眼底照相能检查出什么【临床医讯】眼底照相仪——有效检测糖尿病、高血压等疾病的视网膜病变

新闻资讯2026-04-24 06:12:01

眼底照相能检查出什么【临床医讯】眼底照相仪——有效检测糖尿病、高血压等疾病的视网膜病变_https://www.jmylbn.com_新闻资讯_第1张


眼底照相能检查出什么【临床医讯】眼底照相仪——有效检测糖尿病、高血压等疾病的视网膜病变_https://www.jmylbn.com_新闻资讯_第2张
眼底照相能检查出什么【临床医讯】眼底照相仪——有效检测糖尿病、高血压等疾病的视网膜病变_https://www.jmylbn.com_新闻资讯_第3张

淄博市中医医院眼科引进目前国内先进的TOPCON免散瞳眼底照相机(TRC-NW300)用于糖尿病、高血压、肾病及脑血管病变患者的眼底检查,为调整治疗提供依据。

眼底照相能检查出什么【临床医讯】眼底照相仪——有效检测糖尿病、高血压等疾病的视网膜病变_https://www.jmylbn.com_新闻资讯_第4张


眼底照相能检查出什么【临床医讯】眼底照相仪——有效检测糖尿病、高血压等疾病的视网膜病变_https://www.jmylbn.com_新闻资讯_第5张


眼底照相的原理和优点


眼底照相是眼科常用的检查手段之一。眼底照相所检查的是整个视网膜的形态学改变。其原理就是用一种特制的照相机记录眼底镜下所看到的景象。

眼底照相能检查出什么【临床医讯】眼底照相仪——有效检测糖尿病、高血压等疾病的视网膜病变_https://www.jmylbn.com_新闻资讯_第6张

眼底照相较普通眼底常规检查更能详细全面的记录和保存不同检查时间点上眼底的形态,通过对比前后检查时间点上眼底照片的变化就可以发现病情变化的细微改变,在许多眼科疾病的诊断与治疗中发挥着重要作用。




眼底照相能检查出什么【临床医讯】眼底照相仪——有效检测糖尿病、高血压等疾病的视网膜病变_https://www.jmylbn.com_新闻资讯_第7张

眼底照相能检查出什么【临床医讯】眼底照相仪——有效检测糖尿病、高血压等疾病的视网膜病变_https://www.jmylbn.com_新闻资讯_第7张

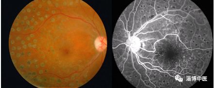
近年来国内糖尿病的患病率呈现迅速增长,已经成为我国严重的公共卫生问题。特别是糖尿病导致的高血压、肾病、眼底等并发症给患者造成很大危害。

眼底照相能检查出什么【临床医讯】眼底照相仪——有效检测糖尿病、高血压等疾病的视网膜病变_https://www.jmylbn.com_新闻资讯_第7张

眼底照相能检查出什么【临床医讯】眼底照相仪——有效检测糖尿病、高血压等疾病的视网膜病变_https://www.jmylbn.com_新闻资讯_第7张




糖尿病对眼睛的危害

糖尿病可以引起心、脑、肾、神经系统等全身各脏器损害,同时可以引起多种眼病,如糖尿病性视网膜病变、糖尿病性黄斑水肿、白内障、新生血管性青光眼、视神经病变、葡萄膜炎、眼肌麻痹复视等。

糖尿病性视网膜病变是最常见的导致双眼失明的眼病之一。本病在早期可无感觉,随着病变发展而有不同程度的视力障碍,严重时则完全失明。



糖尿病导致的眼底病有什么表现


   常见的症状有逐渐或突然视力下降,眼前暗影遮挡等,一般没有眼红、眼痛。晚期继发青光眼可以有眼睛红、痛、异物感、流泪、眼胀、头痛等。

   糖尿病患者在出现视力下降之前往往已经有明显的眼底改变,如视网膜微动脉瘤、出血、渗出与血管改变。



淄博市中医医院眼科专家荣亮提醒:


常规的眼科检查也可以诊断绝大多数的糖尿病眼病,但眼底照相更有助于患者动态的了解自己的病情和监测病情的变化,因此每半年或一年进行一次眼底照相对患者眼底进行动态监控有利于医生了解病人的眼底病变进展,为评价治疗效果以及调整治疗方案作依据。

眼底照相能检查出什么【临床医讯】眼底照相仪——有效检测糖尿病、高血压等疾病的视网膜病变_https://www.jmylbn.com_新闻资讯_第11张

眼科电话:05336433036


眼底照相能检查出什么【临床医讯】眼底照相仪——有效检测糖尿病、高血压等疾病的视网膜病变_https://www.jmylbn.com_新闻资讯_第12张


供稿:眼科

审核:李文艳

编辑:宁玉荣

眼底照相能检查出什么【临床医讯】眼底照相仪——有效检测糖尿病、高血压等疾病的视网膜病变_https://www.jmylbn.com_新闻资讯_第13张

官方微信公众号

眼底照相能检查出什么【临床医讯】眼底照相仪——有效检测糖尿病、高血压等疾病的视网膜病变_https://www.jmylbn.com_新闻资讯_第14张官方抖音



长按关注

获取更多健康咨询





  淄博市中医医院

      淄博市中医医院始建于1952年,是鲁中地区最大的一所集医疗、科研、教学、养生保健四位一体的综合性三级甲等中医医院。是山东中医药大学的附属医院、国家住院医师规范化培训基地、山东省中医药预防保健服务中心。设有21个临床科室,9个医技辅助科室,开放床位700张。医院拥有核磁共振、CT等大型诊疗设备300多台件。    

预约电话:6433111

本院区地址:山东省淄博市周村区新建中路75号(乘坐238路、239路、34路、96路公交车均可到达)


眼底照相能检查出什么【临床医讯】眼底照相仪——有效检测糖尿病、高血压等疾病的视网膜病变_https://www.jmylbn.com_新闻资讯_第15张

  和平路院区地址:张店区和平路18号(南西五路与和平路转盘东北角)

电话:0533-2210092

1.乘坐35路、121路、132路、95路公交车和平小区站下车北行100米即到。

2.乘坐138路、223路公交车天星小区站下车东行200米即到。

3.乘坐96路、126路、12路公交车中国陶瓷馆站下车南行600米即到。


     东院区地址:周村区北郊镇东路1166号(碧桂园对面) 。

1.乘坐96路到碧桂园站下车

2.乘坐291路公交车到碧桂园站下车

3.乘坐258路公交车到鲁王和墅站下车,东行1.2里即到。