眼底照相有什么用眼底拍张照,眼病早知道!你的眼睛需要拍照吗?

新闻资讯2026-04-24 06:11:37

眼底照相有什么用眼底拍张照,眼病早知道!你的眼睛需要拍照吗?_https://www.jmylbn.com_新闻资讯_第1张眼底照相有什么用眼底拍张照,眼病早知道!你的眼睛需要拍照吗?_https://www.jmylbn.com_新闻资讯_第2张

眼科有句话
“眼底一张照,眼病早知道”
意思是给眼底拍张照片
能发现很多相关的眼病

眼底照相有什么用眼底拍张照,眼病早知道!你的眼睛需要拍照吗?_https://www.jmylbn.com_新闻资讯_第3张

那么,怎么给眼底拍照?

眼底照能发现哪些眼病?
又是哪些人需要给眼底拍照呢?

什么是眼底?


眼底照相有什么用眼底拍张照,眼病早知道!你的眼睛需要拍照吗?_https://www.jmylbn.com_新闻资讯_第4张

首先,我们需要知道“眼底”在哪里?

我们平时能看到的眼睛部位只占眼睛的20%,还有80%看不到的部位,叫做眼底。临床上是指从晶状体往后的眼球内部结构,包括视网膜、眼底血管、视神经乳头、视神经纤维、视网膜上的黄斑部以及视网膜后的脉络膜等。

眼底照相有什么用眼底拍张照,眼病早知道!你的眼睛需要拍照吗?_https://www.jmylbn.com_新闻资讯_第5张

眼睛犹如一台照相机,眼底就是“底片”,底片出问题,照片就会失真,我们的生活将不再绚丽多彩。而眼底疾病却因其隐匿性容易被忽视,或是误认为是眼睛“老化”。


眼底拍照

能检查出哪些常见的眼底病变?


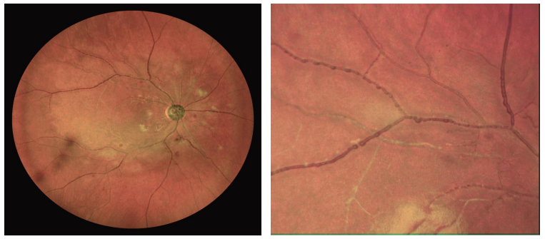
襄阳市中医医院眼科引进一台超广角共焦激光照相造影机,相较于普通眼底相机,它的单张眼内成像角最大可达150°(视场角100°)、两张拼图成像超过240°,无需散瞳,无需暗室,有八种成像模式,能够更好发现很多眼底病变。

眼底照相有什么用眼底拍张照,眼病早知道!你的眼睛需要拍照吗?_https://www.jmylbn.com_新闻资讯_第6张

眼底照相是眼科一项非常重要的检查,通过拍摄眼底图像,清楚地显示出视网膜、视盘、黄斑以及眼底血管等结构,能够直观地体现患者眼底的病变程度、范围及变化,而且许多全身疾病都可以从眼底上反应出来。
眼底照相有什么用眼底拍张照,眼病早知道!你的眼睛需要拍照吗?_https://www.jmylbn.com_新闻资讯_第7张


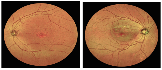
1、糖尿病视网膜病变 

眼底照相有什么用眼底拍张照,眼病早知道!你的眼睛需要拍照吗?_https://www.jmylbn.com_新闻资讯_第8张

糖尿病性视网膜病变是糖尿病最常见的微血管并发症之一,也是临床最常见的视网膜血管性疾病。其基础的病理生理过程是高血糖导致的各种异常代谢产物的堆积,导致视网膜血管周细胞和血管内皮细胞损伤和丢失,出现微血管闭塞、血视网膜屏障破坏,导致视网膜渗出和水肿,严重影响视力;继而局部缺血缺氧,异常新生血管形成,新生血管的渗出和出血,引起牵拉性视网膜脱离,最终导致失明。


2、高血压眼底病变 

眼底照相有什么用眼底拍张照,眼病早知道!你的眼睛需要拍照吗?_https://www.jmylbn.com_新闻资讯_第9张

高血压和糖尿病引起的眼底病变,可以通过是否出现视网膜动脉硬化、出血点、渗出、动脉瘤,以及是否合并黄斑水肿等方面进行鉴别。 


3、视网膜中央静脉阻塞 

眼底照相有什么用眼底拍张照,眼病早知道!你的眼睛需要拍照吗?_https://www.jmylbn.com_新闻资讯_第10张

视网膜中央静脉阻塞 (CRVO) 发生于视网膜静脉总干的阻塞。本病的发病机理并不十分清晰,目前认为是筛板处或筛板后视网膜中央静脉血栓形成。无痛性突发性视力下降,是本病就诊的主要原因。视力下降的程度取决于静脉阻塞程度和黄斑出血量,严重者视力可下降至数指或手动视力,但也有视力轻度下降甚至无视力下降。半侧静脉阻塞亦属此型。


