医疗康复包括什么骨质疏松性骨折:诊断、治疗和康复一文整理!

新闻资讯2026-04-23 23:46:41
医疗康复包括什么骨质疏松性骨折:诊断、治疗和康复一文整理!_https://www.jmylbn.com_新闻资讯_第1张


内容较多,干货满满!!





医疗康复包括什么骨质疏松性骨折:诊断、治疗和康复一文整理!_https://www.jmylbn.com_新闻资讯_第2张

骨质疏松性骨折愈合缓慢、再发骨折的风险增加、已成为临床骨科医生必须面对的重要难题,本文整理了相关检查、诊断与治疗注意事项,并分别讲述了各种常见脆性骨折的诊治。


不说废话,先上图!!


医疗康复包括什么骨质疏松性骨折:诊断、治疗和康复一文整理!_https://www.jmylbn.com_新闻资讯_第3张
(点击图片查看大图)




概述




骨质疏松性骨折 (或称脆性骨折) 指受到轻微创伤或日常活动中即发生的骨折,骨质疏松性骨折是中老年最常见的骨骼疾病,也是骨质疏松症的最严重后果。


骨质疏松性骨折的常见部位是椎体、髋部、桡骨远端、肱骨近端和骨盆等,其中最常见的是椎体骨折


医疗康复包括什么骨质疏松性骨折:诊断、治疗和康复一文整理!_https://www.jmylbn.com_新闻资讯_第4张
椎体压缩骨折,图源:站酷海洛


有研究表示 50 岁以上女性椎体骨折患病率约为 15%,50 岁以后椎体骨折的患病率随增龄而渐增,80 岁以上女性椎体骨折患病率可高达 36.6%。髋部骨折是最严重的骨质疏松性骨折





骨质疏松性骨折的特点





①骨折患者卧床制动后,将发生快速骨丢失,会加重骨质疏松症。

②骨重建异常、骨折愈合过程缓慢,恢复时间长,易发生骨折延迟愈合甚至不愈合。

③再骨折发生的风险高。


④骨折部位骨量低,骨质量差,且多为粉碎性骨折,复位困难,不易达到满意效果。


⑤内固定治疗稳定性差,内固定物易松动、脱出,植骨易被吸收。


⑥多见于老年人群,常有合并症,全身状况差,并发症多,治疗复杂。






临床表现




1、骨折


骨折是骨质疏松症最严重的后果,常是部分骨质疏松患者的首发症状和就诊原因。骨折后骨折部位出现疼痛、畸形、功能障碍等骨折特有的表现。


2、身高变矮、驼背


医疗康复包括什么骨质疏松性骨折:诊断、治疗和康复一文整理!_https://www.jmylbn.com_新闻资讯_第5张
骨质疏松的老人,图源:视觉中国


椎体主要由松质骨组成,较早出现骨量减少,发生压缩性骨折,致身高变矮或驼背畸形。


3、疼痛


骨质疏松性骨折常导致疼痛或疼痛加重。





影像学检查




影像学检查是诊断骨折不可缺少的重要手段,可确定骨折的部位、类型、移位方向和程度,对骨折的诊断和治疗有重要价值。


1、X 线:


可确定骨折的部位、类型、移位方向和程度,对骨折诊断和治疗具有重要价值。X 线片除具有骨折的表现外,还有骨质疏松的表现。


2、CT 平扫 + 三维:


常用于判断骨折的程度和粉碎情况,椎体压缩程度、椎体周壁是否完整、椎管内的压迫情况,还能清晰显示关节内或关节周围骨折。


3、MRI:


医疗康复包括什么骨质疏松性骨折:诊断、治疗和康复一文整理!_https://www.jmylbn.com_新闻资讯_第6张
椎体压缩骨折,图源:站酷海洛


常用于判断椎体压缩骨折是否愈合、疼痛责任椎及发现隐匿性骨折,并对鉴别新鲜和陈旧性骨质疏松性椎体骨折具有较大意义。


4、全身骨扫描(ECT):


