血管鞘组是什么傅国胜/叶炀教授团队创新技术发表《Heart Rhythm》:无钢丝引导电极-鞘介导心肌活检术在CIEDS植入期间可行、安全

新闻资讯2026-04-24 08:16:06
血管鞘组是什么傅国胜/叶炀教授团队创新技术发表《Heart Rhythm》:无钢丝引导电极-鞘介导心肌活检术在CIEDS植入期间可行、安全_https://www.jmylbn.com_新闻资讯_第1张

血管鞘组是什么傅国胜/叶炀教授团队创新技术发表《Heart Rhythm》:无钢丝引导电极-鞘介导心肌活检术在CIEDS植入期间可行、安全_https://www.jmylbn.com_新闻资讯_第2张

有心血管植入式电子设备(CIEDs)植入患者常常合并特殊心肌病或其他未知的心脏异常,因此可能需要心内膜心肌活检(EMB)来明确原发疾病。然而为降低CIED围手术期导线移位风险,通常建议避免在CIED植入期间使用活检钳EMB。在近期的Heart Rhythm杂志上发表了傅国胜教授/叶炀主任团队发明使用了无钢丝引导起搏电极-鞘介导心肌活检术方法(Lead Sheath Method,L-S-M),该技术通过同一静脉在CIEDs植入时同步进行右心室心内膜活检(RV EMB),该研究评估了在CIED植入期间使用L-S-M的安全性和可行性,并将其与传统的活检钳方法(T-B-M)进行比较。合作通讯是北京协和医院心内科徐希奇教授和邵逸夫医院心内科赖东武教授


该研究为单中心研究,连续纳入浙江大学医学院附属邵逸夫医院80例接受RV EMB患者。L-S-M组为起搏电极-鞘方法组,透视下将无钢丝引导起搏电极3830导线经静脉7F鞘管长导丝导引315鞘管朝向中至低位右室间隔定位(n=60)。心肌活检完成同时CIED植入通过同一静脉通路进行。T-B-M组使用常规活检钳(n=20),不植入CIEDs。评估两组患者的临床疾病特征、两组RV EMB活检成功率和并发症发生率。

结果:共获取380处心肌活检取样,L-S-M组和T-B-M组的样本/患者数量相当,分别为4.1±0.8样本/患者和3.8±0.8样本/患者。在L-S-M组中,7例(11.7%)患者出现轻微并发症,表现为其中3例为短暂性右束支传导阻滞,2例为一过性房室传导阻滞(AVB),2例为局部轻微囊袋血肿。在T-B-M 组中,3例(15%)出现1例因短暂AVB需临时起搏,1例出现胸部疼痛感和1例局部穿刺处血肿。所有患者未发现心脏压塞情况。

结论:无钢丝引导起搏电极-鞘介导心肌活检术(L-S-M)可常规在CIEDs期间安全进行RV EMB,在技术上是可行的、安全的,并可为需要植入CIED患者提供有价值的早期诊断和对疾病本身认识的关键信息。

血管鞘组是什么傅国胜/叶炀教授团队创新技术发表《Heart Rhythm》:无钢丝引导电极-鞘介导心肌活检术在CIEDS植入期间可行、安全_https://www.jmylbn.com_新闻资讯_第3张
无钢丝引导起搏电极-鞘介导心肌活检术(L-S-M)

具体操作步骤为:

1.常规CIED植入前消毒铺巾,穿刺锁骨下或腋静脉并放置7Fr血管鞘,将C315鞘(Medtronic,MN,USA)通过J型钢丝引导置于右室间隔心肌活检目标位置。为尽量减少传导束损伤风险,一般将中至低位右室间隔设定为目标区域。


2.将Select Secure 3830起搏电极导线(Medtronic,MN,USA)(Lumenless pacing-lead,无钢丝引导电极)通过C315鞘至中低位右室间隔,右前斜(RAO)30°将3830电极拧入间隔心肌,左前斜(LAO)45°位置确认朝向脊柱方向。顺时针深拧入电极4-5圈,心图监护V1导联可出现“W型”室性早搏往往提示室间隔位置。快速轻柔将电极旋回,可见心肌组织留在导线头端。重复以上过程取3至6个标本获得满意心肌取样量。整个过程心图监护和连续血压监测,完成后LAO 45°评估潜在心包积液可能。


3.结束心肌活检部分,3830电极导入鞘管,根据CIED类型选择在右房间隔或右室间隔完成房间隔起搏或左束支区域起搏。首次将心肌活检和起搏电极相同静脉途径和一次完成,可减少二次创伤和感染风险。如果碰到心电图为完全性左束支传导阻滞或心脏停搏风险的,预先植入右室起搏或除颤电极作好备用起搏,避免传导束损伤发生心脏停搏。


