什么是病理蜡块【病理技术分享】精确诊断添利器胸腹水细胞蜡块

新闻资讯2026-04-23 19:33:45

什么是病理蜡块【病理技术分享】精确诊断添利器胸腹水细胞蜡块_https://www.jmylbn.com_新闻资讯_第1张什么是病理蜡块【病理技术分享】精确诊断添利器胸腹水细胞蜡块_https://www.jmylbn.com_新闻资讯_第2张原作者:秦天呈,北京中医药大学东方医院病理科

理细胞学制作蜡块(Cell-Block)的技术就是将送检的样本,通过病理技术流程的处理,制作成细胞学常规蜡块,将细胞成分保存在蜡块中,从而切片进行显微镜下精确诊断。细胞蜡块是细胞学标本的石蜡包埋版本,可与手术病理学标本中的福尔马林固定石蜡(FFPE)组织对比,能够对细胞学标本提供各种辅助性的检测,包括分子检测的机会,越来越多实践证明,随着新的免疫组化标记的不断添加和技术进步,其临床应用也在进一步增强。此外,如果细胞块得到妥善的保存,未来也可以作为回溯性研究的重要组织来源。因此随着个体化诊疗的快速发展,细胞病理学诊断价值也逐步凸显,将胸膜腔、腹膜腔、心包膜腔积液、脑脊液等样本进行采集,制成固体细胞蜡块,再进行类似组织学的切片及其基础上的免疫分子病理学检测,将组织学诊断优势转化到细胞学当中,从而提高细胞病理学的阳性检出率。

什么是病理蜡块【病理技术分享】精确诊断添利器胸腹水细胞蜡块_https://www.jmylbn.com_新闻资讯_第3张

一、细胞蜡块的临床意义

病理学与临床各学科之间存在着广泛而密切的联系,各类疾病有赖于病理学作为诊断的“金标准”,对于无法或不便取得组织学标本的病例,临床医师只能根据症状、影像学及实验室检查等手段作出诊断,而对疾病的病理类型,原发或转移,及组织来源等与诊疗息息相关的个体化信息却难以获得。而细胞蜡块技术不仅克服了传统涂片收集细胞少,背景细胞干扰因素大等弊端,可便于连续切片以供会诊或各种特殊染色、细胞化学染色、免疫细胞化学染色、免疫荧光原位杂交、PCR等。能及时准确地为临床提供充分有力的诊断依据,为当下精准医疗为主的肿瘤个体化治疗提供有力保障。


二、细胞蜡块的优势

脱落细胞学检查是目前临床应用实践较长,广泛应用的一种诊断鉴别良恶性浆膜腔积液的方法,因其简单、安全快捷、费用较低,结果准确而受到临床医务人员的青睐。然而传统的细胞学涂片检查后仍有30-50%的患者难以明确诊断,胸水细胞明确诊断率为47.5%,联合胸膜活检诊断率为80%,近年来一直在寻找更好方法来提高确诊率,随着病理学技术的发展,免疫组化融合细胞学监测的方法,为在细胞学基础之上用石蜡包埋技术,通过免疫组化标记方法诊断疾病,这种方法更接近组织石蜡技术,为明确诊断起到重要作用,在部分文献中其明确诊断率为90%。

什么是病理蜡块【病理技术分享】精确诊断添利器胸腹水细胞蜡块_https://www.jmylbn.com_新闻资讯_第4张
什么是病理蜡块【病理技术分享】精确诊断添利器胸腹水细胞蜡块_https://www.jmylbn.com_新闻资讯_第5张

三、细胞蜡块的制备方法

在实践过程中,已经出现了许多细胞蜡块的制备方法,主要包括了:(1)基于凝胶的方法包括明胶法、琼脂法及专有凝胶(ThermoScientific)等;(2)基于凝血的方法,包括化学机理的蛋清-酒精法、海藻酸钙法苦味酸盐法和酶促凝结机理的血浆蛋白-凝血酶法;(3)基于物理媒介的方法,包括:火棉胶法、专有过滤器、明胶泡沫、泡沫滤芯装置等方法。(4)其他方法。使用何种方法根据不同医疗机构的偏好和目的不同而定,我科开展的细胞蜡块制作方法为血浆/纤维蛋白-凝血酶法,血浆(可使用血库中的合并血浆)和凝血酶制备细胞蜡块,可通过向两滴血浆中加入两滴凝血酶溶液来顶起检查试剂稳定性,血浆应在30秒内凝结。

什么是病理蜡块【病理技术分享】精确诊断添利器胸腹水细胞蜡块_https://www.jmylbn.com_新闻资讯_第6张

秀威-一次性离心管系列

什么是病理蜡块【病理技术分享】精确诊断添利器胸腹水细胞蜡块_https://www.jmylbn.com_新闻资讯_第7张

图1血浆蛋白-凝血酶法方法操作示意图

操作步骤如下图所示:标记样本→离心并弃去上清→沉积物与血浆溶液混合→将样品移至1.5ml离心管→将0.5ml凝血酶工作液滴入,轻轻混合,混合物通常在十数秒内凝结→将细胞块从试管转移至滤纸上→用牙签轻轻将沉淀物聚拢包裹在滤纸中,使用伊红染色,然放入组织包埋盒中,放入福尔马林中固定。之后按照石蜡包埋的方案处理。HE染色切片镜下显示出随机且不加选择分布的诊断细胞,背景中可能混合有血液和蛋白质等。

