眼底激光机有什么牌子【高视光太EasyRet病例品鉴】巧手医中浆

新闻资讯2026-04-24 06:10:03

眼底激光机有什么牌子【高视光太EasyRet病例品鉴】巧手医中浆_https://www.jmylbn.com_新闻资讯_第1张


欢迎投稿:gaoyisong@gaush.com


患者基础信息


患者:49岁,男性。

主诉:右眼视力下降半年,加重20天。

既往史:既往无基础疾病。

视力:OD:0.25,OS:0.8。



检查影像


眼底激光机有什么牌子【高视光太EasyRet病例品鉴】巧手医中浆_https://www.jmylbn.com_新闻资讯_第2张

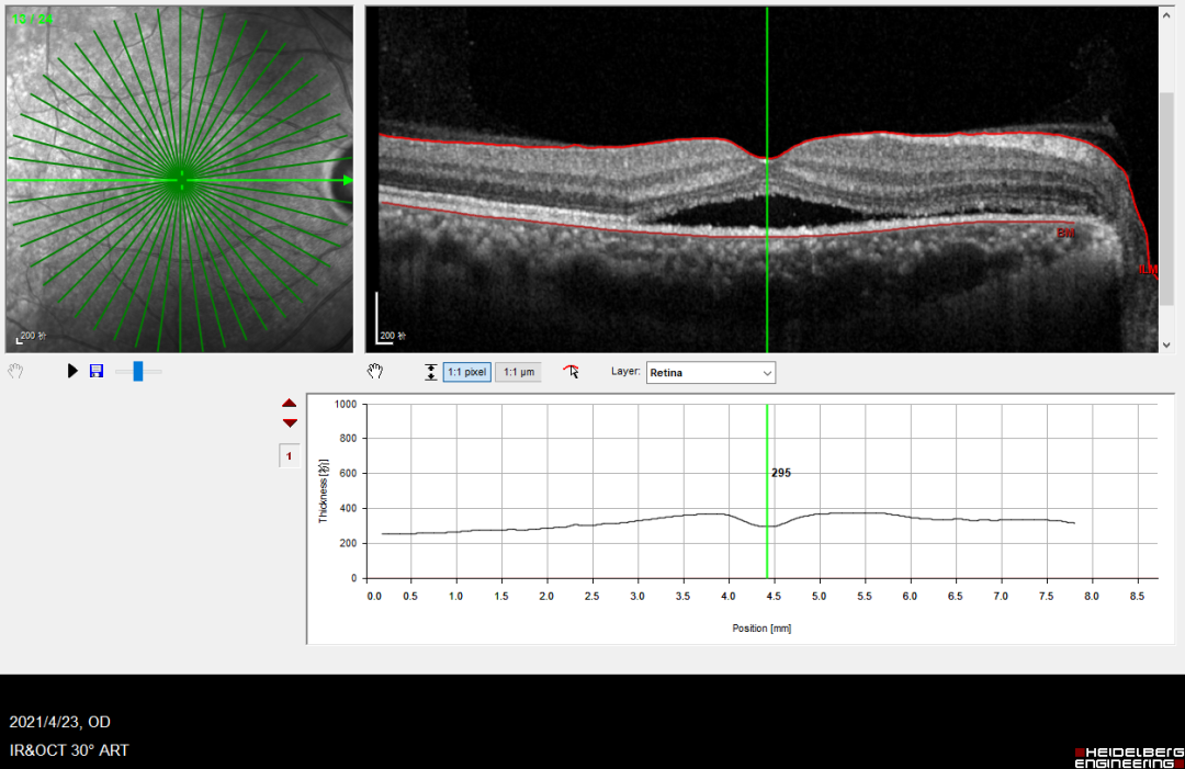
右眼OCT示黄斑水肿,中央黄斑厚度为295μm,中心凹下低反射,考虑为视网膜下液。


