什么是口腔修复膜【名医名科】口腔中心帮您解决牙菌斑生物膜的困扰

新闻资讯2026-04-23 18:17:38

什么是口腔修复膜【名医名科】口腔中心帮您解决牙菌斑生物膜的困扰_https://www.jmylbn.com_新闻资讯_第1张

牙菌斑生物膜引起的牙周病十分常见,
同时,它也是口腔中的隐形“杀手”,
如何治疗牙菌斑生物膜?
下面,口腔中心为您讲解。

什么是口腔修复膜【名医名科】口腔中心帮您解决牙菌斑生物膜的困扰_https://www.jmylbn.com_新闻资讯_第2张


什么是牙菌斑生物膜?
  口腔中不能被水冲去或漱掉的细菌性团块,是由基质包裹的相互黏附,或黏附于牙面、牙间或修复体表面的软而未矿化的细菌性群体称为牙菌斑生物膜,是口腔细菌生存、代谢和致病的基础。

为什么牙菌斑生物膜会导致牙周病?
  牙菌斑生物膜矿化形成牙石,牙石表面再沉积菌斑、矿化,如此往复循环,牙石便层层加厚。牙石的多孔结构极易吸附大量的细菌毒素,从而刺激牙龈造成炎症;牙石坚硬粗糙,对牙龈有机械压迫作用,妨碍日常口腔卫生措施的实施。因此,牙菌斑生物膜是导致牙石,引起牙龈出血、牙周袋加深、牙槽骨吸收和牙周病发展的重要致病因素。所以,有效控制菌斑,可使牙周组织恢复健康。
什么是口腔修复膜【名医名科】口腔中心帮您解决牙菌斑生物膜的困扰_https://www.jmylbn.com_新闻资讯_第3张
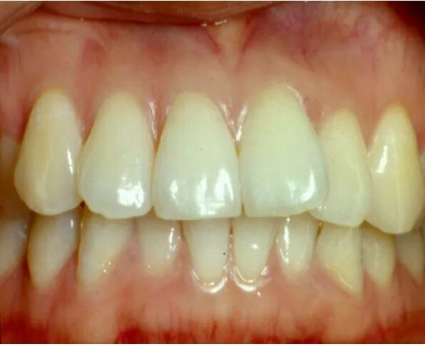
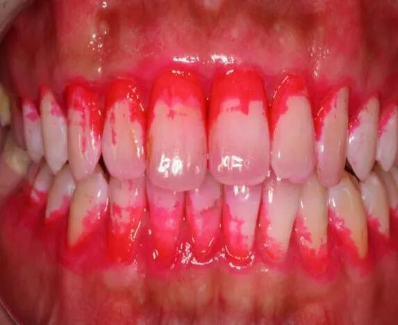
什么是口腔修复膜【名医名科】口腔中心帮您解决牙菌斑生物膜的困扰_https://www.jmylbn.com_新闻资讯_第4张

使用菌斑染色剂后显示牙面上菌斑堆积多(牙面上变红色的部位)

什么是口腔修复膜【名医名科】口腔中心帮您解决牙菌斑生物膜的困扰_https://www.jmylbn.com_新闻资讯_第5张正常牙龈组织
粉红色,菲薄,致密坚韧
什么是口腔修复膜【名医名科】口腔中心帮您解决牙菌斑生物膜的困扰_https://www.jmylbn.com_新闻资讯_第6张炎症牙龈
鲜红或暗红色,牙龈松软肥大、脆弱,缺乏弹性
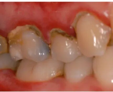
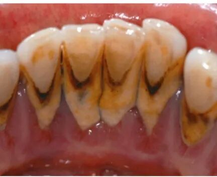
什么是口腔修复膜【名医名科】口腔中心帮您解决牙菌斑生物膜的困扰_https://www.jmylbn.com_新闻资讯_第7张
什么是口腔修复膜【名医名科】口腔中心帮您解决牙菌斑生物膜的困扰_https://www.jmylbn.com_新闻资讯_第8张

