ero为什么不显示叶俏教授:HRCT是发现和鉴别「过敏性肺炎」的重要环节,何种表现指向预后不良?使患者发病的危害因素躲在哪些环境中?

新闻资讯2026-04-17 12:27:02

ero为什么不显示叶俏教授:HRCT是发现和鉴别「过敏性肺炎」的重要环节,何种表现指向预后不良?使患者发病的危害因素躲在哪些环境中?_https://www.jmylbn.com_新闻资讯_第1张


过敏性肺炎(hypersensitivity pneumonitis,HP)也被称为外源性过敏性肺泡炎(extrinsic allergic alveolitis,EAA),是一种炎症和/或纤维化性肺疾病,既累及肺泡、小气道,也累及肺间质。


在发病过程中,「个体的易感性」占有非常重要的位置,由于吸入了过敏原,肺脏出现了III型和IV型变态反应,进而导致不同的临床表现,它的自然病程也具有显著异质性。目前过敏性肺炎在临床上比较多见,但在诊断和治疗过程中容易误诊、漏诊,存在一定的难度。


间质性肺疾病的分类[1]其中包括了已知原因的间质性肺疾病(这组疾病的患者也占了绝大多数,如药物、化学品、职业环境暴露、结缔组织病所致ILD)、特发性间质性肺炎、根据其组织病理特征表现为肉芽肿疾病,如结节病、过敏性肺炎。以及其它具有独立临床特征的ILD包括淋巴管平滑肌瘤病(LAM), 成人肺朗格汉斯细胞组织细胞增生症(PLCH)等。


ero为什么不显示叶俏教授:HRCT是发现和鉴别「过敏性肺炎」的重要环节,何种表现指向预后不良?使患者发病的危害因素躲在哪些环境中?_https://www.jmylbn.com_新闻资讯_第2张


可见,从分类的位置来讲,过敏性肺炎既可以在已知原因的间质性肺疾病中,也可以与结节病一同列在肉芽肿疾病中。


ero为什么不显示叶俏教授:HRCT是发现和鉴别「过敏性肺炎」的重要环节,何种表现指向预后不良?使患者发病的危害因素躲在哪些环境中?_https://www.jmylbn.com_新闻资讯_第3张

临床亚型


以往,我们在描述这组疾病的「临床亚型」时,是根据临床表现来衡量的——即接触了抗原物质后,患者是否发生临床表现。其中出现临床症状者,可根据起病形式,分为急性、亚急性和慢性。[2]


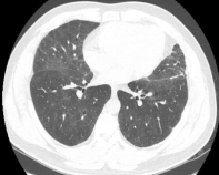
1、所谓急性HP,就是患者接触了较高水平的暴露,例如有患者喜欢饲养鸟类,尤其喜欢宠物鸽子,于是到交易市场去看,在这个过程中,可能出现了间断高水平暴露,于是一些易感个体就在很短的时间内(4到12小时)出现了流感样症状和呼吸道症状,而肺内则出现了一些磨玻璃影。


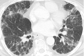
2、也有一些患者急性发作伴发热,劳力性呼吸困难、乏力和咳嗽,影像表现为小叶中央性的弥漫性的腺泡结节,称之为亚急性HP


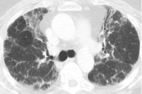
3、还有些患者持续性低水平暴露,起病很隐匿,当我们发现时,已经出现了劳力性呼吸困难,干咳,体重减轻和乏力,而影像出现了既有磨玻璃影,也有肺纤维化的表现,称之为慢性HP


ero为什么不显示叶俏教授:HRCT是发现和鉴别「过敏性肺炎」的重要环节,何种表现指向预后不良?使患者发病的危害因素躲在哪些环境中?_https://www.jmylbn.com_新闻资讯_第4张
ero为什么不显示叶俏教授:HRCT是发现和鉴别「过敏性肺炎」的重要环节,何种表现指向预后不良?使患者发病的危害因素躲在哪些环境中?_https://www.jmylbn.com_新闻资讯_第5张
ero为什么不显示叶俏教授:HRCT是发现和鉴别「过敏性肺炎」的重要环节,何种表现指向预后不良?使患者发病的危害因素躲在哪些环境中?_https://www.jmylbn.com_新闻资讯_第6张

图:(从左至右)急性、亚急性、慢性


这是既往对过敏性肺炎的认识,近年来有关HP的研究越来越多,在积累了一定的证据后,把HP分为纤维化型(fibrotic HP)和非纤维化型(nonfibrotic HP)更合适[3],这样的分类有助于制定患者的治疗方案以及把握预后。


所谓非纤维化型是肺脏以炎症为主,而比较少出现肺纤维化或没有肺纤维化,主要以磨玻璃影、小叶中央型的腺泡结节等表现为主;而纤维化型可能是混合性炎症加纤维化,也可能是纯纤维化。


ero为什么不显示叶俏教授:HRCT是发现和鉴别「过敏性肺炎」的重要环节,何种表现指向预后不良?使患者发病的危害因素躲在哪些环境中?_https://www.jmylbn.com_新闻资讯_第3张

预后估计


在包括我们在内的一些医疗中心都对HP患者的预后进行过分析,National Jewish Hospital在1982~2000年对72例HP患者进行观察,发现其中46例(64%,约2/3的患者可能会出现肺纤维化,中位生存7.1年,低于未出现肺纤维化者[4]。因为起病和过敏原都比较隐匿,所以导致患者的诊断被延迟。


慢性过敏性肺炎中,HRCT类型对评价预后的价值优于肺功能,一旦影像表现出蜂窝影或牵拉性支气管扩张以及肺脏容积缩小,就提示了有肺纤维化,其中牵拉性支气管扩张的严重程度是患者死亡最强的预测因素。[5]


ero为什么不显示叶俏教授:HRCT是发现和鉴别「过敏性肺炎」的重要环节,何种表现指向预后不良?使患者发病的危害因素躲在哪些环境中?_https://www.jmylbn.com_新闻资讯_第3张

