腰穿有什么用腰穿前需要停用阿司匹林吗?还有哪些禁忌症?腰穿 6 问 6 答

新闻资讯2026-04-24 07:40:55
腰穿有什么用腰穿前需要停用阿司匹林吗?还有哪些禁忌症?腰穿 6 问 6 答_https://www.jmylbn.com_新闻资讯_第1张


过去的 10 余年中,影像技术的进步降低了对某些疾病进行 CSF(cerebrospinal fluid,脑脊液)检查的必要性。然而,新的实验室技术却扩大了其它疾病中 CSF 检查的适应症。


本文根据相关研究总结了腰椎穿刺的适应症、临床应用和禁忌症,并讨论了腰椎穿刺、CSF 诊断和生物标志物的进展应用。


1

腰椎穿刺在临床中有哪些应用?


01、诊断


1)中枢神经系统感染:如自身免疫性脑炎、急性横贯性脊髓炎、格林-巴利综合征和原发性中枢神经系统血管炎。


2)疑似蛛网膜下腔出血而神经影像学结果却阴性者:CSF 血红蛋白分解产物的存在可以确诊。


3)疑似软脑膜转移患者,细胞学和流式细胞术可以确诊。


4)围手术期鞘内注射荧光素观察颅底 CSF 渗漏。


5)特发性颅内高压:CSF 压力升高(> 25 cmH2O)和 CSF 成分正常。


02、治疗


1)隐球菌性脑膜炎和急性交通性脑积水:腰穿降低  CSF 压力,直接缓解头痛。腰椎穿刺与生存率相对提高 69% 相关。


2)特发性颅内高压 CSF 压力正常的脑积水中,腰穿放液试验(tap test)(去除脑脊液 30~50 mL CSF)可以预测 CSF 导管放置的疗效。该试验对置管后临床指标改善的阳性预测值为 88%,阴性预测值为 18%。


3)腰椎穿刺鞘内注射反义寡核苷酸诺西那生,用于治疗脊髓肌肉萎缩患者,临床效果显著。51% 患者的运动功能显示出了明显的效果。


4)鞘内给药常用于化疗,治疗中枢神经系统或软脑膜转移的恶性肿瘤。


5)鞘内注射巴氯芬用于治疗痉挛


2

腰椎穿刺的禁忌症有哪些?


腰椎穿刺有几个禁忌症需要注意(表 1)。脑部占位病变导致脑移位的患者中,腰部脑脊液的流出可减少来自下方的反压力,增加大脑移位,导致重要的大脑结构受压。


表 1. 腰椎穿刺的禁忌症

腰穿有什么用腰穿前需要停用阿司匹林吗?还有哪些禁忌症?腰穿 6 问 6 答_https://www.jmylbn.com_新闻资讯_第2张


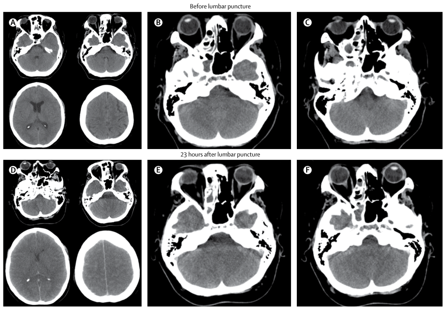
CT 上的脑移位和基底池闭塞的弥漫性脑水肿是腰椎穿刺的禁忌症(图 1)。新发癫痫、严重免疫受损状态、局灶性神经功能缺损或中度至重度意识障碍(GCS 分数 < 10)的患者在腰椎穿刺前应进行头颅 CT 检查 。


腰穿有什么用腰穿前需要停用阿司匹林吗?还有哪些禁忌症?腰穿 6 问 6 答_https://www.jmylbn.com_新闻资讯_第3张
图 1. 细菌性脑膜炎患者腰椎穿刺前后颅脑 CT 上的弥漫性水肿
注:A. 弥漫性水肿和脑积水;BC. 基底池部分闭塞;D. 显示水肿增加;EF. 显示基底池完全闭塞和通过枕骨大孔的脑疝
图源:参考文献


脊髓受压也是禁忌症(图 2)。对于急需 CSF 检查的脊髓受压或腰椎解剖异常的患者,可以进行枕下穿刺。


腰穿有什么用腰穿前需要停用阿司匹林吗?还有哪些禁忌症?腰穿 6 问 6 答_https://www.jmylbn.com_新闻资讯_第4张

图 2. 颈髓受压
图源:参考文献


3

腰穿前需要停用抗凝、抗板药物吗?


