氦氩刀是什么“冰火两重天”,氩氦刀“杀死”肿瘤

新闻资讯2026-04-24 04:21:36

氩氦刀冷冻消融是一种介入治疗技术,它利用氩氦冷冻系统进行肿瘤的治疗。该技术具有微创性,可以在不开刀的情况下对肿瘤进行治疗。

氦氩刀是什么“冰火两重天”,氩氦刀“杀死”肿瘤_https://www.jmylbn.com_新闻资讯_第1张

该技术是在影像设备的引导下,启动氩气迅速将病变组织整体冷冻至-140℃—-170℃,再启动氦气快速升温至 20℃—45℃。经数次“冰火两重天”似的攻击,使肿瘤细胞快速破裂、崩解,肿瘤血管也成功栓塞、坏死,无法继续“滋养”肿瘤,达到杀死和控制肿瘤的效果。

日前,空军军医大学唐都医院介入中心二病区为91岁高龄的患者王大爷实施“左髋骨转移瘤氩氦刀消融术”,术后患者疼痛明显减轻。

王大爷数年前患左肺鳞癌,已发生左侧髋骨转移。近一个月来左腿十分疼痛,行走困难,精神、食欲、睡眠也都受到了很大影响。四处求医后,最终来到唐都医院就诊。

经检查,王大爷此时疼痛NRS(疼痛数字评分法)评分8分,为重度疼痛。

氦氩刀是什么“冰火两重天”,氩氦刀“杀死”肿瘤_https://www.jmylbn.com_新闻资讯_第2张

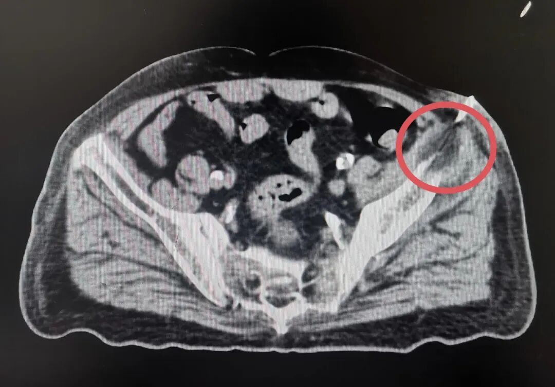
术前髋部CT影像

(红圈内为转移瘤病灶)

经综合评估,介入中心二病区罗中华主任团队决定为患者实行左髋骨转移瘤氩氦刀消融术,依靠介入手术微创、安全、高效的独特优势,以最小伤害,为患者减轻痛苦。

氦氩刀是什么“冰火两重天”,氩氦刀“杀死”肿瘤_https://www.jmylbn.com_新闻资讯_第3张
氦氩刀是什么“冰火两重天”,氩氦刀“杀死”肿瘤_https://www.jmylbn.com_新闻资讯_第4张

手术由罗中华主任、熊建主治医师、刘俊德医师实施,经过反复冻融2个周期后,操作顺利完成,患者体表仅有针尖大小的伤口,几乎无出血,经加压包扎后返回病房。手术全程历时3个小时。

氦氩刀是什么“冰火两重天”,氩氦刀“杀死”肿瘤_https://www.jmylbn.com_新闻资讯_第5张

术中髋部CT影像

(红圈内为消融后病灶被冰球包裹)

术后再次评估,患者疼痛NRS评分已降至4分,症状明显减轻,左腿也比入院前活动范围更大,已经顺利出院。

氦氩刀是什么“冰火两重天”,氩氦刀“杀死”肿瘤_https://www.jmylbn.com_新闻资讯_第6张

氩氦刀消融术过程图解

罗中华主任介绍,介入医学在肿瘤、血管、消化、呼吸、妇科、骨科、神经等疾病领域均有所应用,并且疗效显著。氩氦刀消融术是一种疗效确切、无副作用且治疗期限短的选择。对于那些无法接受手术切除的患者来说,该技术可以帮助他们控制肿瘤并提高生存时间,已经成为晚期肿瘤患者治疗方案的新选择、新希望。

科 普

氩氦刀消融术适用于早期、中期和晚期,各期实体肿瘤的治疗,以下情况可考虑:

1、高龄或患有基础疾病,无法耐受或不愿意接受手术治疗:氩氦刀是一种微创治疗方法,相比于传统手术更为温和,可以减少手术相关的风险和并发症。

2、CT扫描显示肿瘤无法完全切除:对于那些肿瘤位置复杂或紧邻重要组织结构,难以通过手术完全切除的情况,氩氦刀可以提供一种有效的治疗选择。

3、对化疗或靶向药物治疗耐药,或出现严重不良反应的患者:对传统化疗或靶向药物治疗无法产生理想效果或出现严重不良反应的患者,氩氦刀可以作为一种替代或补充治疗方法,以控制肿瘤的进展。

4、肿瘤体积巨大且累及重要脏器结构:肿瘤体积较大且累及重要脏器结构的患者,氩氦刀可以用来减轻肿瘤负荷,控制肿瘤的生长,从而改善患者的症状,提高生活质量。

5、经过多种治疗方法后,局部病灶虽得到一定程度的控制,但不能完全消失或缩小的患者,氩氦刀可以用来继续控制肿瘤的生长,延长患者的生存时间。



作者:阴玮灵

编辑:张晓雷 孔 乾

责编:岳丽颖 刘婷婷

审核:周天翔