ge ct有哪些型号不怕超重 自由呼吸 | GE Revolution CT显神奇,实现完美冠脉CTA检查!

新闻资讯2026-04-25 23:09:03
点击上方蓝字关注我们吧
ge ct有哪些型号不怕超重 自由呼吸 | GE Revolution CT显神奇,实现完美冠脉CTA检查!_https://www.jmylbn.com_新闻资讯_第1张


不怕超重 自由呼吸





“大夫,我心口疼了三四天!浑身出虚汗!”西海岸新区46岁的张先生捂着胸口对医生说。


张先生因胸痛来到青岛西海岸新区中心医院胸痛中心就诊,医生经过查体并询问病史,心率107次/分,心律齐,心音可,各瓣膜听诊区未闻及病理性杂音。血压154/103mmHg。立即安排入院,诊断为急性冠脉综合征,入院后综合考虑,主管医师建议患者做冠状动脉CTA三维成像,但是问题来了……



ge ct有哪些型号不怕超重 自由呼吸 | GE Revolution CT显神奇,实现完美冠脉CTA检查!_https://www.jmylbn.com_新闻资讯_第2张


患者体态肥胖,体重指数达52(肥胖>28),体重三百多斤,心率偏高,这个CTA能做成吗?


150+kg
这在普通的CT检查
几乎是不可能实现的


ge ct有哪些型号不怕超重 自由呼吸 | GE Revolution CT显神奇,实现完美冠脉CTA检查!_https://www.jmylbn.com_新闻资讯_第3张


ge ct有哪些型号不怕超重 自由呼吸 | GE Revolution CT显神奇,实现完美冠脉CTA检查!_https://www.jmylbn.com_新闻资讯_第4张



GE Revolution CT闪亮登场!


ge ct有哪些型号不怕超重 自由呼吸 | GE Revolution CT显神奇,实现完美冠脉CTA检查!_https://www.jmylbn.com_新闻资讯_第5张

脂肪特别厚


无需做任何特殊准备

体重大?不用担心!我们有大孔径!

心率快?不用担心!我们扫描更快!

从准备开始到检查结束用了不到十分钟,

真正的扫描时间只有0.7秒

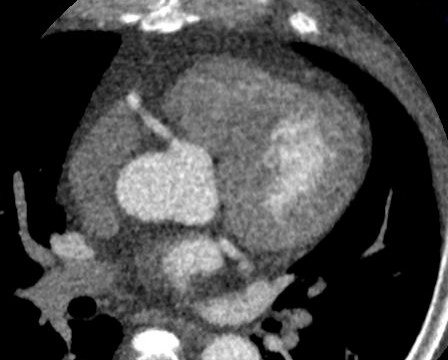
患者图像质量显示完美,

没有任何搏动伪影,血管显示清晰,

来吧,一起看图~


ge ct有哪些型号不怕超重 自由呼吸 | GE Revolution CT显神奇,实现完美冠脉CTA检查!_https://www.jmylbn.com_新闻资讯_第6张

血管显示清晰,没有搏动伪影


ge ct有哪些型号不怕超重 自由呼吸 | GE Revolution CT显神奇,实现完美冠脉CTA检查!_https://www.jmylbn.com_新闻资讯_第7张
ge ct有哪些型号不怕超重 自由呼吸 | GE Revolution CT显神奇,实现完美冠脉CTA检查!_https://www.jmylbn.com_新闻资讯_第8张


ge ct有哪些型号不怕超重 自由呼吸 | GE Revolution CT显神奇,实现完美冠脉CTA检查!_https://www.jmylbn.com_新闻资讯_第9张

ge ct有哪些型号不怕超重 自由呼吸 | GE Revolution CT显神奇,实现完美冠脉CTA检查!_https://www.jmylbn.com_新闻资讯_第10张

回旋支近端软斑块并管腔轻度狭窄


         


ge ct有哪些型号不怕超重 自由呼吸 | GE Revolution CT显神奇,实现完美冠脉CTA检查!_https://www.jmylbn.com_新闻资讯_第11张
ge ct有哪些型号不怕超重 自由呼吸 | GE Revolution CT显神奇,实现完美冠脉CTA检查!_https://www.jmylbn.com_新闻资讯_第12张

RCA右冠状动脉多发软斑块并管腔轻度狭窄

         