适用于无法行 MR 检查或排除肿瘤骨转移等。





骨密度检查




医疗康复包括什么骨质疏松性骨折:诊断、治疗和康复一文整理!_https://www.jmylbn.com_新闻资讯_第7张
骨密度检查,图源:站酷海洛

凡是拟诊骨质疏松性骨折的患者可以进行骨密度检查(DXA)。





骨折治疗




复位、固定、功能锻炼和抗骨质疏松治疗是治疗骨质疏松性骨折的基本原则


理想的骨折治疗是将四者有机地结合起来,不加重局部损伤而将骨折整复,骨折固定应尽可能不妨碍肢体活动。


早期功能锻炼以及配合用药,使骨折愈合和功能恢复达到比较理想的结果。





骨质疏松基础治疗




1、调整生活方式


①科学膳食:


保证每日膳食丰富、营养均衡是防治骨质疏松症的基础生活方式。注意戒烟、限酒,避免过量饮用咖啡和碳酸饮料。


医疗康复包括什么骨质疏松性骨折:诊断、治疗和康复一文整理!_https://www.jmylbn.com_新闻资讯_第8张
合理膳食,图源:站酷海洛

②充足日照:


一般将面部及双臂皮肤暴露照射 15~30 min 即能满足合成的需要,避免强烈阳光照射,以防灼伤皮肤。


③合理运动:


长期坚持有规律地负重行走或跑步、爬楼梯,可以增加椎体的骨密度。因此,无论男女老少,只要长期坚持体育锻炼及体力劳动,均可减少由于增龄而导致骨量丢失。


若卧床 1 周椎骨矿含量降低 0.9%,当骨矿物质含量减少 30% 时极易发生骨折。因此,老年人手术后或严重疾病如心肌梗死、脑卒中等,尤其要避免长期绝对卧床,提倡早日下床活动


医疗康复包括什么骨质疏松性骨折:诊断、治疗和康复一文整理!_https://www.jmylbn.com_新闻资讯_第9张
合理运动,图源:视觉中国


老年人行动不便,户外运动及日照减少,使维生素 D 合成降低,60 岁以上老年人血中 1,25(OH)D 的含量比 20 岁青年人下降 30%,维生素 D 合成降低可使肠道钙磷的吸收下降,使骨形成及骨矿化降低。


④预防跌倒:


由于跌倒往往是造成骨折的最常见危险因素,所以中老年高危人群和家属应提高防护意识,避免走楼梯,家庭走道保持通畅,卫生间安装夜灯、安全扶手、铺防滑垫;必要时使用拐杖或助行器。


⑤积极治疗原发病:


伴有影响骨代谢的内科疾病(如甲状腺功能亢进、糖尿病、肾功能不全等),或服用影响骨代谢的药物(如地塞米松、甲强龙等)的患者,需督促其定期至医院检测骨密度,必要时进行规范抗骨质疏松治疗。


⑥心理健康评估治疗:


骨质疏松症对患者心理状态的影响常被忽略,主要包括睡眠障碍、焦虑、抑郁、恐惧、自信心丧失等心理异常。


老年患者自主生活能力下降,以及骨折后缺乏与外界的交流,也会造成社交障碍等心理负担。


医疗康复包括什么骨质疏松性骨折:诊断、治疗和康复一文整理!_https://www.jmylbn.com_新闻资讯_第10张
关注老年人心理健康,图源:站酷海洛


应重视和关注骨质疏松症及其骨折患者的心理健康评估,并视情况干预,使患者正确认识骨质疏松症,帮助其消除心理负担


2、基本骨营养补充剂


①钙剂:


推荐每日钙推荐摄入量为 1000~1200 mg,营养调查显示我国居民每日膳食约摄入元素钙 400 mg,因此平均每日钙剂的元素钙补充量为 600~800 mg。


②维生素 D:


推荐剂量为 800~1000IU(20~25μg)/d。





骨质疏松药物治疗




1、抑制骨吸收药物



①双膦酸盐类(阿仑膦酸钠、唑来膦酸等)。

②降钙素类(鲑鱼降钙素、鳗鱼降钙素)。

③选择性雌激素受体调节剂 (SERMs)(雷洛昔芬)。


④绝经激素治疗(雌激素补充或雌、孕激素补充疗法)。



2、促进骨形成药物(特立帕肽等)。


3、其他药物:


活性维生素 D 及其类似物(骨化三醇、阿法骨化醇)、四烯甲萘醌、雷奈酸锶等。


4、中药:


