手术缝合线是什么材料手术缝合

新闻资讯2026-04-24 03:15:48

手术缝合线是什么材料手术缝合_https://www.jmylbn.com_新闻资讯_第1张
针座上的手术缝合。 包装如上图所示。

手术缝合线是一种用于在受伤或手术后将身体组织保持在一起的医疗装置。 应用通常涉及使用具有附接长度的线的针。 在其数千年的历史中,已经开发出许多不同的形状,尺寸和螺纹材料。 外科医生,医生,牙医,足病医生,眼科医生,注册护士和其他训练有素的护理人员,医务人员和临床药剂师通常都会进行缝合。 手术结用于固定缝合线。


视频1: ↓ 常见的缝合技术皮肤闭合



目录:
1 针
2 线
2.1 材料
2.2 可吸收性
2.3 尺寸
3 技术
3.1 安置
3.2 间隔和间距
3.3 层
3.4 去除
3.5 扩展
4 组织粘合剂
5 历史
6 另见
7 参考文献


有眼的或可重复使用的针头是带孔的针头,称为有眼的,与其缝合线分开供应。缝合线必须在现场穿线,就像在家缝制时一样。这样做的好处是任何螺纹和针头组合都可以适应手头的工作。具有缝合线的铆接或无创伤针包括附接到特定长度的缝合线的预先包装的无眼针。缝合线制造商将缝合线拧到工厂的无眼无创伤针上。这样做的主要优点是医生或护士不必花费时间将缝线穿在针上,这对于非常细的针和缝合线来说可能是困难的。而且,型锻针的缝合线端部比针体窄,从而消除了从线附接部位的阻力。在有眼的针中,线从两侧的针体突出,并且最多导致阻力。当穿过易碎组织时,眼针和缝合线组合因此可以比组织针更多地使组织受到创伤,因此将后者指定为“无创伤”。

有几种形状的手术针。这些包括:
直行
1/4圈
3/8圈
1/2圈。这种针形的亚型包括从较大到较小的CT,CT-1,CT-2和CT-3 [1]。
5/8圈

复合曲线
半弯(也称为如滑雪)
在直段(也称为独木舟)的两端弯曲一半
滑雪和独木舟针设计允许弯曲的针足够直,以用于腹腔镜手术,其中器械通过狭窄的插管插入腹腔。

针也可以通过它们的点几何来分类;例子包括:

锥形(针体呈圆形,平滑逐渐变细)
切割(针体为三角形,内侧曲线上有锋利的切削刃)
反向切割(外侧切削刃)
套管针或锥形(针体呈圆形和锥形,但以小三角形切割点结束)
用于缝制易碎组织的钝点
用于眼科手术的侧切或刮刀点(顶部和底部平坦,沿前部至一侧具有切割边缘)
最后,无创伤针可以永久地锻造到缝合线上,或者可以设计成用尖锐的直拖轮从缝合线上脱落。这些“弹出”通常用于间断缝合,其中每根缝合线仅通过一次然后系紧。


视频2: ↓ 表皮下缝合模拟演示



手术缝合线是什么材料手术缝合_https://www.jmylbn.com_新闻资讯_第2张
有眼的外科手术针,形成不同大小的3/8圈。

手术缝合线是什么材料手术缝合_https://www.jmylbn.com_新闻资讯_第3张
有眼的外科手术针,呈半圆形,大小不一。

缝合线可根据其尺寸承受不同的力量; 这是由U.S.P.量化的。 针拉规格。

线
材料

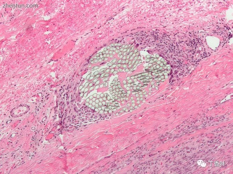
手术缝合线是什么材料手术缝合_https://www.jmylbn.com_新闻资讯_第4张
H&E染色组织切片的显微照片显示不可吸收的复丝手术缝合线与周围的异物巨细胞反应

缝合线由多种材料制成。原始缝线由生物材料制成,如肠线缝合线和丝线。大多数现代缝合线是合成的,包括可吸收的聚乙醇酸,聚乳酸,Monocryl和聚二恶烷酮以及不可吸收的尼龙,聚酯,PVDF和聚丙烯。[2]
FDA于2002年首次批准了三氯生涂层缝合线; [3]它们已被证明可以减少伤口感染的机会。[4]缝合线具有非常特定的尺寸,可以是可吸收的(在体内可自然生物降解)或不可吸收的。缝合线必须足够坚固以牢固地固定组织,但足够柔韧以便打结。它们必须是低过敏性的并且避免“芯吸效应”,这将允许流体并因此感染沿着缝合线穿透身体。

吸收性
根据身体是否会自然降解并随时间吸收缝合材料,所有缝合线被分类为可吸收或不可吸收的。可吸收缝合材料包括原始肠线以及较新的合成物聚乙醇酸,聚乳酸,聚二恶烷酮和己内酯。可吸收(或可再吸收)的医疗器械如缝合线由聚合物制成。聚合物材料基于五种环状单体中的一种或多种:乙交酯,1-丙交酯,对二恶烷酮,三亚甲基碳酸酯和ε-己内酯。[5]