操作视频如下:



血管鞘组是什么傅国胜/叶炀教授团队创新技术发表《Heart Rhythm》:无钢丝引导电极-鞘介导心肌活检术在CIEDS植入期间可行、安全_https://www.jmylbn.com_新闻资讯_第4张
图1.L-S-M手术操作
(A)C315鞘和Select Secure 3830电极;(B)ECG监测显示RV EMB期间的室性早搏和血压监测;(C)X线透视LAO视图,确认朝向间隔;(D)收集使用RAO位置来自不同RV部位的样本;(E)EMB后电极tip端无变形和破损;(F)活检组织附着在3830电极尖端螺钉上。(F)X线透视RAO下不同位置RV活检取样。

本结果显示:


1.基线情况:共纳入80例连续需要进行RV EMB的患者(L-S-M组:n=60,T-B-M组:n=20)。在L-S-M组中,60例患者均成功进行了RV EMB,其中41例(68.3%)为男性患者,平均年龄为65.7±12.3岁。LVEF为48.6%±16.2%,左室舒张末期内径(LVEDD)为57.3±8.7mm。27例患者接受了ICD植入,11例患者接受了CRT植入,22例患者接受了起搏器植入。T-B-M组纳入20例患者,其中12例(60%)为男性,年龄为54.9±11.0岁。在该组中,LVEF为56.2%±10.4%(与L-S-M组相比,p=0.066),LVEDD为51.1±2.2mm。主要临床考虑因素是疑似心脏淀粉样变性、疑似心肌炎、不明原因的心力衰竭和持续性室性心动过速。

血管鞘组是什么傅国胜/叶炀教授团队创新技术发表《Heart Rhythm》:无钢丝引导电极-鞘介导心肌活检术在CIEDS植入期间可行、安全_https://www.jmylbn.com_新闻资讯_第5张
Supplementary图1.L-S-M组和T-B-M组中指示进行RV EMBs的患者详情
A:L-S-M 组患者总数和疾病构成比;B:T-B-M 组患者的总数和疾病构成比

2.成功率、术后管理和并发症 L-S-M组和T-B-M组的平均操作时间分别为13.7±3.5min和17.9±5.9min(p=0.002),平均透视时间分别为5.4±2.2min和8.9±2.4min(p=0.01)。L-S-M组和T-B-M组的平均剂量面积乘积分别为1395.3±111.1和1520.6±186.4cGycm²(p=0.01)。两组的操作成功率均为100%,未观察到严重并发症。两组急性轻微并发症发生率无显著差异(L-S-M组和 T-B-M组分别为11.7%和15%,p=0.705),所有这些minor并发症均得到改善。LBBB患者在EMB前放置起搏或除颤导线,LBBB患者(n=14)的辐射剂量往往高于非LBBB患者(n=46)(1464.6±84.2与1374.2±110.4cGycm²,p=0.04)。

血管鞘组是什么傅国胜/叶炀教授团队创新技术发表《Heart Rhythm》:无钢丝引导电极-鞘介导心肌活检术在CIEDS植入期间可行、安全_https://www.jmylbn.com_新闻资讯_第6张
图2.L-S-M组和T-B-M组两组人群中急性并发症统计
(A:L-S-M 组患者总数和各并发症百分比;B:T-B-M 组患者总数和各并发症百分比)

3.心肌组织病理评估和心肌损伤标志物评估。共获得380处心肌组织样本。在L-S-M组和T-B-M组中,平均每个患者分别获得4.1 ± 0.8和3.8 ± 0.8个样本(p = 0.53)。L-S-M组和T-B-M组的EMB大小分别为2(2-3)mm³和3(2-3)mm³(p = 0.897)。在L-S-M组的60名患者中,RV EMB在25名患者(41.6%)中得出诊断,包括心脏淀粉样变性(n = 5)、心脏结节病(n = 1)、法布里病(Fabry,n = 2)、致心律失常性右心室心肌病(ARVC,n = 1)伴心动过缓和肥厚型心肌病(HCM,n = 16)。在20名患者中发现纤维化改变异常。在T-B-M组的20名患者中,有10名(50%)通过RV EMB确诊,包括心脏淀粉样变性(n=2)、心肌炎(n=3)、ARVC(n=1)和 HCM(n=4)。在7名患者中发现最常见的是纤维化改变异常。

