
据 《第三次口腔疾病流行病学调查报告》显示,我国全民口腔患病率高达97.6%,成年人牙齿不健康比例更高,达到口腔健康标准的仅有0.22%。可以预见的是,我国口腔疾病患者基数庞大,牙齿诊疗需求非常旺盛。
与此同时,随着口腔医学技术的发展,口腔精细化诊疗也被广大牙医重视并逐渐普及开来,除牙体牙髓科外,修复、牙周、种植、口腔颌面外科等多学科都开始借助口腔手术显微镜进行口腔精细化诊疗,为诊断、治疗提供更为准确的依据和清晰的视野,有效提高口腔治疗效率。
毫无疑问,精细化诊疗是全球口腔医疗发展的趋势,而迈入精细化治疗的标志之一就是是否使用口腔手术显微镜诊疗。
不过,很可惜的是:
虽然越来越多口腔医生已经熟练使用口腔手术显微镜为患者进行诊疗,却仍有很多口腔医生没有使用过口腔手术显微镜进行诊疗,甚至不知道口腔手术显微镜能够在临床上做什么,对于医生技术的提升和患者的精细化治疗来说,都是非常可惜的。
本期文章,咱们就来以口腔手术显微镜在口腔诊疗机构中的应用,来阐述小博为何推荐所有口腔医疗机构都能使用口腔手术显微镜开展精细化诊疗,造福患者。
壹
初识,口腔手术显微镜
毫不夸张地说,使用口腔手术显微镜进行诊疗是口腔医学发展史上的一个里程碑,具有划时代的意义。

口腔手术显微镜由光学系统、支架系统、电路系统以及其他附件组成。
它的使用突破了传统治疗的视野局限性和感觉依赖性,为临床医生提供了更清晰的视野和聚焦的照明,使治疗操作过程更加精准,减少了操作的不确定性,让术者能够在视觉引导下清晰看见牙体组织细微结构,开展更全面的诊疗,克服疑难病例。
现在,西默口腔手术显微镜已广泛应用于疾病诊断、根管治疗、美学修复、牙周种植等领域,开展显微精细化诊疗,提高了医生的技术水平和治疗效果,也提升了患者满意度。
贰
口腔手术显微镜,对口腔医疗的意义
口腔手术显微镜对于医生来说意味着什么?
作为一名医生,您是否常常感觉颈部或背部的疲劳?
口腔医生是否应尽全力为每一位患者提供最好的治疗?
担心设备不能满足患者诊疗需求,无法为患者提供更精细的治疗?
提升医生接诊自信和治疗水平
使用口腔手术显微镜,可以拥有良好的照明及放大倍数,使牙齿解剖结构看得更清楚,提高诊断的精确性。
传统的诊疗通常凭借医生的手感和经验完成,遇到复杂例如根管领域的细小、弯曲、钙化等问题,操作就会困难且棘手,甚至有些患者需二次诊疗。通过口腔手术显微镜的超大景深和3-23的放大倍数,有效帮助医生解决复杂病例,增加患者的就诊成功率,提高医生治疗水平和接诊信心。

关爱医生,延长职业生涯
据国外文献报道:每年有67%的牙医由于不能忍受颈部和腰椎等职业疾病的困扰,从而不得不减少工作时间,甚至长期影响到其职业生涯。
使用口腔手术显微镜更加符合人体工程学,诊疗时坐姿更规范,能减轻医生腰椎与颈椎的压力,有利于医生的健康,延长其职业生涯,为更多患者服务。

规范与专业,一目了然
现阶段,患者对于就诊环境和医生的技术要求越来越高。
西默口腔手术显微镜(以DOM3000系列为例)的引入,帮助改善诊疗环境,强化医疗机构技术形象,切实让患者感受差异化的高端体验。


辅助医患沟通,治疗效果可视化
想要和患者保持高效沟通,让患者明确诊疗的意义,加快开展治疗的节奏?
现在,西默口腔手术显微镜专业内置影像,实时记录每一个治疗瞬间,可以录制治疗前中后的照片与视频,帮助医生和患者沟通,让患者更加明白治疗的意义,提升患者的满意度。

