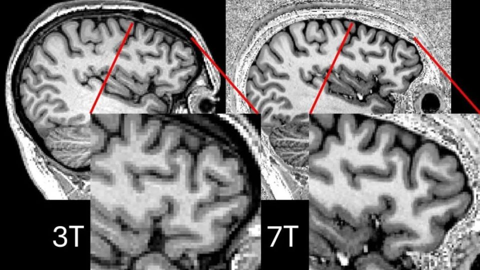
7T MRI技术为耐药性癫痫患者带来手术希望


难治性癫痫患者中,许多人在传统3T MRI扫描中无法检测到明确的病变,这限制了手术治疗的可行性。剑桥大学沃尔夫森脑成像中心与巴黎萨克雷大学的研究人员合作,开发了一种新型并行传输(parallel transmit)7T MRI技术,显著提高了病变检测的准确性,改变了58%患者的治疗方案。


以色列医疗设备有哪些追问weekly | 过去一周,脑科学领域有哪些新发现?Vol.63_https://www.jmylbn.com_新闻资讯_第11张

同一参与者的 3T 和 7T 扫描结果对比。Credit: P Simon Jones, University of Cambridge


研究团队对31名3T MRI扫描结果阴性或不确定的癫痫手术候选者进行了并行传输7T MRI和传统单传输(CP)7T MRI的对比扫描。扫描包括T1、T2、FLAIR(流体衰减反转恢复)和EDGE(边缘增强梯度回波)图像,所有图像均在0.8毫米的各向同性空间内获取。两名神经放射科医生、一名神经科医生和一名神经外科医生对图像质量进行了独立评估。


结果显示,7T MRI在9名患者中发现了之前未见的病变,并在4名患者中确认了3T MRI的疑似病变。并行传输7T MRI在57%的病例中比单传输7T MRI提供了更清晰的图像,且从未表现更差。18名患者(58%)的治疗方案因此改变,其中9名患者接受了手术切除,1名患者接受了激光间质热疗法(LITT)。研究发表在 Epilepsia 上。

#神经技术 #个性化医疗 #癫痫 #并行传输MRI #7T MRI


阅读更多:

Klodowski, Krzysztof, et al. Parallel Transmit 7 T MRI for Adult Epilepsy Pre‐surgical Evaluation. Mar. 2025. www.repository.cam.ac.uk, https://doi.org/10.1111/epi.18353


过早绝经可能让女性更易患阿尔茨海默病


阿尔茨海默病(AD)患者中三分之二为女性,但其性别差异的原因尚不明确。多伦多大学和Sunnybrook健康科学中心的研究团队发现,过早绝经和突触健康较差可能增加女性患AD的风险。研究分析了268名女性的数据,揭示了早绝经女性突触健康与认知能力下降速度加快之间的强烈联系。


以色列医疗设备有哪些追问weekly | 过去一周,脑科学领域有哪些新发现?Vol.63_https://www.jmylbn.com_新闻资讯_第12张

绝经期年龄与突触生物标志物以及 tau 缠结的协同关联。Credit: Science Advances (2025). 


研究利用Rush大学记忆与衰老项目的数据,分析了女性绝经年龄与突触健康标志物(如complexin-1、complexin-II和SNARE蛋白相互作用)之间的关系。研究调整了年龄、教育年限、β淀粉样蛋白等因素。结果显示,早绝经女性的突触健康较差与认知能力下降更快和tau蛋白缠结增加显著相关。此外,接受激素治疗的女性中,这种关系较弱,表明激素治疗可能对大脑健康具有保护作用。研究发表在 Science Advances 上。

#大脑健康 #疾病预防 #突触健康 #阿尔茨海默病 #激素治疗


阅读更多:

Wood Alexander, Madeline, et al. “The Interplay between Age at Menopause and Synaptic Integrity on Alzheimer’s Disease Risk in Women.” Science Advances, vol. 11, no. 10, Mar. 2025, p. eadt0757. science.org (Atypon), https://doi.org/10.1126/sciadv.adt0757


炎症信使IL-12如何加速大脑衰老


随着大脑衰老,小胶质细胞逐渐失去保护作用并分泌炎症信使IL-12,可能加速阿尔茨海默病(AD)的进展。柏林夏里特大学医学中心的 Frank Heppner 和马克斯·德尔布吕克分子医学中心的 Nikolaus Rajewsky 领导的研究团队,通过单细胞分析技术揭示了IL-12在AD中的关键作用。


以色列医疗设备有哪些追问weekly | 过去一周,脑科学领域有哪些新发现?Vol.63_https://www.jmylbn.com_新闻资讯_第13张

共培养神经元形成的神经纤维(粉色)和覆盖这些神经纤维的少突胶质细胞(白色)。细胞核被染成蓝色。Credit: Heppner lab, Charité—Universitätsmedizin Berlin.


研究团队使用单细胞RNA测序技术,分析了超过80,000个细胞核的RNA,并重建了细胞间的通讯。他们发现IL-12主要损害少突胶质细胞(oligodendrocytes,产生髓鞘的细胞)和中间神经元(interneurons,负责认知和记忆的神经元)。阻断IL-12信号通路可以减缓疾病进展,恢复髓鞘稳态并挽救中间神经元的损失。研究还通过小鼠模型和人类组织验证了这一机制。研究发表在 Nature Aging 上。

#大脑健康 #神经机制与脑功能解析 #IL-12 #阿尔茨海默病 #单细胞RNA测序


阅读更多:

Schneeberger, Shirin, et al. “Interleukin-12 Signaling Drives Alzheimer’s Disease Pathology through Disrupting Neuronal and Oligodendrocyte Homeostasis.” Nature Aging, Mar. 2025, pp. 1–20. www.nature.com, https://doi.org/10.1038/s43587-025-00816-2


七种基因和十三种药物:延缓大脑衰老的新希望


延缓衰老是预防疾病和延长寿命的有效策略,大脑衰老模式对整体人类衰老有显著影响。Sanjukta Mondal领导的团队利用英国生物样本库的数据进行研究,发现了七种基因和13种药物可以减缓大脑衰老。


以色列医疗设备有哪些追问weekly | 过去一周,脑科学领域有哪些新发现?Vol.63_https://www.jmylbn.com_新闻资讯_第14张

13 种药物和补充剂针对和对抗大脑衰老基因。Credit: Science Advances (2025).


研究人员使用深度学习模型分析近3.9万名参与者的MRI扫描、生活方式数据、健康记录和遗传信息,以确定导致大脑年龄差(BAG)扩大的特定基因。研究发现七种基因(MAPT、TNFSF12、GZMB、SIRPB1、GNLY、NMB和C1RL)是大脑衰老的潜在靶点,并确定了13种可以重新用于减缓大脑衰老的药物和补充剂,包括氢化可的松、睾酮、双氯芬酸和二甲双胍。研究发表在 Science Advances 上。

#大脑健康 #个性化医疗 #深度学习 #基因靶点 #药物开发


阅读更多:

Yi, Fan, et al. “Genetically Supported Targets and Drug Repurposing for Brain Aging: A Systematic Study in the UK Biobank.” Science Advances, vol. 11, no. 11, Mar. 2025, p. eadr3757. science.org (Atypon), https://doi.org/10.1126/sciadv.adr3757


每天一件新鲜事,让老年人记忆和情绪都变好


疫情期间的隔离导致老年人缺乏刺激体验,增加了认知衰退和情绪问题的风险。多伦多大学的Morgan Barense和Melissa E. Meade团队研究发现,每天进行一种新体验可以显著提升记忆力和情绪,尤其对老年人有益。


研究在2020年夏季封锁期间,招募了18名平均年龄71岁的健康老年人,使用基于神经科学的智能手机应用HippoCamera(模拟大脑海马体处理和存储记忆的方式)记录和回放670个独特和日常事件。参与者每天记录至少一个事件,并进行一次回放。研究发现,独特事件比日常事件更能被详细回忆,且与更高的积极情绪、更少的无聊感和更快的时间感知相关。研究还表明,即使是小改变,如走不同的路线,也能显著改善记忆和情绪。研究发表在 Scientific Reports 上。

#认知科学 #健康管理与寿命延长 #记忆机制 #HippoCamera #经验多样性


阅读更多:

Meade, Melissa E., et al. “Unique Events Improve Episodic Richness, Enhance Mood, and Alter the Perception of Time during Isolation.” Scientific Reports, vol. 14, no. 1, Nov. 2024, p. 29439. www.nature.com, https://doi.org/10.1038/s41598-024-80591-z


女性更易患 PTSD?新研究揭示创伤后关键脑部变化


创伤后应激障碍(PTSD)不仅影响亲历创伤者,也影响目睹创伤者,但后者的大脑机制尚未被充分研究。弗吉尼亚理工大学的 Yeeun Bae、Morgan Patrick 和 Tim Jarome 等人通过研究揭示了目睹创伤与亲历创伤在分子水平上的差异,并发现性别在脑部反应中的重要差异。


研究团队使用啮齿类动物的间接恐惧学习(IFL)模型,观察大鼠如何通过观看同伴经历创伤来形成恐惧记忆。通过蛋白质组学分析,研究人员发现,目睹创伤会在大脑的杏仁核、前扣带回皮层和压后皮层(retrosplenial cortex)中引发独特的蛋白质降解模式。与直接经历创伤相比,间接获得型恐惧记忆的蛋白质降解模式显著不同,且存在性别差异。女性大脑对间接创伤的反应更为敏感,这可能与 K-63 泛素化蛋白(K-63 ubiquitin,一种与蛋白质降解相关的分子)的作用有关。


研究还发现,观察者大鼠(通过观看同伴经历创伤而间接获得恐惧记忆)的压后皮层中的 Egr2 和 c-fos 表达与演示者大鼠(直接经历创伤)相似,但与伪条件化大鼠(即没有形成恐惧记忆)显著不同。表明压后皮层在恐惧记忆的形成中可能是一个关键脑区,尤其是在间接获得恐惧记忆的过程中。研究发表在 PLOS ONE 上。

#大脑健康 #心理健康与精神疾病 #性别差异 #蛋白质降解 #创伤后应激障碍


阅读更多:

Navabpour, Shaghayegh, et al. “Indirectly Acquired Fear Memories Have Distinct, Sex-Specific Molecular Signatures from Directly Acquired Fear Memories.” PLOS ONE, vol. 19, no. 12, Dec. 2024, p. e0315564. PLoS Journals, https://doi.org/10.1371/journal.pone.0315564


无法预测的疼痛更痛


疼痛感知不仅受实际刺激影响,还与大脑的预测能力密切相关。奥胡斯大学临床医学系的 Francesca Fardo 及其团队通过研究发现,当大脑无法预测疼痛时,即使刺激无害,疼痛感也会显著增强。这一发现为疼痛管理提供了新的科学依据。


以色列医疗设备有哪些追问weekly | 过去一周,脑科学领域有哪些新发现?Vol.63_https://www.jmylbn.com_新闻资讯_第15张

计算参数的微观结构大脑相关性(omega 和 zeta 对比)。Credit: Science Advances (2025).