血管鞘组是什么傅国胜/叶炀教授团队创新技术发表《Heart Rhythm》:无钢丝引导电极-鞘介导心肌活检术在CIEDS植入期间可行、安全_https://www.jmylbn.com_新闻资讯_第7张
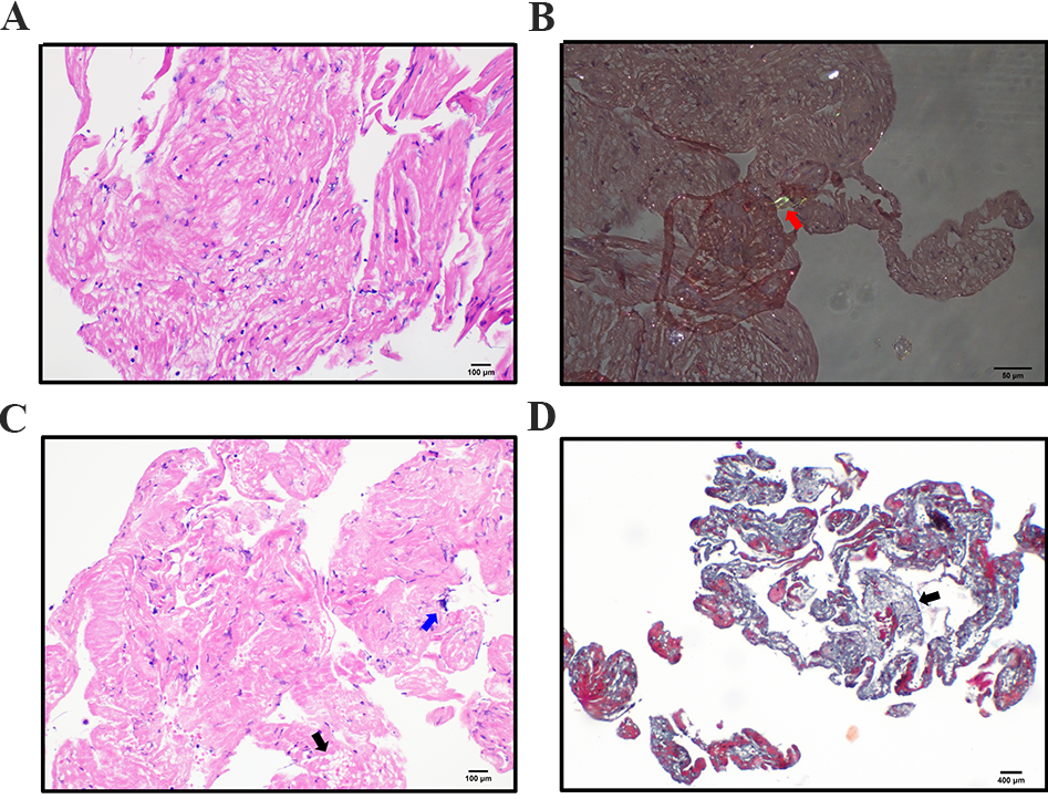
图3.L-S-M 法指导RV EMB活检两个病例图示
A和B:心脏淀粉样变性病例;A,心肌HE染色;B,偏振光下苹果绿阳性。红色箭头表示存在淀粉样物。C和D:ARVC病例;C,心肌HE染色:左:黑色箭头表示脂肪组织,右心室心肌被脂肪组织包围并分成索。蓝色箭头显示异常肥大的心肌细胞,细胞核大而深染,细胞核形状不规则,心肌细胞细胞质中的肌纤维断裂(放大100倍)。D,右心室心肌Masson染色。黑色箭头表示广泛的纤维脂肪组织替代伴心肌萎缩,这是主要标准(残留心肌细胞小于60%或估计50%)。

4.3830起搏导线的起搏参数 在完成心肌活检后,将同一3830起搏电极植入右室间隔进行左束支起搏(LBBP)(n=34)或右心房进行心房起搏(n=26)。活检完成后未观察到3830电极变形或断裂(见手术视频)。在LBBP患者(n=34)中,起搏阈值、感知幅度和起搏阻抗的起搏参数与在最后一次随访的参数比差异无统计学意义。

5.长期随访 在平均随访1.1 ± 0.9年期间,根据EMB诊断(n=35),1例结节病患者接受糖皮质激素治疗;7例 AL型淀粉样变患者转至血液科,1例在治疗期间死亡;2例ARVC患者接受药物治疗(n=1)或 ICD 植入(n=1);2例Fabry病患者接受药物和ICD治疗(n=1)或仅临床随访(n=1);3例心肌炎患者接受糖皮质激素治疗有效。L-S-M组的HCM患者接受ICD植入并接受药物治疗(n=16)。T-B-M组的4例HCM患者接受药物治疗,1例HCM患者在EMB 1 个月后出现室性心律失常而接受ICD植入。