临床表现


过敏性肺炎患者的临床表现没有太多特异性,从症状上看,通常表现为呼吸困难、咳嗽,可能有全身的表现,如消瘦、乏力、寒战、发热,受过敏原的暴露情况影响,这些症状可能是慢性的、进行性的,也可能是间断发作。


在体征方面,有些纤维化型患者能够闻及爆裂音,比较少出现杵状指。其表现可能呈不同的病理生理改变——限制、阻塞或混合。比较值得关注的是,由于这组疾病是在小气道周围分布的,因此有个别的患者会在背部比较靠下肺的位置出现「吸气相哮鸣音」,这时,要结合患者的临床表现警惕有没有过敏性肺炎的可能。


上述症状在抗原暴露后数小时出现,具有诊断意义。[6]


ero为什么不显示叶俏教授:HRCT是发现和鉴别「过敏性肺炎」的重要环节,何种表现指向预后不良?使患者发病的危害因素躲在哪些环境中?_https://www.jmylbn.com_新闻资讯_第3张

流行病学


我们在临床上看到了这么大量的间质性肺疾病的患者,其中有多少会表现为过敏性肺炎?又有多少是纤维化型HP,并呈「进行性纤维化表型」呢?


近期一项由美国、日本、德国、法国、意大利、西班牙和英国 486名内科医生的线上调查显示[7],约有1/5的患者会出现进行性的纤维化表型,可见HP并非都是预后非常好的,也有一些患者会出现预后不良的情形。


到底有多少HP的患者发病了?这些流行病学的资料有很大的变异性,因此流行病学数字仅作为一个参考。


英国的流行病学数据显示,1991~2003年,诊断HP 271例,诊断时患者平均年龄57岁,其中男性占51%,年发病率0.9/10万,在职业性的、尤其在特殊环境中,1996~2015年,确诊 HP 202例,年发病率更低一些,为1.4/100万。而在美国,2004 ~2013年,1年患病率为1.7-2.7/10万。[8-10]


在不同的研究机构,ILD中HP的占比也有非常大的差距——在西班牙,2004年,HP是第5位最常见ILD,占6.6%,欧洲ILD注册登记研究中,HP占4-15%,在美国新墨西哥州,HP占2%,而估计的美国ILD患者门诊比例,HP占20%。[9][11-13]


ero为什么不显示叶俏教授:HRCT是发现和鉴别「过敏性肺炎」的重要环节,何种表现指向预后不良?使患者发病的危害因素躲在哪些环境中?_https://www.jmylbn.com_新闻资讯_第3张

死亡率


过敏性肺炎也有一定的死亡率(不是病死率,是全因死亡率):在英格兰和威尔士,1968~2008年HP死亡878例,其中1968~1972年,0.04/10万(95% CI 0.03-0.05),2005~2008年,0.08/10万(95% CI 0.07-0.09)。男性死亡率为0.05/10万(95% CI 0.05-0.06)、女性死亡率为0.03/10万(95% CI 0.02-0.03)。


当然,随着年龄增加,死亡率也是逐渐上升的,80-84岁达到最高值0.19/10万(95% CI 0.15-0.23)。[14]


由美国1998~2002年多死因数据可以发现,在不同产业中,HP比例死亡率在畜牧业和农作物生产中较高,分别为19.3%和4.3%;在不同职业中,HP比例死亡率在农民中显著增高,为8.1%……[15]


影响预后的因素比较多[3],大家可以想象,与非纤维化相比,纤维化型HP、尤其是UIP型的预后更差,同时,如果患者是吸烟者、基线的肺功能尤其肺活量比较低、做支气管镜肺泡灌洗时,支气管肺泡灌洗液中淋巴细胞没有增高、而患者又可能持续刺激物暴露或未能识别刺激物时,预后可能会不良。


到底什么样的环境和职业的暴露是危害因素呢?


通常认为是有机粉尘、动物、特别是禽类,包括一些微生物,还有一些小分子的、具有半抗原性质的一些化学刺激物(如异氰酸酯)。


ero为什么不显示叶俏教授:HRCT是发现和鉴别「过敏性肺炎」的重要环节,何种表现指向预后不良?使患者发病的危害因素躲在哪些环境中?_https://www.jmylbn.com_新闻资讯_第11张


动植物蛋白是过敏原之一,我们比较熟悉的是饲鸟肺、鸽子肺,这里的致病物质是鸟类蛋白,通过鸟类的排泄物、血液或者羽毛为来源,非常微小的微粒被吸入呼吸道,从而导致了过敏性肺炎。还有一些特殊的职业,如咖啡工人(来源:咖啡豆粉尘)、大豆工人(来源:大豆壳),从事牡蛎壳加工的工人(致病物质:软体动物壳蛋白;来源:软体动物壳粉尘)都有可能出现过敏性肺炎。


ero为什么不显示叶俏教授:HRCT是发现和鉴别「过敏性肺炎」的重要环节,何种表现指向预后不良?使患者发病的危害因素躲在哪些环境中?_https://www.jmylbn.com_新闻资讯_第12张


微生物也会成为过敏原,还有一些劳动者在大棚中养殖蘑菇、在制糖厂处理甘蔗,或者在田地当中大棚当中种植谷物,也有些木工、烟草生产线工人可能会遇到真菌菌属,同时吸入相应的微生物引起肺脏的过敏反应;在冬季或者是夏季的空调房中,空调的过滤网或加湿器中可能会出现放线菌,从而导致加湿器肺或者是空调肺……


ero为什么不显示叶俏教授:HRCT是发现和鉴别「过敏性肺炎」的重要环节,何种表现指向预后不良?使患者发病的危害因素躲在哪些环境中?_https://www.jmylbn.com_新闻资讯_第13张
ero为什么不显示叶俏教授:HRCT是发现和鉴别「过敏性肺炎」的重要环节,何种表现指向预后不良?使患者发病的危害因素躲在哪些环境中?_https://www.jmylbn.com_新闻资讯_第14张


