什么是超声容积探头超声造影,你了解吗?

新闻资讯2026-04-23 20:07:52

点击蓝字 关注我们    SUBSCRIBE to US


随着现代影像技术的发展,对于疾病准确诊断的要求越来越高。当你盆腔肿块、占位时,一定心存疑惑,到底是良性还是恶性?


想尽办法弄清究竟,选择安全、无创的检查方法帮助医生做出更加准确的判断,是影像科医生努力的方向。强化CT或磁共振(MR) 也叫做增强CT或MR,是指是在平扫的基础上,静脉注射造影剂,对可疑部位进行检查,提高诊断准确率的一种手段,临床上得以广泛应用。


在超声检查方面也有一种重要的辅助方法,对于难以确诊的妇科病变有独到的优势,今天就让我们了解一下吧。


什么是超声容积探头超声造影,你了解吗?_https://www.jmylbn.com_新闻资讯_第1张



01

什么是超声造影


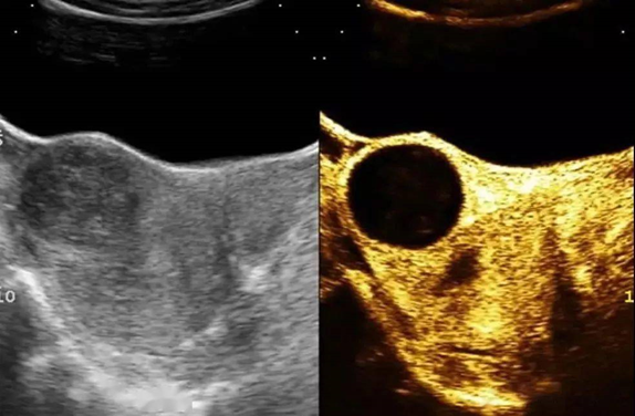
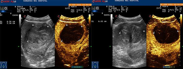
超声造影(CEUS)是在常规超声检查的基础上,利用微泡超声造影剂和低机械指数造影成像技术,动态观察正常组织和病变组织的血流灌注情况,用于检查普通超声难以确诊的妇科病变、子宫肌瘤非手术治疗后的疗效评估、怀疑女性输卵管阻塞的患者,整个过程约5~8分钟左右。微泡超声造影剂目前推荐阳性造影剂声诺维



02

声诺维安全吗?如何使用?


声诺维,即注射用微小气泡六氟化硫(SF6),通过静脉注射超声造影剂,利用血液中造影剂气体微泡增强组织内微血管的显示,有利于清晰显示病灶及血供情况。


六氟化硫是一种惰性无毒气体,直径为2-10μm,可通过人体内最微小的毛细血管,对人体肝肾功能不会产生毒副作用,在水溶液中溶解度极低,溶解在人体的血液中可稀释300倍,注射15分钟后几乎所有的六氟化硫气体都已随呼吸呼出,所以超声造影是一种相对安全、有效、无创的检查方法。


造影剂的配制参照说明书,首先将声诺维加入0.9%氯化钠溶液配成 5 ml 混悬液,再将混悬液按 1 :10 ~ 40 的比例稀释后混匀备用。采用以下两种方式给药:经静脉注射和经管道注入 (如输卵管等) 。



03

普通超声检查仪能做超声造影吗


超声造影需要使用具备超声造影功能的超声检查仪及与其匹配的探头,需要安装低机械指数超声造影特异性成像软件( CSI ),如果行三维超声造影,则还需配备具有 CSI 技术的腔内三维容积超声探头。



04

哪些情况需要做超声造影


1. 附件区肿块:当附件区肿块内部有类实性成分时,可借助超声造影观察其大小、边界、内部回声情况、血流供应、有无活性组织,进一步判断肿块的良恶性及组织来源。


2. 评判子宫肌瘤非手术治疗效果,如:动脉栓塞、消融治疗后疗效评估。


3. 另外,超声造影在宫腔内占位的诊断、判断子宫内膜癌及子宫颈癌浸润方面也有很好的参考价值。



05

检查方法及注意事项


造影前先行超声检查,将超声探头切面固定于目标区域,切换到造影成像模式,调节成像条件,注射声诺维并开始计时,当造影剂微泡到达目标时,缓慢扇形扫查病灶区域,观察造影剂灌注情况,连续存贮超声造影2分钟以内的图像,如有必要可存贮3分钟。