什么是病理蜡块【病理技术分享】精确诊断添利器胸腹水细胞蜡块_https://www.jmylbn.com_新闻资讯_第8张

图2病理科细胞蜡块制作过程


秀威全封闭组织脱水机——


单缸/双缸系列

 1、一机多用;

 2、稳定性好,功能多,安全放心;

 3、容量从(包埋盒数量) 80个/ 120个/ 220个/ 380个/  450个/ 660个/ 900个都有

全封闭组织脱水机

什么是病理蜡块【病理技术分享】精确诊断添利器胸腹水细胞蜡块_https://www.jmylbn.com_新闻资讯_第9张

脱水模式

大小组织的同时、独立分开处理、大小组织常规+快速。



30分钟快速脱水

使用快速脱水试剂,脱水时间可缩短至30分钟,整体提升制片速度,大大缩短等待时间。


多重保护系统

专利防堵管路系统,双泵系统,温度异常保护系统,智能自动切换系统,双加热双测温系统,保护组织脱水安全。


试剂浓度测定选标

全球首款采用,福尔马林、酒精、二甲苯,浓度测定技术,以数据为基础,保证脱水质量,实现科学管理和节省试剂。


试剂一键抽排功能

三组光学传感器为合理分配试剂、石蜡自动置换;自动试剂排位;提供有力保证。


点击“秀威脱水机”了解更多信息


什么是病理蜡块【病理技术分享】精确诊断添利器胸腹水细胞蜡块_https://www.jmylbn.com_新闻资讯_第10张

四、影响细胞蜡块结果的因素

细胞学诊断是诊断人体脱落或剥离的细胞的技术,细胞学诊断的有效性与准确性来自于(1)标本采集方法;(2)固定和固定剂;(3)样本前处理;(4)准备用于显微镜检查和染色的材料;(5)制片与封片。

什么是病理蜡块【病理技术分享】精确诊断添利器胸腹水细胞蜡块_https://www.jmylbn.com_新闻资讯_第5张

五、决定成败的开端-样本采集

良好的样本采集是细胞蜡块制作的前提,胸腹水、心包积液等浆膜腔积液样本采集要求:标本由临床医师完成取样:(1)同时行TCT和细胞涂片的临床样本采集量推荐300-500ml;(2)采样前应预先向容器中加入抗凝剂,具体比例为每250ml积液加入1ml肝素(12500单位/支),或枸橼酸钠3.8%以1:10比例预先加入;(3)标本处理应在2小时之内,不能及时送检的标本应放置4度冷藏,应在病理申请单上应注明标本采集时间及是否抗凝。最终细胞蜡块制作的质量很大程度上取决于收集标本后细胞的保存与运输及直至固定步骤的时间长短和采集标本时的技术与标本本身的细胞浓度。

什么是病理蜡块【病理技术分享】精确诊断添利器胸腹水细胞蜡块_https://www.jmylbn.com_新闻资讯_第12张

•TIPS
•病理科在接受申请单及送检标本时,如遇下述情况之一,应及时与临床沟通或退回样本:
•1申请单填写不完整,病人身份信息或病例信息不全,以及样本容器上标识不清;
•2送检标本未及时送达以及未预先向容器内加入抗凝剂导致的标本溶血,凝血腐败等现象发生;

什么是病理蜡块【病理技术分享】精确诊断添利器胸腹水细胞蜡块_https://www.jmylbn.com_新闻资讯_第13张

什么是病理蜡块【病理技术分享】精确诊断添利器胸腹水细胞蜡块_https://www.jmylbn.com_新闻资讯_第14张 图3细胞蜡块病理申请单与样本容器

什么是病理蜡块【病理技术分享】精确诊断添利器胸腹水细胞蜡块_https://www.jmylbn.com_新闻资讯_第15张

六、一个细胞蜡块的诞生-从标本接收到诊断报告

病案举例;以一例待诊腹水样品为例

一名78岁女性患者,因卵巢癌1年+入我院就诊,该患者腹腔大量积液,送120ml腹水做细胞蜡块进一步鉴别诊断,首先做了细胞涂片和液基细胞薄片检查。

什么是病理蜡块【病理技术分享】精确诊断添利器胸腹水细胞蜡块_https://www.jmylbn.com_新闻资讯_第16张

图4患者液基细胞薄片镜下结果

液基细胞结果显示可见腺癌细胞,细胞异型性明显,呈乳头状形态,可见较多病理性核分裂及砂砾体,结合病史首先考虑卵巢转移癌。

为了进一步鉴别诊断,在与临床大夫和患者沟通后,将胸水标本的细胞渣包埋制作成细胞蜡块,行石蜡包埋切片,并做免疫组化检查。免疫组化结果显示:EMA(+);D2-40(-);CA125(+)ER(+,弱,60%);P16(+);P53(-);Her-2(±);Ki-67(+,f30%)。结果表明腹水细胞蜡块镜下可见腺癌细胞,形态学及免疫组化支持浆液性乳头状癌

