ge探头频率有哪些分享|GE vivid E90高端心脏超声/二维心血管超声诊断系统及探头配置

新闻资讯2026-04-25 23:11:20

ge探头频率有哪些分享|GE vivid E90高端心脏超声/二维心血管超声诊断系统及探头配置_https://www.jmylbn.com_新闻资讯_第1张

版权申明

本文内容源自GE官方,如有侵权,立刻联系我们删除!


Probes


Cardiac Sector Probe
M5Sc-D [1.4 – 4.6MHz]
6S-D [2.4 – 8.0MHz]
12S-D [4.0 – 12.0MHz]

 

Linear Probe
9L-D [2.4 – 10.0MHz]
11L-D [4.5 – 12.0MHz]

 

Intraoperative Probe
L8-18i-D [5.0 – 15.0MHz]

 

Convex Probe
C1-6-D [1.5 – 6.0MHz]
C2-9-D [2.3 – 8.4MHz]

 

Micro Convex Probe

8C [4.0 – 8.0MHz]

 

Endo Cavity Probe
IC5-9-D [3.3 – 8.6MHz]

 

Non-imaging Doppler Probe
P2D [2 MHz]
P6D [6.3MHz]

 

Audult TEE Probe
6Tc [3.0 – 8.0MHz]
6Tc-RS [3.0 – 8.0MHz]

 

Pediatric TEE Probe
9T [3.0 – 10.0MHz]
9T-RS [3.0 – 10.0MHz]

 

Volume TEE Probe
6VT-D [3.0 – 8.0MHz]


ge探头频率有哪些分享|GE vivid E90高端心脏超声/二维心血管超声诊断系统及探头配置_https://www.jmylbn.com_新闻资讯_第2张

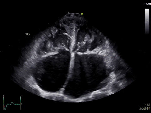
The Vivid™ E90 is a premium 2D cardiovascular ultrasound system designed to help you reach new heights of care efficiency and effectiveness.


真实呈现

基于GE全新的cSound™空间像素成像平台, 结合冰晶探头技术,从每个阵元捕捉精准信息,Vivid E90 带来具有强大穿透力和高血流敏感度、高空间分辨率的卓越二维图像。

The Vivid E90 quickly brings you information with high contrast and spatial resolution – even for patients with body types or conditions that make them difficult to scan. GE’s XDclear™ probe technology pairs with our new imaging platform to capture data from every channel in the probe. Navigate smooth, continuous and detailed images with ease via new enhancements in both color and clarity.


ge探头频率有哪些分享|GE vivid E90高端心脏超声/二维心血管超声诊断系统及探头配置_https://www.jmylbn.com_新闻资讯_第3张

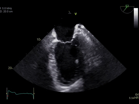
True Confocal Imaging Introduces uniform focusing, combined with increased contrast resolution throughout the field of view at high frame rates.


ge探头频率有哪些分享|GE vivid E90高端心脏超声/二维心血管超声诊断系统及探头配置_https://www.jmylbn.com_新闻资讯_第4张


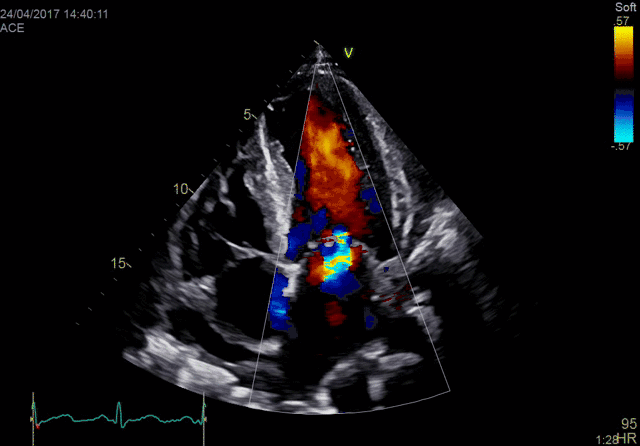
Color Flow - XDclear transducer technology provides excellent color sensitivity, contrast resolution and spectral crispness.


ge探头频率有哪些分享|GE vivid E90高端心脏超声/二维心血管超声诊断系统及探头配置_https://www.jmylbn.com_新闻资讯_第5张

Define the care path Quantification with Vivid E90 is all about helping providers evaluate problems and pursue the path forward. Count on a full suite of intuitive tools to make your work easy and efficient. Quickly, accurately and thoroughly quantify left and right ventricular wall motion and other key functions.


