ero为什么不显示二尖瓣关闭不全CT表现

新闻资讯2026-04-17 12:26:52

点击蓝字

ero为什么不显示二尖瓣关闭不全CT表现_https://www.jmylbn.com_新闻资讯_第1张

关注我们

心脏CT正常解剖

ero为什么不显示二尖瓣关闭不全CT表现_https://www.jmylbn.com_新闻资讯_第2张


X线胸片心血管影像解剖

ero为什么不显示二尖瓣关闭不全CT表现_https://www.jmylbn.com_新闻资讯_第3张


二尖瓣关闭不全(mitral regurgitation,MR)指二尖瓣瓣叶在收缩期不完全闭合,导致血液反流进入左心房。

临床分级

基于射流紧缩口宽度的大小(VC)、反流容积(RVol)、反流分数(RF)和有效反流口面积(ERO),二尖瓣关闭不全程度的分级如下:


轻度:VC 1~3mm,RVol <30ml,RF <30%,ERO <0.2cm2


中度:VC 4~6mm,RVol 30~59ml,RF 30%~49%,ERO 0.2~0.39cm2


重度:VC >7mm,RVol >60ml,RF >50%,ERO >0.4cm2


缺血性二尖瓣反流严重性的分级较为严格,严重的缺血性二尖瓣流:RVol >45ml,RF >40%,ERO >0.3cm2


影像检查技术与优选

X线胸片:可直观显示心脏大小、肺血情况,是为常规检查手段。


超声心动图:在诊断二尖瓣关闭不全、判断病因及修复可能性、定量严重程度方面占据重要位置。多普勒超声是估测肺动脉收缩压的有效工具,运动负荷超声心动图,对于无症状或稳定患者的检测有较大帮助。


CT:可以直观显示导致二尖瓣关闭不全的瓣叶脱垂的经典征象、因感染性心内膜炎所致的瓣膜周脓肿,以及冠状动脉的通畅程度,成为常用的二线检查方法。


心脏MRI:可精确定反流量,与定量多普勒成像的相关性良好。心脏MRI是测量心室容积、左心室心肌质量最精确的无创技术。


影像学表现

1.X线表现:急性期,通常心脏大小正常,可有不对称肺水肿,以右肺上叶较严重。慢性期,以左心室扩张为特征。晚期,可有肺动脉高压和右心的扩张,表现为残根状肺门、心尖圆钝上翘、胸骨后间隙闭塞。



2.CT表现

直接征象可见二尖瓣逆行进入左心房、超过二尖瓣环平面2mm、呈连枷状或皮带扣状。

ero为什么不显示二尖瓣关闭不全CT表现_https://www.jmylbn.com_新闻资讯_第4张
ero为什么不显示二尖瓣关闭不全CT表现_https://www.jmylbn.com_新闻资讯_第5张

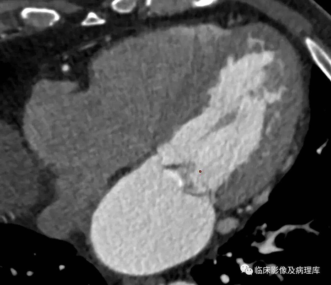
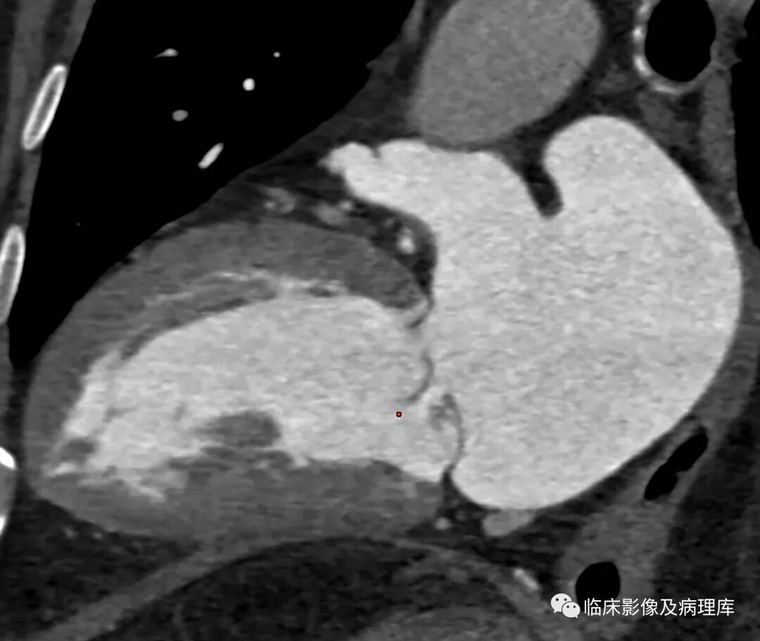
二尖瓣脱垂CT表现