研究团队结合脑成像技术和计算机建模,对 300 名参与者进行了实验。实验中,参与者被要求预测前臂将感受到的温度刺激(温暖或寒冷),但有时会同时接受两种刺激,引发热烤架错觉(thermal grill illusion),即无害刺激被感知为灼痛。通过定量微观结构脑成像,研究人员发现,不确定性会激活大脑中与预测和决策相关的区域(如楔前叶、后扣带回、小脑、基底节和脑干),从而加剧疼痛感知。研究结果表明,大脑在面对不确定性时倾向于“谨慎行事”,即使没有实际危险,也会增强疼痛感。研究发表在 Science Advances 上。

#认知科学 #疼痛 #预测模型构建 #大脑信号解析 #健康管理与寿命延长


阅读更多:

Ehmsen, Jesper Fischer, et al. “Thermosensory Predictive Coding Underpins an Illusion of Pain.” Science Advances, vol. 11, no. 11, Mar. 2025, p. eadq0261. science.org (Atypon), https://doi.org/10.1126/sciadv.adq0261


TDP-43基因缺失:神经退行性疾病的新线索


康涅狄格大学医学院的研究团队发现,TDP-43基因水平降低可能与阿尔茨海默病、肌萎缩侧索硬化症(ALS)和额颞叶痴呆(FTD)等神经退行性疾病有关。研究由Omar Moustafa Fathy领导,在Patrick A. Murphy的实验室进行,并与Riqiang Yan合作。研究揭示了内皮细胞在疾病中的关键作用。


以色列医疗设备有哪些追问weekly | 过去一周,脑科学领域有哪些新发现?Vol.63_https://www.jmylbn.com_新闻资讯_第16张

对具有内皮细胞和小胶质细胞富集的人体组织样品进行单核分析。Credit: Nature Neuroscience (2025).


研究团队开发了一种创新方法,从冷冻组织中富集内皮细胞,并应用inCITE-seq技术,首次在人体组织中直接测量单细胞中的蛋白质水平信号反应。研究发现,上述疾病的内皮细胞在TDP-43水平上存在显著降低,这可能是导致血脑屏障(BBB)功能障碍的关键因素。研究发表在 Nature Neuroscience 上。

#大脑健康 #神经机制与脑功能解析 #TDP-43 #内皮细胞 #血脑屏障


阅读更多:

Omar, Omar M. F., et al. “Endothelial TDP-43 Depletion Disrupts Core Blood–Brain Barrier Pathways in Neurodegeneration.” Nature Neuroscience, Mar. 2025, pp. 1–12. www.nature.com, https://doi.org/10.1038/s41593-025-01914-5


月经周期不影响认知能力?最新研究打破长期误解


长期以来,关于月经周期是否影响女性认知能力的迷思和猜测广泛存在。为了澄清这一问题,澳大利亚墨尔本大学、新加坡南洋理工大学和美国奥林商学院的 Daisung Jang、Jack Zhang 和 Hillary Anger Elfenbein 进行了一项大规模的荟萃分析,结果显示月经周期并未对女性的认知能力产生显著影响。


研究团队对 102 项涉及 3,943 名女性的研究进行了元分析,这些研究在女性月经周期的不同阶段对其进行了认知测试。研究人员使用 Hedges’ g 作为效应量指标,评估了月经周期不同阶段的认知表现差异。尽管在跨研究比较时遇到了一些困难,如样本量小和自我报告数据多,但研究未发现任何证据表明女性在月经周期的任何阶段认知能力发生变化。研究还分别检查了速度和准确性指标,未发现任何阶段的显著差异。这一发现可能有助于消除关于月经周期影响认知能力的误解。研究发表在 PLOS ONE 上。

#认知科学 #健康管理与寿命延长 #月经周期 #荟萃分析


阅读更多:

Sevim, Gulin Yatagan, et al. “Mindfulness Mediates the Association between Chronotype and Depressive Symptoms in Young Adults.” PLOS ONE, vol. 20, no. 3, Mar. 2025, p. e0319915. PLoS Journals, https://doi.org/10.1371/journal.pone.0319915


前额叶和颞叶萎缩与语言记忆下降直接相关


语言记忆是人类认知功能的重要组成部分,但其神经机制尚不完全清楚。伦敦大学学院的研究团队通过一项新研究,揭示了大脑中与语言记忆相关的关键区域及其在颞叶癫痫患者中的变化。研究团队包括神经科医生和神经外科医生,他们发现前额叶、颞叶和扣带回皮层的萎缩与语言记忆能力下降显著相关。


以色列医疗设备有哪些追问weekly | 过去一周,脑科学领域有哪些新发现?Vol.63_https://www.jmylbn.com_新闻资讯_第17张

图形摘要。Credit: Brain Communications (2025). 


研究团队使用高分辨率MRI扫描测量了84名颞叶癫痫患者和43名健康人的大脑结构,重点关注前额叶、颞叶、扣带回皮层和海马体的大小和形状。通过标准化神经心理学测试,研究人员评估了参与者的语言记忆能力,并发现这些区域的灰质体积减少与记忆表现下降显著相关。特别是在海马体中,齿状回(dentate gyrus)、CA4和CA3亚区的体积较小与较差的记忆能力相关。研究结果表明,语言记忆依赖于一个分布广泛的大脑网络,这一发现为颞叶癫痫患者的神经外科治疗提供了重要参考,帮助医生在手术中避免损害与记忆相关的关键区域。研究发表在 Brain Communications 上。

#大脑健康 #记忆机制 #颞叶癫痫 #语言记忆 #神经外科


阅读更多:

Fiore, Giorgio, et al. “Cortico-Hippocampal Networks Underpin Verbal Memory Encoding in Temporal Lobe Epilepsy.” Brain Communications, vol. 7, no. 2, Apr. 2025, p. fcaf067. Silverchair, https://doi.org/10.1093/braincomms/fcaf067


TikTok 上的ADHD错误信息影响年轻人认知


不列颠哥伦比亚大学的研究团队发现,TikTok上关于注意力缺陷/多动障碍(ADHD)的内容存在大量错误信息,这些信息正在影响年轻人对ADHD的认知。研究由临床心理学博士生Vasileia Karasavva领导,团队分析了100个最受欢迎的ADHD相关TikTok视频,发现其中不到一半的内容与临床诊断指南相符。


标签词云。Credit: Karasavva et al.


研究采用了两部分方法。首先,两位ADHD专家评估了100个最受欢迎的#ADHD TikTok视频的准确性、细微差别和整体质量。其次,843名本科生(包括无ADHD、自我诊断ADHD和正式诊断ADHD的个体)被调查他们的TikTok使用习惯,并评估了心理学家评出的最高和最低分的视频。


结果显示,尽管这些视频非常受欢迎,但其中关于ADHD症状的陈述不到50%与《精神障碍诊断与统计手册》(Diagnostic and Statistical Manual of Mental Disorders)一致。观看更多ADHD相关TikTok内容的年轻人更倾向于推荐这些视频,并且高估了ADHD在普通人群中的普遍性和严重性。研究发表在 PLOS One 上。

#认知科学 #心理健康与精神疾病 #ADHD #TikTok #错误信息


阅读更多:

Karasavva, Vasileia, et al. “A Double-Edged Hashtag: Evaluation of #ADHD-Related TikTok Content and Its Associations with Perceptions of ADHD.” PLOS ONE, vol. 20, no. 3, Mar. 2025, p. e0319335. PLoS Journals, https://doi.org/10.1371/journal.pone.0319335


夜猫子更容易患抑郁症


晚睡的人(晚型人)比早起的人(晨型人)更容易出现抑郁症状,但其原因尚不明确。英国萨里大学的Simon Evans及其团队通过一项新研究,探讨了正念、睡眠质量和酒精消费等因素在这一关联中的作用。


研究团队通过在线问卷收集了546名大学生的数据,包括他们的睡眠模式、正念水平(mindfulness,指对当下经验的非评判性觉察)、沉思倾向、酒精使用以及抑郁和焦虑水平。研究发现,晚型人患抑郁症的风险显著更高,这种关联可以通过正念水平较低、睡眠质量较差以及酒精消费量较高来解释。晚型人的睡眠质量较差,酒精消费量更高,且正念水平较低。研究还指出,尽管研究设计为横断面,无法证明因果关系,但针对正念、睡眠和酒精使用的干预措施可能有助于降低年轻人患抑郁症的风险。研究发表在 PLOS One 上。

#大脑健康 #心理健康与精神疾病 #正念 #睡眠质量 #酒精消费


阅读更多:

Sevim, Gulin Yatagan, et al. “Mindfulness Mediates the Association between Chronotype and Depressive Symptoms in Young Adults.” PLOS ONE, vol. 20, no. 3, Mar. 2025, p. e0319915. PLoS Journals, https://doi.org/10.1371/journal.pone.0319915


贫穷加速衰老:血液蛋白质揭示健康不平等机制


社会劣势是否直接影响生物衰老过程一直是科学界关注的焦点。伦敦大学学院(UCL)的Mika Kivimaki、斯坦福大学的Tony Wyss-Coray和UCL健康老龄化研究所的Linda Partridge等研究人员通过分析超过80万人的数据,发现社会经济条件较差的人群血液中与衰老相关的蛋白质水平较高,患66种与年龄相关疾病的风险也显著增加。


研究基于四项大型纵向研究(Whitehall II、英国生物样本库、芬兰公共部门研究、美国社区动脉粥样硬化研究),采用高级血浆蛋白质组学技术,分析了社会经济条件与血液中循环蛋白质的关系。研究发现,社会经济条件较差的人群血液中14种与衰老相关的蛋白质(如DNAJB9、F2、HSPA1A)水平显著变化,这些蛋白质与炎症和细胞应激反应相关。社会经济劣势人群患66种与年龄相关疾病的风险平均增加20%,其中2型糖尿病、肝病、心脏病等疾病的风险甚至增加两倍以上。研究人员估计,社会经济优势人群疾病风险降低的39%可能与这些蛋白质有关。研究发表在 Nature Medicine 上。

#认知科学 #疾病预防 #健康管理与寿命延长 #社会不平等 #蛋白质组学


阅读更多:

Kivimäki, Mika, et al. “Social Disadvantage Accelerates Aging.” Nature Medicine, Mar. 2025, pp. 1–9. www.nature.com, https://doi.org/10.1038/s41591-025-03563-4


深部脑刺激显著减少孤独症儿童自残行为


孤独症谱系障碍(ASD)儿童的严重自残行为(SIB)可能导致永久性身体伤害甚至死亡,且现有治疗方法效果有限。多伦多大学病童医院、生物医学工程研究所和医学科学院的研究团队探索了深部脑刺激(DBS)在治疗SIB中的潜力。研究结果表明,DBS不仅安全可行,还能显著减少自残行为并改善生活质量。


以色列医疗设备有哪些追问weekly | 过去一周,脑科学领域有哪些新发现?Vol.63_https://www.jmylbn.com_新闻资讯_第18张

(A)参与者招募和处置的 CONSORT 图;(B)研究时间表和程序;(C)电极定位在伏隔核 (NAc) 的核心(浅蓝色)和外壳(深蓝色)内。在一名患有多种基线脑异常的参与者中,左侧深部脑刺激 (DBS) 电极似乎位于此标准空间模板中的 NAc 侧面。Credit: Biological Psychiatry (2024).


