输尿管鞘是什么名医动态|以柔克刚,无创取石——我院泌尿外科开展可弯曲负压吸引鞘+输尿管软镜钬激光碎石术

新闻资讯2026-04-24 08:47:31



前 言



     近日,国务院特殊津贴专家、同济大学附属东方医院胶州医院副院长、泌尿外科主任童宏华教授专家团队开展了多例可弯曲负压吸引鞘+输尿管软镜钬激光碎石术。



输尿管鞘是什么名医动态|以柔克刚,无创取石——我院泌尿外科开展可弯曲负压吸引鞘+输尿管软镜钬激光碎石术_https://www.jmylbn.com_新闻资讯_第1张


     手术由童宏华教授主刀,在麻醉科的配合下顺利完成手术。术后患者均恢复良好,1-2日出院,达到满意治疗效果,得到了患者及家属一致好评。此项技术,为泌尿系结石的手术患者带来了福音。



输尿管鞘是什么名医动态|以柔克刚,无创取石——我院泌尿外科开展可弯曲负压吸引鞘+输尿管软镜钬激光碎石术_https://www.jmylbn.com_新闻资讯_第2张


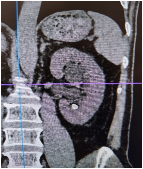
术前

输尿管鞘是什么名医动态|以柔克刚,无创取石——我院泌尿外科开展可弯曲负压吸引鞘+输尿管软镜钬激光碎石术_https://www.jmylbn.com_新闻资讯_第3张


术后



输尿管鞘是什么名医动态|以柔克刚,无创取石——我院泌尿外科开展可弯曲负压吸引鞘+输尿管软镜钬激光碎石术_https://www.jmylbn.com_新闻资讯_第4张


术前

输尿管鞘是什么名医动态|以柔克刚,无创取石——我院泌尿外科开展可弯曲负压吸引鞘+输尿管软镜钬激光碎石术_https://www.jmylbn.com_新闻资讯_第5张


术后



输尿管鞘是什么名医动态|以柔克刚,无创取石——我院泌尿外科开展可弯曲负压吸引鞘+输尿管软镜钬激光碎石术_https://www.jmylbn.com_新闻资讯_第6张




童宏华教授介绍



     肾结石属于泌尿系常见病,该病在发作时可引起强烈疼痛,若缺乏及时有效的治疗措施,可引发肾积水、尿路感染、输尿管狭窄等,严重情况下可影响肾功能,甚至导致肾衰竭、尿毒症等尿源性脓毒血症前治疗泌尿系结石的技术日新月异,可弯曲负压吸引鞘+输尿管软镜钬激光碎石术是治疗输尿管上段结石、肾结石的经自然腔道的最先进微创技术。该技术有以下优势:


    1、明显提高手术清石率。可弯曲输尿管导引鞘随软镜镜头旋转,更加贴近结石,用钬激光粉碎并且通过负压吸引,方便粉末化结石的吸出。此项技术为医生提供了更多的操作空间和更好的视野,使手术过程更加精细和安全,进一步提高了手术效率,近乎“无创”,让患者无后顾之忧。有效弥补传统手术只碎不排的缺点。


输尿管鞘是什么名医动态|以柔克刚,无创取石——我院泌尿外科开展可弯曲负压吸引鞘+输尿管软镜钬激光碎石术_https://www.jmylbn.com_新闻资讯_第7张

    2、降低术后感染相关并发症,能够降低肾盂内压力从而减少感染的发生。持续有效吸引,保持肾盂内压更低更稳定,让手术更安全。尤其是针对感染性结石,由于结石松脆,容易粉末化,利用负压输尿管鞘,清石效率更高,感染及尿源性脓毒症风险更低,既安全又省时。





总结



     可弯曲负压吸引鞘+输尿管软镜钬激光碎石术,在经人体自然腔道进镜,利用钬激光击碎结石后,再通过负压吸引装置吸出结石粉末,从而有效弥补传统碎石术只碎不排的缺点,利于提高术后即时结石清除率,并减轻患者术后排石痛苦,降低术后排石引起的血尿、感染等并发症发生风险。负压吸引碎石的过程中还可带走激光产生的热量,有利于减轻高热对输尿管黏膜组织的损伤,同时还有利于肾内压力维持低压状态,从而避免肾内高压引起的肾损伤,为广大泌尿系患者提供了安全、高效、近乎无创的结石治疗模式。



输尿管鞘是什么名医动态|以柔克刚,无创取石——我院泌尿外科开展可弯曲负压吸引鞘+输尿管软镜钬激光碎石术_https://www.jmylbn.com_新闻资讯_第8张




科室专家简介




输尿管鞘是什么名医动态|以柔克刚,无创取石——我院泌尿外科开展可弯曲负压吸引鞘+输尿管软镜钬激光碎石术_https://www.jmylbn.com_新闻资讯_第9张


童 宏 华



同济大学附属东方医院胶州医院副院长

泌尿外科主任

国务院特殊津贴专家

主任医师 教授 医学硕士 硕士生导师

学术任职:

上海干细胞临床转化研究院临床专家、江西省保健学会泌尿外科分会副主任委员、青岛市老年医学学会泌尿外科专业委员会第一届委员会副主任委员

医学擅长:
泌尿外科专业,擅长腹腔镜下前列腺癌根治术、膀胱癌根治回肠新膀胱术、肾癌根治术、肾部分切除术、腹腔镜下嗜铬细胞瘤切除术、肾上腺肿瘤切除术、膀胱肿瘤膀胱部分切除术、输尿管切开取石术、肾切除术、精囊囊肿切除术、肾囊肿去顶减压术、精索静脉曲张高位结扎术;经尿道输尿管硬镜软镜联合治疗肾、输尿管多发性结石钬激光碎石术、经尿道等离子前列腺剜除术、经尿道膀胱肿瘤电切改进术以及治疗男科疾病等。


输尿管鞘是什么名医动态|以柔克刚,无创取石——我院泌尿外科开展可弯曲负压吸引鞘+输尿管软镜钬激光碎石术_https://www.jmylbn.com_新闻资讯_第10张


田 新 涛



同济大学附属东方医院胶州医院泌尿外科执行主任

副主任医师

学术任职:中国抗癌协会泌尿男生殖系统肿瘤专业委员会发展协作组委员、山东省医学会泌尿外科分会肿瘤学组委员。
专业擅长:擅长前列腺增生、泌尿系肿瘤、泌尿系结石等疾病的微创手术治疗。


  



素 材|泌尿外科 尹鹏

编 辑|张凤

审 核|居建华 李佳颖



输尿管鞘是什么名医动态|以柔克刚,无创取石——我院泌尿外科开展可弯曲负压吸引鞘+输尿管软镜钬激光碎石术_https://www.jmylbn.com_新闻资讯_第11张