什么是定位放疗【放疗科普】模拟定位在放疗过程中究竟在模拟什么?

新闻资讯2026-04-23 18:35:33



“张阿姨,下午做定位呵,CT模拟定位”,早上查房时医生交待病人。“模拟定位?还CT,昨天刚做过CT啊”,刚住到放疗科三天的张阿姨明显的一愣,张阿姨是宫颈癌,打算进行放疗,看着患者询问的眼光,刘医生觉得有必要单独介绍一下放射治疗中的模拟定位环节。


模拟定位的重要职能

首先,简单聊一聊放疗,直线加速器(挺先进,很复杂,通常价值千万以上)产生高能射线,经过专用设备引导,将一定数量的射线指向人体内的肿瘤,这个射线能量很高、威力巨大,可轻易打碎肿瘤细胞。这个高能射线自个不认得坏细胞和好细胞,除了消灭肿瘤细胞,也能将路过的正常细胞打坏,我们得给它标明肿瘤的位置,再指明射击的方向和路径。
由于高能射线毁伤能力强,对细胞的损伤不可逆转,因此为保证射线在打击肿瘤的同时保护正常器官,放疗学科经过近百年的探索,形成了一套严密的治疗步骤,设定一个“模拟”,模拟治疗过程和治疗效果。模拟定位挺重要、很特别、学科特点浓郁。有点类似飞行员驾驶真飞机前在模拟舱练习驾驶技术。

什么是定位放疗【放疗科普】模拟定位在放疗过程中究竟在模拟什么?_https://www.jmylbn.com_新闻资讯_第1张

模拟定位在放疗全步骤中主要起两个作用:

1)肿瘤定位---顾名思义,确定肿瘤的位置;
2)参与模拟放疗。
若想模拟做一件事情,一定是要建立一个场所的,其中模拟机是建立模拟演练场所的关键设备,模拟定位即是在演练场内将各个器官结构坐标精确显示的关键技术,先将患者的人体结构采用CT扫描,将肿瘤和正常器官依照真实的相互关系一一标记出来(轮廓结构勾画),摆在眼前,搭建患者独有的人体演习平台。
通常情况下肿瘤是在身体里隐藏着、在肺肝等器官里隐藏着,我们肉眼看不见,模拟定位,我们能看见肿瘤在哪里,利用模拟定位建立的人体真实的演习平台,我们可以在这个平台上反复演习,排兵布阵,模拟各种打击方案,采用各种武器,在演习场模拟打击,评估打击结果,寻找最佳的打击方案,选择最优的治疗技术。重要的是,有了模拟定位建立的演习平台,我们才有可能精确打击肿瘤而又能很好地保护其周围的重要器官。
反复演练,找到让高能射线只打肿瘤,不伤正常器官,只打坏蛋不打好人的一个最优的治疗方案。最后应用到患者人体的实际加速器照射。“先模拟打再真打。”
建立这个标注真实人体器官结构的坐标系统(精准度为毫米级)的演练场所,是现代精确放疗模拟定位的重要职能。

模拟定位技术依照出现的时间,根据采集图像原理,大致分为三种:

传统X线模拟定位技术
CT模拟定位技术
磁共振模拟定位技术

什么是定位放疗【放疗科普】模拟定位在放疗过程中究竟在模拟什么?_https://www.jmylbn.com_新闻资讯_第2张

(PET-CT应用极少,本篇暂不讨论)

传统X线模拟定位技术

传统X线模拟定位机应用场景为普放(传统放疗)时代,本质是一台特殊的X光机,模拟加速器的各种机械运动包括,机架、机头及治疗床,并通过模拟定位机的X线透视影像观察肿瘤的情况:肿瘤的位置、透视下的肿瘤形状、肿瘤在皮下多少厘米等等,并在人体表皮肤上做出标记,然后医生根据模拟机下测量的数据手动计算照射肿瘤靶区的剂量。当然模拟机还有其它作用。
普放时代仍归于经验医学阶段,肿瘤剂量无法精确计算,正常器官的受照射剂量甚至不能完整统计。处于被淘汰的最后阶段,现已极少应用。

什么是定位放疗【放疗科普】模拟定位在放疗过程中究竟在模拟什么?_https://www.jmylbn.com_新闻资讯_第3张

常规X线模拟定位机

普放时代的放疗场景:

打仗的时候,我方发现前面有敌人,距离约200米处,藏在一个居民楼里,经过肉眼观察及询问邻近的老百姓,估算数量大约十几个坏蛋,这个居民楼有三层,每一层多个房间,现在只知道第三层的靠边3间房子藏着坏蛋,一层、二层有老百姓,第三层的其它房间也有老百姓。传统放疗时代,没有精确定位(GPS),也没有精确制导导弹,只能手动计算方位和距离,照射时用大炮朝着这个位置轰炸,将这2个房间的坏蛋炸死了,但由于大炮的精度不够,手算会出现位置偏差,距离也是估算的,所以结果就是这2间房内的坏蛋被炸死了,邻近房间的老百姓也死了许多。