研究团队对6名7-14岁患有严重SIB的儿童进行了I期临床试验,通过DBS刺激伏隔核。研究人员使用可穿戴技术量化运动,并通过PET扫描评估大脑代谢变化。结果显示,DBS治疗后,儿童的自残行为显著减少,生活质量得到改善。PET扫描还发现,与SIB相关的脑区(如丘脑、纹状体和颞岛皮层)代谢活动降低,表明DBS通过调节神经回路发挥作用。研究发表在 Biological Psychiatry 上。

#神经技术 #神经调控 #自闭症 #深部脑刺激 #自残行为


阅读更多:

Gorodetsky, Carolina, et al. “Deep Brain Stimulation of the Nucleus Accumbens for Severe Self-Injurious Behavior in Children: A Phase I Pilot Trial.” Biological Psychiatry, vol. 0, no. 0, Dec. 2024. www.biologicalpsychiatryjournal.com, https://doi.org/10.1016/j.biopsych.2024.12.001


失眠果蝇记忆力更强,揭示睡眠与记忆的微妙平衡


睡眠对认知功能和寿命至关重要,但睡眠与记忆之间的信号通路尚不明确。德国柏林自由大学的Sheng Huang、Stephan Sigrist及其团队通过研究果蝇失眠症(inc)突变体,揭示了PKA信号通路在平衡睡眠和记忆功能中的作用,并发现记忆过度可能导致睡眠缺失。


以色列医疗设备有哪些追问weekly | 过去一周,脑科学领域有哪些新发现?Vol.63_https://www.jmylbn.com_新闻资讯_第19张

inc 突变体中的过度记忆功能无法通过 PKA 操作恢复。Credit: Huang S, et al., 2025, PLOS Biology


研究团队使用果蝇失眠症突变体,通过基因修饰剂筛选发现PKA信号通路(Protein Kinase A signaling pathway,一种调节细胞功能的信号通路)特异性介导睡眠缺陷。实验表明,inc突变体尽管严重缺乏睡眠,但在嗅觉学习和记忆任务中表现更好。降低PKA信号可以部分恢复睡眠和寿命,但会进一步加剧记忆过度和蘑菇体(mushroom body,果蝇大脑中负责记忆和睡眠调节的区域)过度生长。研究揭示了PKA信号在平衡睡眠和记忆功能中的作用,并为神经发育障碍(如孤独症)提供了潜在机制联系。研究发表在 PLOS Biology 上。

#认知科学 #记忆机制 #PKA信号通路 #孤独症 #睡眠调节


阅读更多:

Huang, Sheng, et al. “Enhanced Memory despite Severe Sleep Loss in Drosophila Insomniac Mutants.” PLOS Biology, vol. 23, no. 3, Mar. 2025, p. e3003076. PLoS Journals, https://doi.org/10.1371/journal.pbio.3003076


视错觉不再是难题,专业训练可以显著减少


医学成像专家在解决视觉错觉方面表现出色,研究表明,通过培训可以改善视觉感知能力。这项研究由东英吉利大学等四所英国大学的研究团队进行,首次证明人们可以通过训练更好地解决视觉错觉,这在以前被认为几乎是不可能的。


以色列医疗设备有哪些追问weekly | 过去一周,脑科学领域有哪些新发现?Vol.63_https://www.jmylbn.com_新闻资讯_第20张

在这种相对大小感知的艾宾浩斯错觉中,左边的橙色圆圈看起来比右边的橙色圆圈大,但实际上它小了 10%。Credit: Scientific Reports (2025).


研究团队测试了44名放射技师和放射科医生,并与107名非专家的对照组进行了比较。参与者被要求完成Ebbinghaus、Ponzo、Müller-Lyer和Shepard Tabletops视觉错觉的强制选择任务,任务中的物体大小差异不同,测试他们的尺寸辨别能力。结果显示,医学成像专家在所有视觉错觉中(除了Shepard Tabletops)的敏感性显著降低,表明他们的视觉感知能力更强。研究还发现,通过训练,人们可以更好地解决视觉错觉,这为未来培训医学图像分析师提供了可能。研究发表在 Scientific Reports 上。

#认知科学 #个性化医疗 #视觉感知 #医学成像 #视觉错觉


阅读更多:

Wincza, Radoslaw, et al. “Specific Visual Expertise Reduces Susceptibility to Visual Illusions.” Scientific Reports, vol. 15, no. 1, Mar. 2025, p. 5948. www.nature.com, https://doi.org/10.1038/s41598-025-88178-y



AI驱动科学


Nature:AI工具助力科研论文错误检测,提升科学文献质量


近年来,人工智能工具在科研领域的应用日益广泛,尤其是在检测科研论文中的错误方面。这一趋势源于去年媒体广泛报道的黑塑料厨具含有致癌阻燃剂的事件,后来发现该研究存在数学错误,导致风险被夸大。这一事件促使研究人员开发了两种AI工具,用于检测科研论文中的错误。第一个项目是“Black Spatula Project”,由哥伦比亚卡塔赫纳的独立AI研究员Joaquin Gulloso协调,团队包括八名活跃开发者和数百名志愿者顾问。第二个项目是“YesNoError”,由AI企业家Matt Schlicht创立,该项目通过专用加密货币资助,目标更为宏大。


这两个项目都使用大型语言模型来检测论文中的错误,包括事实错误、计算错误、方法论错误和引用错误。系统首先从论文中提取信息,包括表格和图像,然后生成一组复杂的指令(称为“提示”),指导“推理”模型寻找特定类型的错误。模型可能会多次分析同一篇论文,以交叉检查结果。Black Spatula Project已经分析了约500篇论文,发现了大量错误,但尚未公开这些错误。YesNoError在两个月内分析了超过37,000篇论文,并在其网站上标记了存在缺陷的论文,尽管许多错误尚未经过人工验证。两个项目都希望研究人员和期刊在提交和发表前使用这些工具,以避免错误和欺诈进入科学文献。研究发表在 Nature 上。

#认知科学 #自动化科研 #预测模型构建 #跨学科整合 #大模型技术


阅读更多:

Gibney, Elizabeth. “AI Tools Are Spotting Errors in Research Papers: Inside a Growing Movement.” Nature, Mar. 2025. www.nature.com, https://doi.org/10.1038/d41586-025-00648-5


新型忆阻器突破人工神经网络“灾难性遗忘”难题


人工神经网络在学习新任务时常常会遗忘旧任务,这种现象被称为“灾难性遗忘”。为了解决这一问题,尤利希研究中心的Ilia Valov团队与德国和中国的研究人员合作,开发了一种基于全新电化学机制的新型忆阻器。这种忆阻器不仅更稳定,还能在模拟和数字模式下工作,为解决灾难性遗忘问题提供了新途径。


以色列医疗设备有哪些追问weekly | 过去一周,脑科学领域有哪些新发现?Vol.63_https://www.jmylbn.com_新闻资讯_第21张

新型忆阻器示意图。Credit: Nature Communications (2025). 


研究团队设计了一种基于灯丝电导率变化机制(filament conductivity change mechanism, FCM)的忆阻器。与传统的电化学金属化(ECM)和价带变化机制(VCM)不同,FCM忆阻器通过金属氧化物的氧化还原反应实现稳定的电阻切换。这种设计避免了传统忆阻器中的肖特基势垒(Schottky barrier)调制问题,显著提高了器件的化学和电气稳定性。


研究团队通过电学测试、透射电子显微镜(TEM)和光谱分析验证了FCM忆阻器的性能。结果显示,这种忆阻器具有宽电压窗口、高温稳定性和低切换电压,能够在人工神经网络中实现高精度的模式识别。在多个图像数据集的模拟实验中,FCM忆阻器表现出优异的抗灾难性遗忘能力。研究发表在 Nature Communications 上。

#神经技术 #记忆机制 #忆阻器 #人工神经网络 #灾难性遗忘


阅读更多:

Chen, Shaochuan, et al. “Electrochemical Ohmic Memristors for Continual Learning.” Nature Communications, vol. 16, no. 1, Mar. 2025, p. 2348. www.nature.com, https://doi.org/10.1038/s41467-025-57543-w


松鼠启发的机器人实现树枝间精准跳跃


在复杂环境中,松鼠能够轻松跨越间隙并在狭窄的树枝上精准着陆,而现有的机器人却难以做到这一点。为了解决这一问题,加州大学伯克利分校的 Robert Full、Justin Yim 和 Sebastian Lee 等研究人员基于对松鼠跳跃和着陆的生物力学研究,设计了一种能够在狭窄栖息物上平稳着陆的跳跃机器人 Salto。


以色列医疗设备有哪些追问weekly | 过去一周,脑科学领域有哪些新发现?Vol.63_https://www.jmylbn.com_新闻资讯_第22张

顶部照片:一只野生松鼠从一个树枝跳到测量力的仪器化树枝上。底部照片:名为 Salto 的单腿机器人经过修改,可以像跳跃的松鼠一样从一个类似树枝的栖息地跳到另一个栖息地。Credit: Sebastian Lee (top) and Justin Yim (bottom)


研究团队通过高速视频和传感器测量,分析了松鼠在跳跃和着陆时的生物力学特性。他们发现,松鼠在着陆时通过前腿吸收大部分动能(约86%),并通过调整腿部力量和脚部扭矩来平衡着陆。基于这些发现,研究人员对单腿机器人 Salto 进行了改进,使其能够在类似树枝的狭窄支撑物上实现精准着陆。Salto 通过调节腿部力量和反应轮的扭矩,成功实现了多次跳跃和平衡着陆,尽管它没有抓握能力。研究还表明,通过增加径向力控制,可以显著扩大机器人和松鼠的着陆条件范围,初始角动量平衡范围分别增加了230%和470%。这一研究为设计更灵活的机器人提供了重要参考,特别是在复杂环境中的导航和监测任务中。研究发表在 Science Robotics 上。

#认知科学 #跨学科整合 #机器人技术 #生物力学 #精准着陆


阅读更多:

Lee, Sebastian D., et al. “Free-Ranging Squirrels Perform Stable, above-Branch Landings by Balancing Using Leg Force and Nonprehensile Foot Torque.” Journal of Experimental Biology, Feb. 2025, p. jeb.249934. Silverchair, https://doi.org/10.1242/jeb.249934

Yim, Justin K., et al. “Monopedal Robot Branch-to-Branch Leaping and Landing Inspired by Squirrel Balance Control.” Science Robotics, vol. 10, no. 100, Mar. 2025, p. eadq1949. science.org (Atypon), https://doi.org/10.1126/scirobotics.adq1949


机器人当老板,效率不如人


随着机器人在工作场所中扮演权威角色的增加,了解人类对机器人的服从程度及其对工作效率的影响变得尤为重要。来自SWPS大学的Konrad Maj、Tomasz Grzyb、Dariusz Doliński和Magda Franjo等研究人员对此进行了研究,探讨了人类对机器人作为权威人物的服从程度及其对工作效率的影响。


这项研究的通过比较参与者对人形机器人(Pepper)和人类作为权威人物的反应,探讨服从程度和工作效率。参与者被随机分配到机器人或人类监督的小组,任务是更改计算机文件的扩展名。结果显示,参与者对人形机器人的服从程度为63%,低于对人类的75%。在机器人监督下,参与者完成任务的速度更慢,效率也更低。人类监督下更改一个文件扩展名所需平均时间为23秒,而在机器人监督的组中,这个时间增加到82秒。更改的平均文件数量在人类监督下为355个,而在机器人监督下则减少了近37%——224个文件。这表明,尽管机器人可以作为权威角色,但其效率和人类相比存在差距。研究发表在 Cognition, Technology & Work 上。

#认知科学 #自动化科研 #人机交互 #机器人权威 #工作效率


阅读更多:

Maj, Konrad, et al. “Comparing Obedience and Efficiency in Tedious Task Performance under Human and Humanoid Robot Supervision.” Cognition, Technology & Work, Jan. 2025. Springer Link, https://doi.org/10.1007/s10111-024-00787-1


机器人也有“家族树”?新百科全书重新定义机器人分类


随着机器人技术的快速发展,现有的分类方法已无法满足对机器人性能的全面评估。慕尼黑工业大学的研究团队,由Robin Jeanne Kirschner领衔,开发了一部名为“机器人树”(Tree of Robots)的百科全书,旨在根据机器人在任务中的性能适应性进行分类。


以色列医疗设备有哪些追问weekly | 过去一周,脑科学领域有哪些新发现?Vol.63_https://www.jmylbn.com_新闻资讯_第23张

机器人树概念及其首次为工业固定式机械臂建立的分类。Credit: Kirschner et al. (Nature Machine Intelligence, 2025).