病例收集,行业交流
西默口腔手术显微镜采用内置升级版4K影像系统(以西默DOM3000系列为例),基于SONY的高端图像传感器,支持4K视频的录制,静态图像的最大分辨率为1200万像素,是传统1080P高清影像系统的4倍。高清的影像记录下您的每一个精细操作瞬间,更加有利于知识的传播,医患的沟通,还可以提高您专业声誉。

移动互联,智能共享。采用物联网技术,口腔手术显微镜自带wifi,通过西默云影像APP软件支持手机、平板多种移动互联方式,能够通过移动终端控制影像,实时采集代表性病例图片和视频,为医患沟通、学术交流、远程医疗提供依据和技术支持。


叁
西默口腔手术显微镜,在临床应用中的效果分享
01


口腔手术显微镜在精准诊断方面主要性作用,是在高清被放大的视野下,能够清晰地判断牙体的情况。
其中包括:龋病的诊断,如浅龋的确诊、深龋露髓与否的判定等;非龋性疾病的诊断,如牙隐裂的确诊、根尖手术中牙根折裂的探查和确诊等。
02


口腔手术显微镜在根管治疗中发挥着至关重要的作用,大景深和接近自然光的LED照明系统,能够清晰观察复杂髓腔解剖结构,发现和定位钙化根管口。
在治疗上更有利于变异根管的探查与预备以及根管充填后髓腔内残留根管封闭剂的清理。
03


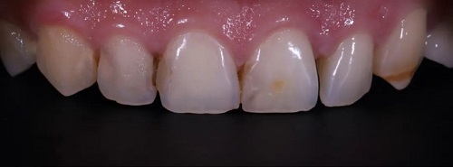
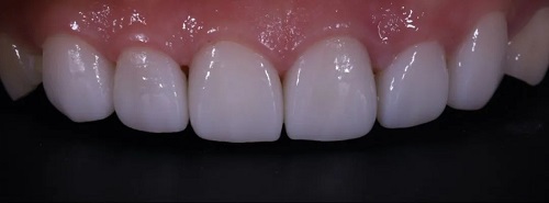
口腔手术显微镜下的美学修复可以通过明亮高清的手术视野;
连续变倍的设计能够更精准的完成嵌体、贴面或全冠修复时的牙体预备和粘结,使得修复体边缘密合度更好,检查粘接剂的残留与去除;
自然美与个性美的有机结合,更能体现出质朴、真实、自然和生动的个性美感。
04


为手术区提供直接的聚焦冷光源,整个手术视野清晰广阔,使手术医生操作更准确细致;
医生在各个方向上操作,使得牙周手术、种植体手术做地更精确,伤口更小,软组织损伤更小,缝合更好,缩短愈合期,减少了手术后的肿胀;
在牙周软组织美学建设上更能体现其优势。
05



口腔手术显微镜在烤瓷牙修复中能提高医生的备牙精准度;
能有效避免损伤临近牙体组织;
可以精准检查烤瓷牙印模,为烤瓷牙的精准修复做准备;
精准检查烤瓷牙的密合度,给患者更好的远期疗效。
西默口腔手术显微镜的应用案例还有很多,因篇幅有限下次再为各位同道作分享 。
肆
关于西默口腔手术显微镜,希望您知道的信息
多年来,针对不同诊疗需求的医生,博恩集团西默医疗始终以口腔医生的临床需要为出发点,持续进行产品迭代,只为和口腔医生一起,为患者提供更为精细化的口腔治疗。
西默口腔手术显微镜系列产品分别为:DOM3000系列、DOM4000系列、裸眼3D、显微教学机。
西默Mini系列显微镜,门诊入门优选;机身灵巧精致,无需担心空间摆放问题;搭载三挡光学变倍系统,让临床医生获得充足镜下视野;机身纳米银离子抗菌涂层技术,符合诊室日常感控要求,有效防尘防菌,避免交叉感染。
如您有相关产品需求,直接百度、微信、抖音搜索“博恩登特”即可关注我们的官方网站、公众号、视频号、抖音号进行私信留言。
博恩集团品牌矩阵:
