血常规用什么仪器检查同厂家仪器两次血常规结果相差巨大,原因值得所有检验人警惕!

新闻资讯2026-04-24 07:59:26

作者:张国华

单位:上海市金山区亭林医院检验科


血常规检查是我们检验科最常见、也是临床医生最常开的三大常规检查之一,血常规检查有助于判断贫血、白血病、细菌感染和病毒感染等各种血液疾病。随着血细胞分析仪尤其是具有五分类能力的血细胞分析仪的应用越来越广泛,不仅在很大程度上提高了血常规检查的质量和效率,而且能够满足临床诊断和实验要求。


然而,由于血细胞分析仪检测方法的局限性,极易造成某些检验项目假性升高或降低,甚至出现检测错误或漏检,有时会给临床提供不可靠的检测结果,继而导致漏诊或误诊的现象偶尔发生。因此,制定严格的血液复检规则刻不容缓,国际上 41 条复检规则由此产生 [1]。之后国内各大医院根据厂家和仪器型号不同分别制定了与之对应的复检规则,减少了检验结果的差错率,使检验质量得到了保证。现将发生在我科的一个检验案例报道如下,以供检验同道参考和借鉴。



案例经过


袁某,女性,49 岁,因慢性胃炎于我院消化内科就诊。采用迈瑞 BC-5390 血细胞分析仪检查血常规结果如图 1 所示,白细胞为 38.9×10^9/L,红细胞为 1.94×10^12/L,血红蛋白为 85 g/L,红细胞压积为 22.7%,血小板为 749×10^9/L,这个血常规结果明显触犯了复检规则,需要复检。


血常规用什么仪器检查同厂家仪器两次血常规结果相差巨大,原因值得所有检验人警惕!_https://www.jmylbn.com_新闻资讯_第1张

图 1


为了防止仪器出现差错,我们将血常规标本放入另一台仪器迈瑞 BC-6800 Plus 复做。复做结果让人大跌眼镜,如图 2 所示,BC-6800 Plus 第一次复做结果提示白细胞为 15.21×10^9/L,红细胞为 1.99×10^12/L,血红蛋白为 80 g/L,红细胞压积为 23%,血小板为 764×10^9/L。而 BC-6800 Plus 第二次复检结果与第一次无明显差别(我科 BC-6800 Plus 有两台仪器,触犯复检规则会自动放入第二台仪器重新检测一遍)。

  

BC-5390 与 BC-6800 Plus 同为一个厂家,检测结果比较,除了白细胞结果相差较大外,其余结果差别不大。


血常规用什么仪器检查同厂家仪器两次血常规结果相差巨大,原因值得所有检验人警惕!_https://www.jmylbn.com_新闻资讯_第2张

图 2


查看患者历史结果如图 3 红圈所示,患者之前做的血常规显示白细胞在正常范围内,当天结果与历史结果相差甚大,BC-5390 与 BC-6800 Plus 之间的结果又有差别,到底是什么原因造成呢?


血常规用什么仪器检查同厂家仪器两次血常规结果相差巨大,原因值得所有检验人警惕!_https://www.jmylbn.com_新闻资讯_第3张

图 3


无论是出于负责任角度还是个人好奇心,我都必须把原因纠出来。查看当天质控在控,其他标本在这几台仪器做出来的结果也没有任何问题,于是排除了仪器问题。查看血常规标本无溶血、脂血等异常状态,查看散点图显示有核红细胞干扰。

 

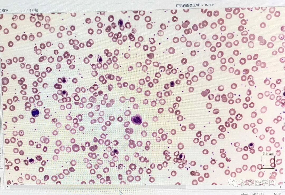
难道是有核红细胞干扰造成白细胞假性升高?于是放入机器推片染色和镜检。经过一段时间的机器推片染色结束后,我迫不及待地拿出血涂片放入阅片机观察细胞形态。细胞形态如图 4 和图 5 所示,可见有核红细胞且以中幼红细胞和晚幼红细胞居多,红细胞大小不一,各种红细胞异常形态如球形红细胞、靶形红细胞、口形红细胞、棘形红细胞等多见。


果然如我所料,大量有核红细胞干扰了白细胞计数结果,导致了白细胞假性升高。询问患者得知,患者来我院前曾去过上海市瑞金医院检查,确诊为自身性免疫性溶血性贫血。而根据患者血常规检查的结果及细胞形态也确实符合溶血性贫血的诊断。