研究团队通过测试11种工业机械臂,推导出一组反映机器人基本能力的指标,包括力控制精度和运动适应性。这些指标不仅关注机器人的形态特征,还重点评估其在实际任务中的表现,如触觉适应性。研究结果显示,不同机器人在这些指标上存在显著差异。团队通过期望最大化算法将机器人分类,并建立了“机器人树”的第一部分。这一分类体系不仅为工业机器人提供了明确的性能评估标准,还为未来扩展至服务机器人(如类人机器人和移动机器人)奠定了基础。研究发表在 Nature Machine Intelligence 上。

#神经技术 #自动化科研 #机器人分类 #触觉适应性 #工业机械臂


阅读更多:

Kirschner, Robin Jeanne, et al. “Categorizing Robots by Performance Fitness into the Tree of Robots.” Nature Machine Intelligence, Feb. 2025, pp. 1–12. www.nature.com, https://doi.org/10.1038/s42256-025-00995-y


AIDP在帕金森病诊断中准确率高达96%


帕金森病及其相关疾病的诊断一直具有挑战性,因为它们的症状相似。佛罗里达大学Health Norman Fixel神经疾病研究所的研究人员开发了AIDP软件,通过分析MRI图像和机器学习技术,显著提高了诊断准确率,达到96%以上。


以色列医疗设备有哪些追问weekly | 过去一周,脑科学领域有哪些新发现?Vol.63_https://www.jmylbn.com_新闻资讯_第24张

AIDP 在诊断患者检查中的应用。Credit: JAMA Neurology (2025). 


AIDP软件使用3-T扩散磁共振成像和支撑向量机学习技术,分析患者的大脑扫描图像。研究包括249名患者的前瞻性队列和396名患者的回顾性队列。结果显示,AIDP在区分帕金森病与不典型帕金森病、多系统萎缩与进行性核上性麻痹、帕金森病与多系统萎缩、帕金森病与进行性核上性麻痹方面表现出色,AUROC值在0.96至0.98之间。在尸检病例中,AIDP预测的神经病理学结果与实际情况相符的比例为93.8%。研究发表在 JAMA Neurology 上。

#神经技术 #预测模型构建 #帕金森病 #机器学习 #磁共振成像


阅读更多:

Vaillancourt, David E., et al. “Automated Imaging Differentiation for Parkinsonism.” JAMA Neurology, Mar. 2025. Silverchair, https://doi.org/10.1001/jamaneurol.2025.0112


任务特定工具显著提升大型语言模型的医疗计算能力


大型语言模型(LLMs)在医学领域的应用潜力巨大,但其在处理临床计算任务时存在“幻觉”和算术错误的问题,限制了其在临床工作流程中的整合。Alex J. Goodell、Simon N. Chu、Dara Rouholiman和Larry F. Chu等研究人员对LLMs在医疗计算中的表现进行了深入分析,并探索了多种增强方法。研究结果显示,任务特定工具的整合可以显著提升LLMs在医疗计算中的表现。


研究分为两部分,第一部分评估了ChatGPT在48个临床计算任务中的表现,并引入了一种新的错误分类方案。第二部分评估了三种增强方法:检索增强生成(RAG, retrieval-augmented generation)、代码解释器工具和任务特定的计算工具(OpenMedCalc)。研究发现,未增强的LLMs在医疗计算任务中的错误率较高,但通过任务特定工具的增强,LLaMa和GPT模型的错误率分别降低了5.5倍和13倍。这表明任务特定工具的整合可以显著提升LLMs在医疗计算中的表现。研究发表在 npj Digital Medicine 上。

#认知科学 #预测模型构建 #大型语言模型 #医疗计算 #任务特定工具


阅读更多:

Goodell, Alex J., et al. “Large Language Model Agents Can Use Tools to Perform Clinical Calculations.” Npj Digital Medicine, vol. 8, no. 1, Mar. 2025, pp. 1–13. www.nature.com, https://doi.org/10.1038/s41746-025-01475-8


DeepCeres:AI驱动的超高分辨率小脑分割技术


小脑在认知、情感和运动功能中扮演重要角色,但其复杂的解剖结构使得精确分割成为一大挑战。瓦伦西亚理工大学(UPV)和法国国家科学研究中心(CNRS)的研究团队开发了DeepCeres,这是一款基于人工智能的软件,能够通过高分辨率核磁共振(NMR)图像精确分割小脑的27个结构。该软件已在五个月内处理了近15,000张小脑图像,广泛应用于神经科学研究和临床诊断。


以色列医疗设备有哪些追问weekly | 过去一周,脑科学领域有哪些新发现?Vol.63_https://www.jmylbn.com_新闻资讯_第25张

左图:半自动校正前 WM 标签的 3D 重建和分割的冠状视图。右图:半自动校正后 WM 标签的 3D 重建和分割的冠状视图。校正后的版本中 WM“小脑白质树状结构”的定义更加清晰。Credit: NeuroImage (2025). 


DeepCeres利用深度神经网络将标准分辨率图像(1立方毫米)转换为超高分辨率图像(0.125立方毫米),从而在不依赖初始超高分辨率数据的情况下,提供详细的小脑解剖信息。研究团队还结合了多图谱技术(Multi-Atlas Techniques)和深度学习,显著提高了分割的精度和鲁棒性。与传统U-Net模型不同,DeepCeres通过集成深度网络和经典机器学习方法,进一步提升了小脑分割的准确性。该软件已在研究阿尔茨海默病、精神分裂症、孤独症等疾病方面表现出巨大潜力。研究发表在 NeuroImage 上。

#神经技术 #自动化科研 #小脑分割 #深度学习 #神经科学


阅读更多:

“DeepCERES: A Deep Learning Method for Cerebellar Lobule Segmentation Using Ultra-High Resolution Multimodal MRI.” NeuroImage, vol. 308, Mar. 2025, p. 121063. www.sciencedirect.com, https://doi.org/10.1016/j.neuroimage.2025.121063


从鱼群到机器人:不确定性如何塑造集体智慧?


在集体决策中,异质性和不确定性如何影响共识的形成?柏林工业大学的研究团队通过构建动态模型,揭示了不确定性在集体决策中的关键作用。他们的研究表明,群体在不确定性和异质性的共同作用下,能够更快、更准确地达成共识,但过度自信的个体可能破坏这一过程。


以色列医疗设备有哪些追问weekly | 过去一周,脑科学领域有哪些新发现?Vol.63_https://www.jmylbn.com_新闻资讯_第26张

在机器人学与社会科学的交汇处,研究人员探讨异质性、影响和不确定性如何推动更智能的集体决策——无论是在人类群体、机器人集群还是生物群体中。Credit: SCIoI


研究人员构建了一个动态模型,模拟了群体中个体如何根据新信息调整自己的信念和确定性。模型中,每个个体通过贝叶斯推理量化和更新自身的不确定性,从而自适应地权衡个体信息和社会信息。具体来说,不确定性较高的个体会更依赖同伴的意见,而确定性较高的个体则对群体意见方向产生更大影响。此外,研究人员还考虑了网络中个体的中心度,即个体在群体中的连接数量,发现高度连接的个体即使信息不准确,也可能因其影响力误导整个群体。


研究结果显示,不确定性驱动的自适应加权机制在异质性较高的群体中表现尤为突出。当群体中存在信息质量和连接数量的差异时,不确定性帮助群体自然过滤掉弱信息或偏见信息,从而更快、更准确地达成共识。然而,研究也发现了一个潜在风险:如果高度连接的个体过早变得过度自信(overconfident),即使他们的信息是错误的,也可能主导群体决策,导致共识偏离正确方向。这一发现对人工智能、机器人集群以及人类社会的集体决策设计具有重要启示。研究发表在 Scientific Reports 上。

#认知科学 #预测模型构建 #集体决策 #不确定性 #异质性


阅读更多:

Mengers, Vito, et al. “Leveraging Uncertainty in Collective Opinion Dynamics with Heterogeneity.” Scientific Reports, vol. 14, no. 1, Nov. 2024, p. 27314. www.nature.com, https://doi.org/10.1038/s41598-024-78856-8


机器学习帮助医生检测“脑海啸”


扩散去极化(SDs)是急性脑损伤后病变发展和不良结果的新机制,但准确诊断是其在神经重症监护中广泛应用的主要障碍。辛辛那提大学的Jed Hartings及其团队开发了一种利用机器学习自动检测SDs的方法,成功识别出3,500多个SD事件,显示出高敏感性和特异性。


以色列医疗设备有哪些追问weekly | 过去一周,脑科学领域有哪些新发现?Vol.63_https://www.jmylbn.com_新闻资讯_第27张

推广去极化评分和模型开发的。Credit: Scientific Reports (2025). 


