什么是血管机神器落地 | 我院引进GE Optima IGS 330数字减影血管造影机

新闻资讯2026-04-23 20:02:10

经过前期精心筹备

番禺区第二人民医院

介入导管室正式启动运行


什么是血管机神器落地 | 我院引进GE Optima IGS 330数字减影血管造影机_https://www.jmylbn.com_新闻资讯_第1张


什么是血管机神器落地 | 我院引进GE Optima IGS 330数字减影血管造影机_https://www.jmylbn.com_新闻资讯_第2张



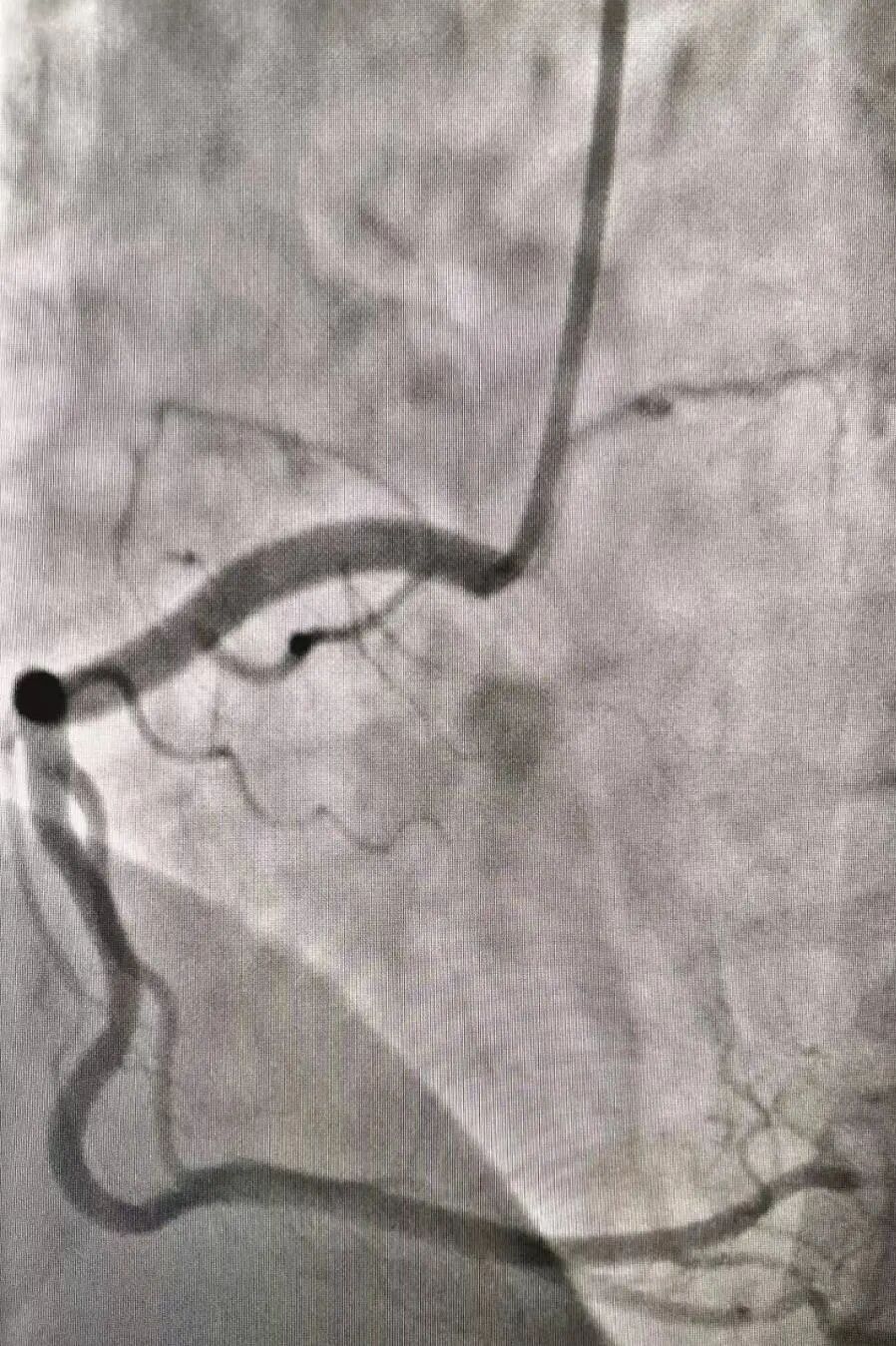
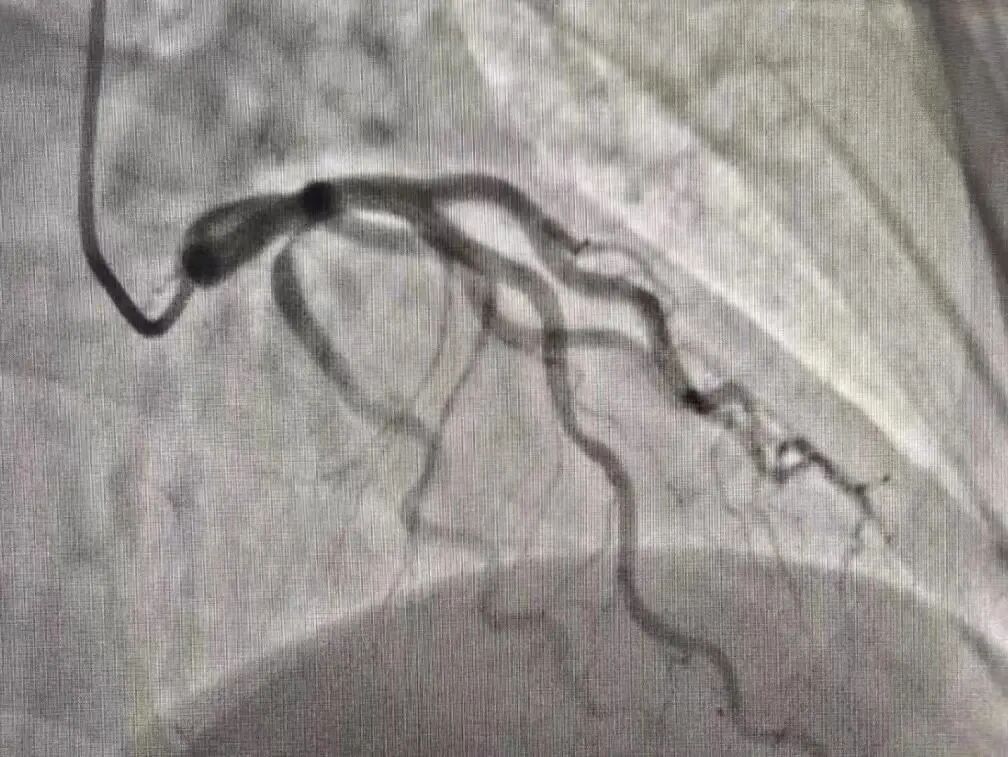
番禺二院介入导管室引进GE Optima IGS 330数字减影血管造影机,为美国GE公司推出的业内最新型号,代表国际最先进水平的大型数字平板血管造影机(DSA),该设备的引进使医院介入技术出现质的飞跃,为医院专科建设迈上新台阶补充了硬实力,为辖区群众提供更好的健康保障服务。