此外,一些化学物质也会成为过敏原,例如,接触油漆、塑料的人,也就是接触异氰酸酯或聚氨酯等化学物的人,也会导致过敏性肺炎的发生。


ero为什么不显示叶俏教授:HRCT是发现和鉴别「过敏性肺炎」的重要环节,何种表现指向预后不良?使患者发病的危害因素躲在哪些环境中?_https://www.jmylbn.com_新闻资讯_第15张


还有一些少见病种:金属加工液相关性过敏性肺炎[16]、热浴盆肺[17]、游泳池肺泡炎[18]、雾喷泉肺泡炎[19][20]


我近期收治的一位患者在种植苹果的果园中工作,患了过敏性肺炎,最后才发现,他可能是用铡草机粉碎杂草的过程中吸入了相关微生物从而致病,当他不再从事此类工作并经过治疗后,肺脏情况完全好转。还有,在游泳池从事保安或救生员的工作,或经常泡温泉或蒸桑拿,都有可能患上热浴盆肺、游泳池肺或者是喷泉肺。


少见的环境和病因:羽绒被肺 [21]、Chacinero肺(干香肠引起的过敏性肺炎) [通常是青霉和其他霉菌] [22]、萨克斯演奏者肺 [真菌][23]、手足医肺 [足部皮肤和指甲的真菌] [24]……


这是我国北方「大棚肺」的流行病资料:调查东北地区835个农作物种植大棚5880名从业人员,获得有效问卷5420份。「农民肺」患病率5.7%(308/5420),暴露原既有细菌也有真菌——嗜热放线菌、直杆小多孢菌、烟曲霉菌;危险因素包括温室工作时间长、温室通风不良、温室湿度大于65%、温室高度不足1.8米、温室内堆积霉变的农作物……[25]


HP发病机制中的因素:


ero为什么不显示叶俏教授:HRCT是发现和鉴别「过敏性肺炎」的重要环节,何种表现指向预后不良?使患者发病的危害因素躲在哪些环境中?_https://www.jmylbn.com_新闻资讯_第16张


HP的发病显然与环境暴露有关,在抗原暴露下,并不是暴露人群都会发病,比如在饲养鸽子的人员中,有些人患病、有些人只有亚临床肺泡炎,而没有出现临床表现,宿主的因素在其中到底起了什么样的作用呢?


目前在HP患者人群中发现了一些易感的基因:MHC class II[26]、TAP基因[27]、免疫蛋白酶体基因(LMP7)[28],特别是近年来发现了MUC5B启动子多态性与患者的肺脏出现纤维化存在关联,甚至提示生存率低[29];而一些患者端粒酶基因提示端粒缩短,如果因为终末期的纤维化型HP做了肺移植,这些患者的生存率更低。


在诊断HP的时候,我们也遇到了一定的困境,比如部分患者为具有自身免疫特征的HP(HPAF),研究显示,HP合并自身免疫病(如CTD-pSS/DM/SS)的患者约占HP患者总数的15%(158人中有18人),其中女性占83%、61%为吸烟者,他们可能合并不同类型的自身免疫病,尤其是结缔组织病——SS 5.6%,Sjo 11.1%,IIM 5.6%,SLE 11.1%,RF 22.2%,溃疡性结肠炎 5.6%……还有些患者仅有自身免疫特征而不能诊断为某种类型的结缔组织病或自身免疫病(50%),这类患者特别值得我们关注,因为相对来说,他们发生预后不良、死亡的风险是显著增加的,而HPAF是患者死亡的一个独立危险因素,死亡的风险能增加三倍多。[30]


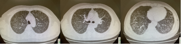
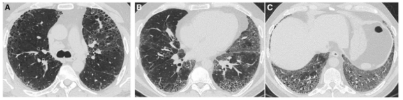
病例:男性,33岁,劳力性呼吸困难4年,加重3月,在治疗之前,我们看到的影像有些磨玻璃影、马赛克征,还有小叶中央型结节,并进行了外科肺活检。患者在从事铸造工作过程中间断接触异氰酸酯。停止工作暴露,并糖皮质激素经过治疗后,病情好转,但停用激素后又出现了肺部弥漫的磨玻璃影,肺功能也有所下降。


ero为什么不显示叶俏教授:HRCT是发现和鉴别「过敏性肺炎」的重要环节,何种表现指向预后不良?使患者发病的危害因素躲在哪些环境中?_https://www.jmylbn.com_新闻资讯_第17张
ero为什么不显示叶俏教授:HRCT是发现和鉴别「过敏性肺炎」的重要环节,何种表现指向预后不良?使患者发病的危害因素躲在哪些环境中?_https://www.jmylbn.com_新闻资讯_第18张
ero为什么不显示叶俏教授:HRCT是发现和鉴别「过敏性肺炎」的重要环节,何种表现指向预后不良?使患者发病的危害因素躲在哪些环境中?_https://www.jmylbn.com_新闻资讯_第19张

图:(从左至右)治疗前、脱离暴露+激素治疗10月、停激素18月


ero为什么不显示叶俏教授:HRCT是发现和鉴别「过敏性肺炎」的重要环节,何种表现指向预后不良?使患者发病的危害因素躲在哪些环境中?_https://www.jmylbn.com_新闻资讯_第20张
ero为什么不显示叶俏教授:HRCT是发现和鉴别「过敏性肺炎」的重要环节,何种表现指向预后不良?使患者发病的危害因素躲在哪些环境中?_https://www.jmylbn.com_新闻资讯_第21张


