什么是外固定架骨科成功开展颈部寰椎骨折Halo架外固定技术

新闻资讯2026-04-23 18:32:00

 我院和肇庆市第一人民医院建立紧密型医联体才两年多时间,各项医疗技术水平都取得了井喷式提高。近期,我院骨科再次借助医联体的力量,在黎虞明主任的带领下,成功开展了我院首例颈部寰椎骨折Halo架外固定技术,填补了建院以来颈椎骨折无有效治疗的空白,开创了我院高位颈椎骨折治疗的先河。

什么是外固定架骨科成功开展颈部寰椎骨折Halo架外固定技术_https://www.jmylbn.com_新闻资讯_第1张

(Halo头胸背心外固定架示意图)


病例介绍:

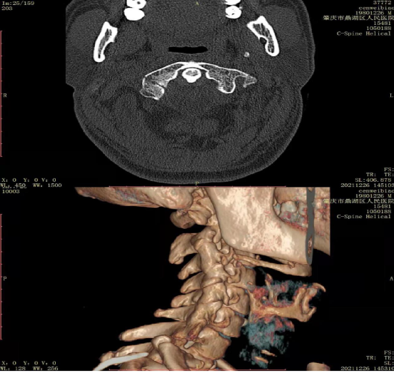
2021年12月21日,我院骨科收治了一位41岁的男性病人,因车祸致伤颈部入院,颈椎CT提示:寰椎右侧块骨折,无明显移位。入院后黎虞明主任仔细给病人做了体格检查,并认真阅读颈椎CT片,结合患者实际情况,认为适合使用Halo架外固定技术。在排除禁忌症后,黎虞明主任带领骨科团队顺利给病人实施了寰椎骨折Halo架外固定技术。固定后患者感觉良好,颈部疼痛感明显缓解,无相关并发症,生活能自理,每天定时检查外固定架的稳定性与效果,根据情况适当调整,并做好针孔的护理,预防针孔感染。

什么是外固定架骨科成功开展颈部寰椎骨折Halo架外固定技术_https://www.jmylbn.com_新闻资讯_第2张

(颈椎三维CT检查)

什么是外固定架骨科成功开展颈部寰椎骨折Halo架外固定技术_https://www.jmylbn.com_新闻资讯_第3张

(调整Halo架)

什么是外固定架骨科成功开展颈部寰椎骨折Halo架外固定技术_https://www.jmylbn.com_新闻资讯_第4张

(术后)

骨科主任黎虞明副主任医师介绍:

颈椎损伤按解剖可分为上颈椎损伤和下颈椎损伤,按稳定程度又可分为稳定性损伤和非稳定性损伤。对于非稳定性损伤,一般均给予颈椎手术治疗。而无神经症状的稳定性损伤则可行非手术治疗,Halo架外固定就是属于一种简单有效的非手术治疗方法,它具有损伤小,操作时间短,患者康复快,住院时间短,费用低和患者下床时间早等优点。

我院骨科现有副主任医师4名(其中肇庆市第一人民医院常驻骨科专家1名)、主治医师1名、住院医师1名、护士10余名,大部分医师到省、市级三甲医院进修学习过,团队技术力量雄厚。配备有高清C臂机、骨科全自动手术床、中医定向治疗仪、骨科多功能病床、骨折治疗仪、关节康复器等先进设备,术中可以做到准确定位、骨折精准复位,实现术后早期功能锻炼、早期康复。现能开展各种骨折切开复位内固定(钢板、髓内钉、PFNA等)、各种四肢骨折外支架固定、转移皮瓣治疗皮肤缺损、手外伤的处理、神经血管肌腱探查吻合、髋关节置换、椎体成型术、胸腰椎骨折经皮椎弓根钉内固定术等等。近年来,我院骨科多采用MIPPO技术微创小切口解决各种复杂骨折的手术治疗,具有创伤小、恢复快、效果好等优点。




