口腔ct什么牌子好黑科技口腔CT助力医院跑好2023年开局“第一棒”

新闻资讯2026-04-24 00:45:41

       口腔疾病是人类最常见的疾病,口腔健康在一定程度上代表了一个国家的文明程度,随着人民生活水平的提高,口腔健康越来越受到政府和全社会的重视。现代医疗设备的发展日新月异,口腔设备的发展更是如此,CBCT(以下简称口腔CT)是当今口腔头颅影响设备中最有前途和实用性的设备,CBCT的应用给口腔及头颅部临床领域中的诊断和治疗带来了革命性的变化。

   广西科技大学第二附属医院口腔科引进的朗视Smart3D-X四合一智能口腔CBCT,经过紧锣密鼓的安装调试将投入使用。这一设备的引用,将为市民朋友带来不一样的体验。

       众所周知,口腔手术是十分精细的手术,口腔CT是目前对于牙齿解剖结构描述更为清楚准确的影像学诊断方法,其分辨率高、定位准确、图像清晰、避免重叠的特点,为口腔疾病的诊疗提供了重要帮助,是口腔疾病患者的福音。


       朗视Smart3D-X四合一智能口腔CBCT,创新地整合了CT、全景、头颅和口内摄影(牙片)四种影像的拍摄功能,配套软件同时支持四种影像的查看和处理。

口腔ct什么牌子好黑科技口腔CT助力医院跑好2023年开局“第一棒”_https://www.jmylbn.com_新闻资讯_第1张

口腔ct什么牌子好黑科技口腔CT助力医院跑好2023年开局“第一棒”_https://www.jmylbn.com_新闻资讯_第2张

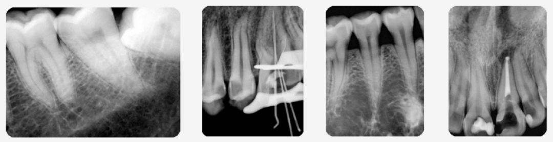
 CT摄影





360°完整扫描,800帧超清影像,配合高性能CT算法,呈现细腻影像



C型臂可实现对患者头颅360°的完整扫描,最小体素尺寸0.05mm,分辨率可达2.2lp/mm,800帧超清拍摄,<60s重建时间,配合高性能算法精细重建,更适合牙体牙髓疾病的诊断。

口腔ct什么牌子好黑科技口腔CT助力医院跑好2023年开局“第一棒”_https://www.jmylbn.com_新闻资讯_第3张
口腔ct什么牌子好黑科技口腔CT助力医院跑好2023年开局“第一棒”_https://www.jmylbn.com_新闻资讯_第4张

朗视配套SmartV软件还可将采集到的数据进行多平面组合重建,不但可以同时观察到轴向面、冠状面和矢状面图像,而且可以在任意位置进行断层切面,同时获得颊舌向切片和远近中切片,方便医生诊疗。

口腔ct什么牌子好黑科技口腔CT助力医院跑好2023年开局“第一棒”_https://www.jmylbn.com_新闻资讯_第5张


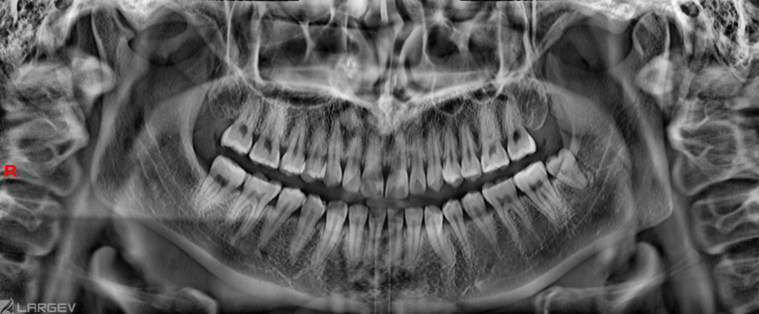
​ 全景摄影




内置多种曲面断层轨迹,贴合患者牙弓形态



软件内置多种曲面断层轨迹,可根据不同的患者牙弓形态进行切换。

全景智能自动聚焦技术,通过获取多张全景图像,并自动识别每张图像中最清晰的部位,拟合出与患者牙列最匹配的牙弓线形态,重建出的全景图像完美聚焦于每一颗牙齿,可以有效解决因摆位不准确导致的图像模糊问题,极大降低摆位难度,轻松获得优秀图像质量。