上图分别为轴位及心室长轴位,显示收缩期二尖瓣后叶突向左心房内


间接征象,急性期可表现为肺泡性肺水肿,以右肺上叶为著。慢性期主要为左心房、室增大。晚期则表现为肺动脉及主要分支的显著扩张并右心房、室的增大。感染性心内膜炎的患者常见瓣膜增厚、钙化及瓣周脓肿形成。

诊断要点

超声心动图、心脏CT或MRI电影成像,显示心室收缩期血流自左心室反流至左心房,为二尖瓣关闭不全的主要征象。二尖瓣逆行进入左心房、超过二尖瓣环平面2mm、呈连枷状或皮带扣状,则考虑为二尖瓣脱垂。


左心房、室扩张为常见继发征象。在感染性心内膜炎病例中,常见二尖瓣瓣增厚、钙化及瓣周脓肿形成。


鉴别诊断

1. 退行性二尖瓣疾患:本病占二尖瓣关闭不全全部病例的60%~70%,以中老年常见,常因腱索断裂,使二尖瓣脱垂或瓣叶连枷所致,70%病例为后叶受累。


2. 缺血性二尖瓣反流:占所有病例的20%。发生于心肌梗死患者,为心室重构导致的功能性二尖瓣反流。二尖瓣瓣叶通常形态正常,但左心室重构和扩张、乳头肌移位,通过腱索牵拉二尖瓣造成不完全对合,有时有乳头肌断裂。本型少见,但可造成严重的急性二尖瓣关闭不全。


3. 感染性心内膜炎:占所有病例的2%~5%。有免疫抑制药物使用史的患者,以发热、白细胞升高、血细菌培养阳性就诊,发现二尖瓣与主动脉瓣不规则赘生物,主动脉瓣瓣周脓肿出现,则需高度怀疑感染性心内膜炎。


4. 风湿性心脏病:风湿性心脏病导致单纯性二尖瓣关闭不全非常少见。最常见的是合并二尖瓣狭窄及主动脉瓣病变。瓣膜增厚、钙化,巨大的左心房,肺动脉及右心扩大,肺间质水肿及胸腔积液是常见征象。


识别二维码,发现更多影像好书

ero为什么不显示二尖瓣关闭不全CT表现_https://www.jmylbn.com_新闻资讯_第6张








更多详细表述,请翻阅

《中华影像医学·心血管系统卷》第2版

主编:金征宇  吕  滨


点击小程序

好书常相伴

更多心血管影像学相关内容,请点击以下链接


心脏MRI正常解剖和测量值

  • 冠状动脉造影适应证及常用体位

  • 心脏和大血管读片方法及分析诊断思路

  • 如何评价各种影像学检查方法在肥厚型心肌病中的应用价值?

  • 凶险的心脏机械性并发症,我们凝练了影像方法的选择和诊断要点

  • 先天性心脏病节段分析法


更多权威影像知识

请关注第五届中国出版政府奖获奖图书——中华影像医学丛书

期待你的

分享

点赞

在看


点击 阅读原文 ,直达人卫影像书店