为什么要定位针 乳腺【苏州市中医医院丨聚焦专科】小钩针,大作用,让乳腺小结节无处可逃

新闻资讯2026-04-17 14:02:41

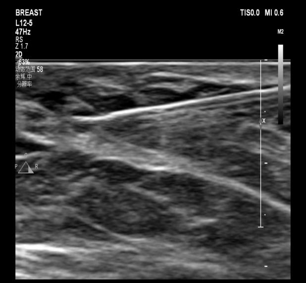
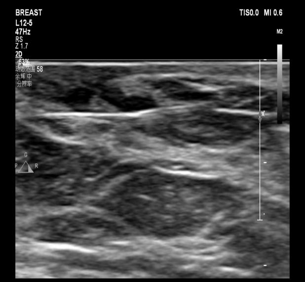
67岁的石女士(化名)在体检时发现了 “乳腺结节”,随后前来我院门诊就诊。经过超声检查,显示其左侧乳腺乳晕后方存在一枚实性结节,大小约为6×4mm,同时伴有局部乳导管的扩张情况。而超声造影结果表明,该结节呈现出快速高增强,且增强范围与二维图像保持一致,其BI-RADS分类为4a类,提示有导管内乳头状瘤的可能性。

在手术过程中快速捕获微小乳腺结节并实施完整切除是一项挑战。为了能够实现精准微创诊疗,我院普外科和超声科的医生们经过仔细讨论后,决定在术前对石女士的这枚乳腺小结节实施超声引导下定位针置入术。

为什么要定位针 乳腺【苏州市中医医院丨聚焦专科】小钩针,大作用,让乳腺小结节无处可逃_https://www.jmylbn.com_新闻资讯_第1张
为什么要定位针 乳腺【苏州市中医医院丨聚焦专科】小钩针,大作用,让乳腺小结节无处可逃_https://www.jmylbn.com_新闻资讯_第2张


超声引导下定位针置入术

超声引导下定位针置入术是对不可触及的可疑恶性的微小乳腺结节,利用一根纤细、尖端带钩的穿刺针,在超声实时动态监测下,经皮穿入结节内,释放穿刺针内的倒钩,钩住病灶,轻退穿刺针,将倒钩留于结节内,再将连于倒钩的导丝固定于体表。外科手术时,医生顺着导丝便能轻松捕获结节。



目前,我院超声科已常规开展此项技术。最终,石女士的结节通过手术被快速完整切除,病理诊断为导管内乳头状瘤。


超声引导下定位针置入术的优点

  1. 有助于外科医生术中快速找到乳腺小结节,缩短手术时间,降低手术创伤。

  2. 相较于体表标记定位法更精准,且不受体位变动的影响。

  3. 定位准确,有利于完整切除肿物,减少对正常乳腺组织的破坏,符合乳腺微创诊疗的要求。

  4. 术后并发症少,直视下手术减少出血及血肿风险,且不因导丝置入而增加感染风险。

综上所述,术前超声引导下定位针置入术是一种微创、简便的定位方式,尤其适用于乳腺微小结节或位置较深的难触性结节。


为什么要定位针 乳腺【苏州市中医医院丨聚焦专科】小钩针,大作用,让乳腺小结节无处可逃_https://www.jmylbn.com_新闻资讯_第3张

(穿刺针入结节)

为什么要定位针 乳腺【苏州市中医医院丨聚焦专科】小钩针,大作用,让乳腺小结节无处可逃_https://www.jmylbn.com_新闻资讯_第4张

(释放钩针)

为什么要定位针 乳腺【苏州市中医医院丨聚焦专科】小钩针,大作用,让乳腺小结节无处可逃_https://www.jmylbn.com_新闻资讯_第5张
为什么要定位针 乳腺【苏州市中医医院丨聚焦专科】小钩针,大作用,让乳腺小结节无处可逃_https://www.jmylbn.com_新闻资讯_第6张


我院超声科

目前开展的介入超声项目

  1. 超声引导下甲状腺结节、乳腺结节、体表肿块穿刺活检术。

  2. 超声引导下肌骨介入治疗。

  3. 超声引导下乳腺肿块术前定位针置入术。

  4. 超声引导下胸腔、腹腔穿刺置管引流术。

介入超声技术已经成为现代医学诊疗中的重要手段。专家建议,在需要进行相关操作时,请与医生充分沟通,了解相关信息,积极配合治疗。


供稿:超声科

编审:党委办公室



苏州市中医医院

厚德尚道

大医精诚

为什么要定位针 乳腺【苏州市中医医院丨聚焦专科】小钩针,大作用,让乳腺小结节无处可逃_https://www.jmylbn.com_新闻资讯_第7张


为什么要定位针 乳腺【苏州市中医医院丨聚焦专科】小钩针,大作用,让乳腺小结节无处可逃_https://www.jmylbn.com_新闻资讯_第8张
 为什么要定位针 乳腺【苏州市中医医院丨聚焦专科】小钩针,大作用,让乳腺小结节无处可逃_https://www.jmylbn.com_新闻资讯_第9张
 为什么要定位针 乳腺【苏州市中医医院丨聚焦专科】小钩针,大作用,让乳腺小结节无处可逃_https://www.jmylbn.com_新闻资讯_第10张


苏州市中医医院服务号      苏州市中医医院订阅号

为什么要定位针 乳腺【苏州市中医医院丨聚焦专科】小钩针,大作用,让乳腺小结节无处可逃_https://www.jmylbn.com_新闻资讯_第11张





请关注我们哦





在以下媒体平台也可即时获得

苏州市中医医院的最新消息哦!

为什么要定位针 乳腺【苏州市中医医院丨聚焦专科】小钩针,大作用,让乳腺小结节无处可逃_https://www.jmylbn.com_新闻资讯_第12张