研究团队使用超过2,000小时的脑监测数据训练机器学习模型,成功识别出3,500多个SD事件。模型使用400秒的脑电图(ECoG)片段,采样率为0.1 Hz,通过梯度提升模型实现最佳性能。该模型在新数据集上测试,显示出高敏感性和低误报率,表明自动化检测可以补充甚至超越专家评分。研究发表在 Scientific Reports 上。

#神经技术 #自动化科研 #大脑健康 #机器学习 #脑电图


阅读更多:

Puchala, Sreekar, et al. “Automated Detection of Spreading Depolarizations in Electrocorticography.” Scientific Reports, vol. 15, no. 1, Mar. 2025, p. 8556. www.nature.com, https://doi.org/10.1038/s41598-025-91623-7


人造语言与自然语言:大脑的反应竟如此相似


语言处理机制一直是神经科学研究的重点。麻省理工学院的 Evelina Fedorenko 和 Saima Malik-Moraleda 带领团队,通过功能性磁共振成像(fMRI)技术,研究了大脑对构造语言(如世界语、克林贡语等)的反应,发现它们与自然语言的处理机制相似。


研究团队召集了 44 名精通构造语言的说话者,利用fMRI扫描他们的大脑活动。结果显示,当参与者听到他们精通的构造语言时,大脑中与处理母语时激活相同的区域亮起。这表明,构造语言与自然语言在大脑中的处理机制相似,关键在于它们都能表达丰富的意义。研究还发现,构造语言的使用者数量、历史或创造方式并不影响大脑对它们的处理方式。研究发表在 PNAS 上。

#认知科学 #神经机制与脑功能解析 #构造语言 #fMRI


阅读更多:

Malik-Moraleda, Saima, et al. “Constructed Languages Are Processed by the Same Brain Mechanisms as Natural Languages.” Proceedings of the National Academy of Sciences, vol. 122, no. 12, Mar. 2025, p. e2313473122. pnas.org (Atypon), https://doi.org/10.1073/pnas.2313473122


MetaVision3D:AI驱动的三维脑代谢组图谱


空间代谢组学通过高分辨率映射代谢物,揭示了细胞代谢和疾病机制的关键见解。Xin Ma等研究人员开发了MetaVision3D,一个由计算机视觉驱动的管道,用于将连续的2D MALDI质谱成像切片转换为高分辨率的3D空间代谢组。


MetaVision3D使用先进的算法进行图像配准、归一化和插值,以实现连续2D组织切片的整合,从而生成一个全面的3D模型,展示宿主组织中独特的多样化代谢物。作为原理验证,MetaVision3D被用于生成正常和患病小鼠的3D代谢组图谱。


研究结果显示,MetaVision3D不仅提高了空间数据的精度和分辨率,还能补偿MALDI成像中固有的实验和技术变异性。通过MetaVision3D,研究团队首次构建了小鼠大脑的中尺度3D代谢组图谱,揭示了代谢物分布与大脑功能之间的密切关系。例如,脂质物种PE 44:12在小脑的分子层和颗粒层中富集,暗示其在运动和认知功能中的独特代谢需求。PS 38:6在海马齿状回中显著富集,表明其在这一与记忆形成和空间导航相关的海马亚区中的特殊功能。此外,磷酸肌醇如PI 38:5和PS 40:6主要分布在前额叶皮层,这一区域与高级认知功能相关,同时在海马和小脑的颗粒层中也显著存在,这些区域分别对突触可塑性和运动控制至关重要。


未来,研究团队计划扩展3D代谢组图谱数据库,涵盖更多分子类别,如小分子代谢物、糖原和糖相关复合碳水化合物,并将MetaVision3D应用于其他器官的3D代谢研究,以创建全身代谢图谱。研究发表在Nature Metabolism 上。

#神经技术 #自动化科研 #空间代谢组学 #MALDI质谱成像 #3D代谢组图谱


阅读更多:

Ma, Xin, et al. “AI-Driven Framework to Map the Brain Metabolome in Three Dimensions.” Nature Metabolism, Mar. 2025, pp. 1–12. www.nature.com, https://doi.org/10.1038/s42255-025-01242-9


NicheCompass:深度学习模型揭示细胞间通讯


细胞间的相互作用在组织形成中至关重要,但现有的计算方法很少利用这些相互作用来识别和表征细胞群落(niches)。为了填补这一空白,Wellcome Sanger Institute、Helmholtz Munich的AI for Health Institute、University of Würzburg等机构的研究人员共同开发了NicheCompass,作为人类细胞图谱计划的一部分。这一模型通过深度学习技术,揭示了细胞间通讯的新机制。


NicheCompass是一种基于图深度学习的模型,通过建模细胞间的通讯来学习可解释的细胞嵌入,从而识别细胞群落及其潜在过程。研究显示,NicheCompass在小鼠胚胎发育和人类癌症(如乳腺癌和肺癌)中展示了其有效性。例如,在肺癌患者中,NicheCompass能够识别癌细胞与免疫系统之间的相互作用差异,为个性化治疗提供了新的线索。此外,研究人员还将其应用于包含840万个细胞的小鼠大脑空间图谱,成功构建了整个器官的视觉资源,展示了其可扩展性和跨技术适用性。研究发表在 Nature Genetics 上。

#神经技术 #预测模型构建 #细胞间通讯 #深度学习 #个性化医疗


阅读更多:

Birk, Sebastian, et al. “Quantitative Characterization of Cell Niches in Spatially Resolved Omics Data.” Nature Genetics, Mar. 2025, pp. 1–13. www.nature.com, https://doi.org/10.1038/s41588-025-02120-6


AI诊断新突破:实验室数据让准确率飙升30%


鉴别诊断(DDx)是医学中的关键步骤,但传统方法依赖医生的经验和有限的临床数据。为了探索实验室数据对AI诊断的影响,研究人员进行了这项研究,测试了五种大型语言模型(LLMs)在结合实验室数据后的诊断表现,发现实验室数据显著提升了AI的诊断准确性。


研究团队从PMC-Patients数据集中随机选取了50个临床案例,结合人口统计、症状和实验室数据,测试了GPT-4、GPT-3.5、Llama-2-70b、Claude-2和Mixtral-8x7B五种LLMs在生成Top 10、Top 5和Top 1鉴别诊断中的表现。结果显示,实验室数据的加入使LLMs的准确性提高了30%。GPT-4表现最佳,Top 1准确率达到55%,宽松准确率高达79%。实验室数据中的肝功能、代谢/毒理学面板(metabolic/toxicology panels)和血清学检测结果被LLMs正确解读,显著提升了诊断准确性。研究发表在 npj Digital Medicine 上。

#神经技术 #个性化医疗 #大模型技术 #鉴别诊断 #实验室数据 #GPT-4


阅读更多:

Bhasuran, Balu, et al. “Preliminary Analysis of the Impact of Lab Results on Large Language Model Generated Differential Diagnoses.” Npj Digital Medicine, vol. 8, no. 1, Mar. 2025, pp. 1–15. www.nature.com, https://doi.org/10.1038/s41746-025-01556-8


五滴血测出你的“衰老速度”,AI模型揭示压力如何加速衰老


衰老不仅仅是时间的流逝,还受到遗传、生活方式和环境因素的影响。大阪大学的研究人员开发了一种新型人工智能模型,通过分析血液中的22种类固醇激素来估算生物年龄。该模型揭示了压力相关激素如皮质醇对衰老的显著影响。


以色列医疗设备有哪些追问weekly | 过去一周,脑科学领域有哪些新发现?Vol.63_https://www.jmylbn.com_新闻资讯_第28张

左上:分析一小份血液样本以测量 22 种关键类固醇,并将数据输入 AI 系统以计算生物年龄。右上:AI 预测的生物年龄(BA)与实际年龄(CA)存在一般相关性,但个体差异随时间而扩大。底部:使用“河流随水流而变宽”的隐喻,插图展示了生物年龄随时间推移而演变的过程。Credit: Zi Wang


研究团队使用深度神经网络模型,结合类固醇代谢途径,分析了148份血清样本中的22种类固醇激素。模型通过类固醇比率而非绝对水平来评估生物年龄,减少了个体差异带来的噪声。研究发现,生物年龄差异随着年龄增长而扩大,皮质醇水平翻倍时,生物年龄增加约1.5倍,表明慢性压力可能加速衰老。这一模型为个性化健康管理提供了新的工具,未来可能用于早期疾病检测和定制化健康计划。研究发表在 Science Advances 上。

#神经技术 #健康管理与寿命延长 #预测模型构建 #个性化医疗 #类固醇激素 #深度神经网络


阅读更多:

Wang, Qiuyi, et al. “Biological Age Prediction Using a DNN Model Based on Pathways of Steroidogenesis.” Science Advances, vol. 11, no. 11, Mar. 2025, p. eadt2624. science.org (Atypon), https://doi.org/10.1126/sciadv.adt2624


AI模型PFTSleep以高精度分析整夜睡眠数据


睡眠分析通常依赖人工评分或仅处理短片段数据,限制了效率和准确性。西奈山医院伊坎医学院的研究团队开发了一种基于Transformer架构的AI模型PFTSleep,能够分析整夜的睡眠数据,显著提高了睡眠阶段分类的准确性。


以色列医疗设备有哪些追问weekly | 过去一周,脑科学领域有哪些新发现?Vol.63_https://www.jmylbn.com_新闻资讯_第29张

基于 Transformer 的人工智能模型分析来自大脑、运动、心脏和呼吸数据的八小时睡眠信号,以生成摘要,这些摘要随后被用于对整夜的睡眠阶段进行分类。Credit: Benjamin Fox, Ph.D. candidate at the Icahn School of Medicine at Mount Sinai.


研究团队使用多导睡眠图的8小时多通道数据训练了PFTSleep模型,包括脑电波(EEG)、运动、心脏、氧气和呼吸信号。模型在Sleep Heart Health Study(SHHS)数据集上训练和验证,并在Multi-Ethnic Study of Atherosclerosis(MESA)数据集上测试。


结果显示,模型在SHHS验证集上的AUPRC(精确召回曲线下面积)和AUROC(受试者工作特征曲线下面积)得分显著优于现有方法,特别是在REM(快速眼动)和清醒阶段的分类上表现突出。例如,REM阶段的AUPRC得分为0.82,AUROC得分为0.99。研究结果表明,使用整夜多通道数据的Transformer模型能显著提高睡眠阶段分类的准确性,为睡眠研究和临床应用提供了更高效的工具。研究发表在 SLEEP 上。

#神经技术 #预测模型构建 #睡眠分析 #Transformer模型 #多导睡眠图


阅读更多:

Fox, Benjamin, et al. “A Foundational Transformer Leveraging Full Night, Multichannel Sleep Study Data Accurately Classifies Sleep Stages.” medRxiv: The Preprint Server for Health Sciences, Aug. 2024, p. 2024.08.02.24311417. PubMed, https://doi.org/10.1101/2024.08.02.24311417


6G 网络将像人类一样思考


当前无线技术和人工智能(AI)在常识推理方面存在显著差距,限制了其在复杂场景中的应用。弗吉尼亚理工大学的 Walid Saad、Omar Hashash 和 Christo Thomas 团队提出,通过将下一代 AI 与无线技术深度融合,赋予系统类似于人类的思考、想象和规划能力,才能实现真正的无线革命。


以色列医疗设备有哪些追问weekly | 过去一周,脑科学领域有哪些新发现?Vol.63_https://www.jmylbn.com_新闻资讯_第30张

(从左至右)瓦利德·萨德和博士生奥马尔·哈沙什尝试一款类似于在元宇宙中与数字孪生互动时经常使用的虚拟现实头盔。Credit: Photo by Chelsea Seeber for Virginia Tech.