口腔ct什么牌子好黑科技口腔CT助力医院跑好2023年开局“第一棒”_https://www.jmylbn.com_新闻资讯_第6张

头颅摄影



全/半幅侧位、正位和掌骨拍摄模式可选



设备配备了高分辨率探测器,可根据医生需求拍摄正位、侧位片。为更好的优化辐射剂量,侧位片还可以选择全幅和半幅拍摄尺寸,为正畸提供精准清晰的数据影像。

该设备还具有掌骨摄影模式。医生可根据手掌指骨、腕骨及挠尺骨下端骨变化中心的发育程度确定骨龄。

口腔ct什么牌子好黑科技口腔CT助力医院跑好2023年开局“第一棒”_https://www.jmylbn.com_新闻资讯_第7张

口内摄影(牙片)



高频直流高压发射器,机头内采用0.4进口小焦点球管,曝光稳定、成像清晰



口内摄影(牙片)部分采用5mA固定管电流配合高频直流发生器为设备提供稳定精准的影像。0.4进口小焦点球管,可确保清晰成像。首创分体式口内摄影(牙片)设备,可灵活选择设备安装方向,控制面板也可根据需求安装于屏蔽间的不同位置。

口腔ct什么牌子好黑科技口腔CT助力医院跑好2023年开局“第一棒”_https://www.jmylbn.com_新闻资讯_第8张
口腔ct什么牌子好黑科技口腔CT助力医院跑好2023年开局“第一棒”_https://www.jmylbn.com_新闻资讯_第9张


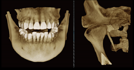
口腔CT特点​


       口腔CT(缩写为CBCT),是三维成像,其三维重组效果能对骨组织情况、下颌关节情况进行准确评价,协助医生进行手术前方案设计以及术后科学评价。


       CT检查是更为清晰、准确的检查手段,它通过对人体进行切片式扫描来观察身体里组织、病变。口腔CT秉承了全身CT更清晰更准确的优点,可以精确、立体地提供口腔数据,为医生提供可靠参考数据。口腔CT由于投照范围小,人体接触放射线也比全身CT明显减少。

      口腔CT可通过三维角度来描述牙齿和周围牙槽骨、牙龈以及牙髓的关系,提供更准确、清晰的图像数据,发现平片所发现不了的微细结构,对于诊断牙隐裂以及对于牙齿疾病的诊断和处理都具有重要的意义。

     以满足人民群众健康需求为出发点和立足点, 是广西科大二附院一贯坚持的原则。在医院新的党政班子的重视和支持下,口腔科引进了这一新设备。口腔CT的引进,进一步提高了科室的诊疗水平,扩展了业务范围。口腔CT影像室设在门诊三楼口腔科,能够更高效,更便捷地为患者及时拍片诊疗,更大程度地满足全市人民群众的看牙需求。

口腔ct什么牌子好黑科技口腔CT助力医院跑好2023年开局“第一棒”_https://www.jmylbn.com_新闻资讯_第10张

​口腔科简介


广西科技大学第二附属医院

(柳州肿瘤医院)

口腔ct什么牌子好黑科技口腔CT助力医院跑好2023年开局“第一棒”_https://www.jmylbn.com_新闻资讯_第11张

广西科技大学第二附属医院(柳州肿瘤医院)口腔科成立于1971年,依托于广西科技大学高校平台的全面优势以及医院党委战略发展方针,同时结合本专业特点,发展为集医疗、教学、科研、预防、保健为一体的,设备齐全、技术先进、管理规范的专业科室。


口腔ct什么牌子好黑科技口腔CT助力医院跑好2023年开局“第一棒”_https://www.jmylbn.com_新闻资讯_第12张



口腔ct什么牌子好黑科技口腔CT助力医院跑好2023年开局“第一棒”_https://www.jmylbn.com_新闻资讯_第13张
口腔ct什么牌子好黑科技口腔CT助力医院跑好2023年开局“第一棒”_https://www.jmylbn.com_新闻资讯_第14张
口腔ct什么牌子好黑科技口腔CT助力医院跑好2023年开局“第一棒”_https://www.jmylbn.com_新闻资讯_第15张

●医院网址:http://www.gxkdefy.com

导诊咨询:0772-3198003(服务台)3197486(急诊科)

●公交车指南:乘快9区间、快9号线、6、36、42、48、62、70公交车到科大二附院(箭盘山公园)站




编辑:口腔科宣传组

审核:黄汉生 毛海明 陈小燕