4、系统性红斑狼疮 

眼底照相有什么用眼底拍张照,眼病早知道!你的眼睛需要拍照吗?_https://www.jmylbn.com_新闻资讯_第11张

系统性红斑狼疮是一种多系统、多器官受累的自身免疫性疾病。眼底的受损程度与 SLE 的病程进展密切相关。有 20%~25% 的患者出现眼底改变,其中最常见的是 SLE 患者的视网膜血管损害。


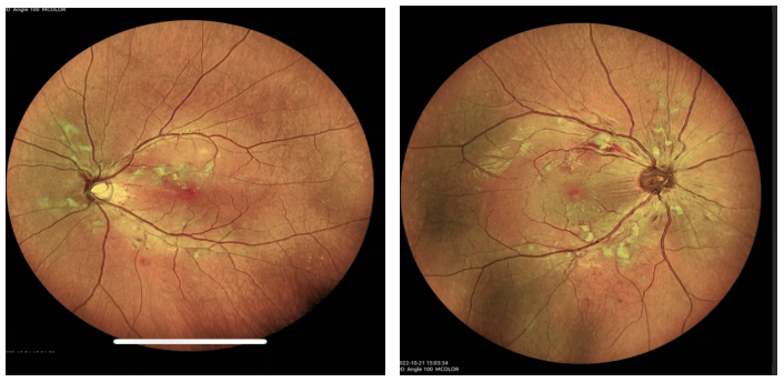
5、白血病视网膜病变 

眼底照相有什么用眼底拍张照,眼病早知道!你的眼睛需要拍照吗?_https://www.jmylbn.com_新闻资讯_第12张

白血病视网膜病变的典型特征是视网膜静脉充盈、扩张、迂曲,视网膜出血等。视网膜静脉改变是最早出现的明显体征,静脉迂曲扩张,静脉管径增大,不规则,呈节段状或腊肠样,若伴有贫血,静脉血液颜色淡,与动脉血不易区分。动脉早期改变不大,晚期亦可扩张。

视网膜出血可位于浅层和深层,形态多样,呈火焰状或点状、斑状,多位于眼底周边部。典型的出血灶称为 Roth 斑,为出血灶中央可见一白芯,认为与白细胞、成纤维蛋白和血小板聚集有关。静脉及毛细血管血流缓慢,导致视网膜水肿、增厚,色泽橘黄或黄白色。黄斑部可见硬性渗出,呈星芒状改变;局部小血管的闭塞,形成棉绒斑。视盘水肿轻重不等,与视盘局部白血病细胞浸润或颅内白血病细胞浸润引起高颅压有关。


6、年龄相关性黄斑变性 

眼底照相有什么用眼底拍张照,眼病早知道!你的眼睛需要拍照吗?_https://www.jmylbn.com_新闻资讯_第13张

年龄相关性黄斑变性,亦称老年黄斑变性,由于人口老龄化,AMD发病率有逐年增长的趋势。研究表明,AMD的发病是环境及临床因素共同作用的结果,环境危险因素包括年龄、吸烟史、心血管病史、氧化应激及高脂血症等。


如何预防眼底病的发生?



眼底照相有什么用眼底拍张照,眼病早知道!你的眼睛需要拍照吗?_https://www.jmylbn.com_新闻资讯_第14张


患糖尿病、高血压、高度近视、长期吸烟者以及50岁以上中老年人,都是眼底疾病的高发人群。通过眼底检查,可以排查出导致视力问题的原因,做到早发现、早治疗。
   1、积极控制和治疗高血压、糖尿病、高血脂等全身性疾病。
   2、定期检查眼底,特别是高危人群,应该每年复查一次眼底。
   3.、高度近视患者还需注意:避免剧烈、冲击性、极限运动,如跳水、蹦极、跳伞等,防止视网膜脱离。
素材提供:眼科闫紫男
内容审核:宋亚芹

眼底照相有什么用眼底拍张照,眼病早知道!你的眼睛需要拍照吗?_https://www.jmylbn.com_新闻资讯_第15张

眼底照相有什么用眼底拍张照,眼病早知道!你的眼睛需要拍照吗?_https://www.jmylbn.com_新闻资讯_第16张策划:丁志红
 编辑:潘斌斌
审稿:康 健  邵本刚
“中医指导 科学养生”
识别下图中二维码
即可关注健康科普知识
眼底照相有什么用眼底拍张照,眼病早知道!你的眼睛需要拍照吗?_https://www.jmylbn.com_新闻资讯_第17张