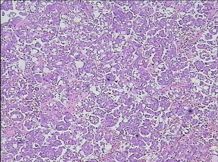
什么是病理蜡块【病理技术分享】精确诊断添利器胸腹水细胞蜡块_https://www.jmylbn.com_新闻资讯_第17张

图5患者细胞蜡块HE染色镜下所见

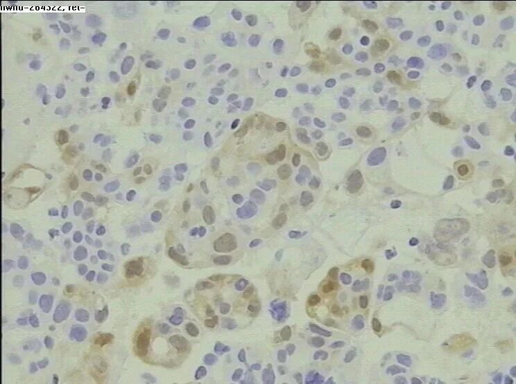
什么是病理蜡块【病理技术分享】精确诊断添利器胸腹水细胞蜡块_https://www.jmylbn.com_新闻资讯_第18张 图6患者细胞蜡块免疫组化进一步结果镜下所见ER+

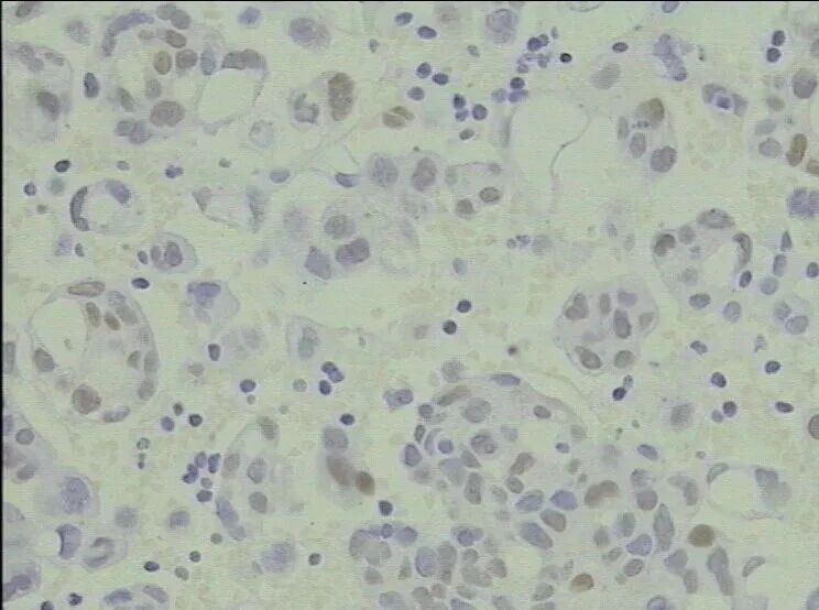
什么是病理蜡块【病理技术分享】精确诊断添利器胸腹水细胞蜡块_https://www.jmylbn.com_新闻资讯_第19张 图7患者细胞蜡块免疫组化进一步结果镜下所见P16+

通过细胞蜡块技术,明确了肿瘤的病理分型,为患者进一步治疗提供了强有力的支持。浆膜腔积液的细胞学检查已经越来越为临床所接受,通过其阳性诊断可以避免探索性的手术。细胞蜡块的制备可以提供更清晰的结构,同时可以应用特殊染色和免疫组化等后续检测,也有研究显示细胞蜡块可以应用在妇科的液基标本中,取得了良好的效果。毫无疑问,细胞蜡块细胞病理学诊断中具有重要意义因为它允许进行多次纵向检测,从而进行更精细的细胞学诊断。与直接的传统细胞学涂片相辅相成,两者的结合能提高细胞学整体的诊断效率。

什么是病理蜡块【病理技术分享】精确诊断添利器胸腹水细胞蜡块_https://www.jmylbn.com_新闻资讯_第20张

检验申请及报告时限:
1医嘱名称:胸腹水找癌细胞(包含胸腹水细胞涂片,液基细胞薄片制作,细胞蜡块制作)
2接受标本时间与地点:周一至周五,负一层病理科窗口。
3报告时限:2-3个工作日。需做免疫组化的报告时间为5个工作日。

如若您有想看的内容主题

欢迎在下方评论区留言


什么是病理蜡块【病理技术分享】精确诊断添利器胸腹水细胞蜡块_https://www.jmylbn.com_新闻资讯_第21张什么是病理蜡块【病理技术分享】精确诊断添利器胸腹水细胞蜡块_https://www.jmylbn.com_新闻资讯_第22张

点击阅读原文”查看更多精彩产品