研究团队提出了一种基于感知模块、世界模型和行动规划组件的 AI 原生无线系统(AI-native networks)。感知模块通过抽象现实世界元素创建可推广的表示,世界模型则基于因果关系和高维计算(HD computing)构建,能够模拟物理世界的复杂运作。行动规划组件使系统能够处理未预见的场景、捕捉直观物理规律、进行类比推理和填补信息空白。


研究还指出,当前的 AI 工具(如自动编码器和现成的人工神经网络)在处理复杂无线环境时存在局限性。未来的 6G 网络需要具备常识推理能力的 AI 系统,以支持元宇宙、数字孪生(digital twins)和全息传输等新兴应用。通过将 AI 与无线技术无缝融合,研究团队为未来的 AGI 原生系统奠定了基础,使其能够无缝协调物理、虚拟和数字维度。研究发表在 Proceedings of the IEEE 上。

#认知科学 #跨学科整合 #人工通用智能 #6G网络 #数字孪生


阅读更多:

Saad, Walid, et al. “Artificial General Intelligence (AGI)-Native Wireless Systems: A Journey Beyond 6G.” Proceedings of the IEEE, 2025, pp. 1–39. IEEE Xplore, https://doi.org/10.1109/JPROC.2025.3526887


智能连体裤精准监测婴儿运动发展


早期运动发展对儿童神经认知表现至关重要,但现有方法无法在家庭环境中进行准确监测。赫尔辛基大学的Sampsa Vanhatalo和Manu Airaksinen团队开发了MAIJU智能连体裤,利用AI算法实现了婴儿运动发展的家庭监测,结果显示其准确性与世界卫生组织(WHO)专家相当。


以色列医疗设备有哪些追问weekly | 过去一周,脑科学领域有哪些新发现?Vol.63_https://www.jmylbn.com_新闻资讯_第31张

一个穿着智能连体裤的孩子在玩玩具车。Credit: Sampsa Vanhatalo


MAIJU智能连体裤基于多传感器测量(multisensor measurements),父母在家中对134名4至22个月大的婴儿进行了620次无监督测量。AI算法检测大运动里程碑(GMM, Gross Motor Milestones)的完成、测量关键姿势时间,并纵向跟踪整体运动发展。结果显示,算法检测GMM的准确率在交叉验证中达到90.9%-95.5%,外部验证中达到92.4%-96.8%,与WHO专家水平相当。可穿戴设备得出的姿势时间与父母评估强相关(ρ = .48–.81),个体运动成熟轨迹与婴儿年龄强相关(ρ = .93)。这一方法为家庭环境中的婴儿运动发展监测提供了可靠工具,未来可用于筛查发育迟缓、评估康复效果及跨国研究。研究发表在 Pediatrics 上。

#神经技术 #个性化医疗 #健康管理与寿命延长 #婴儿运动发展 #AI算法


阅读更多:

Airaksinen, Manu, et al. “Assessing Infant Gross Motor Performance With an At-Home Wearable.” Pediatrics, Mar. 2025, p. e2024068647. Silverchair, https://doi.org/10.1542/peds.2024-068647


Unfold AI精准预测前列腺癌治疗效果,减少72%治疗失败


前列腺癌的局部治疗(如部分腺体冷冻消融,PGA)在治疗局限性肿瘤方面具有潜力,但传统方法往往低估肿瘤体积,导致治疗失败和复发。为了解决这一问题,加州大学洛杉矶分校(UCLA)和Avenda Health的研究团队开发了人工智能工具Unfold AI,用于更准确地预测肿瘤体积和治疗效果。


以色列医疗设备有哪些追问weekly | 过去一周,脑科学领域有哪些新发现?Vol.63_https://www.jmylbn.com_新闻资讯_第32张

(A) 不同风险边界下的 AI 肿瘤体积与(B)接受 PGA 评估但接受根治性前列腺切除术的患者整体手术病理的对比。Credit: BJUI Compass (2024).


研究团队对204名接受PGA治疗的前列腺癌患者进行了临床试验,使用Unfold AI生成三维肿瘤地图,并与传统指标(如肿瘤分级和PSA水平)进行比较。结果显示,肿瘤体积是治疗成功的最强预测因素,肿瘤体积小于1.5立方厘米的患者治疗效果显著更好。使用1.5立方厘米作为PGA的入选标准可以防止72%的治疗失败。研究发表在 BJUI Compass 上。

#神经技术 #个性化医疗 #前列腺癌 #AI预测模型 #局部治疗


阅读更多:

Brisbane, Wayne G., et al. “Focal Therapy of Prostate Cancer: Use of Artificial Intelligence to Define Tumour Volume and Predict Treatment Outcomes.” BJUI Compass, vol. 6, no. 1, 2025, p. e456. Wiley Online Library, https://doi.org/10.1002/bco2.456


手机摄像头实现高精度心率监测


心率监测是评估心血管健康的重要手段,但传统设备价格昂贵且不便携。谷歌研究团队开发了一种基于智能手机摄像头的深度学习系统PHRM,能够通过面部视频实现心率和静息心率(RHR)的被动监测。


以色列医疗设备有哪些追问weekly | 过去一周,脑科学领域有哪些新发现?Vol.63_https://www.jmylbn.com_新闻资讯_第33张

代表性示例,展示了用于验证 PHRM 的自由生活数据的多样性。Credit: arXiv (2025).


PHRM系统利用光电容积描记法(photoplethysmography),通过分析智能手机前置摄像头拍摄的面部视频中的光线反射来测量心率。研究团队对495名志愿者提供的225,773段面部视频进行了测试,并在205名参与者提供的185,970段视频中进行了验证。结果显示,PHRM系统在不同肤色和光照条件下的心率测量误差均小于10%,且与可穿戴设备相比,每日RHR的误差小于5 bpm。这一系统无需额外设备,仅需一部智能手机即可实现高精度心率监测,有望让全球数十亿人受益。

#神经技术 #个性化医疗 #健康管理与寿命延长 #智能手机 #心率监测


阅读更多:

Liao, Shun, et al. Passive Heart Rate Monitoring During Smartphone Use in Everyday Life. arXiv:2503.03783, arXiv, 8 Mar. 2025. arXiv.org, https://doi.org/10.48550/arXiv.2503.03783


AI被视为“伟大机器”可能削弱国家安全危机应对


弗吉尼亚联邦大学的Christopher Whyte博士及其团队研究了人工智能在国家安全危机应对中的影响。他们通过模拟AI攻击,观察了近700名应急管理和国家安全专业人士的反应,发现面对完全由AI驱动的威胁时,专业人士表现出更多的犹豫和自我怀疑。


研究团队设计了一个模拟游戏,参与者面临一个典型的国家安全威胁:外国政府干涉选举。参与者被分配到三种情景之一:仅涉及人类黑客的控制情景、轻度AI参与的情景和高度AI参与的情景。结果显示,面对高度AI参与的“天网”级别威胁时,专业人士更倾向于怀疑自己的训练并犹豫不决,而认为AI可以完全取代其专业实践的个体则表现出鲁莽行为。尽管经验和教育有助于调节对AI辅助攻击的反应,但它们对“天网”级别威胁的反应没有影响。研究发表在Journal of Homeland Security and Emergency Management上。

#认知科学 #自动化科研 #国家安全 #人工智能 #决策制定


阅读更多:

Whyte, Christopher. “Artificial Intelligence and the ‘Great Machine’ Problem: Avoiding Technology Oversimplification in Homeland Security and Emergency Management.” Journal of Homeland Security and Emergency Management, Feb. 2025. www.degruyter.com, https://doi.org/10.1515/jhsem-2024-0030


手机拍照即可获取食物的精确营养分析


饮食相关健康问题的增加催生了精确营养分析系统的需求。纽约大学坦顿工程学院的Prabodh Panindre和Sunil Kumar等人开发了一种基于人工智能的食品扫描系统,能够通过手机照片分析食物的营养成分,帮助用户管理体重、糖尿病等健康问题。


以色列医疗设备有哪些追问weekly | 过去一周,脑科学领域有哪些新发现?Vol.63_https://www.jmylbn.com_新闻资讯_第34张

YOLOv8-m 模型食品检测。从左到右:(a)披萨切片(b)伊迪利桑巴(c)热狗(d)巴克拉瓦。Credit: NYU Tandon School of Engineering


研究团队利用深度学习算法YOLOv8结合ONNX Runtime技术,开发了一个基于网页的食品识别系统。该系统通过图像处理技术识别食物并计算其体积,结合密度和宏量营养素数据,生成精确的营养分析结果。例如,对披萨切片的分析结果为317卡路里、10克蛋白质、40克碳水化合物和13克脂肪,与参考标准高度一致。系统在实验中表现出色,平均精度(mAP)达到0.7941,能够准确识别重叠或部分遮挡的食物。研究团队还通过合并相似食物类别、去除示例过少的食物类型,优化了训练数据集,最终包含95,000个实例和214种食物类别。系统已部署为网页应用,支持实时饮食监测,未来可扩展至更广泛的医疗保健领域。研究发表在 6th IEEE International Conference on Mobile Computing and Sustainable Informatics 上。

#认知科学 #个性化医疗 #人工智能 #营养分析 #健康管理


阅读更多:

Panindre, Prabodh, et al. “Deep Learning Framework for Food Item Recognition and Nutrition Assessment.” 2025 6th International Conference on Mobile Computing and Sustainable Informatics (ICMCSI), 2025, pp. 1648–53. IEEE Xplore, https://doi.org/10.1109/ICMCSI64620.2025.10883519


谷歌推出AI co-scientist,旨在辅助科学家生成研究假设


谷歌近期推出了一款名为AI co-scientist的人工智能系统,旨在辅助科学家生成研究假设,特别是在生物医学领域。该系统已成功应用于药物再利用、药物靶点发现以及解释抗菌素耐药性等方面。


科学研究的核心在于提出新颖的假设并通过实验验证。为加速这一过程,谷歌开发了AI co-scientist系统。该系统基于谷歌的Gemini 2.0大型语言模型家族,由多个智能体(agent)组成,能够在用户提供的研究目标和约束条件下,生成深入的研究提案。这一工具已在斯坦福大学和伦敦帝国理工学院进行了测试,展示了其在处理大量文献和生成新假设方面的高级推理能力。


AI co-scientist系统接受研究目标的文本描述,包括相关的约束或想法。随后,它利用基于Gemini 2.0的七个智能体生成研究提案,并对其进行审查、排名和改进。这些智能体包括:


监督智能体:定期确定其他智能体的运行频率、输出重要性以及系统是否完成任务。


生成智能体:生成提案列表,搜索相关研究文章,识别可测试的假设,并自我辩论以改进模糊陈述并遵守约束条件。


反思智能体:根据正确性、质量、安全性和新颖性筛选生成的提案,检查假设并模拟提议的实验。


接近度智能体:计算提案之间的相似性以避免冗余。


排名智能体:通过对提案进行两两比较和自我辩论,确定最佳提案。


进化智能体:通过改进现有提案生成新提案,包括简化当前想法、结合排名靠前的想法以及生成与当前提案非常不同的新提案。


元审查智能体:识别反思智能体审查和排名智能体辩论中的常见模式,并将反馈提供给反思和生成智能体,以改进未来的审查和提案生成。


在实际应用中,AI co-scientist系统在药物再利用方面取得了显著成果。例如,研究人员针对急性髓性白血病生成了30个排名最高的实验提案,并与人类专家分享。专家选择了其中的五个进行实验,结果显示,其中三种药物在临床适用浓度下成功杀死了急性髓性白血病细胞。此外,在新的药物靶点发现方面,AI co-scientist提出了新的表观遗传学靶点用于治疗肝纤维化,并在人体肝类器官中验证了其抗纤维化活性和肝细胞再生能力。在抗菌素耐药性研究中,AI co-scientist通过并行的计算发现了一种新的基因转移机制,这一结果与未发表的实验结果相吻合。


这些成果展示了AI co-scientist在增强生物医学和科学发现方面的潜力,标志着AI赋能科学家的新时代的到来。 


#人工智能 #药物发现 #科学研究


阅读更多:

https://www.deeplearning.ai/the-batch/ai-co-scientist-an-agent-that-generates-research-hypotheses-aiding-drug-discovery/?utm_campaign=The%20Batch&utm_content=328055976&utm_medium=social&utm_source=twitter&hss_channel=tw-992153930095251456


腿式机器人通过强化学习框架成功学会滑板


腿式机器人通常受到动物和昆虫的启发,可以帮助人类完成各种现实世界的任务。密歇根大学计算自主和机器人实验室 (CURLY Lab) 和南方科技大学的研究人员开发了一种基于强化学习的框架,使腿式机器人能够成功使用滑板。


以色列医疗设备有哪些追问weekly | 过去一周,脑科学领域有哪些新发现?Vol.63_https://www.jmylbn.com_新闻资讯_第35张

Credit: Liu et al. 


