为什么要做吞咽仪器【康复加油站】吞咽障碍康复:打破“进食困境”,重享生活滋味

新闻资讯2026-04-17 13:58:47
为什么要做吞咽仪器【康复加油站】吞咽障碍康复:打破“进食困境”,重享生活滋味_https://www.jmylbn.com_新闻资讯_第1张


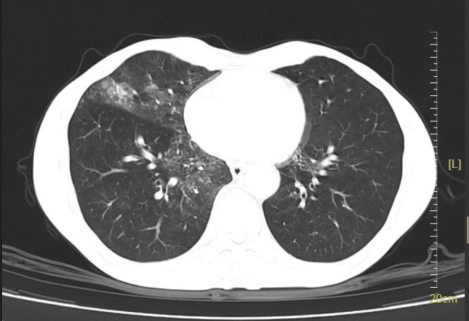
51岁的李先生(化名)10余年前接受鼻咽癌放疗,近2年反复出现饮水呛咳,进食困难,尤其进食固体食物时梗阻感明显,须“水捞饭”才能勉强进食。更为严重的是,这一年他已经经历了两次重症肺炎(CT见下图),差点进了ICU。张先生百思不得其解,在呼吸科医生的推荐下,来到了康复医学科门诊。


为什么要做吞咽仪器【康复加油站】吞咽障碍康复:打破“进食困境”,重享生活滋味_https://www.jmylbn.com_新闻资讯_第2张


通过吞咽造影检查,李先生的问题终于“水落石穿”——是“吞咽障碍”惹的祸!


吞咽,看似简单的动作,却是人体最精密的功能之一。当咽喉肌协调异常、神经控制受损时,食物可能误入气管(误吸),引发呛咳、肺炎甚至窒息。




科学康复:让“吞咽”重获新生


据介绍,要开展吞咽障碍康复,首先是通过精准评估找到问题根源,然后进行多维训练,重建吞咽能力。


在精准评估方面,可以通过“洼田饮水试验”快速判断风险等级;同时,借助仪器检查——吞咽造影造影(VFSS)、喉内镜(FEES)精准定位功能障碍环节。


为什么要做吞咽仪器【康复加油站】吞咽障碍康复:打破“进食困境”,重享生活滋味_https://www.jmylbn.com_新闻资讯_第3张
为什么要做吞咽仪器【康复加油站】吞咽障碍康复:打破“进食困境”,重享生活滋味_https://www.jmylbn.com_新闻资讯_第4张

▲李先生存在环咽肌开放不完全,会厌谷和梨状窦大量残留,并且存在明显误吸,因此导致反复重症肺部感染。




多维训练:重建吞咽能力


01


环咽肌开放不完全

导管球囊扩张术:通过导管球囊扩张环咽肌,改善其开放程度。


门德尔松手法:在球囊扩张术基础上,结合门德尔松手法,延长喉部上抬时间,增强吞咽动作的协调性。

02


会厌谷和梨状窦残留

舌肌抗阻训练:利用压舌板等工具进行舌肌各方向的主动及抗阻运动,增强舌的搅拌和推送能力,每次5-10分钟,每日1次。


冰刺激与吞咽反射诱发:用冰棉棒快速点刺激软腭、舌根、咽部等,诱发吞咽反射,促进咽部肌肉收缩,减少残留。


推撑训练:改善软腭上抬能力,减少食物返流至鼻腔。

03


误吸问题

声门上吞咽法:指导患者在吞咽前深吸气、屏气,吞咽后再咳嗽,以增强气道保护,减少误吸。


呼吸训练:进行腹式呼吸、缩嘴呼吸、吹纸练习等,增强呼吸控制能力,改善吞咽与呼吸的协调性。

04


针对声音嘶哑问题

发声训练:采用ABCLOVE嗓音训练法对患者 进行训练,包括A.暖声运动,B.呼吸运动,C.咨询,L.喉部操作手法,O.口腔共鸣训练,V.声带功能训练,E.减少嗓音不利行为。1次/天,每次5分钟。

05


辅助治疗

神经肌肉电刺激:使用低频脉冲电刺激舌骨上肌群,促进肌肉收缩,增强吞咽力量。


生物反馈训练:结合吞咽肌生物反馈,帮助患者更好地感知和控制吞咽动作。


中医针灸:作为辅助手段,疏通经络,调节神经功能,改善吞咽功能。




哪些是吞咽障碍高发人群?


脑卒中、帕金森病、阿尔茨海默病患者;头颈部肿瘤术后或放疗患者;老年退行性吞咽功能减退人群。


如果出现以下症状

可以到康复医学科

进行吞咽评估与治疗

👇👇👇


进食频繁呛咳或进食梗阻感;吞咽费力,进食时间延长;声音嘶哑;反复清嗓音;流口水或反复口腔分泌物增多;餐后反复低热、痰液增多;不明原因的反复肺炎或发热;不明原因的体重下降。


医生提醒:吞咽障碍并非不可逆转。通过系统评估与个性化康复,多数患者可显著改善功能,重拾进食尊严。



为什么要做吞咽仪器【康复加油站】吞咽障碍康复:打破“进食困境”,重享生活滋味_https://www.jmylbn.com_新闻资讯_第5张



供稿:康复医学科 欧阳凤珊

编辑:陈书翘

初审:李述言

责编:岑婉梅

审发:蒋红霞


为什么要做吞咽仪器【康复加油站】吞咽障碍康复:打破“进食困境”,重享生活滋味_https://www.jmylbn.com_新闻资讯_第6张


关注“南方医科大学第八附属医院”视频号  

每日了解最新医疗科普



为什么要做吞咽仪器【康复加油站】吞咽障碍康复:打破“进食困境”,重享生活滋味_https://www.jmylbn.com_新闻资讯_第7张