电子胃镜镜是什么奥林巴斯HQ290电子胃镜诊断胃窦早癌一例分享

新闻资讯2026-04-24 05:32:14

电子胃镜镜是什么奥林巴斯HQ290电子胃镜诊断胃窦早癌一例分享_https://www.jmylbn.com_新闻资讯_第1张

电子胃镜镜是什么奥林巴斯HQ290电子胃镜诊断胃窦早癌一例分享_https://www.jmylbn.com_新闻资讯_第2张

患者某某,女性,59岁,无症状胃镜检查示胃窦小弯见一0.8*1.2cmIIa粘膜发红病变,表面粗糙。

白光示胃窦粘膜红白相间,以白为主,胃窦小弯见一0.8*1.2cmIIa粘膜发红病变,表面粗糙。电子胃镜镜是什么奥林巴斯HQ290电子胃镜诊断胃窦早癌一例分享_https://www.jmylbn.com_新闻资讯_第3张

电子胃镜镜是什么奥林巴斯HQ290电子胃镜诊断胃窦早癌一例分享_https://www.jmylbn.com_新闻资讯_第4张

电子胃镜镜是什么奥林巴斯HQ290电子胃镜诊断胃窦早癌一例分享_https://www.jmylbn.com_新闻资讯_第5张

胃角粘膜红白相间,以白为主

电子胃镜镜是什么奥林巴斯HQ290电子胃镜诊断胃窦早癌一例分享_https://www.jmylbn.com_新闻资讯_第6张

胃体下部小弯粘膜红白相间,以白为主,RAC消失

电子胃镜镜是什么奥林巴斯HQ290电子胃镜诊断胃窦早癌一例分享_https://www.jmylbn.com_新闻资讯_第7张

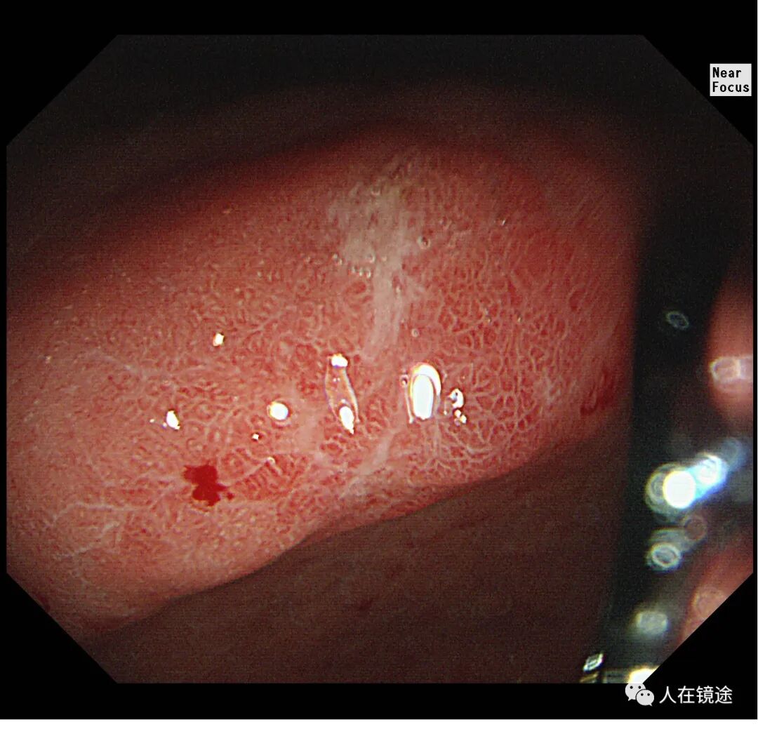
白光示胃窦小弯见一0.8*1.2cmIIa粘膜发红病变,表面粗糙

电子胃镜镜是什么奥林巴斯HQ290电子胃镜诊断胃窦早癌一例分享_https://www.jmylbn.com_新闻资讯_第8张

电子胃镜镜是什么奥林巴斯HQ290电子胃镜诊断胃窦早癌一例分享_https://www.jmylbn.com_新闻资讯_第9张

电子胃镜镜是什么奥林巴斯HQ290电子胃镜诊断胃窦早癌一例分享_https://www.jmylbn.com_新闻资讯_第4张

电子胃镜镜是什么奥林巴斯HQ290电子胃镜诊断胃窦早癌一例分享_https://www.jmylbn.com_新闻资讯_第11张

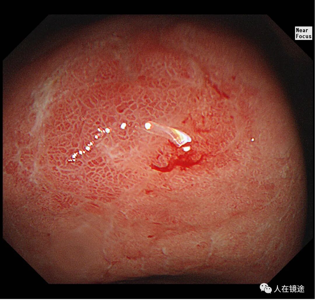
白光+近焦示:胃窦小弯见一0.8*1.2cmIIa粘膜发红病变,微结构稍紊乱,表面粘膜高低不平伴自发性出血。

