为什么要用到微导管张鑫教授:“球囊锚定微导管辅助到位”技术在Pipeline Flex治疗复杂动脉瘤手术中的应用

新闻资讯2026-04-17 14:11:40

国家卫健委脑卒中防治工程委员会官方学术公众号

导读


近年来,Pipeline Flex血流导向装置已成为颈内动脉大或巨大型动脉瘤的首选治疗方案。


在Pipeline Flex开始释放前,Marksman支架导管往往需要超选至M2甚至更远的血管中,从而为支架通过迂曲路径到达动脉瘤远端释放点提供充分的支撑力。


在部分路径迂曲、生长方向位于大弯侧的大型宽颈动脉瘤病例中,支架导管的到位和支架的输送往往会遇到挑战,因此需要术者充分重视并做好充足的操作预案。


本期,东部战区总医院张鑫教授为我们带来一例使用球囊锚定Marksman导管技术辅助Pipeline Flex输送到位,治疗左侧颈内动脉海绵窦段巨大动脉瘤的病例。


1

基本情况

患者女,2月余前出现无明显诱因头痛,为间歇性钝痛,位于左眶内,无视物不清,无恶心呕吐,未予重视。2018年11月9日头痛加重,左侧顶枕部及左侧面部疼痛,呈持续性钝痛,伴恶心呕吐。当地医院就诊,初步考虑“动脉瘤伴血栓形成”。为进一步治疗前往东部战区总医院神经外科,11月15日进行脑血管造影术。


2

诊断:

左侧颈内动脉海绵窦段巨大动脉瘤,余颅内血管未见明显异常。

为什么要用到微导管张鑫教授:“球囊锚定微导管辅助到位”技术在Pipeline Flex治疗复杂动脉瘤手术中的应用_https://www.jmylbn.com_新闻资讯_第1张
为什么要用到微导管张鑫教授:“球囊锚定微导管辅助到位”技术在Pipeline Flex治疗复杂动脉瘤手术中的应用_https://www.jmylbn.com_新闻资讯_第2张
为什么要用到微导管张鑫教授:“球囊锚定微导管辅助到位”技术在Pipeline Flex治疗复杂动脉瘤手术中的应用_https://www.jmylbn.com_新闻资讯_第3张


治疗策略:

Pipeline Flex血流导向装置植入术


3

手术过程:

01

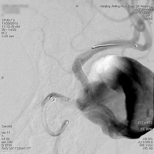
患者取平卧位,气管插管全麻,右侧股动脉穿刺,置入6F 70cm长鞘至左侧颈总动脉,5F Navien中间导管在Marksman引导下超选至动脉瘤近端,行3D旋转造影显示:左侧颈内动脉海绵窦段大型血栓性动脉瘤。

为什么要用到微导管张鑫教授:“球囊锚定微导管辅助到位”技术在Pipeline Flex治疗复杂动脉瘤手术中的应用_https://www.jmylbn.com_新闻资讯_第4张

3D旋转造影

显影部分动脉瘤大小约31.6*23.1mm,瘤颈宽6.4mm,载瘤动脉远端直径约为2.93mm,近端约为2.89mm。根据造影情况决定行血流导向装置置入术,选择Pipeline Flex 3.0mm*35mm。


02

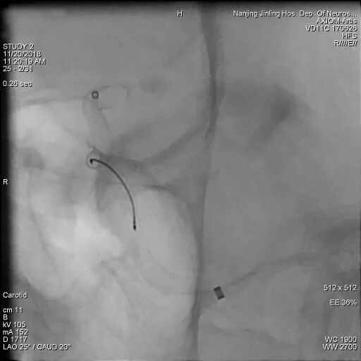
选取合适工作角度后,Marksman在Synchro 14微导丝引导下通过瘤内成袢技术超选至左侧大脑中动脉M2段,由于Synchro微导丝支撑力不够,无法将Marksman输送更远,则更换为PT导丝,将Marksman超选至左侧大脑中动脉M3段。

Marksman超选至左侧大脑中动脉M3段


03

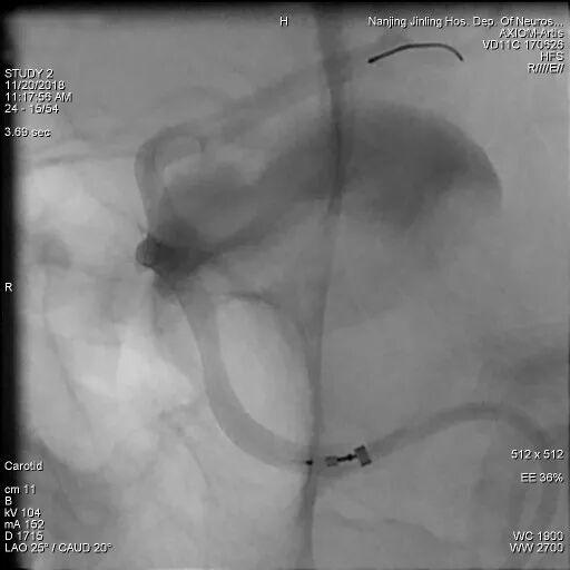
Pipeline Flex在送至瘤颈口处时,因瘤腔巨大,支撑力不足,微导管多次疝入瘤腔内,术者随即尝试将Navien上高通过瘤颈,但多次尝试后因远端血管扭曲而失败。