什么是血管机神器落地 | 我院引进GE Optima IGS 330数字减影血管造影机_https://www.jmylbn.com_新闻资讯_第3张

目前,神经医学科、心内科、普外科、放射科在介入导管室已成功开展冠心病的介入治疗,心律失常的射频消融,临时、永久的起搏器植入,外周血管介入,神经介入,ERCP等手术共345台。


什么是血管机神器落地 | 我院引进GE Optima IGS 330数字减影血管造影机_https://www.jmylbn.com_新闻资讯_第4张
什么是血管机神器落地 | 我院引进GE Optima IGS 330数字减影血管造影机_https://www.jmylbn.com_新闻资讯_第5张
什么是血管机神器落地 | 我院引进GE Optima IGS 330数字减影血管造影机_https://www.jmylbn.com_新闻资讯_第6张
什么是血管机神器落地 | 我院引进GE Optima IGS 330数字减影血管造影机_https://www.jmylbn.com_新闻资讯_第7张
什么是血管机神器落地 | 我院引进GE Optima IGS 330数字减影血管造影机_https://www.jmylbn.com_新闻资讯_第8张


让血管病变无所遁形


此设备是心血管介入、神经介入及外周血管介入和肿瘤介入等手术治疗的理想选择,能够发现毫米级的血管异常,以及用其他血管机难以诊断的细微病变。


1

头颈部血管

DSA 技术在脑血管疾病以及颅脑的肿瘤等方面有着极大的诊断价值。主要用于检查颈动脉起始部,动脉起始部,颈内,颈外,椎动脉系统,基底动脉系统。其诊断的准确性、敏感性、科学性方面都很高。

2

胸部血管系统

DSA 技术可用于心脏以及周围大血管的成像,其主动脉弓以及主动脉显示上更加的清晰。可用于诊断主动脉夹层动脉瘤及显示大动脉炎病变范围。

3

腹部血管系统

DSA 技术用于显示如下部位:腹主动脉,肾动脉,腹腔动脉,肠系膜上动脉,肠系膜上静脉,腹动脉狭窄,动脉粥样硬化。该技术目前广泛应用于临床的肝肾等重要动脉造影。

4

四肢血管系统

DSA 技术可诊断躯干各动脉以及分支的阻塞和狭窄,可以精准地诊断患者的动脉瘤以及各种动脉的畸形。

5

介入放射学应用

DSA 技术用于实时具体的显示导管和导丝在患者动脉血管中的走向状况,为介入科医师准确牵引导丝提供了科学的参考依据。也有助于诸多介入手术如出血病灶,畸形血管堵塞,肿瘤血管,局部药物注射,腔内成形术等的具体操作。


IGS 330数字减影血管造影机

有什么优势?


该设备具有X线辐射剂量业内最低、图像高度清晰、软件功能强大等特点,特别是大C臂具有的心室定量分析和冠状动脉血管测量分析、血管狭窄定量分析、穿刺导航、下肢跟踪造影、高级路径图技术、三维图像重建等最新功能。令微创介入手术更安全,更快捷,更准确地完成。能更好的满足患者对介入诊疗的需求,提供更好的诊疗服务。


IGS 330数字减影血管造影机,所获得的高清晰度图像对介入手术意义重大,可实现高清微剂量成像,最大限度降低患者和医务人员的辐射剂量,倍加呵护医生和病人的健康。


目前血管机已经广泛应用在全身各部位的血管和肿瘤的检查和介入微创治疗。医学界公认,血管机检查是所有血管疾病检查的“金标准”。


什么是血管机神器落地 | 我院引进GE Optima IGS 330数字减影血管造影机_https://www.jmylbn.com_新闻资讯_第9张
什么是血管机神器落地 | 我院引进GE Optima IGS 330数字减影血管造影机_https://www.jmylbn.com_新闻资讯_第10张



介入导管室专家团队介绍


什么是血管机神器落地 | 我院引进GE Optima IGS 330数字减影血管造影机_https://www.jmylbn.com_新闻资讯_第11张

巨清

神经医学科科主任

学科带头人


·世界华人医师协会、世界华人神经外科协会颅脑创伤专业委员会委员

·中国急诊医学神经急诊分会委员

·广东省基层医药学会神经外科专业委员会委员

·广东省中西医结合学会卒中专业委员会委员

·广州市番禺区脑卒中治疗质量控制中心专家委员会副主委


从事神经外科医、教、研工作二十余年,擅长颅底颅脑肿瘤、垂体瘤、脊髓肿瘤、脑血管病、脑卒中、重型颅脑损伤的诊断与治疗。


具体业务:急性脑梗死静脉溶栓、动脉取栓术;脑动脉瘤、血管畸形介入栓塞术;颅内动脉狭窄、颈动脉狭窄、椎动脉狭窄支架植入血管成形术;显微手术治疗各部位颅脑肿瘤(脑膜瘤、胶质瘤、垂体瘤、听神经瘤等)、椎管内肿瘤、脑动脉瘤、脑血管畸形等;显微技术颈动脉狭窄内膜剥脱术;锁孔技术治疗前循环动脉瘤、前颅窝底脑膜瘤;神经内镜技术治疗垂体瘤、脑出血;高血压脑出血个体化治疗(神经内镜手术、显微手术、度若飞激光定位微创手术等);开颅+神经内镜技术治疗三叉神经痛、面肌痉挛;各类颅脑损伤及重型颅脑损伤的救治。