对于附件区多房囊性肿块,应选择血流最丰富的区域,对于附件区囊实性占位,则要选择实性部分为目标,建议显示部正常组织作为参照,如有造影剂灌注增强,提示有活性组织。


如检查失败,可采取 2 次推注,间隔时间应10 分钟以上,以保证循环中的微泡全部清除。



06

妇科疾病超声成像有哪些特征


对于盆腔肿块超声造影评价方法及指标尚无统一的标准,将造影时相分为增强早期及增强晚期。


增强早期指子宫动脉开始灌注至子宫肌层灌注,回声增强达峰值的过程,增强晚期指自子宫肌层回声开始减低至造影前水平的过程。


恶性病灶往往增强早且消退快,增强稍高或等增强,增强形态不均匀;良性病灶常表现为增强晚于子宫肌层,呈等或低增强,增强形态较均匀。


附件区肿块:无血流灌注的附件区占位,绝大部分为良性病变;如有造影剂灌注增强,则提示为活性组织。


卵巢良性肿瘤的强化程度低,强化时间晚,超声造影曲线为缓升缓降型;卵巢恶性肿瘤的开始增强时间、增强峰值时间和平均通过时间均明显短于卵巢良性肿瘤,增强峰值强度和增强曲线下面积均明显大于卵巢良性肿瘤;子宫内膜异位囊肿及畸胎瘤中的类实性成分往往没有增强;附件区脓肿造影时常表现为较典型的不均匀多房环状增强,环内呈无增强。


子宫肌瘤超声造影表现为增强早期周围假包膜环状增强,内部增强与肌层同步,达峰后,肌瘤呈均匀或不均匀稍高增强,增强晚期瘤体与肌层造影剂开始消退,周围假包膜消退时间较长,与肌层出现明显分界。


子宫腺肌瘤由于没有假包膜,增强早期呈点状或短线状增强,与周围肌层同步,呈稍高增强或等增强,增强晚期与肌层同步消退或稍早于肌层消退,与其周围无明显边界。当热消融和栓塞有效时,显示病灶区无造影剂灌注,复查发现病灶区无造影剂灌注,病灶逐渐缩小。



07

超声造影有哪些优势


1. 实时动态观察:造影剂注入后实时动态观察组织病变整个血流灌注过程。


2. 安全、可重复:造影剂注射后15分钟即可经呼吸道完全排出,不会对人体产生危害,短期内可重复检查。


3. 无辐射。



08

超声造影的局限性


目前尚无充分证据表明,超声造影能明显提高鉴别诊断的准确性,对于附件区肿块的良恶性鉴别,不推荐首选超声造影,普通超声仍是首选检查方法


对于子宫肌瘤消融治疗效果判断:尽管超声造影可观察肌瘤内血供,但治疗区与周围组织的关系,但不及磁共振直观、准确,尤其是与直肠、膀胱后壁或前腹壁之间的关系,可能影响治疗效果判断的准确性。


什么是超声容积探头超声造影,你了解吗?_https://www.jmylbn.com_新闻资讯_第2张

聚焦超声消融子宫肌瘤



参考文献:


1 中国医师协会超声医师分会妇产学组 . 妇科超声造影临床应用指南.中华医学超声杂志, 2015, 12(2): 94-98.


2 经静脉超声造影在妇科疾病诊疗中的应用进展.影像研究与医学应用.2023.7:10-12.


关 注 

 我 们

什么是超声容积探头超声造影,你了解吗?_https://www.jmylbn.com_新闻资讯_第3张

女性健康数据线

聊城市人民医院妇科

什么是超声容积探头超声造影,你了解吗?_https://www.jmylbn.com_新闻资讯_第4张

聊医生殖

聊城市人民医院生殖科

什么是超声容积探头超声造影,你了解吗?_https://www.jmylbn.com_新闻资讯_第5张

求分享

什么是超声容积探头超声造影,你了解吗?_https://www.jmylbn.com_新闻资讯_第6张

求点赞

什么是超声容积探头超声造影,你了解吗?_https://www.jmylbn.com_新闻资讯_第5张

求在看