04

随后术者决定使用球囊锚定微导管技术,从左侧股动脉穿刺置管上球囊,经右侧颈内动脉A1段,通过前交通动脉到达左侧大脑中动脉M1段,同时新的Marksman也超选到左侧大脑中动脉M2段。

为什么要用到微导管张鑫教授:“球囊锚定微导管辅助到位”技术在Pipeline Flex治疗复杂动脉瘤手术中的应用_https://www.jmylbn.com_新闻资讯_第5张

球囊经对侧A1和前交通,置于M1


05

充盈球囊后锚定Marksman微导管,顺利将Pipeline Flex输送通过瘤颈至左侧大脑中动脉M1段。

为什么要用到微导管张鑫教授:“球囊锚定微导管辅助到位”技术在Pipeline Flex治疗复杂动脉瘤手术中的应用_https://www.jmylbn.com_新闻资讯_第6张

充盈球囊


06

等到微导管位置稳定后,泄球囊,开始释放Pipeline Flex。

为什么要用到微导管张鑫教授:“球囊锚定微导管辅助到位”技术在Pipeline Flex治疗复杂动脉瘤手术中的应用_https://www.jmylbn.com_新闻资讯_第7张

支架远端打开


07

调整支架导管使得Pipeline Flex完全贴壁,直至完全释放支架。

为什么要用到微导管张鑫教授:“球囊锚定微导管辅助到位”技术在Pipeline Flex治疗复杂动脉瘤手术中的应用_https://www.jmylbn.com_新闻资讯_第8张

锚定远端后,控制张力使支架贴壁

为什么要用到微导管张鑫教授:“球囊锚定微导管辅助到位”技术在Pipeline Flex治疗复杂动脉瘤手术中的应用_https://www.jmylbn.com_新闻资讯_第9张

继续释放支架

为什么要用到微导管张鑫教授:“球囊锚定微导管辅助到位”技术在Pipeline Flex治疗复杂动脉瘤手术中的应用_https://www.jmylbn.com_新闻资讯_第10张

释放支架近端


08

微导管再次通过Pipeline Flex按摩使得其充分打开贴壁。

为什么要用到微导管张鑫教授:“球囊锚定微导管辅助到位”技术在Pipeline Flex治疗复杂动脉瘤手术中的应用_https://www.jmylbn.com_新闻资讯_第11张

微导管通过Pipeline Flex并按摩后,回收输送系统


09

最后造影显示载瘤动脉通畅,瘤内血流有滞留。3D重建示支架贴壁良好。

为什么要用到微导管张鑫教授:“球囊锚定微导管辅助到位”技术在Pipeline Flex治疗复杂动脉瘤手术中的应用_https://www.jmylbn.com_新闻资讯_第12张

支架释放后造影,瘤内血流明显减缓,造影剂滞留

为什么要用到微导管张鑫教授:“球囊锚定微导管辅助到位”技术在Pipeline Flex治疗复杂动脉瘤手术中的应用_https://www.jmylbn.com_新闻资讯_第13张
为什么要用到微导管张鑫教授:“球囊锚定微导管辅助到位”技术在Pipeline Flex治疗复杂动脉瘤手术中的应用_https://www.jmylbn.com_新闻资讯_第14张

3D重建示支架全程贴壁良好


4

术者心得:

  1. 从文献报道和临床经验来看,Pipeline血流导向装置是治疗颈内动脉大型或巨大型动脉瘤的有效手段。


  2. 对于Pipeline Flex的释放,Marksman需要更远输送(至M2或更远),从而为支架通过弯曲部位提供充分的支撑力,为手术提供更多的操作空间。


  3. 在本病例术前评估时,我认为动脉瘤瘤腔巨大,且动脉瘤位于急转弯血管段的外弯侧,Pipeline Flex通过瘤颈口可能会很困难,因此预判需要把Marksman输送至大脑中动脉更远端。