骨碎补总黄酮、淫羊藿苷和人工虎骨粉。





脊椎压缩性骨折




一般发生在 45 岁以后,以绝经后妇女最多见,60~70 岁发病率最高,此后发病率并不随年龄的增加而增加。


脊柱是骨质疏松性骨折中最为常见的部位,胸腰椎多见,骨折主要发生在胸或腰椎移行处,以 T12 最多见,其次为 L1。上位胸椎也可发生,颈椎骨折几乎没有。


医疗康复包括什么骨质疏松性骨折:诊断、治疗和康复一文整理!_https://www.jmylbn.com_新闻资讯_第11张


由于骨质疏松症引起的脊椎压缩性骨折,其部位仅限于椎体,不影响椎弓,故导致脊髓损伤的情况罕见,所以一般无下肢感觉异常、肌力减退及反射改变等神经损害表现。


椎体骨折的形状如「鱼椎样」变形、楔状椎变形、扁平椎变形等。脊椎压缩性骨折其中 85% 有疼痛等症状,而 15% 可无症状,体检脊柱局部有压痛. 尤其是体位改变时疼痛明显,卧床休息时减轻或消失。


根据 Genant 等将 X 线分型标准将骨质疏松性脊柱压缩骨折分为轻度(20% ~ 25%)、中度(25% ~ 40%)和重度(> 40%)。


医疗康复包括什么骨质疏松性骨折:诊断、治疗和康复一文整理!_https://www.jmylbn.com_新闻资讯_第12张


1、非手术治疗


适用于症状和体征较轻,影像学检查显示为轻度椎体压缩骨折,或不能耐受手术者。


治疗可采用卧床、支具及药物等方法,但需要定期进行 X 线片检查,以了解椎体压缩是否进行性加重。


医疗康复包括什么骨质疏松性骨折:诊断、治疗和康复一文整理!_https://www.jmylbn.com_新闻资讯_第13张

2、手术治疗


椎体强化手术,包括椎体成形术 (PVP) 经皮球囊扩张椎体后凸成形术(PKP),是目前最常用的微创手术治疗方法。


适用条件:


  • 非手术治疗无效,疼痛剧烈;

  • 不稳定的椎体压缩性骨折;

  • 椎体骨折不愈合或椎体内部囊性变、椎体坏死;

  • 椎体血管瘤;

  • 不宜长时间卧床;

  • 能耐受手术者。


可达到减轻疼痛、稳定脊椎和早期活动的目的。


对高龄患者宜考虑早期手术,可有效缩短卧床时间,减少骨折并发症的发生。


绝对禁忌证:


  • 不能耐受手术者;

  • 无痛、陈旧的骨质疏松性椎体压缩性骨折;

  • 凝血功能障碍者;

  • 对椎体成形器械或材料过敏者。


相对禁忌证:


  • 椎体严重压缩性骨折,椎管内有骨块;

  • 有出血倾向者;

  • 身体其他部位存在活动性感染者;

  • 与椎体压缩骨折无关的神经压迫引起的根性痛。


①椎体成形术 (PVP)


医疗康复包括什么骨质疏松性骨折:诊断、治疗和康复一文整理!_https://www.jmylbn.com_新闻资讯_第14张

②经皮球囊扩张椎体后凸成形术(PKP)