患者之后的检查过程中发现了光过敏、技工手、抗Jo-1抗体阳性,符合抗合成酶抗体综合征,所以这个患者的诊断是HP合并抗合成酶抗体综合征,经过治疗病情稳定。


在诊断HP的过程中,特别需要做HRCT,它也是我们发现间质病和进行鉴别诊断非常重要的一个环节


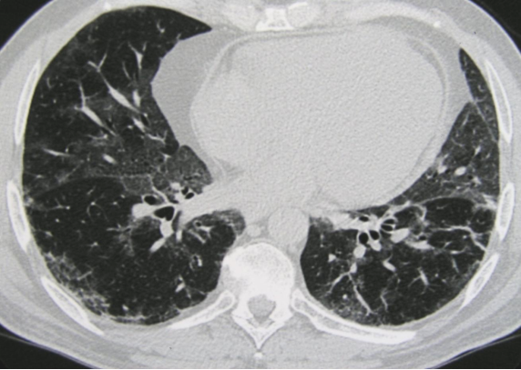
HRCT既可以表现为非纤维化型HP的特征,即片状或弥漫性磨玻璃影、不规则的小叶中央型结节、马赛克征、气体陷闭;也可能会表现为纤维化型HP的特征,即小叶间隔增厚、牵拉性支气管扩张、蜂窝肺、肺囊腔。


在最新的共识中提到了,典型的非纤维化型HP包含了两部分征象,一部分是肺实质浸润征象(磨玻璃影、马赛克影),一部分是小气道疾病征象(小叶中央型结节、气体陷闭)。非纤维化型HP也可能出现一些非特异性类型,除了磨玻璃影以外,还可以出现气腔实变、肺囊腔。


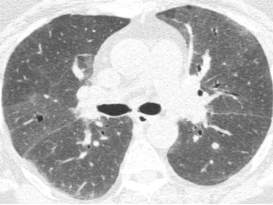
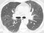
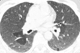
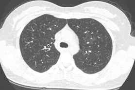
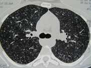
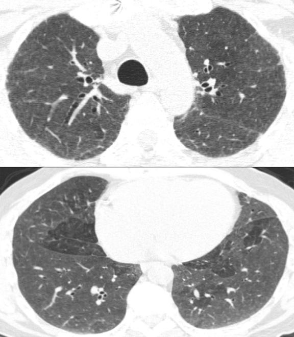
其中,马赛克影(Mosaic attenuation)是我们印象比较深刻的,马赛克影的识别通常是凭借吸气相CT,它既可以代表血管疾病,也可以代表气道疾病、间质性磨玻璃影、肺泡浸润等等。


ero为什么不显示叶俏教授:HRCT是发现和鉴别「过敏性肺炎」的重要环节,何种表现指向预后不良?使患者发病的危害因素躲在哪些环境中?_https://www.jmylbn.com_新闻资讯_第22张


从这张图片上,我们看到两种密度,高密度的是磨玻璃影,而低密度可能是正常的肺组织,也可以是由于小气道疾病引起的。


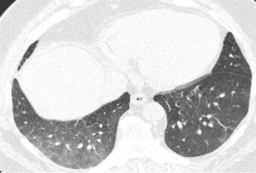
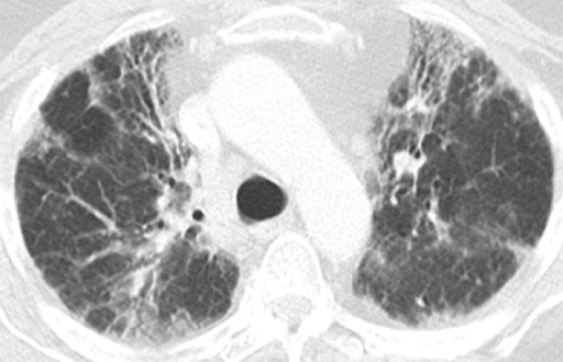
这是另外一个例子,双肺有斑片状的磨玻璃影,同时看到了有少量囊腔,还看到了正常密度的肺脏,双下肺靠近胸膜的地方有少量实变。


ero为什么不显示叶俏教授:HRCT是发现和鉴别「过敏性肺炎」的重要环节,何种表现指向预后不良?使患者发病的危害因素躲在哪些环境中?_https://www.jmylbn.com_新闻资讯_第23张
ero为什么不显示叶俏教授:HRCT是发现和鉴别「过敏性肺炎」的重要环节,何种表现指向预后不良?使患者发病的危害因素躲在哪些环境中?_https://www.jmylbn.com_新闻资讯_第24张
ero为什么不显示叶俏教授:HRCT是发现和鉴别「过敏性肺炎」的重要环节,何种表现指向预后不良?使患者发病的危害因素躲在哪些环境中?_https://www.jmylbn.com_新闻资讯_第25张


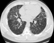
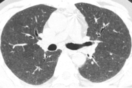
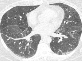
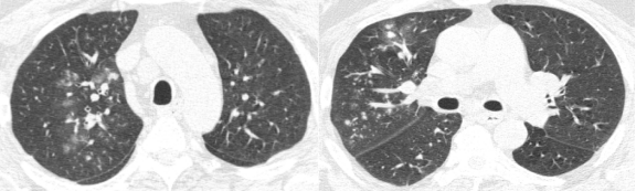
气体陷闭(air trapping)也是我们经常见到的征象,它往往是在呼气相CT时显现。高密度区提示正常肺脏,而低密度区提示的是气体陷闭。


ero为什么不显示叶俏教授:HRCT是发现和鉴别「过敏性肺炎」的重要环节,何种表现指向预后不良?使患者发病的危害因素躲在哪些环境中?_https://www.jmylbn.com_新闻资讯_第26张