定量工具


使用 VividE90 简单直观的定量工具,只为帮助您更快速高效地评估和诊断心血管疾病


ge探头频率有哪些分享|GE vivid E90高端心脏超声/二维心血管超声诊断系统及探头配置_https://www.jmylbn.com_新闻资讯_第6张

自动心功能计算(Auto EF)

Auto EF** - Based on a 2D-speckle tracking algorithm, assists in measuring the most commonly used parameter to describe the LV function.


ge探头频率有哪些分享|GE vivid E90高端心脏超声/二维心血管超声诊断系统及探头配置_https://www.jmylbn.com_新闻资讯_第7张

自动心肌功能成像(AFI)

Automated Function Imaging (AFI)** - Assess and quantify left ventricular wall motion at rest or stress (with AFI stress option), calculating a large set of parameters.


ge探头频率有哪些分享|GE vivid E90高端心脏超声/二维心血管超声诊断系统及探头配置_https://www.jmylbn.com_新闻资讯_第8张

峰值应变离散PSD


ge探头频率有哪些分享|GE vivid E90高端心脏超声/二维心血管超声诊断系统及探头配置_https://www.jmylbn.com_新闻资讯_第9张

Myocardial Work** introduces new and less load dependent parameters based upon the results obtained with AFI (longitudinal strain) by accounting for the systolic blood pressure measured at rest immediately prior to the echo exam, as well as the MV and AV opening and closure times. These reduced load dependent parameters may provide more accurate and reproducible results, important especially for follow-up of patients over time.


人机工程学


具有 Vivid 家族经典的外观, 融合了现代高效的设计

  • 22 英寸高分辨率的 OLED 自发光显示屏

  • 12英寸 LCD触摸屏

  • 可调节电动升降的控制面板

  • 便捷的数据管理系统

  • 轻松移动

  • 高效和低噪声散热系统带来更低的能量消耗

    ergonomics


  • 22" high-resolution OLED monitor

  • 12” LCD touch screen

  • Adjustable floating keyboard

  • Convenient data management

  • Easy mobility

  • Low power consumption with efficient and low noise cooling

ge探头频率有哪些分享|GE vivid E90高端心脏超声/二维心血管超声诊断系统及探头配置_https://www.jmylbn.com_新闻资讯_第10张

ge探头频率有哪些分享|GE vivid E90高端心脏超声/二维心血管超声诊断系统及探头配置_https://www.jmylbn.com_新闻资讯_第11张


ge探头频率有哪些分享|GE vivid E90高端心脏超声/二维心血管超声诊断系统及探头配置_https://www.jmylbn.com_新闻资讯_第12张

ge探头频率有哪些分享|GE vivid E90高端心脏超声/二维心血管超声诊断系统及探头配置_https://www.jmylbn.com_新闻资讯_第13张ge探头频率有哪些分享|GE vivid E90高端心脏超声/二维心血管超声诊断系统及探头配置_https://www.jmylbn.com_新闻资讯_第13张ge探头频率有哪些分享|GE vivid E90高端心脏超声/二维心血管超声诊断系统及探头配置_https://www.jmylbn.com_新闻资讯_第13张——往期精彩】

GE DASH3000/4000/5000硬件概述

飞利浦HeartStart XL+除颤监护仪操作培训手册


我们是专注维修也热爱生活的广州一古ge探头频率有哪些分享|GE vivid E90高端心脏超声/二维心血管超声诊断系统及探头配置_https://www.jmylbn.com_新闻资讯_第16张ge探头频率有哪些分享|GE vivid E90高端心脏超声/二维心血管超声诊断系统及探头配置_https://www.jmylbn.com_新闻资讯_第16张ge探头频率有哪些分享|GE vivid E90高端心脏超声/二维心血管超声诊断系统及探头配置_https://www.jmylbn.com_新闻资讯_第16张


ge探头频率有哪些分享|GE vivid E90高端心脏超声/二维心血管超声诊断系统及探头配置_https://www.jmylbn.com_新闻资讯_第19张

广州一古专注医疗设备维修

监护|除颤|血氧仪|心电图机|超声|动力系统

免费技术咨询13760748227 

ge探头频率有哪些分享|GE vivid E90高端心脏超声/二维心血管超声诊断系统及探头配置_https://www.jmylbn.com_新闻资讯_第20张   ge探头频率有哪些分享|GE vivid E90高端心脏超声/二维心血管超声诊断系统及探头配置_https://www.jmylbn.com_新闻资讯_第21张

微信ID:yigumed   长按左侧二维码关注 

版权申明|本文内容源自GE官方,如有侵权,请联系我们!

本期编辑|小6子

投稿热线|QQ 2595722347