医疗康复包括什么骨质疏松性骨折:诊断、治疗和康复一文整理!_https://www.jmylbn.com_新闻资讯_第15张


医疗康复包括什么骨质疏松性骨折:诊断、治疗和康复一文整理!_https://www.jmylbn.com_新闻资讯_第16张


医疗康复包括什么骨质疏松性骨折:诊断、治疗和康复一文整理!_https://www.jmylbn.com_新闻资讯_第17张

医疗康复包括什么骨质疏松性骨折:诊断、治疗和康复一文整理!_https://www.jmylbn.com_新闻资讯_第18张


③切开手术


对有神经压迫症状和体征、严重后凸畸形、需行截骨矫形以及不适合行微创手术的不稳定椎体骨折患者,可考虑行手术治疗。


医疗康复包括什么骨质疏松性骨折:诊断、治疗和康复一文整理!_https://www.jmylbn.com_新闻资讯_第19张





髋部骨折




骨质疏松性髋部骨折主要包括股骨颈骨折转子间骨折,是骨质疏松症骨折最严重并发症


医疗康复包括什么骨质疏松性骨折:诊断、治疗和康复一文整理!_https://www.jmylbn.com_新闻资讯_第20张


髋部骨折多发生于 60 岁以上的女性,70 岁以上发病率剧增,女性多于男性此种骨折与年龄及骨质疏松的程度成正比。


伤后常卧床不起,易发生肺炎、疮和静脉炎等并发症。


骨折后第 1 年内的死亡率高达 20% ~ 25%,存活者中超过 50% 的患者会留有不同程度的残疾。根据临床表现和影像学可明确诊断。


髋部骨折的特点:



①死亡率高:

由于患者年龄高,常伴随多种老年疾病,伤后容易发生肺炎、泌尿系感染、压疮、下肢静脉血栓等并发症,死亡率高。

②骨坏死率及不愈合率高:


股骨颈囊内骨折由于解剖上的原因,骨折部位承受的扭转及剪切应力大,影响骨折复位的稳定性;又由于股骨头血供的特殊性,骨折不愈合率高;骨折后股骨头缺血,还可造成股骨头缺血坏死,其发生率约为 20%~40%。


③致畸致残率高:


髋部转子间骨折常留有髋内翻、下肢外旋、缩短等畸形,从而影响下肢功能,其发生率高达 50%。


④康复缓慢:


高龄患者由于体能恢复差,对康复和护理有较高的要求。



因为以上特点,髋部骨折的治疗不仅是对骨折本身的治疗,还应针对并发症和伴随疾病进行处理。


髋部骨折治疗目的:



治疗骨质疏松性髋部骨折的目的是尽快采取有效的措施,恢复患者的负重功能,减少卧床时间


1、股骨颈骨折


股骨颈骨折常采用 Garden 分型评估骨折的稳定性和移位程度。


老年骨质疏松性股骨颈骨折推荐无手术禁忌尽早手术治疗,包括闭合或切开复位内固定术、人工关节置换术等。


对于骨折移位不明显的稳定型骨折或合并内科疾病无法耐受手术者,可以酌情采用外固定架或非手术治疗。


①对于年龄 <65 岁的患者:


应首选闭合复位内固定,如果复位不满意,则辅助切开复位内固定术,内固定的方式多选择 3 枚空心螺钉


医疗康复包括什么骨质疏松性骨折:诊断、治疗和康复一文整理!_https://www.jmylbn.com_新闻资讯_第21张

对于  Pauwels 角过大或基底型骨折等极度不稳定的患者,可以选择动力髋螺钉,同时应用一枚空心螺钉防止旋转。


②对于年龄在 65-75 岁之间的患者:


如果骨质良好,且伤前活动良好,也可以先行闭合复位内固定术。


  • 如果骨质疏松,则应行关节置换;

  • 预期寿命较长、伤前活动良好者,或者合并髋关节疾病者,行全髋关节置换术;

  • 预期寿命较短、伤前活动较差者,可行股骨头置换术。


③对于年龄在 75 岁以上的患者:


采取关节置换术,大多采取单极或双极股骨头置换。对于病理性骨折,可采取关节置换术。                             


医疗康复包括什么骨质疏松性骨折:诊断、治疗和康复一文整理!_https://www.jmylbn.com_新闻资讯_第22张


2、粗隆间骨折治疗


股骨转子间骨折通常常采用 Evans 分型和 AO 分型


如患者无手术禁忌,建议早期行手术治疗。主要治疗手段为闭合或有限切开复位内固定,内固定方式有髓内(PFNA、Intertan)和髓外固定,从生物力学角度,髓内固定更具优势。