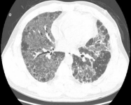
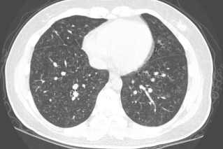
小叶中央型结节相对比较好理解,它不一定在双肺均匀分布,也可以呈局部分布的特征。


ero为什么不显示叶俏教授:HRCT是发现和鉴别「过敏性肺炎」的重要环节,何种表现指向预后不良?使患者发病的危害因素躲在哪些环境中?_https://www.jmylbn.com_新闻资讯_第27张
ero为什么不显示叶俏教授:HRCT是发现和鉴别「过敏性肺炎」的重要环节,何种表现指向预后不良?使患者发病的危害因素躲在哪些环境中?_https://www.jmylbn.com_新闻资讯_第28张
ero为什么不显示叶俏教授:HRCT是发现和鉴别「过敏性肺炎」的重要环节,何种表现指向预后不良?使患者发病的危害因素躲在哪些环境中?_https://www.jmylbn.com_新闻资讯_第29张


这份影像是磨玻璃影、境界不清的结节。


ero为什么不显示叶俏教授:HRCT是发现和鉴别「过敏性肺炎」的重要环节,何种表现指向预后不良?使患者发病的危害因素躲在哪些环境中?_https://www.jmylbn.com_新闻资讯_第30张
ero为什么不显示叶俏教授:HRCT是发现和鉴别「过敏性肺炎」的重要环节,何种表现指向预后不良?使患者发病的危害因素躲在哪些环境中?_https://www.jmylbn.com_新闻资讯_第31张


纤维化型HP与非纤维化型HP有一定的不同:呈纤维化型时,典型HP表现为不规则线状影、粗网格影伴肺扭曲、牵拉性支扩、蜂窝肺(不显著),不仅如此,还有小气道受累的疾病征象,比如小叶中央性结节/磨玻璃影、马赛克影、三种密度征、气体陷闭。


ero为什么不显示叶俏教授:HRCT是发现和鉴别「过敏性肺炎」的重要环节,何种表现指向预后不良?使患者发病的危害因素躲在哪些环境中?_https://www.jmylbn.com_新闻资讯_第32张


病例:这位患者是纤维化型HP,表现为磨玻璃影、小叶间隔增厚、细网格影。


ero为什么不显示叶俏教授:HRCT是发现和鉴别「过敏性肺炎」的重要环节,何种表现指向预后不良?使患者发病的危害因素躲在哪些环境中?_https://www.jmylbn.com_新闻资讯_第33张


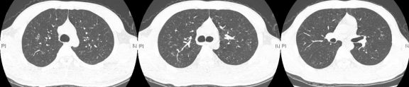
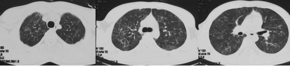
病例:这位患者表现为马赛克灌注(Mosaic perfusion),与马赛克影的相同点是都出现在吸气相CT,而马赛克灌注是指的在正常密度的肺脏下,吸气相CT看到了一些低密度区,这些低密度区这提示血管或气道疾病,提示血管减少、气体陷闭。


ero为什么不显示叶俏教授:HRCT是发现和鉴别「过敏性肺炎」的重要环节,何种表现指向预后不良?使患者发病的危害因素躲在哪些环境中?_https://www.jmylbn.com_新闻资讯_第34张


同时我们看到患者还伴有小叶中央型的磨玻璃样结节,可见吸气相(下图左)和呼气相(下图右)是有明显差别的。


ero为什么不显示叶俏教授:HRCT是发现和鉴别「过敏性肺炎」的重要环节,何种表现指向预后不良?使患者发病的危害因素躲在哪些环境中?_https://www.jmylbn.com_新闻资讯_第35张
ero为什么不显示叶俏教授:HRCT是发现和鉴别「过敏性肺炎」的重要环节,何种表现指向预后不良?使患者发病的危害因素躲在哪些环境中?_https://www.jmylbn.com_新闻资讯_第36张


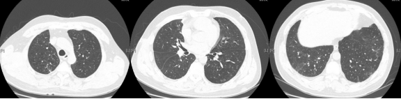
三种密度征(Three density pattern)里的三个区域分别是:高密度区提示磨玻璃影子,低密度区提示小气道疾病所累及的肺脏出现了气体陷闭的表现,还有一些正常的肺脏。


ero为什么不显示叶俏教授:HRCT是发现和鉴别「过敏性肺炎」的重要环节,何种表现指向预后不良?使患者发病的危害因素躲在哪些环境中?_https://www.jmylbn.com_新闻资讯_第37张


当出现三种密度征的时候,结合临床,能够高度提示这个患者是 HP。


这位慢性纤维化型过敏性肺炎患者就可以看到三种密度征、磨玻璃影、网格影、牵拉性支气管扩张,没有蜂窝。


ero为什么不显示叶俏教授:HRCT是发现和鉴别「过敏性肺炎」的重要环节,何种表现指向预后不良?使患者发病的危害因素躲在哪些环境中?_https://www.jmylbn.com_新闻资讯_第38张
ero为什么不显示叶俏教授:HRCT是发现和鉴别「过敏性肺炎」的重要环节,何种表现指向预后不良?使患者发病的危害因素躲在哪些环境中?_https://www.jmylbn.com_新闻资讯_第39张
ero为什么不显示叶俏教授:HRCT是发现和鉴别「过敏性肺炎」的重要环节,何种表现指向预后不良?使患者发病的危害因素躲在哪些环境中?_https://www.jmylbn.com_新闻资讯_第40张


病例:女,59岁,鸽子肺,GGO+网格影+囊腔:


ero为什么不显示叶俏教授:HRCT是发现和鉴别「过敏性肺炎」的重要环节,何种表现指向预后不良?使患者发病的危害因素躲在哪些环境中?_https://www.jmylbn.com_新闻资讯_第41张


