说到二氧化碳点阵激光,爱美人士一定不会陌生,因为它在治疗皱纹、瘢痕、色素性疾病及改善皮肤质地等方面均有明确效果。
除了可改善面部皮肤之外,在外阴、阴道疾病治疗方面,二氧化碳点阵激光也有意想不到的效果,一起了解一下吧~
什么是二氧化碳点阵激光?
二氧化碳点阵激光是将波长为10600nm的能量,通过产生阵列样排列的微小光束,形成多个三维立体柱形结构的微小热损伤区,由于每一个微小损伤区周围都有未损伤的正常组织,因此能快速修复愈合。

二氧化碳点阵激光的作用机制
二氧化碳点阵激光通过改善胶原蛋白的结构,促进胶原蛋白和弹性纤维的合成,使阴道粘膜结构重塑,改善阴道的功能,恢复阴道弹性及紧致,改善松弛状态。同时,治疗后可增加阴道对尿道的支持作用,提高尿道关闭压,缓解尿失禁症状。

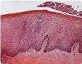
#治疗前
阴道粘膜上皮细胞层较薄

#治疗后
阴道粘膜上皮细胞层明显增厚(阴道弹性及湿润度改善)
二氧化碳点阵激光在妇科领域的应用
◆顽固性外阴瘙痒、外阴色素减退(外阴鳞状上皮增生、硬化性苔藓);
◆阴道松弛症;
◆外阴阴道萎缩;
◆阴道干涩;
◆绝经泌尿生殖综合征(萎缩性阴道炎、尿道炎等);
◆轻-中度压力性尿失禁;
◆淡化妊娠纹。
二氧化碳点阵激光治疗的优势
◆安全、微创
◆快捷、有效
◆门诊治疗,无需住院
◆治疗过程舒适,无明显疼痛感
我院妇女保健科已引进二氧化碳点阵激光治疗仪器,有需要的女性朋友可现场咨询、评估。
【专家介绍】

许正先 副主任医师
妇女保健科病区主任,中国整形美容协会生殖整复分会理事,广东省康复医学围产康复分会第一届委员,广东省健康管理学会女性整体健康促进专业委员会第一届常务委员,广东省医师协会妇产科电生理医师分会第二届委员。取得盆底功能障碍疾病诊治技术欧洲二级证书。
技术特长:
(1)产后保健及整体康复;
(2)盆底功能评估及盆底功能障碍性疾病的康复治疗;
(3)婚前保健;
(4)孕前保健。
出诊时间:
新城院区:周一全天、周四上午
禅城院区:周二上午、周三全天、周五全天、周六上午

欧璐 副主任医师
妇产科专业硕士研究生,从事妇产科及妇女保健工作10余年。
技术特长:
(1)女性婚前、孕前、产后保健指导;
(2)产后整体康复、产后塑形、产后疼痛的治疗;
(3)尿失禁、盆底器官脱垂、慢性盆腔疼痛等疾病的诊治;
(4)妇产科常见病的诊治。
出诊时间:
新城院区:周二全天、周四全天、周五全天、周六上午
禅城院区:周一全天、周三全天

林宏 副主任医师
技术专长:
(1)妇产科常见病、多发病如月经不调、妇科炎症、宫颈病变等诊治;
(2)月经病、青春期内分泌疾病及更年期综合征诊治;
(3)产后康复、盆底功能障碍性疾病诊治;
(4)优生优育孕前、婚前检查咨询。
出诊时间:
新城院区:周一全天、周三全天、周五全天
禅城院区:周二全天、周四全天、周六上午
来源:妇女保健科 欧璐
编辑:宣教科全媒体编辑部