血常规用什么仪器检查同厂家仪器两次血常规结果相差巨大,原因值得所有检验人警惕!_https://www.jmylbn.com_新闻资讯_第4张

图 4

血常规用什么仪器检查同厂家仪器两次血常规结果相差巨大,原因值得所有检验人警惕!_https://www.jmylbn.com_新闻资讯_第5张

图 5


于是手工计数有核红细胞个数,根据公式:校正后白细胞数=校正前白细胞数 ×100/(100 + 有核红细胞数),即实际 WBC 数=仪器 WBC 数 ×100/(100+NRBC),计算得出 WBC 为 15.2×10^9/L,如图 6 所示,手工计数结果与 BC-6800 Plus 检测结果很接近。


血常规用什么仪器检查同厂家仪器两次血常规结果相差巨大,原因值得所有检验人警惕!_https://www.jmylbn.com_新闻资讯_第6张

图 6



案例分析


01

为什么同一个厂家,BC-5390 与 BC-6800 Plus 两台仪器之间的 WBC 检测结果相差这么大?


迈瑞 BC-5390 的检测原理是采用激光流式细胞技术,血细胞在激光的照射下会产生散射光,低角前向散射光反映的是血细胞的大小,而高角前向散射光反映的是细胞内部精细结构和颗粒物质,最后根据细胞的大小和结构对白细胞进行分类。这样的检测原理容易把有核红细胞当做淋巴细胞,从而导致白细胞假性升高。


迈瑞 BC-6800 Plus 的检测原理是采用鞘流阻抗法和激光散射结合荧光染色的流式细胞技术,对白细胞进行分类和计数,BC-6800 Plus 能够对幼稚细胞特别是有核红细胞进行精准的识别和检测。[2]


02

仪器自动校正白细胞是否准确?如何手工校正白细胞数?


随着仪器越来越先进,有些机器可以自动校正白细胞数,某些仪器有 NRBC 通道也可以区分有核红细胞和白细胞。但是仪器的自动校正未必得到准确的结果,最好还是要手工计数白细胞数。


手工校正白细胞数具体操作:在油镜下计数 100 个白细胞数时计算有核红细胞个数,然后用校正公式 [校正后白细胞数=校正前白细胞数 ×100/(100 + 有核红细胞数)] 计算得出白细胞数。[3]


此外,溶血剂只能破坏有核红细胞的细胞膜而不能破坏细胞核,有核红细胞会被仪器归类为淋巴细胞从而计入白细胞总数里,所以白细胞校正后必须重新分类。


03

什么情况下白细胞会假性升高或降低?有核红细胞常见于哪些疾病?


有核红细胞和难溶红细胞可以导致白细胞假性升高,白细胞聚集和冷凝集 (红细胞聚集) 可以造成白细胞假性降低。[4] 正常人一般不会出现有核红细胞,有核红细胞常见于溶血性贫血、急性失血、白血病、恶性肿瘤、严重组织缺氧和骨髓纤维化等疾病。[5]

  

本案例中患者有自身免疫性溶血性贫血,外周血中出现有核红细胞,其中以中幼红细胞和晚幼红细胞居多提示红细胞代偿性增生,仪器误把有核红细胞当做白细胞从而造成了白细胞假性升高,必须要校正白细胞数并对其进行重新分类才能得到最可靠的结果。



总结


虽然血细胞分析仪能够给我们带来简便快速的结果,在一定程度上提高了我们的工作效率,但是仪器也有其局限性,有时未必能够给我们带来准确可靠的结果。

   

作为检验人,我们必须结合直方图和散点图以及镜检查看细胞形态,通过加强自身的责任心和提高形态学辨识能力以及建立完善的复检规则,保证检验结果的准确性,对自己负责、对标本负责、更要对患者负责,努力做一名合格的检验人。


      

【参考文献】

[1]Clinical Hematology, Department of Laboratories, Barnes-JewishHospital, St. Louis, Missouri, USA. The international consensus groupfor hematology review:suggested criteria for action following automated CBC and WBC differential analysis.

[2] 田雪梅,牛莉莉,张鑫。迈瑞 BC-6800 血细胞分析仪的性能验证 [J]. 新疆医学,2015,(2):197-200.

[3] 尚红,王毓三,申子瑜. 全国检验操作规程(第四版)[M]. 全国临床检验操作规程(第四版).

[4] 林萍,谢若腾,郑静.EDTA 抗凝剂依赖性假性白细胞减少一例 [J]. 中华医学杂志,2017,97 (30):2393-2394.

[5] 陈海生., 外周血有核红细胞自动检测应用研究 [J]. 现代医院,2011, 11 (6): 69-70.

血常规用什么仪器检查同厂家仪器两次血常规结果相差巨大,原因值得所有检验人警惕!_https://www.jmylbn.com_新闻资讯_第7张