病例:男,62岁,未知抗原,GGO+实变影:


ero为什么不显示叶俏教授:HRCT是发现和鉴别「过敏性肺炎」的重要环节,何种表现指向预后不良?使患者发病的危害因素躲在哪些环境中?_https://www.jmylbn.com_新闻资讯_第42张


病例:男,65,饲鸟者肺,GGO+可能UIP型


ero为什么不显示叶俏教授:HRCT是发现和鉴别「过敏性肺炎」的重要环节,何种表现指向预后不良?使患者发病的危害因素躲在哪些环境中?_https://www.jmylbn.com_新闻资讯_第43张


在鉴别诊断方面,胸部HRCT主要需要关注弥漫性小结节影、磨玻璃影、有无网格影。


一旦出现了双肺弥漫的腺泡结节,只能提示细支气管炎和肺泡炎,并不能提示是哪种疾病,HP、吸入煤尘、吸入电焊烟尘也可以出现类似表现,因此还需要进一步去分辨到底是暴露了哪种危险因素。[31]


ero为什么不显示叶俏教授:HRCT是发现和鉴别「过敏性肺炎」的重要环节,何种表现指向预后不良?使患者发病的危害因素躲在哪些环境中?_https://www.jmylbn.com_新闻资讯_第44张

图:HP、煤工尘肺、电焊工尘肺、siderosis、呼吸性细支气管炎


病例:男,23岁,咳嗽8月伴气短6月,患者在硬质合金刀具厂工作3年,接触粉尘:


ero为什么不显示叶俏教授:HRCT是发现和鉴别「过敏性肺炎」的重要环节,何种表现指向预后不良?使患者发病的危害因素躲在哪些环境中?_https://www.jmylbn.com_新闻资讯_第45张


脱离暴露7月后:[32]


ero为什么不显示叶俏教授:HRCT是发现和鉴别「过敏性肺炎」的重要环节,何种表现指向预后不良?使患者发病的危害因素躲在哪些环境中?_https://www.jmylbn.com_新闻资讯_第46张


这时需要进一步肺脏活检来证实,所以环境的暴露评估也非常重要。


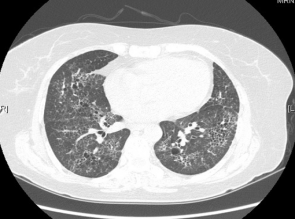
病例:男,48岁,接触钴酸锂5.5年。治疗前胸部HRCT,显示双肺磨玻璃影,以及马赛克影:


ero为什么不显示叶俏教授:HRCT是发现和鉴别「过敏性肺炎」的重要环节,何种表现指向预后不良?使患者发病的危害因素躲在哪些环境中?_https://www.jmylbn.com_新闻资讯_第47张


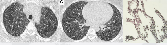
脱离暴露和糖皮质激素3月后,胸部HRCT较前改善:


ero为什么不显示叶俏教授:HRCT是发现和鉴别「过敏性肺炎」的重要环节,何种表现指向预后不良?使患者发病的危害因素躲在哪些环境中?_https://www.jmylbn.com_新闻资讯_第48张


外科肺活检,肺组织病理提示巨细胞性间质性肺炎(GIP)。


ero为什么不显示叶俏教授:HRCT是发现和鉴别「过敏性肺炎」的重要环节,何种表现指向预后不良?使患者发病的危害因素躲在哪些环境中?_https://www.jmylbn.com_新闻资讯_第49张
ero为什么不显示叶俏教授:HRCT是发现和鉴别「过敏性肺炎」的重要环节,何种表现指向预后不良?使患者发病的危害因素躲在哪些环境中?_https://www.jmylbn.com_新闻资讯_第50张


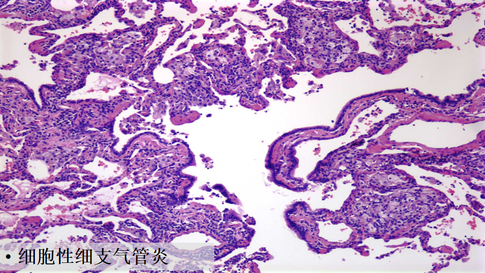
病例:这是电焊工尘肺(电焊烟尘暴露10年):


ero为什么不显示叶俏教授:HRCT是发现和鉴别「过敏性肺炎」的重要环节,何种表现指向预后不良?使患者发病的危害因素躲在哪些环境中?_https://www.jmylbn.com_新闻资讯_第51张


我们看到吸入粉尘颗粒这样的巨噬细胞分布在细支气管周围,形成了细胞性细支管炎以及巨噬细胞肺泡炎。


病例:还有一些患者,伴或不伴肺动脉高压,同时会出现严重呼吸困难、缺氧的情况,肺内出现磨玻璃影,有些患者会出现一些小的囊腔样改变。这个病虽然需要与HP相鉴别,但并不是HP,是肺毛细血管瘤病。[33]


ero为什么不显示叶俏教授:HRCT是发现和鉴别「过敏性肺炎」的重要环节,何种表现指向预后不良?使患者发病的危害因素躲在哪些环境中?_https://www.jmylbn.com_新闻资讯_第52张


这是因为肺毛血管网异常增生与遗传因素相关而导致的疾病,有些患者也存在环境暴露,需要鉴别诊断,而这些增生的毛细血管位于肺泡壁,所以导致气体交换障碍。


ero为什么不显示叶俏教授:HRCT是发现和鉴别「过敏性肺炎」的重要环节,何种表现指向预后不良?使患者发病的危害因素躲在哪些环境中?_https://www.jmylbn.com_新闻资讯_第53张


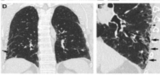
纤维化型HP的HRCT类型可能表现为UIP(probable UIP),但非常少见,发展为终末期可能出现蜂窝样改变。较早期的患者大多呈现为可能UIP型或不确定UIP型。[34]


