彩超伪像是什么声速失真伪像

新闻资讯2026-04-24 02:34:55
彩超伪像是什么声速失真伪像_https://www.jmylbn.com_新闻资讯_第1张
点击上方蓝字
给个关注吧~
作者:杨丹

超声图像伪影定义:

彩超伪像是什么声速失真伪像_https://www.jmylbn.com_新闻资讯_第2张

伪影是指任一回波信号被超声诊断设备显示的位置与被检体内回波界面的实际位置不符,或被显示的信号振幅、灰度变化不与被显示的回波界面特性变化相关。


什么是声速失真伪像?

彩超伪像是什么声速失真伪像_https://www.jmylbn.com_新闻资讯_第2张

声束通过声速不等层次时,产生折射,声束的途径由直线变为折线,造成图像的扭曲失真。


声速失真伪像是如何产生的?

彩超伪像是什么声速失真伪像_https://www.jmylbn.com_新闻资讯_第2张

声速失真伪像是由于实际声速差别过大引起,超声表现为图像失真,测量误差。在人体中,声波在不同组织中传播速度差异较大。在超声诊断中,肺及胃肠道气体中的平均声速约为350m/s,骨骼中的平均声速约为3850m/s,而超声仪将声速设定为1540m/s ,并在此基础上计算反射界面的距离。

彩超伪像是什么声速失真伪像_https://www.jmylbn.com_新闻资讯_第5张


检查中声速失真伪像常见的情况:

彩超伪像是什么声速失真伪像_https://www.jmylbn.com_新闻资讯_第2张

超声波实际传播过程中的速度会高于或低于1540m/s,当经过的组织超声波传播速度高于1540m/s,所需时间缩短,最后结果是,仪器判断的位置会比实际位置更靠近探头;反之,当经过的组织超声波传播速度低于1540m/s,仪器判断的位置会比实际位置远一些。 

相对来讲,人体内的脂肪组织和软骨组织的超声波传播速度与其他软组织的差别较大,因此经过脂肪和软骨的声像图就会出现比较明显的扭曲和变形。


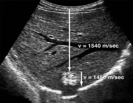
肝右后叶一个富含脂肪成分的高回声结节,可见该结节远方的横膈线样强回声连续性“中断”。

彩超伪像是什么声速失真伪像_https://www.jmylbn.com_新闻资讯_第7张

声波在穿越该富含脂肪的结节时声速实际只有1450 m/s,慢于其在软组织中传播速度的平均值1540m/s,也就是说声波在穿越该结节时所花费的时间更长,致使其后方横膈的回波时间也延长了。导致声像图表现横膈连续性“中断”。


胸部肋软骨导致深方的胸膜线向前隆起(箭头):

彩超伪像是什么声速失真伪像_https://www.jmylbn.com_新闻资讯_第8张


由于脾脏实质与肾脏周围脂肪囊的声速差别,导致肾脏的上半部向前、下半部分向后移位,使肾脏呈现为台阶状扭曲。

彩超伪像是什么声速失真伪像_https://www.jmylbn.com_新闻资讯_第9张

由上述声像图得知:脂肪内声速低于1540m/s,声像图上其后方的组织会向深方移位,软骨内声速远高于1540m/s,声像图上其后方的组织会向前方移位。


声速失真伪像的临床意义:

彩超伪像是什么声速失真伪像_https://www.jmylbn.com_新闻资讯_第2张

① 对于肝内或腹膜后少见的巨大脂肪瘤,可导致测值过大,或者产生肿瘤边界超过横膈的假象; 

② 大量腹水时,肝脏体积变小,此时应该注意区分是肝脏自身病变引起的肝脏实质缩小,还是由于声速伪差引起肝脏“缩小”; 

③ 胎儿长骨测量时,声束应与长骨尽可能垂直,避免测值过短误差; 

④ 肝脏表面突起要注意肝前面是否为软骨,如有应改变方向扫查,以区别软骨造成的声速伪像与真正的肝表面结节。


如何避免声速失真伪像?

彩超伪像是什么声速失真伪像_https://www.jmylbn.com_新闻资讯_第2张

①变换探头部位及声束方向(显示原失落区)。

②声束与被测物间垂直或尽量减少θ角。

③变动探头在体表部位,或旋转探头90°;或加压后观察。

④变动探头在体表部位(可对原声影区显示)。


来源:公众号康达超声  转载经授权


彩超伪像是什么声速失真伪像_https://www.jmylbn.com_新闻资讯_第12张

往期阅读
黄体、黄体囊肿及其他
出血性黄体囊肿 超声诊断小技巧
多囊卵巢综合征
输卵管癌
双泡征”与先天性十二指肠梗阻
易学超声▪目录(二)


彩超伪像是什么声速失真伪像_https://www.jmylbn.com_新闻资讯_第13张
扫码立刻关注

事务联系 请加微信

微信号:

SonographerYi-CR