血常规用什么仪器检查干货:血常规检验必须关注的N个复检要点

新闻资讯2026-04-24 07:59:35

血常规用什么仪器检查干货:血常规检验必须关注的N个复检要点_https://www.jmylbn.com_新闻资讯_第1张


近年来血细胞分析仪由于各种新技术的使用,其检测性能越来越强大,检测参数也越来越多。


特别是具有白细胞五分类技术仪器的普及应用及全自动流水线化的血细胞分析系统的使用,使得实验室越来越依赖这样的设备来完成大量的血常规检验工作。


在应用各种血液细胞自动化分析设备时,复查和复检很重要,我们应该从下面几点进行复查或者复检,及时发现问题。


一、重视样本性状的筛查

血常规用什么仪器检查干货:血常规检验必须关注的N个复检要点_https://www.jmylbn.com_新闻资讯_第2张

  

进行血细胞分析复检时,标本的性状是首先需要关注的。明显影响检测结果的问题包括:



1、标本采集量


如果采用真空采血模式,一般不会出现采集量差异太大的情况,采用让步检验的模式发放报告,并备注说明采集量


如果用注射器采集后注入采血管内,会发生采集量不准,过少或者过多的情况。


过多时可能造成抗凝剂与血液比例不适,导致抗凝不充分,从而影响血小板及其他指标的检测结果,此时应做不合格标本处理。


2、凝血标本

通过肉眼观察可以发现标本已经凝血

摇动试管可以发现试管内有大小不同的凝块;

用长竹签或手工搅动标本或吸取,用于发现肉眼没有发现的凝块或纤维蛋白凝丝。此类标本可判定为不合格,应予拒收退回。

3、乳糜血

通过自然沉淀或离心沉淀,可发现乳糜血(如图1),此时需采用离心置换血浆的模式排除干扰后再行测定HGB,或者采用光学法原理的仪器或功能测定HGB结果。

血常规用什么仪器检查干货:血常规检验必须关注的N个复检要点_https://www.jmylbn.com_新闻资讯_第3张

图1:乳糜血沉淀外观


4、冷凝集

严重的冷凝集现象肉眼可见试管壁出现细沙样颗粒(如图2),弱冷凝集时可将标本置于4°C冰箱环境下3-5min,即可肉眼发现。应首先采用37°C水浴30~60min之后再运用测定的方式解决。

血常规用什么仪器检查干货:血常规检验必须关注的N个复检要点_https://www.jmylbn.com_新闻资讯_第4张

图2:冷凝集外观


5、溶血

将标本离心可发现是否有溶血现象,如有溶血则可作为不合格标本拒收。

6、高白细胞血症

白血病患者白细胞往往会升高至100×10⁹/L以上,一般认为当白细胞数量>200×10⁹/L时会导致比色法HGB测定结果不正确。将标本沉淀一段时间就可以看到红细胞层与血浆之间出现明显的白细胞沉淀层(如图3)。


血常规用什么仪器检查干货:血常规检验必须关注的N个复检要点_https://www.jmylbn.com_新闻资讯_第5张

图3:高白细胞血症


7、高胆红素

高胆红素可通过沉淀或离心法,观察血浆颜色进行初判。如遇到此问题,可采用置换血浆的方法重新测定HGB结果



二、显微镜涂片复检

血常规用什么仪器检查干货:血常规检验必须关注的N个复检要点_https://www.jmylbn.com_新闻资讯_第2张

       

这一点很重要!血涂片的复检与复核方法有两种,血片浏览和血片分类。


1、首先浏览血涂片

采用低倍/高倍镜浏览观察,初步了解血涂片制片效果、细胞的分布情况、染色效果以及有无具有病理意义的大型细胞的出现等。


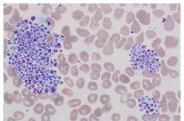
如果是EDTA抗凝血,血小板应该分布均匀,不应出现聚集现象。


如有出现明显的血小板聚集现象(如图4),特别是在玻片的两端和尾部出现大片凝集时,将是导致仪器法计数血小板假性减低的重要原因,也是复检时首先要关注的问题,也是检验科最不应该漏检的内容。

