稳合器是什么“风口已至”|SWIFT™血管封合器:一型适配动静脉, 高效止血稳准快!

新闻资讯2026-04-24 06:29:53
稳合器是什么“风口已至”|SWIFT™血管封合器:一型适配动静脉, 高效止血稳准快!_https://www.jmylbn.com_新闻资讯_第1张

SWIFT™血管封合器(国械注准20253130572)是科罡医疗自主研发的新一代封堵类止血产品,专为股总动脉股总静脉穿刺术后止血场景设计,可精准匹配5F-8F鞘管,实现术后快速封堵止血。




作用机制



稳合器是什么“风口已至”|SWIFT™血管封合器:一型适配动静脉, 高效止血稳准快!_https://www.jmylbn.com_新闻资讯_第2张


稳合器是什么“风口已至”|SWIFT™血管封合器:一型适配动静脉, 高效止血稳准快!_https://www.jmylbn.com_新闻资讯_第3张


新一代封堵类止血器械,“盘封堵+胶原填塞”



01
瞬间封堵,止血更快


胶原蛋白遇血瞬间膨胀近十倍,快速填塞穿刺通道+ 激活血小板,快速凝血。

稳合器是什么“风口已至”|SWIFT™血管封合器:一型适配动静脉, 高效止血稳准快!_https://www.jmylbn.com_新闻资讯_第4张



02
精准填塞,防止误入


盘封堵穿刺口,确保胶原精准填塞在血管外,防止误入血管。

稳合器是什么“风口已至”|SWIFT™血管封合器:一型适配动静脉, 高效止血稳准快!_https://www.jmylbn.com_新闻资讯_第5张
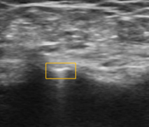
稳合器是什么“风口已至”|SWIFT™血管封合器:一型适配动静脉, 高效止血稳准快!_https://www.jmylbn.com_新闻资讯_第6张

超声可见临时封堵盘贴合血管壁,胶原蛋白精准部署


稳合器是什么“风口已至”|SWIFT™血管封合器:一型适配动静脉, 高效止血稳准快!_https://www.jmylbn.com_新闻资讯_第3张


动静脉皆适用,多科室均获益



心内科

动静脉通用,且操作简单;

支持多种经股动脉或股静脉的介入手术。


神经介入

比一代更安心,比缝合更简单。


血管外科

股动脉/股静脉双适应,为经股静脉介入手术,提供止血新方式。


肿瘤介入

胶原完全吸收,不影响再次穿刺。


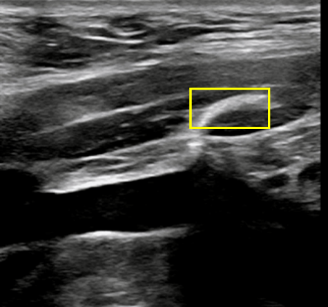
稳合器是什么“风口已至”|SWIFT™血管封合器:一型适配动静脉, 高效止血稳准快!_https://www.jmylbn.com_新闻资讯_第8张
稳合器是什么“风口已至”|SWIFT™血管封合器:一型适配动静脉, 高效止血稳准快!_https://www.jmylbn.com_新闻资讯_第9张

SWIFT血管封合器用于经股血管介入手术,成功止血















上市以来,已在全国数百家医疗机构完成临床应用,累计服务近千例患者,覆盖神经外科、神经内科、血管外科、心内科、肾病科、放射介入等科室。临床反馈高度一致,操作简便性和止血效果获得广泛认可。


欢迎各位医生和渠道合作伙伴密切关注!




产品咨询请联系:

东北区域:侯经理,18540137902

西北区域:张经理,18691957851

河南区域:刘经理,15538328656

山东区域:李经理,15106917530

华南区域:郭经理,13632981230

西南区域:熊经理,18669057867

华北&华东区域:金经理,13801609604



稳合器是什么“风口已至”|SWIFT™血管封合器:一型适配动静脉, 高效止血稳准快!_https://www.jmylbn.com_新闻资讯_第10张

*仅供医疗专业人士参考

稳合器是什么“风口已至”|SWIFT™血管封合器:一型适配动静脉, 高效止血稳准快!_https://www.jmylbn.com_新闻资讯_第11张

声明:脑医汇旗下神外资讯、神介资讯、脑医咨询所发表内容之知识产权为脑医汇及主办方、原作者等相关权利人所有。未经许可,禁止进行转载、摘编、复制、裁切、录制等。经许可授权使用,亦须注明来源。欢迎转发、分享。
投稿/会议发布,请联系400-888-2526转3
稳合器是什么“风口已至”|SWIFT™血管封合器:一型适配动静脉, 高效止血稳准快!_https://www.jmylbn.com_新闻资讯_第12张

脑医汇App全新功能“AI问答”正式上线,您临床实践中的得力助手!长按识别二维码抢先体验!


点击“阅读原文”进入tbm.科库品牌专区。

稳合器是什么“风口已至”|SWIFT™血管封合器:一型适配动静脉, 高效止血稳准快!_https://www.jmylbn.com_新闻资讯_第13张

点分享

稳合器是什么“风口已至”|SWIFT™血管封合器:一型适配动静脉, 高效止血稳准快!_https://www.jmylbn.com_新闻资讯_第14张

点点赞

稳合器是什么“风口已至”|SWIFT™血管封合器:一型适配动静脉, 高效止血稳准快!_https://www.jmylbn.com_新闻资讯_第15张

点在看