冠状动脉CTA检查精准找出胸痛元凶

临床医师结合影像结果,迅速明确诊断,

给予对症改善心脏循环治疗, 

4天后张先生好转出院。

         

ge ct有哪些型号不怕超重 自由呼吸 | GE Revolution CT显神奇,实现完美冠脉CTA检查!_https://www.jmylbn.com_新闻资讯_第13张


ge ct有哪些型号不怕超重 自由呼吸 | GE Revolution CT显神奇,实现完美冠脉CTA检查!_https://www.jmylbn.com_新闻资讯_第14张


ge ct有哪些型号不怕超重 自由呼吸 | GE Revolution CT显神奇,实现完美冠脉CTA检查!_https://www.jmylbn.com_新闻资讯_第15张


青岛西海岸新区中心医院GE Revolution CT正式投入使用,为广大患者带来了更高、更快、更强的医学影像服务,节省就医时间,提高医疗效率,推进精准医疗。GE Revolution CT是目前顶尖的影像诊断设备,技术性能实现了质的飞跃。


只需一个心跳

你的心像

尽收眼底


ge ct有哪些型号不怕超重 自由呼吸 | GE Revolution CT显神奇,实现完美冠脉CTA检查!_https://www.jmylbn.com_新闻资讯_第16张


点击视频

观看更具体

  GE Revolution CT  

  硬件技术特点  

合三为一,博采众长,集大成!






探测器技术

宝石材质

等焦排列宽度:16cm

蜂巢3D 准直探测器






机架旋转扫描技术

无线供电机架旋转系统

物理转速:0.28s

冠脉追踪技术(SSF):29ms

电压:70KV-140KV

球管:6.8M






能谱技术

高低压瞬切技术

能量时间分辨率:0.25ms

原始数据重建:

       Xtream 闪速能谱技术




ge ct有哪些型号不怕超重 自由呼吸 | GE Revolution CT显神奇,实现完美冠脉CTA检查!_https://www.jmylbn.com_新闻资讯_第17张


静音高速旋转系统

大幅度降低噪音

在不知不觉之间完成CT扫描



无限制1-Beat 1-Stop心脏成像

在任何心率和心律条件下,一次对比剂注射、 一个心动周期内就可以获得心脏的冠脉解剖信息、斑块成分信息


ge ct有哪些型号不怕超重 自由呼吸 | GE Revolution CT显神奇,实现完美冠脉CTA检查!_https://www.jmylbn.com_新闻资讯_第18张

ge ct有哪些型号不怕超重 自由呼吸 | GE Revolution CT显神奇,实现完美冠脉CTA检查!_https://www.jmylbn.com_新闻资讯_第19张

ge ct有哪些型号不怕超重 自由呼吸 | GE Revolution CT显神奇,实现完美冠脉CTA检查!_https://www.jmylbn.com_新闻资讯_第20张

ge ct有哪些型号不怕超重 自由呼吸 | GE Revolution CT显神奇,实现完美冠脉CTA检查!_https://www.jmylbn.com_新闻资讯_第21张

         



ge ct有哪些型号不怕超重 自由呼吸 | GE Revolution CT显神奇,实现完美冠脉CTA检查!_https://www.jmylbn.com_新闻资讯_第22张
助力精准影像 推进精准医疗

GE Revolution CT的临床应用将进一步提升西海岸新区中心医院的临床诊断和服务能力,为广大市民及患者带来更加方便、快捷、精准、安全的医学影像服务,助力精准医疗,更好地为广大人民群众的生命健康保驾护航。


影像科预约服务电话:86977116


整理:岳金娟

编辑:Suzy

摄影:崔文

审核:董岳、陈锡起、冯秀栓

编校:丁丁


ge ct有哪些型号不怕超重 自由呼吸 | GE Revolution CT显神奇,实现完美冠脉CTA检查!_https://www.jmylbn.com_新闻资讯_第23张

ge ct有哪些型号不怕超重 自由呼吸 | GE Revolution CT显神奇,实现完美冠脉CTA检查!_https://www.jmylbn.com_新闻资讯_第24张


ge ct有哪些型号不怕超重 自由呼吸 | GE Revolution CT显神奇,实现完美冠脉CTA检查!_https://www.jmylbn.com_新闻资讯_第25张

青岛西海岸新区中心医院


地址:青岛西海岸新区黄浦江路9号

电话:0532-86895767

▼更多精彩推荐,请关注我们▼
ge ct有哪些型号不怕超重 自由呼吸 | GE Revolution CT显神奇,实现完美冠脉CTA检查!_https://www.jmylbn.com_新闻资讯_第26张
ge ct有哪些型号不怕超重 自由呼吸 | GE Revolution CT显神奇,实现完美冠脉CTA检查!_https://www.jmylbn.com_新闻资讯_第27张

仁心医术  关爱生命