口腔设备有什么一文读懂 | 口腔影像设备大科普,哪种才是最适合你的选择?

新闻资讯2026-04-24 00:47:40

口腔设备有什么一文读懂 | 口腔影像设备大科普,哪种才是最适合你的选择?_https://www.jmylbn.com_新闻资讯_第1张

近年来,中国口腔行业发展迅速,短短数年间,市场规模提升近一倍。随着中国口腔行业市场逐渐丰富健全,口腔机构之前的竞争也逐渐激烈起来。从统计数据来看,正畸服务种植服务在我国口腔服务业占据了70%以上的市场。

口腔设备有什么一文读懂 | 口腔影像设备大科普,哪种才是最适合你的选择?_https://www.jmylbn.com_新闻资讯_第2张

不管是公立医院还是民营诊所,种植和正畸业务都能带来巨大的客流量。针对这些热门口腔领域,配备先进的口腔医疗影像设备和数字化解决方案,无疑能大大提升口腔机构的市场竞争力。

上期文章中,我们通过医疗影像设备的百年变迁史,着重讲解了医疗影像设备中螺旋CT和CBCT两个重要的分支在各自领域中的应用(点此查看详情)。本期,我们将简单介绍口腔影像学并全面科普如今常用的口腔医学影像设备,帮助各类口腔机构挑选不同诊疗服务下最合适的影像设备!


口腔影像学

口腔影像学全称为“口腔颌面医学影像学”由最初的“单纯牙科放射学”逐渐演变而来。1895年X射线被发现后,很快就被运用于牙科X线片。现代口腔医学影像设备通常是指由X射线发生装置组成的、需要通过X射线生成图像的影像设备,主要包括三类:口腔体腔X射线机(牙片机)、曲面体层X线机(全景机)以及口腔专用CT(CBCT)

此外,还有一种可以生成影像的设备,我们称之为“口扫”。它主要用于牙齿矫正,对口腔内部进行3D扫描,生成准确的牙齿3D模型,帮助制定牙齿矫正方案。

口腔设备有什么一文读懂 | 口腔影像设备大科普,哪种才是最适合你的选择?_https://www.jmylbn.com_新闻资讯_第3张
▲口扫

不过,口扫并不包含X射线发生装置,只能生成牙齿外部的图像,无法穿透牙齿生成牙齿及口腔内部的影像,因此口腔医学影像设备通常不包括口扫。下面,我们带大家详细了解牙片机、全景机和CBCT的工作原理及临床应用。

牙片机

口腔设备有什么一文读懂 | 口腔影像设备大科普,哪种才是最适合你的选择?_https://www.jmylbn.com_新闻资讯_第4张

▲医生正在使用牙片机拍摄

牙片机是由X射线发生装置及其支撑部件组成的,原理简单,体积较小。拍摄时需要胶片或探测器固定到口腔内侧牙齿后,用机器对其进行拍摄,一般可以同时拍摄1-4颗牙齿,获得牙齿内部的二维影像

口腔设备有什么一文读懂 | 口腔影像设备大科普,哪种才是最适合你的选择?_https://www.jmylbn.com_新闻资讯_第5张

▲牙片图像

牙片机使用方便快捷,能较为清楚地显示牙冠牙根,经常用于简单的牙齿检查如龋齿、牙根断裂、牙根囊肿以及检查补牙、根管治疗的效果等。

口腔设备有什么一文读懂 | 口腔影像设备大科普,哪种才是最适合你的选择?_https://www.jmylbn.com_新闻资讯_第6张

▲小牙片胶片

作为许多口腔机构都会配备的成本低廉的基础口腔影像设备,牙片机也有其美中不足的地方。受限于过小的成像视野,牙片机几乎无法获得牙齿外部的影像,所以牙片机一般不会被用于正畸或种植相关的诊疗


全景机

全景机即“曲面体层X线机”,利用曲面体层摄影技术通过一次曝光对全口牙齿、牙周组织及相邻解剖结构进行全面二维成像,显示范围包含整个口腔,就像是一张“牙齿大合照”。

口腔设备有什么一文读懂 | 口腔影像设备大科普,哪种才是最适合你的选择?_https://www.jmylbn.com_新闻资讯_第7张

▲全景机成像范围

全景片常用于口腔疾病的大范围筛查,例如全口牙齿缺失筛查、颌骨多发病变、颌骨外伤、颌骨发育畸形及牙齿、牙周疾患的诊断。得益于其广泛的成像视野,全景机在正畸领域也能起到数据辅助的作用。