它们通过各种方法分解,包括水解(聚乙醇酸)和蛋白水解酶降解。根据材料,该过程可以是十天到八周。它们用于无法返回缝合线的患者或体内组织。[6]在这两种情况下,它们都会将身体组织保持在一起足够长的时间以便愈合,但会崩解,因此它们不会留下异物或需要进一步的手术。最初,对材料存在异物反应,这是短暂的。完全再吸收后,只剩下结缔组织。[7]
[8] [9] [10]偶尔,可吸收的缝合线会引起炎症并被身体排斥而不是被吸收。

手术缝合线是什么材料手术缝合_https://www.jmylbn.com_新闻资讯_第5张
一个人的下背部有十二根不可吸收的缝线。

不可吸收的缝合线由特殊的丝绸或合成纤维聚丙烯,聚酯或尼龙制成。不锈钢丝通常用于整形外科手术和心脏手术中的胸骨闭合。这些可能或可能不具有涂层以增强其性能特征。不可吸收的缝合线用于皮肤伤口闭合,几周后可以去除缝线,或者在可吸收缝线不足的紧张内部环境中。例子包括心脏(具有恒定的压力和运动)或膀胱(具有不利的化学条件)。不可吸收的缝合线通常会导致较少的疤痕,因为它们会引起较少的免疫反应,因此可用于美容效果很重要的地方。它们可能会在一段时间后被移除,或永久保留。


视频3: ↓ 基本缝合技术训练



尺寸

本文中的示例和观点主要涉及美国,并不代表全球对该主题的看法。您可以根据需要改进本文,在谈话页面上讨论问题或创建新文章。 (2010年12月)
缝合线尺寸由美国药典(U.S.P.)定义。缝合线最初制造的尺寸从#1到#6不等,#1是最小的。
#4缝合线大致是网球拍线的直径。从音乐弦乐的制作开始衍生的制造技术不允许更薄的直径。随着程序的改进,#0被添加到缝合线直径中,之后,制造出更薄更细的线,其被标识为#00(#2-0或#2/0)至#000000(#6-0或#6/0)。

现代缝合线从#5(用于整形外科的重编织缝合线)到#11-0(用于眼科的精细单丝缝合)。 无创针用于大多数尺寸的各种形状。 给定U.S.P的实际螺纹直径。 尺寸根据缝合材料类别而有所不同。

技术
另见:外科结

手术缝合线是什么材料手术缝合_https://www.jmylbn.com_新闻资讯_第6张
缝线闭合前后的伤口。 封闭物包括五个简单的间断缝合线和一个垂直床垫缝合线(中心)在伤口的顶点。

手术缝合线是什么材料手术缝合_https://www.jmylbn.com_新闻资讯_第7张
古巴医生用十一个简单的缝线缝合两个手术伤口。萨拉,几内亚比绍,1974年。

存在许多不同的技术。最常见的是简单的间断针迹;
[11]它确实是最简单的,并且被称为“间断”,因为缝合线在每个单独的针脚之间被切割。垂直和水平床垫针脚也被打断,但更复杂,专门用于外翻皮肤和分配张力。运行或连续缝合更快,但如果缝合线仅在一个地方切割,则存在失败的风险;连续锁定针迹在某些方面是更安全的版本。胸部排水针和角针是水平褥式的变化。

其他缝线或缝合技术包括:

荷包缝合线,一种连续的圆形翻转缝合线,用于固定手术或创伤性伤口的边缘。[12] [13]
图8针[14]
皮下缝合。


放置
通过将带有附接缝线的针头安装到针座中来放置缝合线。针尖被压入肉体,沿着针的曲线前进,直到它出现并被拉过。然后将拖尾线系成结,通常是方结或外科结。理想情况下,缝线将伤口边缘聚集在一起,而不会导致皮肤凹陷或变白[15],因为血液供应可能受阻,从而增加感染和疤痕。[16] [17]理想情况下,缝合的皮肤从伤口略微向外滚动(外翻),缝合的肉的深度和宽度大致相等。[16]展示位置因地点而异,

间隔和间距
皮肤和其他软组织在应变下可以显著延长。为了适应这种延长,连续缝线必须具有足够的松弛度。
Jenkin的规则是该领域的第一个研究结果,表明当时典型使用缝合线长度与伤口长度比为2:1会增加爆裂伤口的风险,并表明SL:WL比率为4:腹部伤口有1个或多个。[17]
[18]后来的一项研究表明6:1是腹部闭合的最佳比例。[19]


与单层缝合相反,两层缝合通常涉及在更深层的组织缝合,然后在更浅表的水平缝合另一层。例如,剖宫产可以通过单层或双层缝合子宫切口进行。[20]