什么是血管机神器落地 | 我院引进GE Optima IGS 330数字减影血管造影机_https://www.jmylbn.com_新闻资讯_第12张

黄盛

心血管内科主任

心血管内科副主任医师


·广东省健康管理学会广州东部心脏急救中心专业委员会常务委员

·番禺区医学会心血管病委员会常委

·番禺区第二人民医院胸痛中心医疗总监


毕业于皖南医学院临床医学系。1998年参加工作,三甲医院心内科工作16年。2010年于国家心血管疾病介入诊疗培训基地(上海市胸科医院)取得国家冠心病介入诊疗资质。擅长冠状动脉介入治疗手术,已独立完成冠状动脉介入手术1300余例。能独立完成心脏起搏器,肺动脉造影及碎栓术,下肢静脉滤器安置术等血管介入治疗。


什么是血管机神器落地 | 我院引进GE Optima IGS 330数字减影血管造影机_https://www.jmylbn.com_新闻资讯_第13张

许静

心内科副主任 

心血管内科主治医师


·广东省医师协会心脏起搏与电生理专业医师分会委员

·广东省医学教育协会心脏内科学专业委员会委员

·番禺区医学会心血管病委员会委员


毕业于安徽医科大学。2005年起,从事心血管内科临床工作,在三甲医院心血管内科工作10余年,对心血管系统常见病、多发病的诊疗经验丰富。2013年于国家心血管疾病介入诊疗培训基地(北京安贞医院)取得心律失常植入器械、导管消融两项介入诊疗资质。擅长心血管内科危急重症救治及心律失常疾病介入诊疗。参与完成广东省医学科学技术研究课题1项,发表专业医学论著数篇。


什么是血管机神器落地 | 我院引进GE Optima IGS 330数字减影血管造影机_https://www.jmylbn.com_新闻资讯_第14张

刘强

神经医学科副主任


2007年毕业于新疆石河子大学医学院临床医学系,本科,医学学士,一直从事神经外科工作。


2018年到新疆医科大学神经血管外科进修学习半年,2021年9月到山东聊城脑科医院学习3个月。


擅长颅脑外伤、高血压性脑出血,脑动脉瘤,血管畸形,脑肿瘤,椎管内肿瘤的诊断治疗及手术治疗,擅长急性脑梗塞的桥接和机械取栓治疗。在国家级、省级医学期刊发表医学论文数篇。



什么是血管机神器落地 | 我院引进GE Optima IGS 330数字减影血管造影机_https://www.jmylbn.com_新闻资讯_第15张

李冬胜

放射科医疗组长

放射科主治医师


·广州市医师协会放射分会委员

·广州市番禺区医师协会放射分会常务委员


毕业于南方医科大学,医学影像专业,从事医学影像诊断与放射治疗16年。先后三次到珠江医院进行学习。业务范围:影像诊断与外周血管、非血管介入治疗,包括:良、恶性肿瘤介入治疗、外周血管腔内成形及支架植入、急性出血栓塞治疗、滤器植入、椎间盘介入治疗等。


什么是血管机神器落地 | 我院引进GE Optima IGS 330数字减影血管造影机_https://www.jmylbn.com_新闻资讯_第16张
什么是血管机神器落地 | 我院引进GE Optima IGS 330数字减影血管造影机_https://www.jmylbn.com_新闻资讯_第17张
什么是血管机神器落地 | 我院引进GE Optima IGS 330数字减影血管造影机_https://www.jmylbn.com_新闻资讯_第18张
什么是血管机神器落地 | 我院引进GE Optima IGS 330数字减影血管造影机_https://www.jmylbn.com_新闻资讯_第19张



番禺二院已具备高素质的神经医学科、心血管内科、放射科等专家团队和成熟的设备条件开展各类介入治疗,介入导管室由一支年轻朝气的技术骨干组成,熟悉各类介入手术的配合。番禺二院介入治疗新技术的成功开展,推动医院多个重点专科向着精准化、规范化方向发展,有效缓解群众看病难、看病远的“老大难”问题,为广大患者提供更近、更便捷、更优质的诊疗服务。





什么是血管机神器落地 | 我院引进GE Optima IGS 330数字减影血管造影机_https://www.jmylbn.com_新闻资讯_第20张

疫情防控  人人有责

谢谢您的配合!


什么是血管机神器落地 | 我院引进GE Optima IGS 330数字减影血管造影机_https://www.jmylbn.com_新闻资讯_第21张

什么是血管机神器落地 | 我院引进GE Optima IGS 330数字减影血管造影机_https://www.jmylbn.com_新闻资讯_第22张