研究人员开发了一种名为离散时间混合自动机学习 (DHAL) 的新框架,该框架可以识别突变,随后使用基于回归的技术学习系统动态的每个连续部分,从而减少不连续效应,这种效应会损害机器人在滑板等任务上的表现。在初步测试中,研究人员发现,它允许四足机器人顺利踏上滑板,并利用滑板快速前进,同时在后面拉着一辆小推车。

#神经技术 #预测模型构建 #自动化科研 #腿式机器人 #强化学习


阅读更多:

Liu, Hang, et al. Discrete-Time Hybrid Automata Learning: Legged Locomotion Meets Skateboarding. arXiv:2503.01842, arXiv, 3 Mar. 2025. arXiv.org, https://doi.org/10.48550/arXiv.2503.01842


麻省理工学院开发出多向弯曲人工肌肉


麻省理工学院的工程师们开发了一种能够在多个方向上弯曲的人工肌肉,这种肌肉可以像人眼虹膜一样同时向中心和径向拉动。研究团队由Ritu Raman领导,成员包括Tamara Rossy、Laura Schwendeman等。他们使用了一种新的“冲压”方法,通过3D打印技术制造了一个带有微观凹槽的邮票,将肌肉细胞接种到水凝胶中,细胞沿着凹槽生长形成纤维。当刺激这些纤维时,肌肉能够在多个方向上收缩。


以色列医疗设备有哪些追问weekly | 过去一周,脑科学领域有哪些新发现?Vol.63_https://www.jmylbn.com_新闻资讯_第36张

麻省理工学院工程师培养了一种人工肌肉结构,该结构可以同时向中心和径向拉动,这与人眼虹膜调节瞳孔扩张和收缩的方式非常相似。Credit: Massachusetts Institute of Technology


研究团队开发了一种名为STAMP(简单模板化执行器通过微地形图案化)的方法,使用可重复使用的3D打印邮票在水凝胶表面图案化微地形。这种方法可以精确控制小鼠和人类骨骼肌纤维的排列,而不影响其成熟或功能。研究团队设计了一个受虹膜启发的平面软机器人,利用同心和径向肌肉纤维的空间分离区域来控制瞳孔扩张。通过光遗传学技术,选择性光刺激可以控制虹膜的功能,包括瞳孔收缩。计算模型验证了实验结果的准确性,展示了STAMP方法在设计、制造和测试复杂多自由度运动的平面生物混合机器人方面的潜力。研究发表在 Biomaterials Science 上。

#神经技术 #自动化科研 #人工肌肉 #软体机器人 #光遗传学


阅读更多:

Rossy, Tamara, et al. “Leveraging Microtopography to Pattern Multi-Oriented Muscle Actuators.” Biomaterials Science, Mar. 2025. pubs.rsc.org, https://doi.org/10.1039/D4BM01017E


大模型技术


多模态机器学习显著提高欺骗检测准确性


欺骗检测在国家安全、隐私、司法和法庭审判等领域至关重要。Gargi Joshi, Vaibhav Tasgaonkar, Aditya Deshpande等研究人员开发了CogniModal-D,一个针对印度人群的多模态数据集,涵盖七种模态:脑电图(EEG)、心电图(ECG)、眼电图(EOG)、眼动、皮肤电反应(GSR)、音频和视频,数据来自100多名受试者。研究结果表明,多模态特征在欺骗检测中提供了优越的区分能力。


研究团队采用了多模态AI融合方法,整合了多种语言和非语言线索,显著提高了欺骗检测的准确性。与单一模态方法相比,多模态融合方法在模拟犯罪和最好朋友场景中的性能提高了15%。行为模态(音频、视频、眼动、GSR)比神经生理模态(EEG、ECG、EOG)更稳健。研究结果表明,多模态特征在欺骗检测中提供了优越的区分能力,强调了整合多种模态在开发稳健、可扩展和先进的欺骗检测系统中的关键作用。研究发表在 Scientific Reports 上。

#认知科学 #预测模型构建 #多模态融合 #欺骗检测 #印度人群


阅读更多:

Joshi, Gargi, et al. “Multimodal Machine Learning for Deception Detection Using Behavioral and Physiological Data.” Scientific Reports, vol. 15, no. 1, Mar. 2025, p. 8943. www.nature.com, https://doi.org/10.1038/s41598-025-92399-6


开源AI模型在复杂医疗诊断中媲美顶级闭源模型


人工智能在医学诊断中的应用日益广泛,但开源模型的表现一直落后于闭源模型。哈佛医学院的Arjun Manrai和Thomas Buckley与贝斯以色列德科恩医疗中心及布里格姆与妇女医院的临床医生合作,评估了开源模型Llama 3.1 405B在复杂诊断任务中的表现,发现其与闭源模型GPT-4相当。


研究比较了开源模型Llama 3.1 405B和闭源模型GPT-4在92个复杂临床案例中的表现。这些案例来自《新英格兰医学杂志》的专栏,涵盖复杂诊断场景。开源模型在70%的案例中正确诊断,优于GPT-4的64%。在22个新案例中,开源模型的正确诊断率进一步提升至73%。研究还发现,开源模型在保护患者数据隐私和满足本地化需求方面具有优势。研究发表在 JAMA Health Forum 上。

#认知科学 #个性化医疗 #开源AI #医疗诊断 #数据隐私


阅读更多:

Buckley, Thomas A., et al. “Comparison of Frontier Open-Source and Proprietary Large Language Models for Complex Diagnoses.” JAMA Health Forum, vol. 6, no. 3, Mar. 2025, p. e250040. Silverchair, https://doi.org/10.1001/jamahealthforum.2025.0040


ϕ-Decoding:自适应前瞻采样策略,平衡推理时的探索与利用


在大型语言模型的推理过程中,如何平衡探索与利用一直是一个关键挑战。传统的自回归生成方法虽然高效,但缺乏全局视野,而基于搜索的方法虽然能找到全局最优解,却因搜索空间过大导致计算成本高昂。为了解决这一问题,来自上海人工智能实验室、西安交通大学的研究人员提出了一种名为 ϕ-Decoding 的新型解码策略。该策略通过前瞻采样(foresight sampling)模拟未来步骤,从而在推理时实现探索与利用的高效平衡。


ϕ-Decoding 的核心在于通过前瞻路径推导出两个分布:一个基于步骤优势值,捕捉连续步骤之间的不确定性差异;另一个通过聚类对齐前瞻路径。通过从联合分布中采样,ϕ-Decoding 能够选择最优步骤进行利用。此外,该策略还引入了宽度和深度剪枝技术,自适应地分配计算资源,避免在简单步骤上过度计算。实验表明,ϕ-Decoding 在多个推理基准测试中显著优于现有方法,尤其是在计算效率与性能之间取得了良好平衡。例如,它在 LLaMA3.1-Instruct-8B 模型上的平均性能提升了超过 14%。

#ϕ-Decoding #前瞻采样 #推理优化 #大型语言模型 #自适应剪枝


阅读更多:

Xu, Fangzhi, et al. $φ$-Decoding: Adaptive Foresight Sampling for Balanced Inference-Time Exploration and Exploitation. arXiv:2503.13288, arXiv, 17 Mar. 2025. arXiv.org, https://doi.org/10.48550/arXiv.2503.13288


AI能力每7个月翻一番,未来5年或可自动化复杂软件任务


现有AI基准测试难以全面衡量AI系统的真实能力。为解决这一问题,初创公司METR的研究团队提出了一种新指标——“50%任务完成时间范围”(TCTH),以人类能力为基准量化AI系统的表现。


以色列医疗设备有哪些追问weekly | 过去一周,脑科学领域有哪些新发现?Vol.63_https://www.jmylbn.com_新闻资讯_第37张

测量 AI 代理时间范围的方法。 Credit: arXiv (2025).


研究团队设计了170项任务,涵盖研究或软件工程所需的技能,包括HCAST、RE-Bench和软件原子操作(SWAA)等数据集。通过测量人类完成这些任务的时间,并与AI模型的表现进行对比,研究团队计算了AI模型在50%成功率下的任务完成时间范围。结果显示,自2019年以来,AI模型的50%任务完成时间范围每7个月翻一番。例如,最新版本的Claude 3.7 Sonnet可以在50分钟内完成人类平均需要59分钟完成的任务的50%。这一进步主要得益于AI模型在逻辑推理、工具使用和任务执行可靠性方面的提升。研究还指出,AI模型在非结构化任务上的表现较差,但整体趋势表明,AI可能在5年内自动化许多目前需要人类一个月才能完成的软件任务。

#认知科学 #自动化科研 #AI能力评估 #任务完成时间范围 #逻辑推理


阅读更多:

Kwa, Thomas, et al. Measuring AI Ability to Complete Long Tasks. arXiv:2503.14499, arXiv, 18 Mar. 2025. arXiv.org, https://doi.org/10.48550/arXiv.2503.14499


KBLaM:将外部知识高效整合到大语言模型中的新方法


大型语言模型在处理复杂任务时表现出色,但如何高效整合外部知识仍是一个难题。为了解决这一问题,Taketomo Isazawa等研究人员开发了KBLaM(Knowledge Base-Augmented Language Model),通过将结构化知识库直接集成到LLMs中,显著提升了模型的效率和可扩展性。


KBLaM采用了一种创新的方法,将知识三元组(实体-属性-值)编码为连续的键值向量对(key-value vector pairs),并通过矩形注意力机制(rectangular attention)将其集成到模型的注意力层中。这种方法避免了传统方法如RAG(Retrieval-Augmented Generation)的复杂性和二次方增长的存储问题,实现了线性扩展。实验表明,KBLaM能够处理超过10,000个知识三元组,且无需重新训练即可动态更新知识库。此外,KBLaM通过矩形注意力机制增强了模型的解释性和可靠性,减少了幻觉现象(hallucinations),使模型在缺乏相关知识时能够更准确地拒绝回答。

#认知科学 #大模型技术 #知识整合 #矩形注意力机制 #线性扩展


阅读更多:

Wang, Xi, et al. KBLaM: Knowledge Base Augmented Language Model. arXiv:2410.10450, arXiv, 9 Feb. 2025. arXiv.org, https://doi.org/10.48550/arXiv.2410.10450


机器人也能泡咖啡,新框架让机器人在不确定环境中完成任务


机器人完成复杂任务的能力受到限制,尤其是在不确定的环境中。为了提升机器人在复杂任务中的表现,Ruaridh Mon-Williams等研究人员开发了一种名为ELLMER的框架,结合了大型语言模型和机器人传感器反馈控制,使机器人能够执行复杂的长期任务。