局限性:该研究为单中心研究。尽管EMB联合CIED植入有助于对患者进行早期诊断并及时调整治疗策略,但EMB的组织病理学结果发现仅在CIED植入后使用,因此EMB操作可能无助于植入当时CIED类型决策。

该团队发明了一种无钢丝引导电极-鞘介导心肌活检术(L-S-M)在CIEDs植入期间患者安全使用体现为:
(1)通过锁骨下或腋静脉使用L-S-M同步进行心内膜活检。该方法实现了RV EMB的100%成功率,并发症发生率为11.7%。
(2)这种L-S-M方法的的优势在于RV EMB与CIED 植入可使用相同径路静脉通路和起搏导线,不需要额外活检工具。因此适用于接受CIED且有EMB指征患者。
(3)与普通活检钳法相比,L-S-M有导引鞘搭配电极更容易到位,操作时间相对较短,头端偏细,没有起搏器植入的额外并发症。

本技术安全有效操作可常规用于需要CIEDs植入和需要心肌活检来明确疾病诊断的患者。

文献参考

The feasibility and safety of Endomyocardial Biopsy by lumenless pacing lead-sheath directed method during the Cardiac Implantable Electronic Device implantation. Ye Y, Chen Y, Jiang H, Zeng J, Wang X, Yang Y, Liu XL, Hong X, Wang B, Sun YX, Lai D, Xu XQ, Fu GS. Heart Rhythm. 2024 Nov 15:S1547-5271(24)03571-9. doi: 10.1016/j.hrthm.2024.11.018. Online ahead of print.PMID: 39551121


专家简介

血管鞘组是什么傅国胜/叶炀教授团队创新技术发表《Heart Rhythm》:无钢丝引导电极-鞘介导心肌活检术在CIEDS植入期间可行、安全_https://www.jmylbn.com_新闻资讯_第8张


傅国胜

浙江大学医学院附属邵逸夫医院(点击进入专家个人主页)

向上滑动阅览

医学博士、二级教授、主任医师、博士研究生导师、浙江大学“求是”特聘医师。现任浙江大学医学院附属邵逸夫医院心内科主任,全省心血管病介入与精准诊治研究重点实验室主任,心血管创新器械浙江省工程研究中心主任,浙江省老年心肺疾病诊治中医药多学科交叉创新团队带头人,浙江省医学会心血管分会主任委员,浙江省卒中学会副会长、心血管病学分会主任委员,中华医学会心血管病学会委员会委员、心血管病影像学组副组长,中国医师协会心血管内科医师分会常务委员、冠心病介入专业委员会副主任委员,国家心血管病中心专家委员会委员,中国介入心脏病大会理事、联合主席,长城国际心血管病会议常务理事,全国卫生系统先进个人、第二届“浙大好医生”。

血管鞘组是什么傅国胜/叶炀教授团队创新技术发表《Heart Rhythm》:无钢丝引导电极-鞘介导心肌活检术在CIEDS植入期间可行、安全_https://www.jmylbn.com_新闻资讯_第9张


叶炀

浙江大学医学院附属邵逸夫医院(点击进入专家个人主页)

向上滑动阅览

浙江大学医学院附属邵逸夫医院心内科副主任医师,心血管医学博士,邵逸夫医院心内科心脏性猝死预防工作小组主要负责人,邵逸夫医院心内科“超放心”小组负责人,美国心律学会委员(FHRS),中国生物医学工程学会心电生理和起搏分会起搏学组委员,中国生物医学工程学会心电生理和起搏分会生理性起搏学组委员,中华医学会心血管病分会心血管病影像学组委员,浙江省医学会心血管病分会第八届委员会生理性起搏学组委员兼秘书,浙江省医学会心电生理与起搏分会起搏学组委员,浙江省心电生理与起搏女医师联盟委员,英国Barts心脏中心fellow及访问学者,德国Essen中心访问学者。



· END ·


血管鞘组是什么傅国胜/叶炀教授团队创新技术发表《Heart Rhythm》:无钢丝引导电极-鞘介导心肌活检术在CIEDS植入期间可行、安全_https://www.jmylbn.com_新闻资讯_第10张

版权及免责声明:严道医声网旨在搭建学术传播及媒体发声平台,文内信息版权属于持有人,我们只提供传递信息之用。如有侵权,请联系我们删除。

获取更多资讯,点击 “阅读原文” 下载 “严道医声APP”