    术中,先用Synchro 14导丝把Marksman运用瘤内成袢技术超选至大脑中动脉M2段,然后更换了PT导丝,将Marksman送至了大脑中动脉M3段。但是,因为瘤腔巨大导致缺乏足够强的支撑力,Pipeline Flex第一次输送时通过瘤颈口时将Markman顶入瘤内,无法到达动脉瘤远端,多次尝试无果后随即更换方法。


    为了让Marksman有足够强的支撑力,对侧穿刺后从前交通输送球囊至大脑中动脉M1段,锚定Marksman,进而成功输送Pipeline至动脉瘤远端,进行释放。


    在部分路径迂曲,生长方向位于大弯侧的大型宽颈动脉瘤病例中,支架导管的到位和支架的输送可能会遇到的挑战需要引起足够重视,并充分计划好操作预案。使用支撑力更好的导丝或使用双微导丝(010+014)支撑Marksman,尝试将5F Navien通过瘤颈,球囊辅助锚定是几种可选预案。


  4. 对于PT导丝的使用,需注意其硬度较普通导丝高,操作时可能导致血管更多移位,需小心操作以减少移位幅度,同时避免导丝头端进入小穿支中。


5

手术材料:

向上滑动阅览

Cook 6F 70cm

TERUMO 6F 45cm

Navien 5F 115cm

Marksman 150cm

Synchro-14 0.014’ 200cm

PT 0.014’ 185cm

Transend 0.014’ 300cm

Gateway 2.5mm*9mm

Pipeline Flex 3.0mm 35mm

为什么要用到微导管张鑫教授:“球囊锚定微导管辅助到位”技术在Pipeline Flex治疗复杂动脉瘤手术中的应用_https://www.jmylbn.com_新闻资讯_第15张

张鑫

东部战区总医院神经外科副主任

神经介入中心主任

主任医师,教授,博士生导师,博士后导师,现任中国医师协会神经介入专业委员会委员,中国医师协会神经外科医师分会神经介入专业委员会委员,江苏省医学会神经外科分会委员,江苏省医学会介入分会委员兼神经介入组组长等。


往期回顾:

杨东虹教授:完全治愈!Pipeline Flex治疗ICA大型动脉瘤4个月随访结果

王云彦教授:山东大学齐鲁医院使用Pipeline治疗颅内复杂动脉瘤的经验

眼见为实:3D融合在Pipeline贴壁评估中的应用

【病例分享】3个月随访,串联动脉瘤消失了!Pipeline Flex立大功

【病例分享】Pipeline远端锚定并瘤囊内成袢解袢技术治疗颅内大动脉瘤

「超级访谈」土耳其Isil Saatci教授谈Pipeline血流导向装置的应用范围

「超级访谈」土耳其Isil Saatci教授谈Pipeline治疗中的弹簧圈使用

【病例分享】双支架辅助栓塞后复发的椎动脉夹层怎么办?Pipeline补救性治疗经验分享

「超级访谈」台湾黄浩辉教授谈Pipeline入路建立:因势利导,有的放矢

「超级访谈」台湾黄浩辉教授谈Pipeline远端操作:知其然,知其所以然

「超级访谈」台湾黄浩辉教授谈Pipeline术前规划:磨刀不误砍柴工

「超级访谈」台湾黄浩辉教授谈Pipeline使用经验(一):从相识到相知

盖延廷教授:提高Pipeline贴壁性技术要点分享

多中心研究:Pipeline围手术期氯吡格雷该怎么用?

贴壁释放有多重要!FD动物实验告诉你(二)

河南省人民医院:Pipeline血流导向装置治疗颅内动脉瘤的2年结果

Pipeline血流导向装置基石性研究之ASPIRe研究

Pipeline治疗加不加圈?懂行的人这么说!(下)

Pipeline治疗加不加圈?懂行的人这么说!(上)

贴壁释放有多重要!FD动物实验告诉你

汪阳教授:血流导向装置的尺寸选择

血流导向装置术者说:南昌大学附属第二医院毛国华教授

王云彦教授:1371例Pipeline血流导向装置治疗颅内动脉瘤的荟萃分析

纸上得来终觉浅,绝知此事要躬行 | 一位青年医师使用Pipeline的心路历程

张鹏教授:Pipeline Flex释放分步详解和要点(附完整释放视频)

买买提力教授:新疆医大一附院Pipeline 一年随访结果和使用体会

冯文峰教授:南方医院Pipeline中期结果及病例分享

【独家精译】Pipeline血流导向装置基石性研究之IntrePED



病例分享,参与栏目、审稿投稿,

商务合作等事宜,

请发送邮件至:
strokesj@163.com

为什么要用到微导管张鑫教授:“球囊锚定微导管辅助到位”技术在Pipeline Flex治疗复杂动脉瘤手术中的应用_https://www.jmylbn.com_新闻资讯_第16张