什么是显微镜手术什么是显微根尖囊肿手术?

新闻资讯2026-04-23 19:08:15

当牙出现根尖周炎后,因长期不治疗或处理不当,造成根尖区骨质破坏,伴有瘘管,经过根管治疗后仍不消退的患牙,在以前只有拔除患牙,现在还有一个大招——显微根尖手术,尽可能的保留你的天然牙。


什么是显微镜手术什么是显微根尖囊肿手术?_https://www.jmylbn.com_新闻资讯_第1张


显微根尖手术除了医生要经过专业的显微根尖手术培训,还要有手术的利器,这两点缺一不可。那利器是什么呢?


第一:手术显微镜。可以放大至30倍,“芝麻”可以看成“西瓜”。根尖区的细枝末节都可以看清楚。

     

什么是显微镜手术什么是显微根尖囊肿手术?_https://www.jmylbn.com_新闻资讯_第2张

图1 显微镜



     

什么是显微镜手术什么是显微根尖囊肿手术?_https://www.jmylbn.com_新闻资讯_第3张

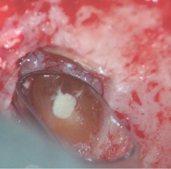
图2  根尖区放大后的影像,用显微口镜看根尖倒充是否达标



第二:显微根尖手术器械。显微口镜可以通过显微镜看到不能直视的地方。超声倒预备工作尖可以把根管再清理扩大。


     

什么是显微镜手术什么是显微根尖囊肿手术?_https://www.jmylbn.com_新闻资讯_第4张

图3  显微口镜


 

     

什么是显微镜手术什么是显微根尖囊肿手术?_https://www.jmylbn.com_新闻资讯_第5张

图4  超声倒预备工作尖



     

什么是显微镜手术什么是显微根尖囊肿手术?_https://www.jmylbn.com_新闻资讯_第6张

图5  显微输送器,把特殊材料补在根尖区



经过医生显微镜下细致操作,患者的患牙可以保留。(左图示下牙根尖区有阴影,经过手术后半年,右图示根尖区已经基本无阴影)


什么是显微镜手术什么是显微根尖囊肿手术?_https://www.jmylbn.com_新闻资讯_第7张

左图:

下牙根尖区有阴影


右图:

经过手术后半年,下牙根尖区已经基本无阴影


显微根尖手术是保留天然牙的最后一个方法。




部分图片来源于网络,若有侵权请联系删除。



图文:周  骢

排版:郑小平

审核:周  骢