什么是260胃镜医视点 | 精细胃镜使内镜进入“显微时代”

新闻资讯2026-04-23 17:17:22


点击蓝字关注我们




     提到胃镜,大家一定很熟悉。胃镜检查可以清楚直观地看到食管、胃、十二指肠球部和降部的黏膜情况,并对可疑病灶行活检。内镜检查和活检在诊断消化道肿瘤中起着关键性作用,被认为是“金标准”。人们在日常生活中除了保持健康的生活方式之外,早期发现肿瘤可以很大程度上降低胃癌的发病率,然而,大多数消化道肿瘤发现时已非早癌,错过了内镜下治疗的时机。随着医学的发展,内镜下切除早癌得到了广泛运用,相比外科手术,内镜下切除术有着创伤小、术后恢复快、并发症少等优点,但内镜下切除术有着严格的适应证。辽宁省肿瘤医院内镜科可以通过“内镜精查”,及早发现癌前病变并且可以明确早期癌的部分组织分型,为内镜治疗和外科治疗提供最精确的依据!

什么是260胃镜医视点 | 精细胃镜使内镜进入“显微时代”_https://www.jmylbn.com_新闻资讯_第1张






      内镜精查就是在原有高清内镜的系统基础上,增加了高清放大、染色内镜等不同的性能。所谓“精查”,从患者视角理解,就是检查得更精细、耗时会更长;从专业角度来分析,则是指根据情况,除了行白光内镜检查,还可以应用图像增强内镜技术,包括窄带成像技术(narrow band imaging, NBI)、放大胃镜(magnifying endoscopy, ME)、蓝激光成像技术(blue laser imaging, BLI)等,进一步观察病灶表面的微血管结构和黏膜表面微结构,从而帮助确定病变性质、范围、浸润深度。内镜精查更有利于术前评估,因为内镜精查可以对病灶的性质、范围、浸润深度有一个更精确的判断,准确评估是否符合内镜治疗的指征以及切除边界的判定。即便发现的早期胃癌已经错过了内镜下治疗的时机,需要外科手术治疗,也建议术前行内镜精查,以更好地帮助外科医生确定手术的术式。此外,在发现进展期癌之后,剩下的“正常”粘膜是否还存在同时性早癌也需精查进一步明确。近年来,随着内镜技术和理论的蓬勃发展、内镜设备的更新换代,早癌检出率得到了大幅提高。






 病例分享:

          患者基本情况符合内镜精查,于内镜科行精细胃镜检查。精细内镜报胃体下部大弯侧Ⅱc型病变,活检病理回报:考虑为黏膜层未分化型癌,且小于2厘米,表面无溃疡,符合内镜下治疗的适应证,2022年5月于内镜科行内镜黏膜下剥离术。该患者术后病理回报与之前精查胃镜结果基本一致,符合黏膜内浅表印戒细胞癌,该患者病灶小,白光下极易与正常胃黏膜混淆。此例早癌患者被及时发现,进行内镜下治疗,既属于治愈性切除,又拥有损伤小、费用低、术后恢复快的优势,通过内镜精查达到了早发现、早诊断、早治疗目的。

什么是260胃镜医视点 | 精细胃镜使内镜进入“显微时代”_https://www.jmylbn.com_新闻资讯_第2张

什么是260胃镜医视点 | 精细胃镜使内镜进入“显微时代”_https://www.jmylbn.com_新闻资讯_第3张

正常内镜下表现

什么是260胃镜医视点 | 精细胃镜使内镜进入“显微时代”_https://www.jmylbn.com_新闻资讯_第4张

发现可疑病灶

什么是260胃镜医视点 | 精细胃镜使内镜进入“显微时代”_https://www.jmylbn.com_新闻资讯_第5张

内镜精查下表现

什么是260胃镜医视点 | 精细胃镜使内镜进入“显微时代”_https://www.jmylbn.com_新闻资讯_第6张

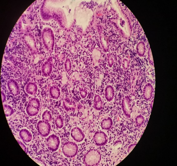
病理活检

什么是260胃镜医视点 | 精细胃镜使内镜进入“显微时代”_https://www.jmylbn.com_新闻资讯_第7张

ESD术中标记

什么是260胃镜医视点 | 精细胃镜使内镜进入“显微时代”_https://www.jmylbn.com_新闻资讯_第8张

病灶切除

什么是260胃镜医视点 | 精细胃镜使内镜进入“显微时代”_https://www.jmylbn.com_新闻资讯_第9张

病变标本

什么是260胃镜医视点 | 精细胃镜使内镜进入“显微时代”_https://www.jmylbn.com_新闻资讯_第10张

病理标本

什么是260胃镜医视点 | 精细胃镜使内镜进入“显微时代”_https://www.jmylbn.com_新闻资讯_第11张

病理切片






          早癌诊治,利国利民。随着消化内镜技术的飞速发展,辽宁省肿瘤医院内镜科全体医护人员在技术传承、技术创新的路上从未停歇,将不忘初心,砥砺前行,时刻牢记“发现一例早癌,拯救一个家庭”的使命,竭诚为广大患者服务! 




什么是260胃镜医视点 | 精细胃镜使内镜进入“显微时代”_https://www.jmylbn.com_新闻资讯_第12张

关注!关注!关注!

辽宁省肿瘤医院互联网医院

“在线复诊”上线了

什么是260胃镜医视点 | 精细胃镜使内镜进入“显微时代”_https://www.jmylbn.com_新闻资讯_第13张


稿件、图片来源:内镜科

编辑:季鹏飞 刘换 韩成

责编:郑阳

什么是260胃镜医视点 | 精细胃镜使内镜进入“显微时代”_https://www.jmylbn.com_新闻资讯_第14张

“在看”我吗?

什么是260胃镜医视点 | 精细胃镜使内镜进入“显微时代”_https://www.jmylbn.com_新闻资讯_第15张