胃造影用的是什么机子【新技术 新项目】“超”能力 “胃”你解忧 ——胃肠不适怎么办,新医大二附院胃肠超声造影来帮你!

新闻资讯2026-04-24 07:18:02


胃造影用的是什么机子【新技术 新项目】“超”能力 “胃”你解忧 ——胃肠不适怎么办,新医大二附院胃肠超声造影来帮你!_https://www.jmylbn.com_新闻资讯_第1张
胃造影用的是什么机子【新技术 新项目】“超”能力 “胃”你解忧 ——胃肠不适怎么办,新医大二附院胃肠超声造影来帮你!_https://www.jmylbn.com_新闻资讯_第2张
胃造影用的是什么机子【新技术 新项目】“超”能力 “胃”你解忧 ——胃肠不适怎么办,新医大二附院胃肠超声造影来帮你!_https://www.jmylbn.com_新闻资讯_第3张
胃造影用的是什么机子【新技术 新项目】“超”能力 “胃”你解忧 ——胃肠不适怎么办,新医大二附院胃肠超声造影来帮你!_https://www.jmylbn.com_新闻资讯_第4张

“超”轻松“胃”你解忧

胃造影用的是什么机子【新技术 新项目】“超”能力 “胃”你解忧 ——胃肠不适怎么办,新医大二附院胃肠超声造影来帮你!_https://www.jmylbn.com_新闻资讯_第5张
胃造影用的是什么机子【新技术 新项目】“超”能力 “胃”你解忧 ——胃肠不适怎么办,新医大二附院胃肠超声造影来帮你!_https://www.jmylbn.com_新闻资讯_第6张
胃造影用的是什么机子【新技术 新项目】“超”能力 “胃”你解忧 ——胃肠不适怎么办,新医大二附院胃肠超声造影来帮你!_https://www.jmylbn.com_新闻资讯_第7张
胃造影用的是什么机子【新技术 新项目】“超”能力 “胃”你解忧 ——胃肠不适怎么办,新医大二附院胃肠超声造影来帮你!_https://www.jmylbn.com_新闻资讯_第8张
胃造影用的是什么机子【新技术 新项目】“超”能力 “胃”你解忧 ——胃肠不适怎么办,新医大二附院胃肠超声造影来帮你!_https://www.jmylbn.com_新闻资讯_第9张

喝一杯香浓的“奶茶”,就能完成胃肠体检,你信吗?

胃造影用的是什么机子【新技术 新项目】“超”能力 “胃”你解忧 ——胃肠不适怎么办,新医大二附院胃肠超声造影来帮你!_https://www.jmylbn.com_新闻资讯_第10张

现在就带大家了解一种便捷无痛的检查胃及十二指肠的方法:胃十二指肠超声造影。

胃造影用的是什么机子【新技术 新项目】“超”能力 “胃”你解忧 ——胃肠不适怎么办,新医大二附院胃肠超声造影来帮你!_https://www.jmylbn.com_新闻资讯_第11张
胃造影用的是什么机子【新技术 新项目】“超”能力 “胃”你解忧 ——胃肠不适怎么办,新医大二附院胃肠超声造影来帮你!_https://www.jmylbn.com_新闻资讯_第12张

什么是胃肠超声造影?

胃肠超声造影是指胃肠道充盈后进行的体外超声检查,即空腹饮用胃肠超声造影剂排除胃肠腔内气体使胃肠腔充盈,清晰地显示胃肠壁层次结构以及病变的超声检查方法。

胃造影用的是什么机子【新技术 新项目】“超”能力 “胃”你解忧 ——胃肠不适怎么办,新医大二附院胃肠超声造影来帮你!_https://www.jmylbn.com_新闻资讯_第13张

超声造影剂安全么?

造影剂对身体完全没有影响,造影剂由薏仁、山药、陈皮、黄豆、玉米等药食同源的植物为材料加工提取的颗粒剂,健脾健胃并且口感好,对身体无害,形似“芝麻糊”,脱糖工艺,糖尿病病人可服用,喝后有饱腹感,无任何副作用,和正常的食物一样,在胃部停留30-40分钟,随餐代谢,可以放心服用。


胃造影用的是什么机子【新技术 新项目】“超”能力 “胃”你解忧 ——胃肠不适怎么办,新医大二附院胃肠超声造影来帮你!_https://www.jmylbn.com_新闻资讯_第14张

胃肠超声造影有什么好处?

1.动态、便捷、无辐射、可重复性观察、无创、无痛、无交叉感染、无麻醉伤害,适应人群广。

2.无需特殊和要求,可用于普查及筛查胃肠疾病。

3.实时、多次从不同角度对胃肠进行扫查,适合长期随访及复查(如:溃疡治疗期间的复查)。

4.补充X线钡餐、胃镜观察胃粘膜下病变及周围情况的不足(浸润到那一层、淋巴结情况),为疾病诊断提供更丰富的信息。

5.可早期发现胃炎症性病变及早期肿瘤、进展期胃癌、判断病变浸润情况、是胃癌T分期的有益补充。

胃造影用的是什么机子【新技术 新项目】“超”能力 “胃”你解忧 ——胃肠不适怎么办,新医大二附院胃肠超声造影来帮你!_https://www.jmylbn.com_新闻资讯_第15张

检查之前有什么注意事项?