口腔设备有什么一文读懂 | 口腔影像设备大科普,哪种才是最适合你的选择?_https://www.jmylbn.com_新闻资讯_第8张

▲全景片

相较小牙片,全景机成像中牙齿内部的清晰度和细节要略逊一筹,而且由于是曲线体层成像,最终的影像会有较为严重的畸变失真现象,还容易产生重叠的虚影因此,在牙齿种植等对牙齿结构成像清晰度要求非常高的口腔服务领域,很难仅靠全景机制定准确的诊疗方案。


口腔CBCT

口腔设备有什么一文读懂 | 口腔影像设备大科普,哪种才是最适合你的选择?_https://www.jmylbn.com_新闻资讯_第9张

▲CBCT成像原理

在本系列的上一期文章中,我们介绍了CBCT的成像原理(点此查看详情)。简单来说,口腔CBCT采用大面积平板探测器,接收X光射源发射的锥形X射线束,从而生成准确清晰的三维口腔颌面影像

口腔设备有什么一文读懂 | 口腔影像设备大科普,哪种才是最适合你的选择?_https://www.jmylbn.com_新闻资讯_第10张

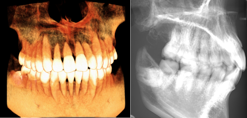
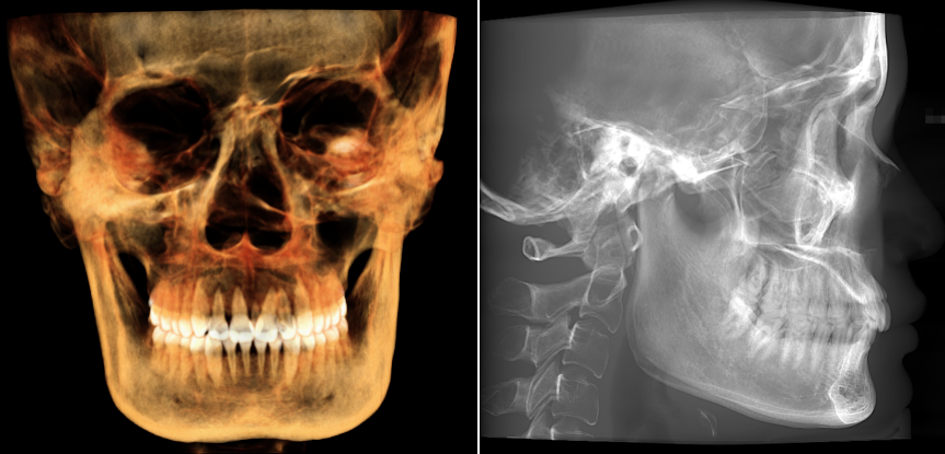
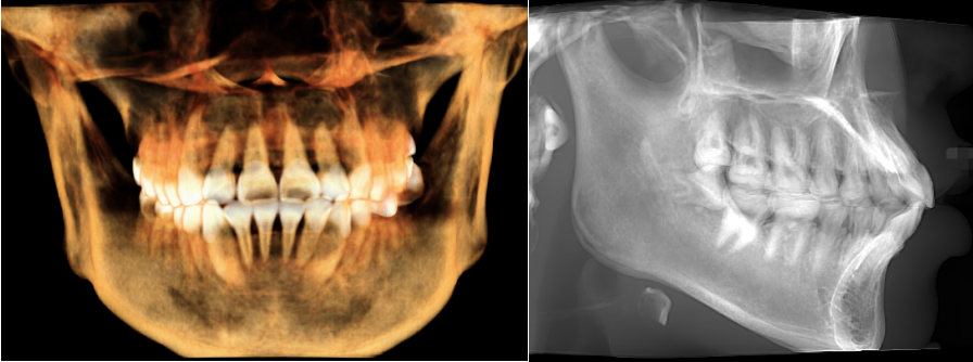
如今的CBCT技术,可以拍摄小视野、中视野、大视野三种成像。

口腔设备有什么一文读懂 | 口腔影像设备大科普,哪种才是最适合你的选择?_https://www.jmylbn.com_新闻资讯_第11张

▲小视野图像

小视野可以呈现上下颌部分牙齿及牙列,但无法在一张影像中同时显示双侧颞颌关节和两侧的第三磨牙,常用于根管、根折、牙隐裂等细节诊断;

