什么是可吸收夹机器人输尿管重建不可吸收夹侵蚀输尿管
大多数文献关注的是 RALP 进入下尿道后夹子永久性侵蚀
回顾机器人输尿管重建不可吸收夹侵蚀进入上尿道的结果
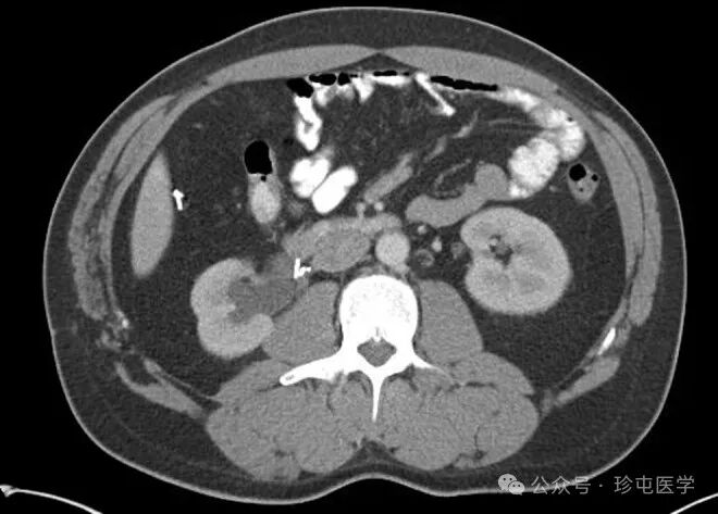
70F 有复发性 L UPJo 病史,s/p 之前接受过机器人 L 肾盂成形术,然后进行肾盂切开术 x2
腹部 CT 无造影显示手术夹靠近输尿管肾盂连接处 (UPJ)。从此图像很难判断手术夹是否正在侵蚀输尿管。
在手术中使用异物的一个并发症是可能侵蚀附近的组织。内窥镜切除侵蚀到尿道的异物是一种安全且微创的选择,以前已有描述,最常见于膀胱和尿道。介绍了一个有肾盂成形术病史的患者病例,发现有不同的异物侵蚀到输尿管并引起症状。据所知,这是第一例患者出现两种不同类型的输尿管异物侵蚀并分别通过内窥镜有效治疗的病例。
咨询/定制请联系微信/QQ:12087382

点击最左下角“阅读原文”查看原文/视频
所有分享及看法仅限专业人士交流及参考
参考及图片等来源于网络,版权归原作者所有