医疗康复包括什么骨质疏松性骨折:诊断、治疗和康复一文整理!_https://www.jmylbn.com_新闻资讯_第23张


人工髋关节置换不作为转子间骨折的常规治疗方法,仅当作一种补充手段





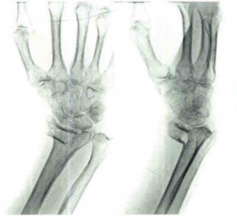
桡骨远端骨折




桡骨远端以骨松质为主,明显受骨质疏松症的影响。发病年龄自 45 岁开始,50~65 岁发病率剧增,65 岁以后降低,女性多于男性


此种骨折,闭经影响较增龄影响更明显。直接暴力和间接暴力均可造成桡骨远端骨折,但多为间接暴力所致。


医疗康复包括什么骨质疏松性骨折:诊断、治疗和康复一文整理!_https://www.jmylbn.com_新闻资讯_第24张


骨折后出现腕关节上方明显肿胀、疼痛,桡骨远端压痛明显,有纵向叩击痛,腕关节活动功能部分或完全丧失,手指作握拳动作时疼痛加重,有移位的骨折常有典型的畸形。


1、保守治疗


治疗方法一般采用手法复位,可用夹板或石膏固定或外固定器固定。


手法复位技巧:


通常采取闭合手法复位。首先背伸腕关节,向远端牵引,随后用拇指挤压远端骨折块的背侧,持续加压及牵引下慢慢伸直腕关节。


医疗康复包括什么骨质疏松性骨折:诊断、治疗和康复一文整理!_https://www.jmylbn.com_新闻资讯_第25张

医疗康复包括什么骨质疏松性骨折:诊断、治疗和康复一文整理!_https://www.jmylbn.com_新闻资讯_第26张

医疗康复包括什么骨质疏松性骨折:诊断、治疗和康复一文整理!_https://www.jmylbn.com_新闻资讯_第27张


2、手术治疗


手术目的:


恢复关节面的平整及相邻关节面的吻合关系,重建关节的稳定性以及恢复无痛且功能良好的腕关节。


手术指征:


  • 开放性骨折;

  • 骨折合并间室综合征;  

  • 合并神经血管或(和)肌腱损伤;

  • 双侧骨折;

  • 桡腕关节骨折脱位;

  • 关节面的压缩性骨折;

  • 掌侧和背侧剪力骨折;

  • 掌侧弯曲力骨折;

  • 背侧弯曲力骨折,复位后再移位且对功能要求高的患者;

  • 手法复位后桡骨短缩超过 3 mm;

  • 侧位 X 线片示背侧成角超过 10°;

  • 关节面台阶超过 2 mm;

  • 手法复位不满意者可采用手术治疗。


手术方法可根据骨折的具体情况选择,包括经皮撬拨复位克氏针内固定、外固定支架固定、切开复位钢板内固定等。


医疗康复包括什么骨质疏松性骨折:诊断、治疗和康复一文整理!_https://www.jmylbn.com_新闻资讯_第28张

医疗康复包括什么骨质疏松性骨折:诊断、治疗和康复一文整理!_https://www.jmylbn.com_新闻资讯_第29张

医疗康复包括什么骨质疏松性骨折:诊断、治疗和康复一文整理!_https://www.jmylbn.com_新闻资讯_第30张





肱骨近端骨折




肱骨近端骨折常用的分型是 Neer 分型。


肱骨近端骨质疏松性骨折,因骨质条件欠佳而常导致复位和固定困难,尤其是粉碎性骨折,可出现肱骨头坏死、肩关节脱位或半脱位,严重影响关节功能。


医疗康复包括什么骨质疏松性骨折:诊断、治疗和康复一文整理!_https://www.jmylbn.com_新闻资讯_第31张


临床可根据 X 线检查判断骨折类型,通过 CT 扫描明确主要骨块移位及压缩程度,而 MRI 则有助于判断肩袖损伤。


1、保守治疗


80%~85% 的肱骨近端骨折为无移位或轻度移位的骨折,可通过非手术治疗获得满意的效果还包括那些患有多种疾病,不能耐受麻醉或手术的体弱病人。


对于伴有骨质疏松的 75 岁以上、对功能要求较低的移位型骨折患者,同样也应该选择保守治疗。保守治疗方法为颈腕吊带悬吊、贴胸位绷带固定或肩部外展架等。


2、手术治疗


手术指征包括:


  • 移位型骨折(根据 Neer 定义:骨折块之间移位 > 1 cm  或成角 > 45°);

  • 头劈裂型骨折;

  • 伴随神经血管损伤;

  • 开放性骨折;

  • 内侧铰链中断的不稳定性骨折;

  • 浮肩;

  • 多发创伤;

  • 难以复位的骨折脱位。


手术治疗方式:


闭合复位经皮穿针固定;切开复位内固定;髓内钉内固定;肱骨头置换


医疗康复包括什么骨质疏松性骨折:诊断、治疗和康复一文整理!_https://www.jmylbn.com_新闻资讯_第32张

医疗康复包括什么骨质疏松性骨折:诊断、治疗和康复一文整理!_https://www.jmylbn.com_新闻资讯_第33张




围手术期康复与并发症预防




对于脊柱和髋部骨折,在内固定或关节置换术基础上,应鼓励患者在医护人员的指导下尽早坐起和站起,以缩短卧床时间,减少卧床相关并发症的发生。


髋部骨折术后宜循序渐进地进行关节功能的主动活动和被动运动,尤其是患肢主动活动。


  • 采用髓内固定或关节置换的患者,术后可尽早尝试患肢部分负重;

  • 采用锁定钢板等髓外固定技术的患者,患肢下地负重时间需适当推迟;

  • 关节置换术后早期,应根据采用的手术入路,适当限制关节活动范围;

  • 椎体成形术后 12 h,患者可尝试坐起,24 h 后可尝试站立,腰背部肌肉力量训练和平衡训练有助于加速患者恢复。


桡骨远端骨折内固定术后或拆除外固定后,应重视关节活动度、肌肉力量等康复训练。


肩关节骨折后的康复训练通常由被动运动开始,可在上肢吊带或外展架上行前屈、外旋运动,待疼痛缓解后,逐步开始行主动肌力锻炼和关节活动度训练等。


围手术期后的康复措施主要包括运动康复、物理疗法和个性化的康复辅具,这些康复措施有助于改善骨折后残留的肢体疼痛、肿胀及功能障碍,增加骨强度,改善肢体协调性以避免跌倒,提高患者生活质量。





小结






医疗康复包括什么骨质疏松性骨折:诊断、治疗和康复一文整理!_https://www.jmylbn.com_新闻资讯_第2张

总之,对于骨质疏松骨折,除了治疗骨折、功能锻炼外,抗骨质疏松治疗一定要贯穿整个骨质疏松骨折的全过程。



作者:孙小六;排版:景胜杰

图源:除标注外均来源于文末参考文献


参考文献(比较多)

1. 基层医疗机构骨质疏松症诊断和治疗专家共识 ( 2021),中国骨质疏松杂志,2021 年 7 月第 27 卷第 7 期

2. 中华医学会, 中华医学会临床药学分会, 中华医学会杂志社, 等. 骨质疏松症基层合理用药指南 [J]. 中华全科医师杂志,2021,20(5):523-529。

3. 中华医学会骨科学分会创伤骨科学组,  中华医学会骨科学分会外固定与肢体重建学组,  国家骨科与运动康复临床医学研究中心,  等,中国脆性骨折术后规范化抗骨质疏松治疗指南(2021) [J] .  中华创伤骨科杂志, 2021, 23(2): 93-101. DOI: 10.3760/cma.j.cn115530-20201015-00659.

4 原发性骨质疏松症临床路径(2019),国家卫生健康委

5. 骨折治疗的 AO 原则

6.《英国骨质疏松症预防和治疗临床 指南》解读(2017),中华健康管理学杂志 2017 年 8 月第 11 卷第 4 期

7. 中国原发性骨质疏松症诊疗指南(2017),中华骨科杂志 2017 年 1 月第 37 卷第 1 期

8. 骨折第三版

9. 实用骨科学

10. 原发性骨质疏松症诊治指南(2011 版). 中华骨质疏松和骨矿盐疾病杂志,2011;4(1):2-17.

11. 中国居民膳食营养参考摄入量速查手册(2014),中国标准出版社

12. 奈特骨科疾病彩色图谱

13. 创伤骨科手术学

14. 洛克伍德-格林 成人骨折

15. 奈特简明彩色骨科学图谱

16. 骨质疏松症和骨矿盐疾病分册(2006),中华医学会

17.National Osteoporosis Foundation.http://www.guideline.gov/summary/summary.aspx?doc_id = 3862#s23

18.MJA 2004; 180 (6): 298-303

19.Harada, GA Rodan. Nature, 2003; 423: 349-355

20.NIH Consensus. JAMA,2001,285(6):785-95.