口腔设备有什么一文读懂 | 口腔影像设备大科普,哪种才是最适合你的选择?_https://www.jmylbn.com_新闻资讯_第12张

▲中视野图像

中视野可完整显示全口牙列情况,但无法覆盖双侧颞颌关节和上颌窦全阔的影像,更适用于单颗及多颗牙种植的临床应用,以及上颌窦底、双侧颞颌关节及部分上颌窦轮廓等的观察与诊疗;

口腔设备有什么一文读懂 | 口腔影像设备大科普,哪种才是最适合你的选择?_https://www.jmylbn.com_新闻资讯_第13张

▲大视野图像

大视野可覆盖大部分头颅颌面,显示从上颌到下颌及双侧颞颌关节的完整形态适用于上下颌全牙列、颌面外科、全口种植以及正畸正颌等领域的临床应用。

口腔设备有什么一文读懂 | 口腔影像设备大科普,哪种才是最适合你的选择?_https://www.jmylbn.com_新闻资讯_第14张

▲CBCT阅片软件

CBCT还有一大优势,就是通常会跟随设备一起推出配套的专业牙齿阅片软件。通过软件内置功能,可以自动生成没有重叠虚影的全景片,还可以通过图像分割获得单颗或多颗牙齿的“小牙片”。处理后的图像会自动修复畸变失真,图像更清晰、细节更完善,还能在三维平面内旋转观察,可以作为牙片机和全景机的优秀替代方案。

口腔设备有什么一文读懂 | 口腔影像设备大科普,哪种才是最适合你的选择?_https://www.jmylbn.com_新闻资讯_第15张

▲口腔影像设备优劣势对比

表格中可以看到,CBCT在图像质量、操作模式、患者体验和临床应上都有非常大的优势,而在人们较为关心的辐射剂量问题上,CBCT的辐射剂量值也处于绝对安全的范围,具体信息可以阅读我们之前的文章“辐射剂量一看就懂”(点此查看详情)。

看完以上内容,你是不是已经知道该如何选择专业的口腔医学影像设备了呢?


关于有方医疗
图像质量是制约CBCT技术临床应用的最大瓶颈。有方医疗在专科CT领域有深厚的科研积累,致力于推出新一代CBCT技术,力争让用户在享有“小影像”设备便捷实惠的同时,获得可与“大影像”媲美的CT图像质量。以最近推出的双源大视野口腔CBCT——派CT为例,我们集成了多项原创技术以提升CBCT图像质量到国际一流水平。
口腔设备有什么一文读懂 | 口腔影像设备大科普,哪种才是最适合你的选择?_https://www.jmylbn.com_新闻资讯_第16张▲有方派CT

派CT集30余项专利为一身(点此查看详情),更有多项全球和业内首创技术加持——全球首台搭载双射源的大视野CBCT(点此查看详情),全球首台运用滑环技术的CBCT(点此查看详情),业内首台顶部开放的坐式CBCT;此外,派CT还搭载了业内顶尖的伪影校正算法(点此查看详情);有方自主研发的高清低冗重建技术能在保证图像高分辨率的同时极大减少重建时间(点此查看详情),辐射剂量降低75%(点此查看详情)。

可以说,派CT真正意义做到了“快扫描,高精度,大视野,低辐射”,实现了口腔CBCT的跨代革新!

看完了这篇文章,相信你已经对各类口腔影像设备有了非常全面的了解。在当下中国口腔服务行业,种植和正畸两大领域需求量颇高的情况下,疾病诊疗覆盖面更广、图像质量更高、视野更大、操作更简便的口腔CBCT显示是大多数口腔诊所的不二选择。当然,牙片机和全景机也可以作为辅助拍片设备,对一些基础口腔疾病诊疗提供帮助。
本系列文章意在带大家了解口腔影像设备从诞生到普及的历程,希望所有口腔从业者可以从我们的文章中得到启发,与有方医疗一起推动中国口腔医学影像的科技进步,为中国口腔服务行业的蓬勃发展添砖加瓦!



口腔设备有什么一文读懂 | 口腔影像设备大科普,哪种才是最适合你的选择?_https://www.jmylbn.com_新闻资讯_第17张

口腔设备有什么一文读懂 | 口腔影像设备大科普,哪种才是最适合你的选择?_https://www.jmylbn.com_新闻资讯_第18张