彩超伪像是什么读懂“B超”——无创影像之超声检查

新闻资讯2026-04-24 02:35:07




彩超伪像是什么读懂“B超”——无创影像之超声检查_https://www.jmylbn.com_新闻资讯_第1张
彩超伪像是什么读懂“B超”——无创影像之超声检查_https://www.jmylbn.com_新闻资讯_第2张

无创影响之超声检查

丹凤县中医医院



在医院的各类检查项目中,“B超”是临床应用最广泛、人们最熟悉的无创影像学检查手段,小到体检筛查,大到疾病诊断、孕期监测,都离不开它。但很多人对“B超”检查心存疑虑,担心辐射危害、不明白检查前准备等等,今天我就带大家全面解锁B超检查的那些事。

一、“B超”是什么?

人们常把彩超称作“B超”,这是因为彩超本质上就是“带彩色血流的B超”。 

 B超:全称B型超声(Brightness-mode),是黑白二维灰阶图像,只看器官结构。是利用高频超声波(频率超过20000赫兹,超出人耳听觉范围)穿透人体组织,通过声波反射、散射形成二维图像的检查方式。

彩超:全称彩色多普勒超声,以B超为基础,在黑白图像上叠加彩色血流信号(红/蓝表示血流方向)。 

简单说:彩超 = B超 + 血流彩色显示。习惯叫法:把“超声”统称为“B超”,在日常口语里,大家习惯把所有超声检查都叫 B超——就像把所有纸巾叫“卫生纸”一样。

彩超伪像是什么读懂“B超”——无创影像之超声检查_https://www.jmylbn.com_新闻资讯_第3张

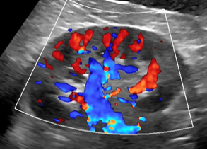
二、彩超屏幕上为什么不是彩色的?

彩超屏幕上怎么没有彩色图像?彩超中“彩色”两字的含义通俗地说其实是为了提示血管的血流方向,一般有红色和蓝色两种。医生通过血流方向判断检查中的脏器是否有血供以及血流方向以协助诊断疾病。所以说,彩超是彩色的,但是不等同于您家里的彩色电视机。

彩超伪像是什么读懂“B超”——无创影像之超声检查_https://www.jmylbn.com_新闻资讯_第4张

三、B超检查涂在皮肤上黏黏的是什么

做B超时涂的黏糊糊液体是什么?这个“黏糊糊”叫做医用超声耦合剂,是一种水溶性的高分子凝胶。对人体无毒害,检查后擦净或用温水清洗即可。涂耦合剂的目的是使探头与皮肤之间良好接触,有利于超声波的传导,提高成像质量,使图像更加清晰。

四、为什么B超检查测量的结果“忽大忽小”

这种情况多数是因为测量误差导致的,测量的切面及角度不同,即使是同一台机器同一个彩超医生测量的数值也可能不完全一样,就相当于一个鸡蛋的长径,鸡蛋是椭圆形的,测量时角度稍有不同,结果就会不一样。如果短期内数值明显增大,需要向临床医生进一步问诊咨询。

五、B超的安全和实用性

相比CT、X线等影像检查,B超的优势十分突出,也是它被广泛应用的关键在于:

1. 无辐射、零损伤:超声波属于机械波,并非电离辐射,对人体细胞、组织无伤害,孕妇、儿童、老人等特殊人群均可放心检查,可多次重复进行。

2. 无创无痛:检查过程无需穿刺、开刀,仅通过探头接触皮肤即可完成,全程无疼痛感,舒适度极高。

3. 实时动态成像:能实时观察器官运动、血流变化,比如心脏跳动、胎儿活动,方便医生动态判断病情。

4. 便捷经济:检查操作简单,耗时短,价格低,且多数纳入医保报销,是体检和疾病初筛的首选。

彩超伪像是什么读懂“B超”——无创影像之超声检查_https://www.jmylbn.com_新闻资讯_第5张

六、B超能做哪些人体部位检查

B超应用范围极广,几乎涵盖人体大部分脏器,常见检查场景如下:

1. 腹部检查:肝、胆、胰、脾、肾,排查结石、囊肿、炎症、肿瘤、腹水等问题。

2. 妇科&产科:妇科可检查子宫、卵巢,诊断子宫肌瘤、卵巢囊肿、盆腔炎;产科全程监测胎儿发育,确认孕周、胎位、胎盘、羊水情况,排查胎儿畸形。

3. 小器官检查:甲状腺、乳腺、眼部等浅表器官及体表软组织,可及时发现结节、增生、肿瘤、炎症等病变。

4. 心血管检查:心脏彩超判断心脏结构、心功能、瓣膜病变等;血管彩超排查动静脉血栓、动脉硬化、闭塞及评估狭窄程度、血流量等。

5. 其他方面如胸腔、腹腔积液定位及穿刺抽液,实质脏器及肿瘤的穿刺活检,肌肉关节韧带损伤检查与治疗等。

七、B超检查前必知:

不同部位检查前准备不一样

B超检查要衣着宽松、上下分体、易穿脱的衣物;避免连衣裙、连体衣袜,颈部相关超声检查不穿高领衣衫,尽量不佩戴首饰。

1. 腹部B超(肝、胆、胰、脾):必须空腹8-12小时,检查前一天避免吃产气、油腻食物,减少胃肠道气体干扰,保证胆囊充盈,成像更清晰。

2. 妇科、泌尿系、早孕B超:需要憋尿,检查前1小时喝500-800ml水,让膀胱充盈,可清晰显示子宫、卵巢、前列腺等脏器。

3. 经阴道妇科B超:无需憋尿,反而要排空膀胱,避开月经期,检查更精准。

4. 甲状腺、乳腺、心脏B超:无需特殊准备,穿着宽松易穿脱衣物即可。

关于“B超”的超声检查知识您理解了吧,在超声检查前请做好准备工作,让“超人们”为您提供更准确更客观的超声检查意见和建议。



END


彩超伪像是什么读懂“B超”——无创影像之超声检查_https://www.jmylbn.com_新闻资讯_第6张


监制 张  野

供稿 李瑞霞

审核 杨  涛

编辑 陈晨曦

彩超伪像是什么读懂“B超”——无创影像之超声检查_https://www.jmylbn.com_新闻资讯_第7张

丹凤县中医医院