牙石及烟斑


我院口腔中心治疗牙菌斑生物膜特色优势
  口腔中心引进了一系列先进的牙周治疗器械:MECTRON牙周综合治疗仪提高了牙周基础治疗的舒适度,更加有效地去除菌斑和毒素;EMS喷砂机可高速快捷地去除烟斑、色滞;VDW根测仪使根管长度测量更加准确;机扩马达可明显提高根管预备的效率,根管内污染物去除彻底,根管成形好,有利于根管冲洗和充填;热牙胶充填可更有效地充填不规则的根管和侧支根管。现代根管治疗技术可有效避免传统根管治疗过程中的诸多弊端。
我院口腔中心诊疗项目:
  1.牙体、牙髓及根尖周病治疗。
  2.复杂牙、阻生齿的拔除。
  3.牙体缺损的充填、嵌体、贴面、桩冠、全冠修复治疗。
  4.可摘义齿、固定义齿、全口义齿修复等复杂牙列缺损的序列设计修复。
  5.咬合重建的修复治疗。
  6.计算机辅助设计/加工(CAD/CAM)牙齿修复。
  7.种植义齿、种植导板修复牙列缺失。
  8.各年龄段牙排列不齐、儿童错牙合的预防矫治、儿童面型不调的肌功能矫治,开展自锁托槽技术、无托槽隐形矫治等。
  9.颞下颌关节功能紊乱的诊治。
  10.儿童牙病的舒适化治疗。
  11.牙周治疗,口腔保健及咨询。
特色技术
  1.前牙美学修复的数字化规划设计。
  2.种植导板为导航的种植技术。
  3.微创拔牙技术。
  4.儿童牙病的无痛治疗技术。
  5.咬合关系异常的咬合重建技术。
  6.牙体牙髓的微创治疗技术。
  7.黏膜病的激光治疗技术、中西医结合治疗。
  8.隐形矫治技术。
什么是口腔修复膜【名医名科】口腔中心帮您解决牙菌斑生物膜的困扰_https://www.jmylbn.com_新闻资讯_第9张
什么是口腔修复膜【名医名科】口腔中心帮您解决牙菌斑生物膜的困扰_https://www.jmylbn.com_新闻资讯_第10张
陈一怀
  陈一怀,口腔医学博士,主任医师,现任长春中医药大学附属医院口腔中心主任。1992、1995、1998年本科、硕士、博士毕业于第四军医大学,师从我国著名口腔医学家、牙合学创始人和开拓者王惠芸教授,从事咬合病理生理的研究。1998年到解放军461医院口腔科工作。
  长春中医药大学附属医院口腔专家。原解放军461医院口腔科主任医师、全军口腔疾病诊疗中心主任兼口腔修复科主任。
  主要从事口腔修复临床工作,在口腔修复治疗方面经验丰富。擅长牙列缺失的全口义齿修复,牙列缺损的固定义齿或可摘局部义齿修复,残根残冠保存修复,微创美学修复,咬合关系紊乱的咬合重建。在咬合重建、全口义齿、微创美学修复、固定-活动联合修复等方面有所创新。运用咬合板、调牙合、修复等手段治疗颞下颌关节功能紊乱病、咬合病及磨牙症。
  出诊信息:每周一、三、五上午,口腔中心VIP1诊。
什么是口腔修复膜【名医名科】口腔中心帮您解决牙菌斑生物膜的困扰_https://www.jmylbn.com_新闻资讯_第11张
内容来源/口腔中心
文/武玉凤
出品/党委宣传科

什么是口腔修复膜【名医名科】口腔中心帮您解决牙菌斑生物膜的困扰_https://www.jmylbn.com_新闻资讯_第12张

长春中医药大学附属医院

什么是口腔修复膜【名医名科】口腔中心帮您解决牙菌斑生物膜的困扰_https://www.jmylbn.com_新闻资讯_第13张

长春中医药大学附属医院订阅号
专家简介 出诊信息 医院动态 健康科普

什么是口腔修复膜【名医名科】口腔中心帮您解决牙菌斑生物膜的困扰_https://www.jmylbn.com_新闻资讯_第14张

什么是口腔修复膜【名医名科】口腔中心帮您解决牙菌斑生物膜的困扰_https://www.jmylbn.com_新闻资讯_第15张
本部地址:长春市工农大路1478号
咨询热线:0431-86178018
经开院区妇产诊疗中心地址:长春市经济技术开发区深圳街2号
咨询热线:0431-80568666

经开院区儿童诊疗中心地址:长春市经济技术开发区深圳街185号
咨询热线:0431-81953833
农安分院地址:农安县烧锅镇长白公路与东盛路交汇处

咨询热线:0431-81877999