ELLMER框架结合了大型语言模型和机器人传感器反馈控制。通过将视觉、力反馈和语言处理相结合,ELLMER使机器人能够执行复杂的长期任务,如制作咖啡。研究使用了一个七自由度的Kinova机械臂,在不确定的环境中执行任务,并利用集成的力和视觉反馈来完成任务。实验表明,机器人能够在不确定的环境中完成制作咖啡的任务,展示了其在动态环境中的适应能力。研究发表在 Nature Machine Intelligence 上。

#认知科学 #大模型技术 #机器人操控 #传感器反馈 #复杂任务


阅读更多:

Mon-Williams, Ruaridh, et al. “Embodied Large Language Models Enable Robots to Complete Complex Tasks in Unpredictable Environments.” Nature Machine Intelligence, Mar. 2025, pp. 1–10. www.nature.com, https://doi.org/10.1038/s42256-025-01005-x


COBRA框架有效解决LLM训练中的恶意反馈问题


大型语言模型在自然语言处理和理解方面展现了强大的能力,但其在关键领域的应用仍面临安全性和隐私挑战。研究人员提出了基于共识的奖励框架(COBRA),旨在解决通过人类反馈进行强化学习(RLHF)过程中的恶意反馈问题。


研究人员开发了基于共识的奖励框架,通过将RLHF反馈按时间分割、训练独立的奖励模型,并采用三种新颖的聚合策略(RoT、DRWA、AVGA)来生成可信的奖励。COBRA框架在情感分析和生成对话任务中显著提升了模型性能,尤其是在存在恶意反馈的情况下,其奖励准确率远高于未受保护的方案。例如,在情感分析任务中,COBRA的奖励准确率达到85%,而未受保护的方案仅为48.78%。这一研究为LLM的安全训练提供了新的解决方案,未来可能有助于在关键领域更安全地应用LLM技术。研究发表在 Scientific Reports 上。

#认知科学 #预测模型构建 #大型语言模型 #恶意反馈 #COBRA框架


阅读更多:

Haider, Zafaryab, et al. “A Framework for Mitigating Malicious RLHF Feedback in LLM Training Using Consensus Based Reward.” Scientific Reports, vol. 15, no. 1, Mar. 2025, p. 9177. www.nature.com, https://doi.org/10.1038/s41598-025-92889-7


SEARCH-R1:让语言模型更懂搜索与推理


大型语言模型在复杂推理和实时信息检索方面面临挑战。为了解决这些问题,伊利诺伊大学厄巴纳-香槟分校计算机科学系研究人员开发了SEARCH-R1。这一新框架通过强化学习使LLMs能够在推理过程中自主生成搜索查询并实时检索信息,显著提升了模型的表现。


SEARCH-R1框架的核心创新在于将搜索引擎建模为环境的一部分,支持多轮检索与推理的交替进行。通过检索标记掩码(retrieved token masking)确保RL训练的稳定性,并采用简单的基于结果的奖励函数。实验结果表明,SEARCH-R1在三个不同规模的LLMs(Qwen2.5-7B、Qwen2.5-3B和LLaMA3.2-3B)上分别实现了26%、21%和10%的平均相对改进。这一研究不仅展示了SEARCH-R1在检索增强推理任务中的有效性,还为RL方法选择、LLM选择和响应长度动态提供了实证见解。

#认知科学 #大模型技术 #强化学习 #检索增强生成 #多轮推理


阅读更多:

Jin, Bowen, et al. Search-R1: Training LLMs to Reason and Leverage Search Engines with Reinforcement Learning. arXiv:2503.09516, arXiv, 12 Mar. 2025. arXiv.org, https://doi.org/10.48550/arXiv.2503.09516


阶跃星辰开源Step-Video-TI2V:图生视频模型的新突破


阶跃星辰(StepFun)近日宣布开源其最新的图生视频模型——Step-Video-TI2V,该模型基于30B参数的Step-Video-T2V训练,能够生成102帧、5秒、540P分辨率的视频。Step-Video-TI2V具备两大核心特点:运动幅度可控和镜头运动可控,同时还具备一定的特效生成能力。相比现有的开源图生视频模型,Step-Video-TI2V不仅在参数规模上提供了更高的上限,其运动幅度可控能力还能平衡生成视频的动态性和稳定性,为创作者提供更灵活的选择。


Step-Video-TI2V通过引入图像条件和运动幅度控制两大关键技术优化,显著提升了生成视频的一致性和动态性。在VBench-I2V基准测试中,该模型取得了state-of-the-art级别的表现,验证了其在生成视频稳定性和一致性方面的控制能力。此外,Step-Video-TI2V在动漫类任务上的表现尤为优异,支持多种尺寸的视频生成,满足不同创作需求。

#阶跃星辰 #图生视频 #Step-Video-TI2V #开源模型 #视频生成


阅读更多:

https://github.com/stepfun-ai/Step-Video-TI2V



意识与脑机接口


抗生素治疗脑植入物感染:短期有效,长期有害


脑植入物在治疗神经系统疾病方面具有巨大潜力,但细菌入侵可能导致炎症并降低设备性能。凯斯西储大学的Jeff Capadona团队通过蛋白质组学和转录组学分析发现,植入微电极的小鼠大脑中存在与肠道相关的细菌,表明血脑屏障(BBB)的破坏可能允许微生物进入。


以色列医疗设备有哪些追问weekly | 过去一周,脑科学领域有哪些新发现?Vol.63_https://www.jmylbn.com_新闻资讯_第38张

空间和细胞特异性植入位点蛋白质组学和转录组学分析。Credit: Nature Communications (2025). 


研究团队使用蛋白质组学和转录组学技术,分析了植入微电极的小鼠大脑中的细菌DNA。结果显示,肠道相关细菌通过受损的血脑屏障进入大脑,导致炎症反应并影响设备性能。抗生素治疗减少了细菌污染并暂时改善了设备性能,但长期使用抗生素会破坏神经退行性通路,反而降低性能。


此外,研究还发现部分细菌序列并非来自肠道,表明细菌可能通过其他途径进入大脑。这一发现不仅揭示了细菌入侵对脑植入物性能的影响,还为开发更安全的植入策略提供了重要依据。研究发表在 Nature Communications 上。

#神经技术 #脑机接口 #细菌入侵 #血脑屏障 #抗生素治疗


阅读更多:

Hoeferlin, George F., et al. “Bacteria Invade the Brain Following Intracortical Microelectrode Implantation, Inducing Gut-Brain Axis Disruption and Contributing to Reduced Microelectrode Performance.” Nature Communications, vol. 16, no. 1, Feb. 2025, p. 1829. www.nature.com, https://doi.org/10.1038/s41467-025-56979-4


贝叶斯算法解锁视觉脑植入新可能


全球约有4000万人失明,视觉脑植入物有望恢复基本视力。荷兰神经科学研究所的Pieter Roelfsema团队与多所大学合作,开发了一种开源工具,能够根据个体大脑的解剖结构优化植入物的位置。


以色列医疗设备有哪些追问weekly | 过去一周,脑科学领域有哪些新发现?Vol.63_https://www.jmylbn.com_新闻资讯_第39张

电极优化流程概述。贝叶斯搜索算法根据具有多个组件的损失函数确定下一组参数,并重复此过程,直到找到特定靶点光幻影配置的最佳参数集。Credit: Journal of Neural Engineering (2025). 


该工具使用贝叶斯搜索算法,结合来自纽约高级数据科学家Noah Benson的数据集,预测植入物在不同位置时的视觉效果。工具还考虑了大脑中的血管位置,确保植入物在优化视觉输出的同时,最小化安全风险。研究显示,个性化优化植入位置在362个大脑半球中表现优于平均大脑解决方案。该工具的开源性使其能够被其他实验室和组织广泛使用,未来有望在临床试验中发挥重要作用。研究发表在 Journal of Neural Engineering 上。

#神经技术 #个性化医疗 #脑机接口 #视觉假体 #贝叶斯优化


阅读更多:

van Hoof, Rick, et al. “Optimal Placement of High-Channel Visual Prostheses in Human Retinotopic Visual Cortex.” Journal of Neural Engineering, vol. 22, no. 2, Mar. 2025, p. 026016. Institute of Physics, https://doi.org/10.1088/1741-2552/adaeef


新方法PCA-ANFIS:准确率高达 99.5%


大脑信号的复杂性和非线性使得准确分类认知模式成为一大挑战。为了解决这一问题,研究人员开发了一种新方法PCA-ANFIS,结合了主成分分析(PCA)和自适应神经模糊推理系统(ANFIS)。


该研究的关键方法是PCA-ANFIS,通过PCA降低脑电图(EEG)数据的维度,同时保留重要特征,提高计算效率。ANFIS结合了神经网络的适应性和模糊逻辑的可解释性,适合建模大脑信号中的非线性关系。研究结果表明,该方法在多模态脑电图数据集上表现出卓越的分类性能,准确率达到了99.5%,显著优于现有方法。PCA-ANFIS方法有效解决了多模态大脑信号分析中的关键挑战,如EEG伪影污染和非平稳性,确保了可靠的特征提取和分类。研究发表在 Scientific Reports 上。

#神经技术 #大脑信号解析 #AI #认知科学 #脑机接口


阅读更多:

Thamaraimanalan, T., et al. “Exploiting Adaptive Neuro-Fuzzy Inference Systems for Cognitive Patterns in Multimodal Brain Signal Analysis.” Scientific Reports, vol. 15, no. 1, Mar. 2025, p. 9029. www.nature.com, https://doi.org/10.1038/s41598-025-93241-9


医疗植入物的“指纹锁”:物理动作确保患者安全


随着医疗技术向智能无线连接植入物发展,网络健康威胁日益严重。莱斯大学的Kaiyuan Yang及其团队开发了一种名为磁电数据报传输层安全(ME-DTLS)的协议,通过特定的物理动作输入安全访问模式,实现双因素身份验证,确保了植入物的安全性。


以色列医疗设备有哪些追问weekly | 过去一周,脑科学领域有哪些新发现?Vol.63_https://www.jmylbn.com_新闻资讯_第40张

为了直观地引入一致的横向位移,设计中包含了一个机械结构,如拨号盘。以不同角度旋转拨号盘会导致 TX 线圈横向移动不同的距离,从而导致植入物整流器输出的电压发生变化。Credit: Kaiyuan Yang/Rice University


研究人员利用无线电力传输的特性,开发了ME-DTLS协议,通过将短动作编码为“1”,长动作编码为“0”,用户只需以特定方式移动外部集线器即可输入安全访问模式。该协议在志愿者测试中正确识别率高达98.72%,确保了植入物的安全性,同时允许紧急情况下无需预设凭证的访问。研究团队还开发了一种快速、低功耗的数据传输方法,进一步提升了系统的可靠性和效率。研究发表在 International Solid-State Circuits Conference 上。

#神经技术 #个性化医疗 #网络安全 #无线电力传输 #双因素身份验证


阅读更多:

Wang, Wei, et al. “35.4: A Miniature Biomedical Implant Secured by Two-Factor Authentication with Emergency Access.” 2025 IEEE International Solid-State Circuits Conference (ISSCC), vol. 68, 2025, pp. 574–76. IEEE Xplore, https://doi.org/10.1109/ISSCC49661.2025.10904583



整理|ChatGPT

编辑|丹雀 & 存源