血常规用什么仪器检查干货:血常规检验必须关注的N个复检要点_https://www.jmylbn.com_新闻资讯_第7张

图4:血小板大片凝聚现象



2、复核

通过血涂片的浏览观察,可以对血细胞分析仪测定的细胞计数结果进行复核,初步评估仪器计数结果的可靠性和一致性。


3、复检中很重要的问题是不要漏检血液系统疾病

特别是血液系统肿


我们在进行显微镜涂片检查时,除了关注和发现各系原始或幼稚细胞外,还应关注白细胞内的颗粒变化,如多颗粒中性粒细胞和少(乏)颗粒中性粒细胞;中性粒细胞毒性改变等。


4、应该关注红细胞形态信息,提供贫血诊断的初步鉴别信息


一般血细胞分析仪都会提供许多红细胞报警的信息,如大细胞、小细胞、红细胞大小不等、血红蛋白含量不均、低色素性、高色素性等形态学信息


这些参数的准确性应该建立在仪器校准合格、仪器质控应保证MCV\MCH\MCHC三项浮动均值指标完全在控的基础之上。红细胞大小及形态学改变的临床意义参见表2。


血常规用什么仪器检查干货:血常规检验必须关注的N个复检要点_https://www.jmylbn.com_新闻资讯_第8张

MCVMCHMCHC三项浮动均值


5、特别关注血小板

血小板体积小,易发生聚集和计数不准,因此是非常容易出现问题的复检内容之一。

在进行血涂片检查或复检时,首要注意是否出现血小板聚集报警信息,或者血小板分布异常的提示,特别是应用EDTA抗凝血标本时,注意防范血小板假性减低现象发生


6、血液寄生虫


血片检查中另一特别需要重视的问题是血液寄生虫,某些患者可能因临床症状不典型,未引起临床医生关注寄生虫感染问题。


我们在血液中可以发现疟原虫、微丝蚴、巴贝斯虫、锥虫、弓形虫等感染。


如果临床病人有相关症状,或临床医生提示检查血液寄生虫,应将血片仔细浏览,或者多涂几张血片,包括厚血片进行细致检查


而目前在南方,特别是从疫区国家归来的人员,其疟原虫感染率非常高,值得警惕和仔细检查。


血常规用什么仪器检查干货:血常规检验必须关注的N个复检要点_https://www.jmylbn.com_新闻资讯_第9张



三、重复和复查

血常规用什么仪器检查干货:血常规检验必须关注的N个复检要点_https://www.jmylbn.com_新闻资讯_第2张

     

1、重测标本

当遇有相关问题时,可采用重测标本的方式确认,最好用另一台仪器,甚至另一品牌或不同原理的仪器进行重复,将有助于发现问题。

2、稀释标本后重新测定

当计数结果超出实验室设定的线性范围时,应采用稀释后测定的方法获得更加准确的结果

03替代方法计数

实验室应确认采用传统计数方法对仪器不能准确测定的某些标本进行核实和计数,制订适当的SOP,并准备适当的器材和试剂。实验室内血小板稀释液、白细胞稀释液、煌焦油蓝染液等应该是首选必备的试剂。


血常规用什么仪器检查干货:血常规检验必须关注的N个复检要点_https://www.jmylbn.com_新闻资讯_第11张

首选必备的试剂:如血小板稀释液


来源:人口健康网

- End -




推荐阅读

1、三甲医院医生自曝收回扣50万,是医生“偏激”还是医院“偏航”?


2、在服用这些药物之后千万要躲着太阳,否则会引起红斑、红疹!


3、医护人员需注意 | 国家药监局药品评价中心:这些药品是重灾区




长按下方二维码下载医阶APP
添加客服微信(ID: zqcm-3415
进入社群后
可领取红包、年费VIP会员等福利

血常规用什么仪器检查干货:血常规检验必须关注的N个复检要点_https://www.jmylbn.com_新闻资讯_第12张

血常规用什么仪器检查干货:血常规检验必须关注的N个复检要点_https://www.jmylbn.com_新闻资讯_第13张
听说转发文章
血常规用什么仪器检查干货:血常规检验必须关注的N个复检要点_https://www.jmylbn.com_新闻资讯_第14张
会带来好运
血常规用什么仪器检查干货:血常规检验必须关注的N个复检要点_https://www.jmylbn.com_新闻资讯_第15张
点点赞
血常规用什么仪器检查干货:血常规检验必须关注的N个复检要点_https://www.jmylbn.com_新闻资讯_第16张
点在看

*本文为整理,版权归原作者所有,如有侵犯您的权益请及时联系,我们将第一时间删除。