asahi有哪些导丝技术研发与设计思维的完美结合

新闻资讯2026-04-25 22:58:39

asahi有哪些导丝技术研发与设计思维的完美结合_https://www.jmylbn.com_新闻资讯_第1张


ASAHI导引导管


asahi有哪些导丝技术研发与设计思维的完美结合_https://www.jmylbn.com_新闻资讯_第2张

加藤 修医生


ASAHI导引导管研发的经过


与以往产品不同,ASAHI导引导管兼具安全性与支撑性。对于导引导管产品,最重要的特性包括:①抗热变形;②支撑性;③操控性;④安全性,病例越复杂,这些特性的表现就越重要。


抗热变形和支撑性

1.Hyper-shaft:

导引导管的树脂成分容易在手术环境中发生热变形,影响操控性,但是ASAHI导引导管的树脂成分经过加工改良,热变形的程度和对手术操作的影响降至最低。

2.第2弯的硬度

ASAHI导引导管第2弯的硬度确保与主动脉壁的接触稳定,从而提供有力的支撑。

3.第3弯

在JL、AL常用型号中增加了第3弯设计,导管与主动脉壁接触面积更大,支撑性更强。

操控性

导引导管的操控性与导丝一样重要,但并不是所有产品都能做到这一点,ASAHI导引导管的管身编织从近端到远端的硬度是逐渐变化的,即HENKA编织,这项技术将柔软头端与坚韧管身巧妙结合,扭控操作时出现的头端脱出和弹跳现象大幅减少,与硬度大的导引导管比较时更显出格外优势。

安全性

ASAHI导引导管的柔软头端和Corsair的材质相同,而且头端变形后的复原性好,并且柔软头端让术者更易感知搭冠状态。提示:导引导管搭冠时要注意同轴,减少注射造影剂时发生夹层的几率。


使用6Fr ASAHI导引导管进行桡动脉PCI手术一例

三田市民病院 循環器内科

心臓中心所长 岡本允信医生

循環器内科 吉川糧平医生

背景

6Fr的导引导管需要适度的支撑性、灵活性和安全性,我们认为ASAHI导引导管是将各种性能平衡得最好的产品。术者使用ASAHI导引导管需要适应的过程。ASAHI导引导管外观整体很硬、支撑性很强。在实际操作中,头端反应略微有延迟,所以近端的感觉和实际的运动有些差距。但是经过数次使用后,就会感觉ASAHI导引导管与过去的产品不同,反应的略微延迟反倒使搭冠的支撑性更稳固,是过去从未体验过的新型导引导管。初次使用ASAHI导引导管的医生也许会感觉到不适应,但是习惯后就可以体会到这款产品的奇妙了。

这次,由我信赖以及期待的年轻医生结合病例来介绍一下ASAHI导引导管的特点。

病例:50岁+,男性

先病例:前壁心肌梗塞12年+,外院治疗并在#6~7植入BMS。

本次主诉:静息胸痛,经本院检查疑为不稳定性心绞痛并进行CAG,确认#1 90%,#6 75%,#7 90%。

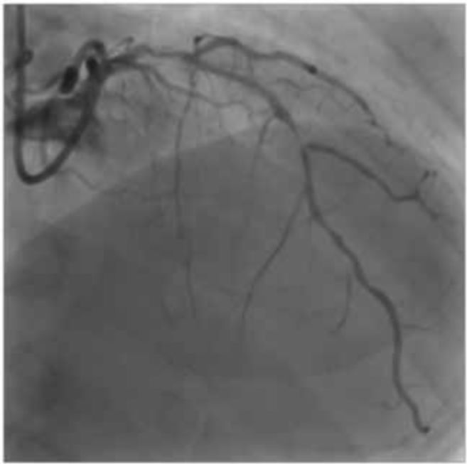
#6~7支架内50%弥漫性狭窄,#11 75%,三枝病变,同日RCA PCI,#1内放入Xience Xpedition 3.5 mm×23 mm,4日后LAD PCI。(图1)

