第一部分:病例描述
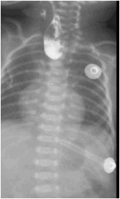
患者女,4 小时 51 分钟,入院情况:患儿系 4 胎 0 产,胎龄 31+5 周,单胎,因「重度先兆子痫、产前脐血流 S/D 比值高」剖宫产娩出, 有宫内窘迫(具体不详),无胎膜早破。无羊水污染,胎盘正常。Apgar 评分 1 分钟 9 分,5 分钟 9 分,10 分钟 9 分,出生体重 1500 g。出生后无窒息抢救史,4 小时前因「早产儿」在当地医院新生儿科住院,下胃管时受阻考虑食管闭锁,与家属沟通后家属要求转院治疗,遂由我科医护人员转运至我院。急诊以「食道闭锁、早产儿」收住入院。病程中患儿自发病以来,神志清,精神反应欠佳,未开奶,无呕吐、腹胀等症状,胎便已排,小便不详。心脏检查 (常规, 左心功能测定, 室壁运动分析) 彩超检查提示:先天性心脏病:室间隔缺损(肌部);房间隔缺损(中央型);彩色多普勒显示: 室水平左向右分流;房水平左向右分流。2021-08-18 日行胸部 (正位), 腹部 (正位)CR 检查示:先天性食道闭锁;新生儿肺炎较前加重,右肺上叶肺不张;肠管充气减少。上消化道造影 (数字化摄影) 检查示:1. 食道闭锁;2. 新生儿肺炎。不能喂养,有手术指征,完善术前检查,加强呼吸道管理,限期手术。积极完善术前检查,于 2021-08-19 急诊行右后外侧入路经胸膜外食管探查、食管气管瘘修补、食管吻合术。
第二部分:常规检测结果、常规病原学检测结果
血气分析提示轻度代酸合并呼碱。复查血气分析基本正常。
血细胞分析+五分类:白细胞计数 13.22×10^9/L、中性细胞百分率 37.9 %、淋巴细胞百分率 53.4 %、单核细胞百分率 6.1 %、红细胞计数 3.88×10^12/L、血红蛋白浓度 144 g/L、血小板计数 273×10^9/L。超敏 C 反应蛋白: 正常。
肝功十项:总蛋白 46.3 g/L、白蛋白 27.1 g/L、球蛋白 19.2 g/L、谷氨酰转肽酶 80.0 U/L。提示白蛋白稍偏低。电解质四项:钾 6.35 mmol/L,提示血钾稍偏高,给予动态随访。肾功四项:尿素 6.23 mmol/L、尿酸 477 μmol/L,给予动态随访。心肌酶四项:肌酸激酶 283 U/L、肌酸激酶同工酶 111 U/L、乳酸脱氢酶 647 U/L。结合日龄给予随访。凝血四项:大致正常。
2021-08-17 10:01 降钙素原:0.34 ng/ml。心电图:窦性心动过缓,电轴不偏,异常心电图:Q-T 间期延长,注意动态随访。胸部 (正位)CR 检查示:先天性食道闭锁不除外;新生儿肺炎;肠管充气减少。
2021-08-17 血气分析全套 (动脉抗凝血):pH 7.38、pCO2 35.50 mmHg、pO2 75.00 mmHg、cK+ 6.03 mmol/L、cCa++ 0.95 mmol/L、AG(K+) 17.90 mmol/L。 感染性疾病筛查三项:阴性。乙肝系列:阴性。
其它部位检查 (小儿颅腔, 颅内段血管彩色多普勒超声) 彩超检查提示:双侧脉络丛形态不规则;余颅内结构未见明显异常。腹部 (肝胆胰脾, 胃肠道), 泌尿系统 (常规 (双肾输尿管膀胱)) 彩超检查提示:肝肋下 23 mm;左肾盂分离;未见明显肠套叠、肠梗阻及阑尾炎征象;胆、脾、胰、右肾、双侧输尿管、膀胱未见明显异常。术后给予有创呼吸机辅助通气支持,输注人血白蛋白支持、速尿减轻水肿,适当限液,禁食、胃肠减压及静脉营养补液等对症治疗。
2021-08-19 20:14 血细胞分析+五分类:白细胞计数 3.85×10^9/L、中性细胞计数 1.87×10^9/L、淋巴细胞计数 1.64×10^9/L、红细胞计数 2.46×10^12/L、血红蛋白浓度 86 g/L、血小板计数 224×10^9/L,超敏 C 反应蛋白 <0.50 mg/L,给予输注红细胞悬液纠正贫血。