眼底激光机有什么牌子【高视光太EasyRet病例品鉴】巧手医中浆_https://www.jmylbn.com_新闻资讯_第3张

右眼自发荧光未见明显异常。


眼底激光机有什么牌子【高视光太EasyRet病例品鉴】巧手医中浆_https://www.jmylbn.com_新闻资讯_第4张

FFA+ICGA联合造影早期可见右眼FFA中心凹鼻上方点片状高荧光,ICGA可见黄斑鼻侧片状低荧光,晚期可见荧光渗漏扩大。



治疗方法


法国光太EasyRet眼底激光,微脉冲模式SubLiminal mode。

使用参数为:

577nm波长

光斑大小150μm

曝光时间0.2s

光斑间距为0

能量350mW

占空比5%

激光总点数103个


EasyRet机器外观



眼底激光机有什么牌子【高视光太EasyRet病例品鉴】巧手医中浆_https://www.jmylbn.com_新闻资讯_第5张

黄斑镜:Volk Area-Centralis激光接触镜

眼底激光机有什么牌子【高视光太EasyRet病例品鉴】巧手医中浆_https://www.jmylbn.com_新闻资讯_第6张

治疗报告



眼底激光机有什么牌子【高视光太EasyRet病例品鉴】巧手医中浆_https://www.jmylbn.com_新闻资讯_第7张


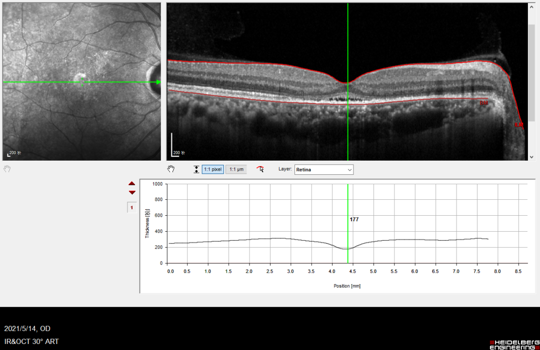
3周后复诊



眼底激光机有什么牌子【高视光太EasyRet病例品鉴】巧手医中浆_https://www.jmylbn.com_新闻资讯_第8张

右眼视力1.0,OCT示水肿明显消退,中央黄斑厚度为177μm。未见明显激光斑。



专家评语



眼底激光机有什么牌子【高视光太EasyRet病例品鉴】巧手医中浆_https://www.jmylbn.com_新闻资讯_第9张

卢笛 教授

沈阳爱尔眼科医院

法国光太EasyRet基于光太自主研发的光纤激光技术,是首次引入眼科的高科技眼底激光!与传统的热激光不同,光太EasyRet提供的微脉冲模式(SubLiminal mode)产生的激光能量对RPE进行生物调节,在OCT、FFA和AF上无激光斑,并且可以达到治疗效果,是一种非常先进的治疗手段,对糖尿病黄斑水肿,中浆等疾病具有良好的治疗效果。目前看这个病人的治疗效果非常理想,仍需长期随访观察。



专家简介









眼底激光机有什么牌子【高视光太EasyRet病例品鉴】巧手医中浆_https://www.jmylbn.com_新闻资讯_第10张


卢笛 教授

沈阳爱尔眼科医院眼底病副主任

营口爱尔眼科医院业务副院长


学术任职:
爱尔集团眼底病学组青年委员;
爱尔集团辽宁省区眼底内科学组主委;
爱尔集团辽宁省区功能影像学组主委;
爱尔集团辽宁省区眼底病学组副主委;
中国糖网筛防工程辽宁省专家委员会委员;
辽宁省生命科学委员会眼底病分会委员;
辽宁省医学会激光医学会分会委员 ;
辽宁省民盟医药专家委会委员 ;            
沈阳市民盟医药专家委员会委员。
专家简介:
曾在北京协和医院眼科,温州眼视光医院进修学习。
曾访问新加坡国立眼科中心,对于PCV的诊断及治疗方法进行探讨和研究。
眼科工作近20年。擅长老年黄斑变性,糖网,难治性黄斑水肿,飞蚊症及各种疑难眼病的诊断治疗。
熟练掌握各种国际先进激光治疗技术,及数万例激光治疗的成功经验。





文编辑:闫宏伟

图文编辑:高毅松