可能UIP型以胸膜下和基底部分布为著,分布往往具有异质性网状影伴外周牵拉性支气管扩张或细支气管扩张,可能有轻度的磨玻璃影。 


ero为什么不显示叶俏教授:HRCT是发现和鉴别「过敏性肺炎」的重要环节,何种表现指向预后不良?使患者发病的危害因素躲在哪些环境中?_https://www.jmylbn.com_新闻资讯_第54张
ero为什么不显示叶俏教授:HRCT是发现和鉴别「过敏性肺炎」的重要环节,何种表现指向预后不良?使患者发病的危害因素躲在哪些环境中?_https://www.jmylbn.com_新闻资讯_第55张

图:牵拉性支气管扩张(柱状或囊状)


不确定UIP型以胸膜下和基底部分布为著,呈细网状影;可能有轻度的磨玻璃影或结构扭曲(早期UIP型肺纤维化的CT特征和/或分布,不提示任何特定病因(「真正」的不确定


ero为什么不显示叶俏教授:HRCT是发现和鉴别「过敏性肺炎」的重要环节,何种表现指向预后不良?使患者发病的危害因素躲在哪些环境中?_https://www.jmylbn.com_新闻资讯_第56张


药物性间质性肺炎病例:这是一位正在住院患者,男性,48岁,FVC 73.6%,FEV1/FVC 72.6%,TLC 71%,DLCO SB 71%,胺碘酮所致HP样改变:


ero为什么不显示叶俏教授:HRCT是发现和鉴别「过敏性肺炎」的重要环节,何种表现指向预后不良?使患者发病的危害因素躲在哪些环境中?_https://www.jmylbn.com_新闻资讯_第57张


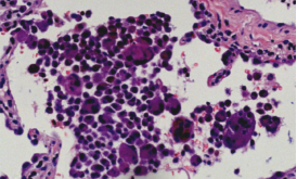
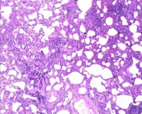
对于过敏性肺炎,我们除了做临床和肺功能的评估,还需要做支气管镜,支气管镜下可以看到淋巴细胞的数量和百分比都显著增加,箭头处可见激活的淋巴细胞胞浆丰富,核呈分叶状。[35]


ero为什么不显示叶俏教授:HRCT是发现和鉴别「过敏性肺炎」的重要环节,何种表现指向预后不良?使患者发病的危害因素躲在哪些环境中?_https://www.jmylbn.com_新闻资讯_第58张


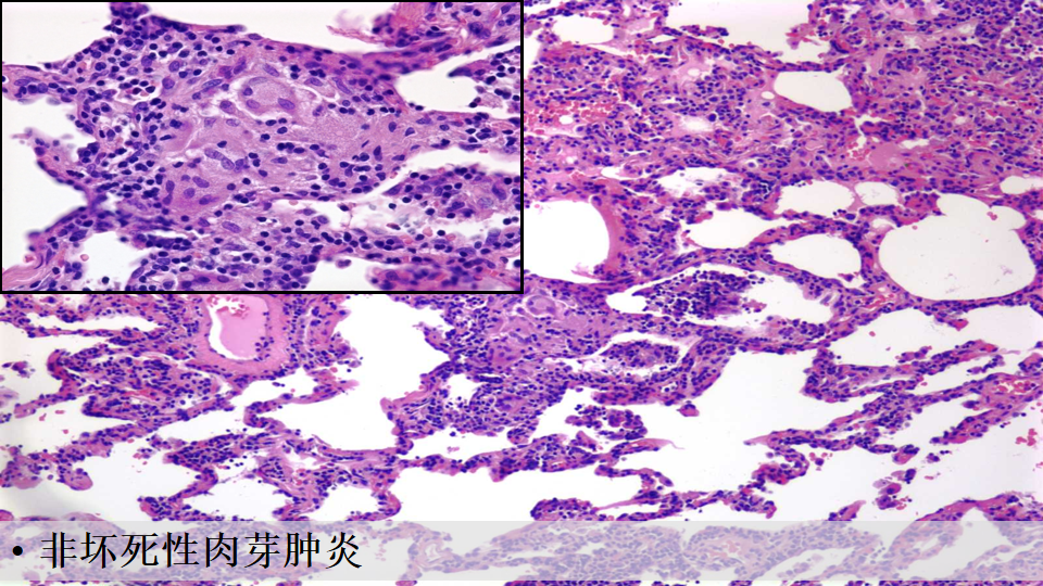
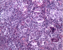
肺组织病理中,非纤维化型HP包括细胞性间质性肺炎(可见细支气管中心性分布,细胞性NSIP型,以淋巴细胞为著)、细胞性细支气管炎、未形成非坏死性肉芽肿(与结节病的肉芽肿呈显著差别)。纤维化型HP包括慢性纤维化性间质性肺炎(结构扭曲、成纤维细胞灶±胸膜下蜂窝肺纤维化性NSIP型)、气道中心性纤维化。


比如细胞性细支气管炎(下图左),可以看到很多淋巴细胞浸润;还有非坏死性肉芽肿炎(下图中),肉芽肿的边界并不清楚,有一些内上皮细胞和炎症浸润;细胞性慢性间质性肺炎——「NSIP样改变」(下图右)。


ero为什么不显示叶俏教授:HRCT是发现和鉴别「过敏性肺炎」的重要环节,何种表现指向预后不良?使患者发病的危害因素躲在哪些环境中?_https://www.jmylbn.com_新闻资讯_第59张
ero为什么不显示叶俏教授:HRCT是发现和鉴别「过敏性肺炎」的重要环节,何种表现指向预后不良?使患者发病的危害因素躲在哪些环境中?_https://www.jmylbn.com_新闻资讯_第60张
ero为什么不显示叶俏教授:HRCT是发现和鉴别「过敏性肺炎」的重要环节,何种表现指向预后不良?使患者发病的危害因素躲在哪些环境中?_https://www.jmylbn.com_新闻资讯_第61张