1.安排在上午空腹状态进行,检查前需禁食8小时,禁水4小时。

2.受检者前一天晚餐进软食和素食。

3.将胃肠超声检查与X线钡餐检查分开,不要约到同一天(已行X线钡餐检查者至少2天后再行该检查)。


胃造影用的是什么机子【新技术 新项目】“超”能力 “胃”你解忧 ——胃肠不适怎么办,新医大二附院胃肠超声造影来帮你!_https://www.jmylbn.com_新闻资讯_第16张

适应症

  1. 胃病初诊检查。

  2. 不能耐受胃镜检查或具胃镜检查禁忌症患者。

  3. 对健康人群体检和胃癌高危人群进行初步筛查。

  4. 胃周围毗邻器官( 肝、胆道、胰腺、脾、双肾等) 或病变导致胃壁受压原因的鉴别。

  5. 临床需要多次、反复、连续观察的胃肠疾病(胃十二指肠溃疡治疗复查等)。

  6. 其他疾病:胃石症、胃底静脉曲张、胃下垂、胃内异物等。

胃造影用的是什么机子【新技术 新项目】“超”能力 “胃”你解忧 ——胃肠不适怎么办,新医大二附院胃肠超声造影来帮你!_https://www.jmylbn.com_新闻资讯_第17张

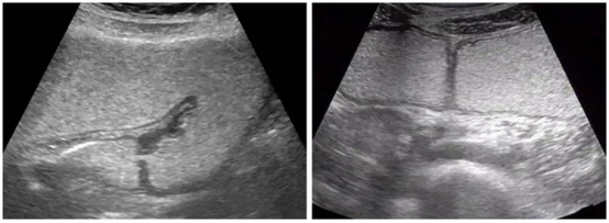
超声正常胃肠图像▲

胃造影用的是什么机子【新技术 新项目】“超”能力 “胃”你解忧 ——胃肠不适怎么办,新医大二附院胃肠超声造影来帮你!_https://www.jmylbn.com_新闻资讯_第18张

超声胃病声像图,依次为胃溃疡、胃癌、晚期胃癌▲





      专 家 介 绍      
胃造影用的是什么机子【新技术 新项目】“超”能力 “胃”你解忧 ——胃肠不适怎么办,新医大二附院胃肠超声造影来帮你!_https://www.jmylbn.com_新闻资讯_第19张

王   霞

主任医师、硕士研究生导师

新医大二附院超声诊断科主任,超声科住院医规培基地主任


专业方向:

从事超声医学研究及诊断工作15年,2015年赴广州孙逸仙纪念医院妇产超声科进修学习,2017年作为自治区科技创新性人才在北京协和医院访问学习一年,2019年参加中国高级海外超声培训班远赴英国诺丁汉大学观摩学习。擅长腹部、妇科、浅表器官、外周神经等疑难疾病的超声诊断及鉴别诊断,熟练掌握超声弹性成像、超声造影、介入等先进技术并应用于临床,对外周神经及小儿髋关节筛查有较深的研究及见解。多次在疆内外超声相关学术会议上做专题讲座、疑难病例讨论并得到专家们的认可和同僚的好评。


科研成果:

近年来发表相关学术核心论文二十余篇,主持并参与国家级、自治区级及校级课题十余项,参编著作2部,发明专利3项。


学术任职:

新疆预防医学会出生缺陷防治专业委员会委员,中国医师协会肌骨介入委员会会委员、新疆抗癌协会乳癌甲状腺癌委员会委员、中国超声医学工程学会超声心动图委员会委员、中国超声医学工程学会眼科超声委员会委员,新疆超声医学质控中心委员会委员



门诊时间:每周一上午

门诊地点:新疆医科大学第二附属医院门诊楼三楼超声诊断科


胃造影用的是什么机子【新技术 新项目】“超”能力 “胃”你解忧 ——胃肠不适怎么办,新医大二附院胃肠超声造影来帮你!_https://www.jmylbn.com_新闻资讯_第20张

塔    娜

副主任医师、讲师


专业方向:

毕业于新疆医科大学影像医学与核医学专业,从事超声专业临床、科研、教学工作十余年,擅长浅表器官、成人及小儿常见病及多发病、胎儿产前筛查超声诊断以及鉴别诊断,熟练掌握超声弹性成像、超声造影等先进技术并应用于临床。


学术任职:

新疆抗癌协会乳癌甲状腺癌委员会委员、中国超声医学工程学会浅表及外周血管组青年委员


科研背景:

主持自治区自然基金项目1项,主持新疆医科大学校级课题1项,参与自治区、厅局级自然基金项目6项,作为副主编出版著作1部,以第一作者发表学术论文10余篇,其中核心期刊4篇。


所获荣誉:

2021年获院级优秀“三进两联一交友”教师称号,2021年获青河县医院优秀援青专家称号,2022年获院级先进工作者称号



门诊时间:每周二上午

门诊地点:新疆医科大学第二附属医院门诊楼三楼超声诊断科



-End-



来源:超声诊断科

责编:楚   云
主编:陈金璐

胃造影用的是什么机子【新技术 新项目】“超”能力 “胃”你解忧 ——胃肠不适怎么办,新医大二附院胃肠超声造影来帮你!_https://www.jmylbn.com_新闻资讯_第21张