2021-08-20 CR 检查: 胸部 (正位), 腹部 (正位):食道闭锁术后:右侧胸壁皮下少量积气;右肺上叶肺不张;新生儿肺炎;气管插管末端位于胸 6 椎体水平(过低);胃肠充气明显减少,建议随诊。给予调整气管插管位置。8.22 给予撤机,撤机后予头罩吸氧 3L/min,撤机成功,给予予咖啡因预防呼吸暂停,继续头孢他啶抗感染,禁食、胃肠减压及静脉营养补液等对症治疗。
2021-08-22 CR 检查: 胸部 (正位), 腹部 (正位):食道闭锁术后:右侧胸壁皮下少量积气,较前减少;右肺上叶部分复张;新生儿肺炎较前加重;腹部较密实,胃腔、肠管未见明确的充气影,建议短期复查。予停胃肠减压,调整为留置胃管开放,继续抗感染,禁食、静脉营养补液及输注白蛋白支持等对症治疗。肝功:总胆红素 154.7 μmol/L、直接胆红素 20.8 μmol/L、间接胆红素 133.9 μmol/L、总蛋白 59.2 g/L、白蛋白 47.2 g/L、丙氨酸氨基转移酶 5 U/L、天门冬氨酸氨基转移酶 17 U/L;电解质五项:钙 1.82 mmol/L。
2021-08-25 头颅超声:早产儿脑。CR 检查: 胸部 (正位), 腹部 (正位):食道闭锁术后:右侧胸壁皮下少量积气基本吸收;右肺上叶肺不张;新生儿肺炎较前稍吸收;肠管充气明显减少,建议随诊。CR 检查: 胸部 (正位), 腹部 (正位):食道闭锁术后:食道吻合口漏;右侧胸壁皮下少量积气基本吸收;右肺上叶肺不张,较前变化不大;右肺中野内带炎症较前加重。肠管充气少。
髋关节彩超:左侧髋关节发育Ⅱa 型;右侧髋关节发育Ⅰ型。
引流液培养:缓症链球菌、粘滑罗氏菌,对万古霉素、克林霉素敏感。9.5 日降钙素原 0.48 ng/ml,超敏 C 反应蛋白 86.94 mg/L。
给予万古霉素抗感染治疗。9.5 腹部彩超:胃内可见少量内容物,余肠管肠腔萎瘪,走形迂曲;腹腔未见明显肠套叠、肠梗阻及阑尾炎征象。9.13 食管造影:食道闭锁术后改变,吻合口漏。贲门位置抬高,建议随诊肺炎。2021-09-28 造影检查: 食管造影:食道闭锁术后改变,吻合口漏,较前稍好转。贲门位置抬高,建议随诊;肺炎;先天性心脏病。磁共振检查 (1T 以上不含 1T): 颅脑 (磁共振功能成像, 平扫):早产儿脑,左侧侧脑室后角室管膜下局灶性脑损伤,小脑幕缘硬膜下少量出血。
患儿考虑多种细菌混合感染,感染控制不理想抗生素更换为美罗培南,停用万古霉素。宫内感染 (TORCH):人巨细胞病毒 IgM 抗体 160.22 AU/ml。甲状腺功能五项:正常。尿巨细胞病毒 DNA 定量:5.7×1^5/L。血巨细胞 DNA 定量正常。
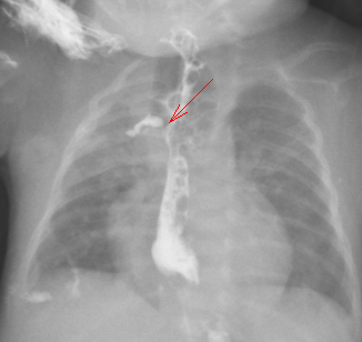
10-19 造影检查: 上消化道造影 (数字化摄影):食道闭锁术后改变,吻合口狭窄。食管裂孔疝;肺炎;近日患儿出现口水增多,考虑和食管狭窄有关,向家长告知病情,建议食管扩张,家长同意,故 2021.10.22 日在全麻下行经口球囊食管扩张术
2021-10-09 19:37 血常规 C 反应蛋白正常。血气分析:pH 7.36、pCO2 37.70 mmHg、pO2 109 mmHg、ctCO2(B) 19.80 mmol/L、AG(K+) 20.40mmol/L、sO2 98.10%,通气氧合正常。粪便常规、粪便隐血试验阴性。胸腹部正位片:食道闭锁术后,肺炎(双侧)较前稍吸收;先天性心脏病。腹部肠管充气较多。部分重要检验结果如下:





