(点击图片可放大查看)


所以, HP的诊断往往需要多学科的共同参与,因为我们很难对每位患者进行环境评估和监测。


而在寻找可能暴露的抗原时,据我们的经验及研究报道,30-60%不能确定具体的抗原暴露。


因此,除了需要临床、影像和病理生理改变相一致(MDD)外,有些患者是需要支气管镜/外科胸腔镜做活检的,在支气管肺泡灌洗的基础上加TBLB,这样具有诊断价值的结果占到了2/3,如果能做经支气管冷冻肺活检,诊断阳性率会显著增高,如果有必要,有些患者需要做外科肺活检,能提供更多组织样本供病理诊断。


在治疗方面,首先是识别暴露源,避免继续暴露,伴有肺功能障碍的患者推荐的糖皮质激素初始剂量0.75-1mg/kg。对于非纤维化型的患者,即治疗比较及时,疗程往往在3-6个月,不超过1年可以停药、恢复。虽然没有随机对照试验证实,对于亚急性和慢性型,强的松/硫唑嘌呤等可以进行联合治疗。对于脱离暴露原,采用抗炎治疗仍呈现进展性纤维化表型的HP患者,可给予抗肺纤维化药物治疗。


简要小结


HP是一种复杂的综合征,在诊断过程中具有挑战性,需要多学科协同进行诊断。在治疗时,迅速识别和祛除抗原至关重要,一旦HRCT或肺活检显示肺纤维化,可能提示预后不良。部分纤维化型HP患者没有继续的抗原暴露,而病情仍然进展,其机制有待研究,可以进行抗肺纤维化药物治疗。识别职业和环境中的过敏原,进行有效地防护,是预防HP的一个重要措施。



参考文献 (可上下滑动浏览)


[1]ATS/ERS 2013

[2]Fink JN, et al. AJRCCM, 2005; 171:792-8
[3]An official ATS/JRS/ALAT clinical practice guideline. AJRCCM, 2020, 202(3):e36-e69
[4]Vourlekis J S, et al. Am J Med, 2004,116(10):662-668
[5]Walsh et al, Eur Radiol 2012
[6]Lacasse Y et al. AJRCCM 2003;168:952-958.
[7]Wijsenbeek M, et al. Curr Med Res Opin. 2019 
[8]Solaymani-Dodaran M, et al. QJM, 2007,100(4):233-7.
[9]Barber C M, et al. Occup Environ Med, 2017,74(7):528-30.
[10]Fernandez Perez ER, et al. Ann Am Thorac Soc, 2018, 15:460-9.
[11]Thomeer M J, et al. Eur Respir J Suppl, 2001,32:114s-118s.
[12]Spagnolo P, et al. J Investig Allergol Clin Immunol, 2015,25(4):237-250.
[13]David J, et al. N Engl J Med 2018, 378(19):1811-1823.
[14]Hanley A, et al. Respir Med, 2011,105(9):1373-1379.
[15]Bang K M, et al. Twenty-three years of hypersensitivity pneumonitis mortality surveillance in the  United States[J]. Am J Ind Med, 2006,49(12):997-1004.
[16]Bernstein D, 1995; Tillie-Leblond I, 2011
[17]Kahana LM, 1997; Hanak V, 2006
[18]Koschel D, 2006
[19]Koschel D, 2003, 
[20]Müller-Wening D, 2006
[21]Koschel D et al, Int Arch Allergy Immunol 2010
[22]Morell F et al, Scand J Work Environ Health 2010
[23]Metzger F et al, Chest 2010
[24]Lingenfelser et al, Allergologie 2010
[25]Liu S, et al. Cell Biochem Biophys, 2014, Oct 26.
[26]Camarena A et al, 2001
[27]Aquino-Galvez A et al, 2008
[28]Camarena A et al, 2010
[29]Ley B, et al, 2017
[30]Adegunsoye A, et al. Respir Med,2016;114:53-60.
[31]朱晓莉,叶俏等. 中国职业医学,2018
[32]Ye Q, et al. 2021
[33]Yeo et al. BMC Pul Med, 2019,19:133
[34]Raghu G, et al. Am J Respir Crit Care Med. 2018 Sep 1;198(5):e44-e68.
[35]U.Costabel



专家介绍

ero为什么不显示叶俏教授:HRCT是发现和鉴别「过敏性肺炎」的重要环节,何种表现指向预后不良?使患者发病的危害因素躲在哪些环境中?_https://www.jmylbn.com_新闻资讯_第62张

叶俏

主任医师、教授、博士生导师;北京朝阳医院职业病与中毒医学科主任,中华医学会呼吸分会间质病肺疾病学组委员;中国医师协会间质性肺疾病工作组委员;中华预防医学会职业病分会委员;国家卫计委尘肺病诊疗专家组委员 ;中国毒理学会灾害与应急专业委员会常委等。


本文由《呼吸界》编辑 Jerry 整理、排版,感谢叶俏教授的审阅修改!

ero为什么不显示叶俏教授:HRCT是发现和鉴别「过敏性肺炎」的重要环节,何种表现指向预后不良?使患者发病的危害因素躲在哪些环境中?_https://www.jmylbn.com_新闻资讯_第63张



本文完

未经许可,请勿转载


关注我们


ero为什么不显示叶俏教授:HRCT是发现和鉴别「过敏性肺炎」的重要环节,何种表现指向预后不良?使患者发病的危害因素躲在哪些环境中?_https://www.jmylbn.com_新闻资讯_第64张

点击文末「阅读原文」进入《呼吸界》官方网站查看更多