电子胃镜镜是什么奥林巴斯HQ290电子胃镜诊断胃窦早癌一例分享_https://www.jmylbn.com_新闻资讯_第12张

电子胃镜镜是什么奥林巴斯HQ290电子胃镜诊断胃窦早癌一例分享_https://www.jmylbn.com_新闻资讯_第13张

电子胃镜镜是什么奥林巴斯HQ290电子胃镜诊断胃窦早癌一例分享_https://www.jmylbn.com_新闻资讯_第14张

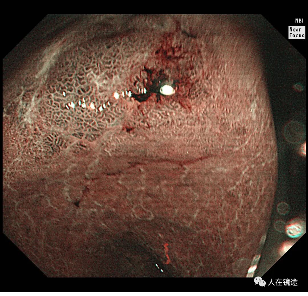
NBI示:胃窦小弯见一0.8*1.2cmIIa粘膜病变呈咖色,边界清楚,表面粘膜高低不平伴自发性出血。

电子胃镜镜是什么奥林巴斯HQ290电子胃镜诊断胃窦早癌一例分享_https://www.jmylbn.com_新闻资讯_第15张

电子胃镜镜是什么奥林巴斯HQ290电子胃镜诊断胃窦早癌一例分享_https://www.jmylbn.com_新闻资讯_第16张

NBI+近焦示:胃窦小弯见一0.8*1.2cmIIa粘膜发病变呈咖色,边界清楚,微结构紊乱,表面粘膜高低不平伴自发性出血

电子胃镜镜是什么奥林巴斯HQ290电子胃镜诊断胃窦早癌一例分享_https://www.jmylbn.com_新闻资讯_第17张

电子胃镜镜是什么奥林巴斯HQ290电子胃镜诊断胃窦早癌一例分享_https://www.jmylbn.com_新闻资讯_第18张

电子胃镜镜是什么奥林巴斯HQ290电子胃镜诊断胃窦早癌一例分享_https://www.jmylbn.com_新闻资讯_第19张

靛胭脂染色示:病变边界清楚,约0.8*1.2cm大小,表面粘膜高低不平,微结构紊乱伴自发性出血。

电子胃镜镜是什么奥林巴斯HQ290电子胃镜诊断胃窦早癌一例分享_https://www.jmylbn.com_新闻资讯_第20张

电子胃镜镜是什么奥林巴斯HQ290电子胃镜诊断胃窦早癌一例分享_https://www.jmylbn.com_新闻资讯_第21张

NBI+靛胭脂+近焦示:病变边界清楚,约0.8*1.2cm大小,表面粘膜高低不平,微结构紊乱伴自发性出血

电子胃镜镜是什么奥林巴斯HQ290电子胃镜诊断胃窦早癌一例分享_https://www.jmylbn.com_新闻资讯_第22张

电子胃镜镜是什么奥林巴斯HQ290电子胃镜诊断胃窦早癌一例分享_https://www.jmylbn.com_新闻资讯_第23张

靛胭脂+醋酸示:病变边界清楚,约0.8*1.2cm大小,表面粘膜高低不平,微结构紊乱伴自发性出血,中央见腺管密集不规则,

电子胃镜镜是什么奥林巴斯HQ290电子胃镜诊断胃窦早癌一例分享_https://www.jmylbn.com_新闻资讯_第24张

电子胃镜镜是什么奥林巴斯HQ290电子胃镜诊断胃窦早癌一例分享_https://www.jmylbn.com_新闻资讯_第25张

电子胃镜镜是什么奥林巴斯HQ290电子胃镜诊断胃窦早癌一例分享_https://www.jmylbn.com_新闻资讯_第26张

电子胃镜镜是什么奥林巴斯HQ290电子胃镜诊断胃窦早癌一例分享_https://www.jmylbn.com_新闻资讯_第27张

NBI+靛胭脂+醋酸+近焦示:病变边界清楚,约0.8*1.2cm大小中央见腺管密集不规则伴自发性出血。

电子胃镜镜是什么奥林巴斯HQ290电子胃镜诊断胃窦早癌一例分享_https://www.jmylbn.com_新闻资讯_第28张

电子胃镜镜是什么奥林巴斯HQ290电子胃镜诊断胃窦早癌一例分享_https://www.jmylbn.com_新闻资讯_第29张

电子胃镜镜是什么奥林巴斯HQ290电子胃镜诊断胃窦早癌一例分享_https://www.jmylbn.com_新闻资讯_第30张

电子胃镜镜是什么奥林巴斯HQ290电子胃镜诊断胃窦早癌一例分享_https://www.jmylbn.com_新闻资讯_第31张

我院胃镜诊断为1.浅表-萎缩性胃炎(C-2)2.胃窦小弯IIa粘膜病变性质待定(早Ca?)

胃窦小弯IIa粘膜病变活检病理提示胃窦重度慢性活动性胃炎,肠化(+)伴局灶性低级别上皮内瘤变

电子胃镜镜是什么奥林巴斯HQ290电子胃镜诊断胃窦早癌一例分享_https://www.jmylbn.com_新闻资讯_第32张

我院建议内镜下诊断性ESD切除,但患者转上海某三甲医院行外科手术切除,术后病理示高级别上皮内瘤变。

电子胃镜镜是什么奥林巴斯HQ290电子胃镜诊断胃窦早癌一例分享_https://www.jmylbn.com_新闻资讯_第33张

电子胃镜镜是什么奥林巴斯HQ290电子胃镜诊断胃窦早癌一例分享_https://www.jmylbn.com_新闻资讯_第34张

西西西西西ERCPEUS西西5441作40EMREPMRESDESEERCPEUS(ESVD)(CAES)