本文未经授权禁止转载
骨折内固定术是指当发生骨折时用金属螺钉、钢板、髓内针、钢丝或骨板等物直接在断骨内将断骨连接固定起来的手术。创伤骨科两大法宝,钢板和髓内钉。作为骨科医师进行骨固定手术提供的一种手段,在骨折处理和重建外科中颇具帮助。今天就为大家分享骨折内固定方案、选择原则与常用内固定材料。
骨折治疗AO原则(经典)
-
解剖复位
-
坚强内固定
-
保障骨折端血运
-
早期功能锻炼
通过骨折块间加压而达到绝对的稳定性,从而实现坚强固定,使骨折一期愈合。
-
现代骨折治疗的观念由机械力学向生物学方面发生了彻底的改变,即从解剖复位、坚强固定、骨折一期愈合的力学固定方式(AO)演变为间接复位、弹性固定、间接愈合的生物学固定方式(BO)。
-
必须充分重视局部软组织和骨的血运,固定可靠而无加压。
1.张力带钢板:偏心负荷骨的固定原则,接骨板必须放在张力侧,对侧骨皮质必须能抵抗压力
2.加压钢板:把螺钉拧入斜坡锁扣中进行,属于球形滑移原理。
但是加压会使得钢板与骨之间的压力过大,有时会影响骨的愈合,因此又发明了点接触的加压钢板Limited compression plate,即我们常说的LCP。
想要加压,打孔的时候需要注意的是钻孔需要靠近锁孔的一边(上),而位于中间位置钻孔则不会有断端加压的效果(下),断端加压的效果大约也只能加压1mm左右。
普通加压钢板:为直型普通型中螺丝孔为一长斜形造形,在旋转螺丝钉进入骨质时,可收紧骨端,对骨折端形成一压力,称加压钢板。
多孔加压直形钢板:同单孔加压钢板,其为多个加压孔,不必考虑使用唯一的加压孔施行加压。但加压作用仅为上下各一个孔起作用。
限制接触形加压钢板:系直形钢板系统,其底部为不平之结构,使用时可避免对骨质的压迫,为限制接触型。
锁定钢板,即螺钉与钢板之前是以锁定形式结合。通常锁定孔与加压孔合并出现,两者的作用却是截然不同的。
锁定螺钉可以有效的增加内固定强度、保留骨膜血液供应,其抗拔出效果较好,尤其是角稳定锁定螺钉,最显著的就是肱骨近端philos锁定钢板。对于骨质疏松患者、桥接钢板固定、短节段钢板固定、严重粉碎骨折、经皮微创固定,都可采用锁定螺钉。
用拉力螺钉做坚强内固定,用接骨板做中和或保护。防止外力作用与骨折所产生的扭矩。弯曲应力和剪切应力,对拉力螺钉起保护作用。穿过接骨板或单独用拉力螺钉对骨片间加压
在中和钢板中,主要受力的为拉力螺钉。当骨折线越大越长时,可以采用2-3枚的拉力螺钉垂直于骨折线进行拉力,再辅助中和钢板固定。中和钢板最常应用于外踝、锁骨等部位的固定。
中和在骨折轴向施加负荷时所产生的弯曲应力,压缩力,剪切力。对骨皮质有支持作用,有效对抗可能产生的位移,降低关节畸形的发生率。最适用于干骺端或骨骺部位,固定剪切或劈裂骨折。
钢板需要欠预弯,由远到近,依次拧入皮质螺钉,使用皮质螺钉,将钢板进行贴付,由于其弹性反冲,钢板具有恢复弯曲的趋势,用该力来进行支撑的作用。
这是一种中和钢板的改版,针对于干部的粉碎骨折,通过透视下监视,使得钢板跨越骨折区域而固定骨折的近端和远端,骨折区域不进行固定。
该类技术主要是强调对位、对线、长度、旋转,中间粉碎可以不用处理,有效保护骨折断端血运,但是需要注意钢板需要有足够的长度,两端固定也需要有足够的螺钉数量。目前容易出现一些骨不连的现象,需要谨慎对待。
钢板固定后,防止骨折块在受到纵向力量后向外滑移。主要应用于腓骨远端。
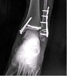
三分之一圆周,四分之一管型已少用,非坚强固定。用于软组织膜包覆部位:外踝、鹰嘴、尺骨远端。
孔之间有深凹槽,便于塑型、预弯,椭圆型孔,可动力加压,适于复杂的三位几何形状的部位。
异形钢板之肱骨髁上骨折:Y型钢板,用于肱骨远端骨折。
异形钢板之骨盆:因可在外力下变换形态所以用于骨盆骨折,现也可用于长骨骨折内固定。
异形钢板之股骨远端髁钢板:用于股骨下1/3骨折和髁的骨折
异形钢板之胫骨远端外侧钢板(左右式):用于胫骨远端骨折和外踝骨折(需加强应用)
-
-
-
-
-
功能或机制(钢板螺钉、拉力螺钉、位置螺钉、交锁钉、锚钉、推拉螺钉、复位螺钉、阻挡钉)
-
-
-
-
-
-
-
不同直径规格:6.5/4.5/3.5/2.7/2.0/1.5mm
-
-
应力分散式固定,非应力遮挡式固定,有利于骨痂的塑形。
-
中心固定在理论上优于皮质外固定,可减小力臂,降低内、外翻成角及内固定失效的发生率。
-
-
普通髓内钉(非交锁)轴向稳定性差,抗扭转强度低-适应症较少。
-
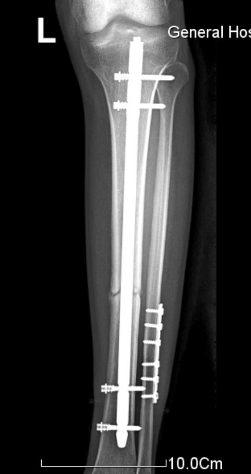
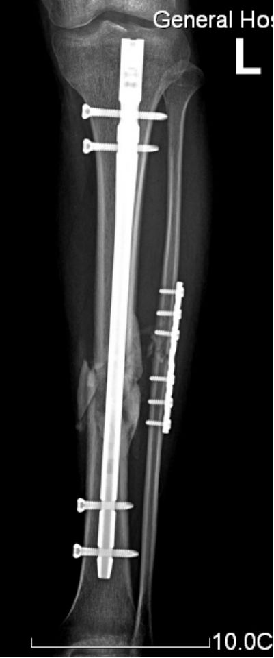
交锁髓内钉有较好的抗旋转、抗压缩作用,固定稳定性好,符合生物学固定原则(BO),在四肢长骨中应用广泛。
-
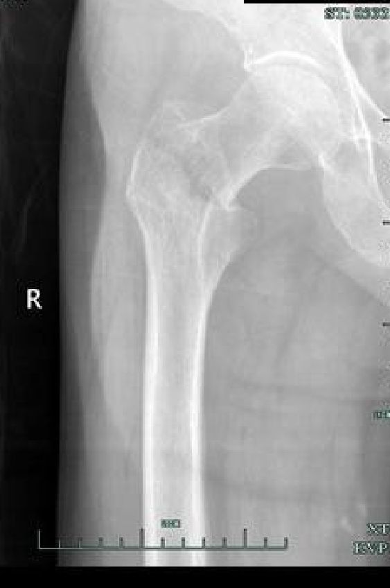
股骨粗隆下2cm距膝关节9cm以上的各种类型骨折。
-
-
-
固定骨折的力臂比钢板长,作用力均匀分散在整个骨干的中轴上,不易发生折弯变形。
-
锁钉使骨干从上到下形成一体,防止缩短和旋转,对骨折的固定达到最大的稳定性。
-
胫骨中1/3稳定型骨折:横形骨折、短斜形骨折、假关节。
-
胫骨中部60%长度内的不稳定性骨折:干骺端附近的骨折、长螺旋形骨折、节段性骨折、粉碎性骨折、骨折伴骨缺损。
-
多用于胫骨中段骨折。尽管也可用于胫骨近端和远端骨折,但并发症发生率较高,易发生畸形愈合。
-
髓外钉板系统:DHS、DCS、PCCP、解剖型锁定钢板 等。
-
髓内固定系统:Gamma钉、PFN、PFNA、TFN 等。
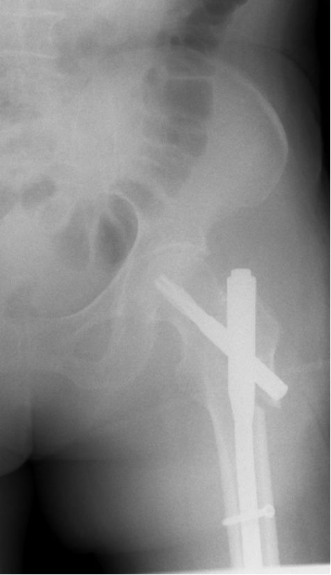
DHS(Dynamic Hip Screw)动力髋螺钉
-
以一根粗大宽螺纹的拉力螺钉与套管钢板及加压螺钉连接。在复位及骨折愈合过程中可使两骨折端靠拢,产生静力加压作用。对于顺转子间骨折线骨折可获得动力加压作用。
-