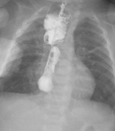
图 1:术前造影片

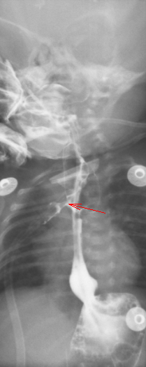
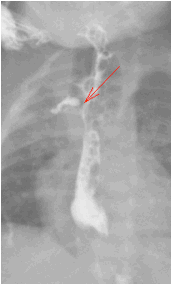
图 2 术后造影提示吻合口漏



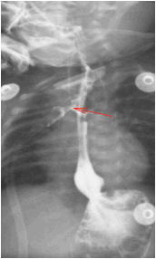
图 3 造影提示吻合口漏持续存在

图 4 吻合口漏消失,出现吻合口狭窄
第三部分:mNGS 检验





痰病原高通量结果:粘质沙雷氏菌(序列数 12931),大肠埃希菌(序列数 2653),缓症链球菌(序列数 1736),产气克雷伯氏菌(序列数 53),人疱疹病毒 5 型(CMV)(序列数 256)。



血病原高通量结果:人疱疹病毒 5 型(CMV)(序列数 2)。
第四部分:鉴别诊断:
该患儿术后出现吻合口漏,为食管闭锁术后常见并发症之一,术后造影即可明确诊断,鉴别不难。需要鉴别感染为多重感染还是耐药大肠埃希菌感染或是其他病原菌感染。
第五部分:治疗经过及预后
入院诊断:入院后完善术前检查,给予箱内吸氧(3L/min),头孢他啶抗感染,维生素 K1 预防维生素 K 缺乏性出血,禁饮食、胃肠减压、补液等对症支持治疗。监测血压、血糖、心电、血氧。确诊食管闭锁。于 2021 年 8 月 19 日行经胸膜外食管吻合术,术后出现吻合口漏,感染指标上升。2021.09.05 根据引流液培养缓症链球菌,药敏结果选用头孢哌酮舒巴坦及万福霉素抗感染治疗,感染指标有所下降,但一直未正常,反复出现喂养不耐受,贫血等症状。先后多次因贫血输红悬液治疗。09.14 停用万古霉素抗感染。2021.09.24,取痰培养,2021.09.25 经验升级抗菌素为美罗培南抗感染。09.26 日行 mNGS 检测。09.27mNGS 结果回报提示为粘质沙雷氏菌,大肠埃希菌,缓症链球菌,产气克雷伯氏菌。同时痰培养结果回报。痰培养结果提示未大肠埃希菌但是几乎全部耐药,仅替加环素敏感。同时提示还有 CMV 感染。考虑多重感染可能性大,继续应用对粘质沙雷氏菌,大肠埃希菌,缓症链球菌,产气克雷伯氏菌等病原均有作用的美罗培南抗感染,同时停用对耳肾毒性较大的万古霉素抗感染。患儿精神状况好转,感染指标逐渐下降至正常,喂养耐受,肠内营养增加,贫血改善。2021.10.09 血常规及 c 反应蛋白正常,感染控制。2021.10.19 复查造影提示吻合口漏愈合(图 4)。10 月 22 日因食管狭窄再次行食管狭窄扩张治疗,术后恢复顺利,10.28 达到临床治愈出院。
案例回顾及总结
1. 该患儿术后出现吻合口漏,为食管闭锁术后常见并发症之一,术后造影即可明确诊断。感染容易造成胸腔内脓胸,液气胸,严重可危及生命。虽然该类患儿明确诊断不难,但是明确感染病原较难。该患儿感染控制欠佳,一直不能达到足够肠内营养,虽然根据引流物药敏检查提示为缓症链球菌,根据药敏结果选用万古霉素抗感染治疗,但感染控制效果欠佳,感染指标如 C 反应蛋白一直无法降至正常,反复出现贫血喂养不耐受情况,提示感染并未完全控制。
2. 该患儿的另一个病原菌的鉴别为抗菌药物的选择:虽然该患儿第二次痰培养培养处大肠埃希菌,但该患儿药敏提示敏感抗菌素仅为替加环素。替加环素因副作用较大,价格高,早产儿应用受到限制。到底是选择药敏的替加环素还是选择 mNGS 提示的多种细菌混合感染?临床治疗证明选用对粘质沙雷氏菌,大肠埃希菌,缓症链球菌,产气克雷伯氏菌等病原均有作用的美罗培南抗感染,与临床符合,安全有效。
3. mNGS 的检测速度快,检测种类多,与一般细菌培养相比较速度快,检测出病原多特别适用于复杂的感染病原学检测。
4. mNGS 检测同时检出 CMV 感染,通过后续的宫内感染的检查明确诊断,虽然该患儿本次感染并不是 CMV 感染直接参与,但是 CMV 宫内感染可能是导致该患儿早产及先天性畸形的原因,有助于对该类疾病疾病发生学做出一些提示,助于优生优育的开展及进一步的病因学研究。
总结:mNGS 有助于发现食管闭锁术后吻合口漏等疾病导致的复杂外科感染的病原检测,敏感性高,可以一次快速检测出多种病原菌,可以指导临床获得最佳抗菌药物的选择,同时可能对某些先天性畸形的病因起到一定的提示所用。