导什么针什么作用【以案说医】庄礼兴:从合谷、三阴交论导气同精针法促排宫内残留案

新闻资讯2026-04-24 02:09:30

导什么针什么作用【以案说医】庄礼兴:从合谷、三阴交论导气同精针法促排宫内残留案_https://www.jmylbn.com_新闻资讯_第1张


导什么针什么作用【以案说医】庄礼兴:从合谷、三阴交论导气同精针法促排宫内残留案_https://www.jmylbn.com_新闻资讯_第2张

▲庄礼兴 广东省名中医,教授,主任医师,博士生导师,香港中文大学客座教授,第七批全国老中医药专家学术经验继承工作指导老师。现任广州中医药大学第一附属医院岭南针灸康复研究所所长,国家中医药管理局重点专科带头人,全国中医学术流派靳三针疗法传承工作室负责人,中国针灸学会学术流派研究与传承专业委员会常委。



医案是中医临床实践的记录,体现了诊疗过程中理、法、方、药的具体运用,是医家诊治疾病思维过程的表现。历代名家医案是中医药宝库中的瑰宝。我们推出【以案说医】栏目,以期传承精华,启迪我辈,共同进步。

某患者,女,时年26岁,初诊:2021年1月22日

2020年10月15日,患者月经未按期而至,尿人绒毛膜促性腺激素(HCG)阳性,确诊为妊娠。孕12周后发现胎心停跳,诊断为胎儿停止发育,于2021年1月4日行药物流产,1月7日排胎,排出完整胎盘胎膜。但阴道持续出血不止伴有血块排出,医嘱如阴道持续出血不止,考虑行清宫手术治疗。患者因担心清宫手 术的并发症,故寻求针灸治疗。
【首诊证候】

症见:阴道已连续出血18天,淋漓不断,疲乏、腰酸、精神较差,舌质淡暗,脉弦细。
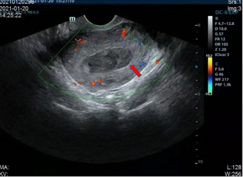
辅助检查:2021年1月20日尿HCG阴性,阴道B超检查显示(见图1a):子宫大小正常,宫腔内出现异常回声,组织物残留伴积血。
导什么针什么作用【以案说医】庄礼兴:从合谷、三阴交论导气同精针法促排宫内残留案_https://www.jmylbn.com_新闻资讯_第3张
图1a 治疗前(注:箭头示宫腔内组织物残留伴积血)

【辨证论治】


诊断:恶露不尽。
辨证:冲任失调,气虚血瘀。
治疗:调理冲任,补虚祛瘀。
针灸处方:
1、留针:合谷、三阴交、中极、气海、关元。
手法操作:导气同精手法
以上诸穴行导气同精针法,均匀进退运针,每次每穴运针2min,每隔15min行针法1次,留针30min。针刺合谷时,患者感觉酸胀感沿手阳明大肠经向上臂传导;针三阴交时,酸胀感向大腿方向传导;针气海、关元、中极时,酸胀感向小腹、阴部传导,患者自觉医生行手法时,下腹内有阵发性的收缩感。


【随诊过程】


二诊:2021年1月26日
诉针刺后次日阴道出血开始减少,就诊时,阴道出血完全消失,阴道B超检查(见图1b)示:宫腔内未见明显光团,未见异常血流信号。继续相同针刺治疗1次,以巩固疗效。治疗2次后,阴道出血停止,患者精神状态良好,疲乏、腰酸等症状减轻,B超显示宫内无组织残留。治疗后1个月随访,月经正常,无其他不适感。
导什么针什么作用【以案说医】庄礼兴:从合谷、三阴交论导气同精针法促排宫内残留案_https://www.jmylbn.com_新闻资讯_第4张
图1b 治疗后


按语:

追溯古籍——补合谷、泻三阴交,从防堕胎到促排宫内残留


补合谷、泻三阴交的记载,源于《南史》卷32,书中首次记载关于“泻三阴交、补合谷”堕胎的医案,明代杨继洲《针灸大成》对补合谷、泻三阴交引起堕胎有更加明确的论述,如《针灸大成·手阳明经穴主治考正穴法》云:“合谷,妇人妊娠可泻不可补,补即堕胎”,《针灸大成·通玄指要赋》记载:“泻足三阴交,补手阳明合谷,其胎应针而落”,告诫误补合谷、泻三阴交容易引起堕胎。


古法今思——合谷、三阴交结合任脉经穴可助行气


在取穴方面,基于“补气泻血、调畅冲任”可以下胎的认识,庄教授在取合谷、三阴交的同时,还会取气海、关元、中极等任脉穴位以调畅冲任,加强补气行气作用。


古为今用——导气同精针法促排宫内残留作用


针对补合谷、泻三阴交的“补”与“泻”,《针灸大成》等古籍的记载并没有明确指出是何种补泻方法。基于对宫内残留与“任脉经气不畅,浊气不下”有关的认识,庄教授采用《灵枢·五乱》中的导气同精手法代替补合谷、泻三阴交手法,注重得气,使“气至病所”。


临床上药物流产后,阴道出血如超过10天,多由于宫内蜕膜残留,影响子宫收缩造成,中医称为“胎衣不下”或“恶露不尽”。病机为冲任失调,气虚血瘀,气虚无以推动胞宫收缩促血下行。根据《针灸大成》补合谷、泻三阴交堕胎的方法,选取合谷、三阴交两穴以补阳明之气,泻三阴经之血,使气旺血衰;又取任脉的关元、气海以补元气,与手阳明经原穴合谷,共同起到补气活血、促使宫内残留物排出的作用。故针刺2次后,此案患者阴道出血停止,B超也显示宫内无组织残留。


通过查阅并参考《针灸大成》对补合谷、泻三阴交可使“气旺血衰,胞胎自下”易致堕胎的文献记载,在治疗药物流产后宫内残留组织时,谨守“冲任失调,气虚血瘀,宫内浊气不下”的病机,以调理冲任、补虚祛瘀、促排宫内浊气为治则。取合谷、三阴交两穴的同时,加用气海、关元、中极等任脉穴位,以调理冲任,大补元气,加强补气下瘀的作用,促排宫内残留组织的排出;配合《灵枢·五乱》“徐入徐出”“补泻无形”的导气同精针法,使清浊之气各归其位,气机通畅,胞宫“浊气”下行,加强子宫收缩,故使瘀血去,宫内组织残留得以排出。此法在参考古籍记载基础上,结合现代医学的研究,在取穴和手法上学古而不囿于古,从理、法、方、穴、术的角度进行了尝试和探讨,为针灸协助药物在终止妊娠中的应用提供了思路和方法。

(本案编写:范靖琪)


郑重申明:

由于每个人的体质和病情不同,本案中的方药和剂量仅适用于本案病人当时的病情。未经中医辨证诊治,不得照搬使用本案中的处方和剂量。广大读者如有需要,应前往正规医院诊治,以免贻误病情。


【来源:庄礼兴广东省名中医工作室,指导专家:庄礼兴 主任医师】

推荐阅读

导什么针什么作用【以案说医】庄礼兴:从合谷、三阴交论导气同精针法促排宫内残留案_https://www.jmylbn.com_新闻资讯_第5张


导什么针什么作用【以案说医】庄礼兴:从合谷、三阴交论导气同精针法促排宫内残留案_https://www.jmylbn.com_新闻资讯_第6张


导什么针什么作用【以案说医】庄礼兴:从合谷、三阴交论导气同精针法促排宫内残留案_https://www.jmylbn.com_新闻资讯_第7张


导什么针什么作用【以案说医】庄礼兴:从合谷、三阴交论导气同精针法促排宫内残留案_https://www.jmylbn.com_新闻资讯_第8张