稳定骨折,固定成功

不稳定骨折,固定失败
-
-
用于骨质疏松患者有一定螺钉切除率,尤其是当拉力螺钉位置偏上时;
-
因钢板位于负重力线外侧,固定力臂较大,不适用于逆转子骨折。
-
-
对于不稳定骨折,髓内固定的力学性能更好,力臂更短,术后器械相关并发症如股骨头切割、髋内翻、短缩和内固定物松动断裂概率更低。
PFNA(股骨近端螺旋刀片抗旋髓内钉proximal femoral nail anti-rotation blade)
-
新改进的PFN(股骨近端髓内钉)系统,一方面继承了原PFN 的优点,生物力学特点相同,另一方面在具体设计上有所创新,令固定更有效、操作更简单。
-
-
刀片具有宽大的表面积和逐渐增加的芯直径(4.5-9mm),通过打入,填压松质骨,可提高其锚合力,尤其适合骨质疏松患者。
-
与骨质贴合紧密,增强了稳定性,抗旋转、抗骨折端塌陷和内翻畸形的能力很强。
-
适用于几乎所有的转子间骨折,特别适合于不稳定型骨折(如反转子间骨折)及合并骨质疏松者。


反转子间骨折
-
仍有一定的并发症发生率(如穿出股骨头),因此无法取代其他内固定。


一、股骨颈或粗隆骨折系列
二、膝关节系列
-
此类钢板为直型,钢板为一圆孤形,可充分适合小的长骨,如桡尺骨、腓骨之内固定。
-
声明:本文仅代表作者个人观点,不代表骨今中外官方立场。希望大家理性判断,有针对性地应用。