我院骨科专家团队介绍

什么是外固定架骨科成功开展颈部寰椎骨折Halo架外固定技术_https://www.jmylbn.com_新闻资讯_第5张

张震乾

副院长   骨科副主任医师

广东省医师协会骨科学会委员

肇庆市骨科医学会秘书

 广东医科大学临床医学系毕业,从事骨科脊柱专业近20年。先后到中山大学第一附属医院,北京宣武医院,南方医科大学三院交流学习脊柱微创治疗。对脊柱退变、创伤、感染、肿瘤,脊髓损伤康复的诊断及治疗积累了丰富的临床经验。发表多篇骨科脊柱专业论文,获得多项肇庆市科技进步奖。主要专业特长:颈椎显微镜下ACDF、ACCF手术治疗;颈椎后路单开门减压centerpiece钛板内固定术治疗;腰椎间盘摘除术(开放、显微镜下,孔镜);腰椎间融合术(PLIF、TLIF、OLIF、ALIF);椎体成形术(PKP、PVP);胸、腰椎内固定术治疗(开放、微创:经皮、经多裂肌入路)。研究方向:脊柱骨病及创伤的微创治疗。  

什么是外固定架骨科成功开展颈部寰椎骨折Halo架外固定技术_https://www.jmylbn.com_新闻资讯_第6张

汤湛波

副院长   骨外科副主任医师

1994年于汕头大学医学院临床医学系毕业,一直在鼎湖区人民医院从事外科临床工作。1998年被选派到佛山市中医院进修骨伤科一年,对中西结合治疗骨质增生、腰肌劳损、颈椎病、类风湿性关节炎、创伤性关节炎、腰椎间盘突出症、坐骨神经痛以及骨折手法复位等疾病积累了丰富的临床经验和独特的治疗方法,尤其擅长外科危重疾病、四肢骨折、急慢性骨髓炎、关节脱位、骨关节炎、骨肿瘤等疾病的诊断与手术治疗


什么是外固定架骨科成功开展颈部寰椎骨折Halo架外固定技术_https://www.jmylbn.com_新闻资讯_第7张

黎虞明

骨科主任    骨外科副主任医师

2002年毕业于赣南医学院临床医疗系,毕业后一直从事骨科临床工作,肇庆市首批中青年拔尖医学人才。于2005-2006年在佛山中医院进修骨伤科一年。2021年在肇庆市第一人民医进修骨科3个月。专业特长:股骨粗隆骨折PFNA内固定、股骨颈骨折空心钉固定、关节内骨折锁定钢板固定、应用MIPPO技术微创小切口治疗各种骨干及近关节骨折、开放性骨折外支架固定、跗骨窦小切口治疗跟骨骨折、踝部骨折、髋关节置换、四肢软组织缺损皮瓣修复、手外伤的处理、神经血管肌腱探查吻合、颈腰腿痛、运动系统慢性损伤的修复等并长期致力于骨科微创手术的钻研,已在省级国家级杂志刊物发表论文10余篇。


什么是外固定架骨科成功开展颈部寰椎骨折Halo架外固定技术_https://www.jmylbn.com_新闻资讯_第8张

袁勤

外科副主任   骨外科副主任医师

1996年于上海铁道大学(同济大学)医学院临床医学系本科毕业,1999年在肇庆市第一人民医院骨科进修一年。曾在东莞市多家医院骨科工作,具有扎实的医学知识,尤其对四肢及关节骨折手术、各种骨关节疼痛的诊治具有丰富的临床经验。在国家级及省部级刊物发表多篇论文。



什么是外固定架骨科成功开展颈部寰椎骨折Halo架外固定技术_https://www.jmylbn.com_新闻资讯_第9张

朱茂军

科主治医师

毕业于广东医学院临床系专业,从事临床医疗工作10余年,曾到肇庆市第一人民医院进修骨外科,擅长对骨科常见病、多发病的诊疗。


什么是外固定架骨科成功开展颈部寰椎骨折Halo架外固定技术_https://www.jmylbn.com_新闻资讯_第10张

刘登

骨科住院医师

毕业于湘南学院临床医学系,2019年毕业后一直在本院从事骨科临床工作,擅长对骨科常见病、多发病的诊疗。