严重的凝血障碍者腰椎穿刺前停用抗凝治疗(表 2),以降低出血并发症(如脊髓血肿)的风险。


表 2. 腰穿前建议的抗凝治疗停药间隔

腰穿有什么用腰穿前需要停用阿司匹林吗?还有哪些禁忌症?腰穿 6 问 6 答_https://www.jmylbn.com_新闻资讯_第5张


4

腰椎穿刺的并发症有哪些?


腰椎穿刺虽然是一项安全的操作,但可能会出现并发症。


大多数并发症是轻微的(例如,背痛、神经根刺激)或具有短期作用(例如,硬膜穿刺后头痛),但也可能发生较严重的并发症(例如,脊髓血肿、细菌性脑膜炎、脑静脉窦血栓形成或脑疝)。


5

脑脊液化验在疾病诊断中的应用有哪些?


1)CSF 的常规检验、细胞学诊断、微生物学检验(PCR 已成为检测病毒的金标准,并且也越来越多地用于检测细菌)。


2)脑脊液血红蛋白和胆红素浓度的光谱分析可以在发病后至少 12 小时准确诊断蛛网膜下腔出血;CSF/血清白蛋白比率是血脑屏障通透性的可靠生物标志物。


3)乳酸在中风、癫痫、脑外伤、低血糖昏迷或细菌性脑膜炎患者浓度升高;乳酸是细菌性脑膜炎和无菌性脑膜炎的良好鉴别指标。


4)细菌性脑膜炎患者 CSF 中降钙素原浓度高于无菌性脑膜炎患者,但其价值尚需进一步研究。


5)脑脊液中抗原或抗体的血清学检测对于检测各种传染病很重要,包括隐球菌性脑膜炎、神经梅毒、和莱姆神经疏螺旋体病(Lyme neuroborreliosis)。


6)中枢神经系统淋巴瘤、结核性脑膜炎或神经梅毒患者的脑脊液中 CXCL13 浓度升高;脑脊液中半乳甘露聚糖的检测用于诊断脑曲霉病,而无需进行脑活检。脑脊液神经元自身抗体检测在自身免疫性脑炎的诊断中起着核心作用。


6

脑脊液生物标志物可以提供哪些临床价值?


CSF 中分子生物标志物的研究构成了神经学研究的一个新兴领域,许多标志物正在研究中(表 3)。随着持续发展,CSF 生物标志物可能会提供更多的临床价值。


表 3. 神经系统疾病的 CSF 诊断或预后生物标志物

腰穿有什么用腰穿前需要停用阿司匹林吗?还有哪些禁忌症?腰穿 6 问 6 答_https://www.jmylbn.com_新闻资讯_第6张

7

未来展望


组学方法(omics approaches)在未来几年将变得越来越重要,从而实现个性化医疗。诊断生物标志物将对神经系统疾病的早发现、预防或干预发挥核心作用。


CSF 微生物诊断的新方法也正在走向临床研究的前沿。多重 PCR 试剂盒已成为诊断疑似 CNS 感染的新金标准。


CSF 的基质辅助激光解吸或电离飞行时间质谱(MALDI-TOF MS)可以根据从细菌细胞表面释放的蛋白质片段检测病原体,仅几分钟即可提供最终结果。对宿主和病原体的总 DNA 和 RNA 进行宏基因组测序已成功地在不明来源的脑炎患者中鉴定出新的和已知的病毒病原体。


本文作者:梁衍舜 山东省郓城诚信医院重症医学科 主任医师

审核专家:陈为安 温州大学附属第一医院神经内科 主任医师


策划|时间胶囊

投稿|zhangjing3@dxy.cn

题图|站酷海洛

参考文献:
Costerus JM et al. Technological advances and changing indications for lumbar puncture in neurological disorders. Lancet Neurol 2018; 17.