拆除
虽然一些缝合线旨在是永久性的,并且在特殊情况下的其他缝合线可以长时间保持数周,因为通常缝合线是一种短期装置,以允许创伤或伤口的愈合。

身体的不同部位以不同的速度愈合。拆除针迹的常见时间会有所不同:面部伤口3-5天;头皮伤口7-10天;四肢10-14天;关节14天;身体的躯干7-10天。[21]

传统上,通过使用镊子来保持缝合线的稳定和尖锐的手术刀刀片或剪刀来切割缝线。出于实际原因,两种器械(镊子和剪刀)可在无菌套件中使用。在某些国家(例如美国),由于清洁和再灭菌的高成本,这些试剂盒可用于无菌一次性托盘。

展开
一种贴合缝合线是一种由拭子支撑的缝合线,即一种通常由聚四氟乙烯组成的小型扁平非吸收垫,当缝合线可能撕裂组织时,用作缝合线下的支撑物。[22]

组织粘合剂
局部氰基丙烯酸酯粘合剂,例如超级胶,已经与伤口闭合中的缝合线组合使用或作为其替代。粘合剂保持液态直至暴露于水或含水物质/组织,之后它固化(聚合)并与下面的表面形成粘合。只要粘合剂膜保持完整,组织粘合剂已被证明可作为微生物渗透的屏障。组织粘合剂的局限性包括在眼睛附近使用的禁忌症和正确使用的温和学习曲线。它们也不适合渗出或可能受到污染的伤口。

在手术切口中,由于伤口经常断裂,因此缝合效果不如缝线。[23]

氰基丙烯酸酯是基于氰基丙烯酸酯的速效胶水的通用名称,例如2-氰基丙烯酸甲酯,2-氰基丙烯酸乙酯(通常以商品名如Superglue和Krazy
Glue出售)和正丁基氰基丙烯酸酯。像Indermil和Histoacryl这样的皮肤胶是第一种使用的医用级组织粘合剂,它们由氰基丙烯酸正丁酯组成。这些方法运作良好,但缺点是必须存放在冰箱中,放热使它们刺痛患者,并且粘合剂很脆弱。如今,较长链聚合物2-辛基氰基丙烯酸酯是优选的医用级胶。它有各种商品名,如LiquiBand,SurgiSeal,FloraSeal和Dermabond。它们具有更灵活,更牢固的粘合和更易于使用的优点。较长的侧链类型,例如辛基和丁基形式,也减少组织反应。

历史

手术缝合线是什么材料手术缝合_https://www.jmylbn.com_新闻资讯_第8张
1559年疝气切开术后缝合伤口

手术缝合线是什么材料手术缝合_https://www.jmylbn.com_新闻资讯_第9张
旧的可再填充外科螺纹供应商(20世纪中叶)

几千年来,各种缝合材料被使用,辩论,并保持基本不变。针由骨或金属制成,例如银,铜和铝青铜线。缝合线由植物材料(亚麻,大麻和棉花)或动物材料(头发,肌腱,动脉,肌肉条和神经,丝绸和肠线)制成。

最早的手术缝合报告可以追溯到公元前3000年在古埃及,最古老的缝合线是公元前1100年的木乃伊。伤口缝合线及其中使用的缝合材料的详细描述是由印度圣人和医生Sushruta写成的,写于公元前500年。[24]希腊医学之父希波克拉底描述了缝合技术,后来的罗马Aulus
Cornelius Celsus也是如此。 2世纪的罗马医生盖伦描述了肠道缝线。[25]在10世纪,Abulcasis [26]
[27]开发了穴位缝合线和手术针。肠线缝合与小提琴,吉他和网球拍的弦相似,涉及收获绵羊肠。

Joseph Lister支持所有缝合线的常规消毒。他首先尝试使用19世纪60年代的“碳质肠线”进行绝育,并在20年后使用了铬肠。最终在1906年通过碘处理实现了无菌肠线。

下一次伟大的飞跃发生在二十世纪。
20世纪30年代早期,化学工业推动了第一条合成纤维的生产,这种合成纤维在许多可吸收和不可吸收的合成纤维的生产中爆发。
第一种合成吸收剂是在1931年基于聚乙烯醇。聚酯是在20世纪50年代开发的,后来针对肠线和聚酯建立了辐射灭菌过程。
聚乙醇酸是在20世纪60年代发现的,并于20世纪70年代实施。 如今,大多数缝合线都是由合成聚合物纤维制成。
丝绸和很少的肠道缝合是古代唯一仍在使用的材料。 事实上,由于对牛海绵状脑病的担忧,欧洲和日本已禁止肠线缝合。
仍然使用丝线缝合,主要用于固定手术引流管。


参考:(请点击“阅读原文”查看)

上期:肺炎

手术缝合线是什么材料手术缝合_https://www.jmylbn.com_新闻资讯_第10张