精确放疗定位技术

“精确定位、精确计划、精确治疗”,高精度照射肿瘤靶区是精确放疗的标签。
CT模拟定位是精确放疗的基础,采用CT对患者的身体进行扫描并同时标注坐标系统,这个图像是数字化信息,利用扫描图像我们可以精细完整组合出患者的分身,在这个真实的分身上面识别肿瘤和其它的身体器官,然后结合精确计划系统在这个真实分身上确定肿瘤靶区,选择各种治疗技术,模拟各种打击方法、模拟各种打击武器,然后评估不同组合的打击效果,医生和物理师选择一个最优选的治疗方案应用于最后的加速器治疗。在这个分身、这个平台上标明肿瘤、设计计划、评估剂量对人体的毁伤效果,制定剂量验证方案等等。

什么是定位放疗【放疗科普】模拟定位在放疗过程中究竟在模拟什么?_https://www.jmylbn.com_新闻资讯_第4张

CT模拟定位机--旁边是技师和医师

想象一下这个场景

肿瘤患者躺在CT床上,伴随着轻缓的声音,CT机采用非常细密的方式扫描人体,在扫描的同时植入了坐标系统。扫描结束,放疗技师检查图像和定位信息无误,患者回家,然后物理师和医生就在这个数字化图像展开工作,在这个图像平台,身体器官可以放大,可以缩小,可以在前边观察,可以上下左右看,还可以几个人一起看,看肿瘤的具体位置,看微观结构,看肿瘤与邻近器官的关系,通过各种“看”,肿瘤的范围精细地确定下来,这个肿瘤范围我们称之为“靶区”,对,就是打靶的“靶”,这个“靶区”范围有精细到毫米级别定位信息,还有彩色标记,使肿瘤坏蛋无所遁形。

什么是定位放疗【放疗科普】模拟定位在放疗过程中究竟在模拟什么?_https://www.jmylbn.com_新闻资讯_第5张

医生将靶区范围标记了位置,同时将正常器官位置加以标记,演练场也就建立了,下一步,在这个演练场上,物理师就可以大展身手了,根据靶区距离体表的远近,坏蛋靶区附近有没有正常器官(好人),等等,选择合适的武器(常规导弹,或者核武器等),能量(能量高,射程远;能量低,射程近),打击的角度和方向,打击力度等等,对肿瘤进行模拟攻击,然后通过分析各种数据评估打击效果。可以机关枪扫射,也能狙击步枪爆头,或者地对地导弹攻击,甚至高超音速导弹等等,随便测试。直到找到一个最合适的方案:摧毁肿瘤靶区的能力最高,对正常器官的保护最好。

什么是定位放疗【放疗科普】模拟定位在放疗过程中究竟在模拟什么?_https://www.jmylbn.com_新闻资讯_第6张

磁共振模拟定位

模拟定位环节,对人体信息的采集和识别的准确度直接影响到后续高能射线治疗肿块的准确度和对肿瘤细胞的打击效果、射线对正常组织的损害程度。
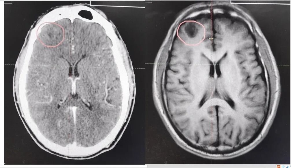
相比较CT图像技术,磁共振图像清晰度高,识别肿瘤更准确,特别是大脑等中枢神经系统以及腹盆腔等软组织区域,对肿瘤的诊治优势更显著:CT看不见的,磁共振能看见;CT上面看不清楚的,磁共振能看清楚(见下图);如颅脑、肝等器官内的肿块,肿瘤密度和周围正常组织的密度非常接近,在CT图像上面往往难以区分,就像几个坏人挤在好人堆里一样,大家穿的差不多的衣服,就很不好找到,这在磁共振图像(MRI)上就不是问题。又比如治疗儿童中枢神经系统的肿瘤,若肿瘤长在紧贴眼球或脑干的位置,我们打击(照射)肿瘤同时要保护眼球视神经要保护脑干,这就要非常清晰地知道肿瘤的边界。将磁共振技术应用于模拟定位,它可以准确找到肿瘤,指引加速器产生的高能射线进行打击。
   精确放疗是精确射击,CT模拟机就是狙击步枪上的瞄准镜,而磁共振模拟机则是更高精度的瞄准镜,瞄准镜上还带有千分尺,准确定位。

什么是定位放疗【放疗科普】模拟定位在放疗过程中究竟在模拟什么?_https://www.jmylbn.com_新闻资讯_第7张

CT图像(左)和磁共振图像(右)对比---左上角有肿瘤

什么是定位放疗【放疗科普】模拟定位在放疗过程中究竟在模拟什么?_https://www.jmylbn.com_新闻资讯_第8张

磁共振模拟定位机



后记:

   听完刘医生的图文并茂(带着平板电脑)的科普讲述,张阿姨直张嘴巴,模拟定位原来这样啊,这放射治疗也太先进了吧!





编辑:卢令聪
审核:葛   红
什么是定位放疗【放疗科普】模拟定位在放疗过程中究竟在模拟什么?_https://www.jmylbn.com_新闻资讯_第9张