asahi有哪些导丝技术研发与设计思维的完美结合_https://www.jmylbn.com_新闻资讯_第3张

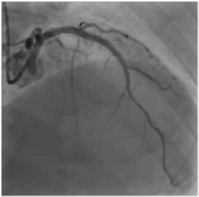
治疗过程:右侧桡动脉穿刺,前次的造影导管为JL4.0,因为左主干短,所以使用ASAHI导引导管6Fr JL4.0 ST SH。LCA开口靠后,由于搭冠很困难,所以将导管从鞘内退出,将导管头端沿逆时针方向扭转并定形。然后在导管顶到左冠窦时逆时针旋转,LCA搭冠成功。(图2

asahi有哪些导丝技术研发与设计思维的完美结合_https://www.jmylbn.com_新闻资讯_第4张

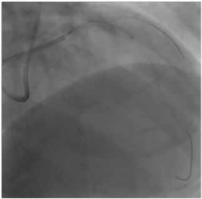
IVUS观察病变后,首先在#6~7的支架内用3.5 mm Lacrosse NSE18atm进行预扩,接着SION blue保护D2,用2.0 mm LAXA对#7进行预扩,在LAD中植入Xience Xpedition 2.25 mm×28 mm覆盖D2。利用Crusade将SION blue再次送入D2、在LAD/D2处用2.25 mm的SDB(支架球囊)/2.0 LAXA进行KBI。接着用SION blue对D1进行保护,与之前植入的Xience重叠,植入Xience Xpedition 3.5 mm×33 mm将BMS完全覆盖。利用Crusade将SION blue送入D1,在LAD/D1尝试用3.5 mm SDB/2.0 mm LAXA进行KBT,因为3.5 mm SDB很难通过,所以将导引导管做成α圈状提高支撑性,同时用2atm反复扩张收缩SDB,将球囊顺利通过。(图3

asahi有哪些导丝技术研发与设计思维的完美结合_https://www.jmylbn.com_新闻资讯_第5张

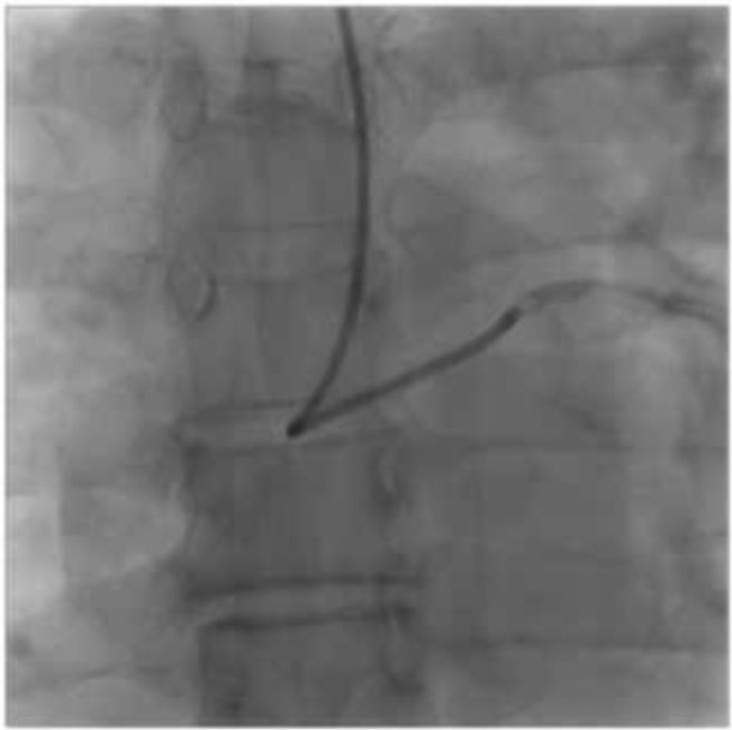
利用 3.5 mm SDB/2.0 mm LAXA进行KBT、支架贴壁良好。结束手术。

asahi有哪些导丝技术研发与设计思维的完美结合_https://www.jmylbn.com_新闻资讯_第6张


总结

本例中LCA的搭冠困难,但并不是通过更换导管,而是特殊操作设法使其同轴并得到良好的支撑性。如果没有ASAHI导引导管与冠脉口稳固结合这一特性,就需要更换其他导管了。另外3.5mmSDB进行后扩张时球囊依然推进困难,可将其作成α圈状提高支撑性,使球囊顺利通过。ASAHI导引导管兼具柔软性,支撑性和抗热变形性,使我们避免了必须更换新球囊的情况。