什么叫超声容积探头围手术期经食管超声心动图监测操作的专家共识(可下载)

新闻资讯2026-04-23 17:00:46

什么叫超声容积探头围手术期经食管超声心动图监测操作的专家共识(可下载)_https://www.jmylbn.com_新闻资讯_第1张

刘进(负责人) 宋海波(执笔人) 朱涛  彭勇刚  段福建  唐红 尹万红 魏蔚  王晟  王锷  李雪杰


什么叫超声容积探头围手术期经食管超声心动图监测操作的专家共识(可下载)_https://www.jmylbn.com_新闻资讯_第2张

什么叫超声容积探头围手术期经食管超声心动图监测操作的专家共识(可下载)_https://www.jmylbn.com_新闻资讯_第3张
【引言】
什么叫超声容积探头围手术期经食管超声心动图监测操作的专家共识(可下载)_https://www.jmylbn.com_新闻资讯_第4张

围手术期经食管超声心动图(TEE)检查从形态和功能两个方面评估循环系统,具有定位、定性、定时、定量的基本功能,为围手术期诊疗决策提供依据,提高麻醉和手术的安全性和有效性。


围手术期合理应用标准化的超声心动图,可有效地监测循环事件,如:骨科和泌尿外科手术的肺动脉栓塞,开颅手术的气体栓塞,胸部创伤的心包填塞等。超声心动图在循环监测方面常用于:血容量监测,整体和局部左心功能、右心功能评价,监测基本的瓣膜形态及功能变化,成人常见的先心病的形态和功能监测等。


超声心动图监测循环功能的思路是: 通过对标准化切面的观察和测量,归纳心血管形态和功能特征,用病理生理学模型和循证医学证据解释超声心动图发现,结合临床经验和诊疗规范用于诊疗决策。


中华医学会麻醉学分会于2014年组织专家组制订了《围手术期经食道超声心动图专家共识》[1],本文是在此基础上更新的2020年版本,本次更新补充了多个标准化采图流程,统一了目标导向心脏超声(Focused cardiacultrasound)的定义:聚焦心血管临床问题,以特定心血管形态和功能为评估目标,选择有限的,相对固定的超声切面,定时、定位、定性、定量评估心脏结构和功能,辅助诊疗决策。


什么叫超声容积探头围手术期经食管超声心动图监测操作的专家共识(可下载)_https://www.jmylbn.com_新闻资讯_第5张
一、TEE检查前评估
什么叫超声容积探头围手术期经食管超声心动图监测操作的专家共识(可下载)_https://www.jmylbn.com_新闻资讯_第4张

1.  询问病史:心血管、肺专科病史,食管外伤及手术史,上消化道病史,肝硬化及门脉高压病史,糖尿病及高血压病史。

2.  查体:纽约心功能分级,心、肺专科体征,口、咽部专科体征。

3.  实验室检查:心肌酶  凝血功能输血免疫全套。

4.  是否需要行术中TEE检查,是否具备TEE检查的条件。

5.  评估病情:麻醉、外科操作引起术中血流动力学不稳定的风险。

6.  所有患者行TEE检查需要随时关注通气情况。


什么叫超声容积探头围手术期经食管超声心动图监测操作的专家共识(可下载)_https://www.jmylbn.com_新闻资讯_第5张
二、TEE检查的适应证
什么叫超声容积探头围手术期经食管超声心动图监测操作的专家共识(可下载)_https://www.jmylbn.com_新闻资讯_第8张

1.  术中出现持续低血压、低脉搏血氧饱和度、低呼气末二氧化碳分压(EtCO2),且难以纠正者。

2.  需要密切监测血流动力学,包括:心率/律、前负荷、心脏舒缩功能、后负荷。

3.  需要确认循环功能障碍的类型,如休克类型、心衰类型的鉴别诊断。

4.  需要围手术期急性肺栓塞诊疗决策所需的直接和间接征象。

5.  急诊手术胸痛的鉴别诊断,如夹层动脉瘤、肺栓塞、心肌梗死的鉴别。

6.  创伤急诊手术麻醉,需要排除心脏和大血管的并发症,如心脏破裂、主动脉横断等。

7.  心脏瓣膜功能检查。

8.  经胸超声检查显像困难,难以明确各种心脏大血管形态和功能异常。


什么叫超声容积探头围手术期经食管超声心动图监测操作的专家共识(可下载)_https://www.jmylbn.com_新闻资讯_第5张
三、TEE检查的禁忌症
什么叫超声容积探头围手术期经食管超声心动图监测操作的专家共识(可下载)_https://www.jmylbn.com_新闻资讯_第8张

1.  绝对禁忌症:患者拒绝、活动性上消化道出血、食管梗阻或狭窄、食管占位性病变、食管撕裂和穿孔、食管憩室、食管裂孔疝、先天性食管畸形、食管手术后不久、咽部脓肿、咽部占位性病变


2.  相对禁忌症:食管静脉曲张、凝血障碍、纵隔放疗史、颈椎疾病、咽部脓肿、咽部占位性病变。相对禁忌症需要比较TEE检查的收益和相对禁忌症的风险决定是否行TEE监测。


什么叫超声容积探头围手术期经食管超声心动图监测操作的专家共识(可下载)_https://www.jmylbn.com_新闻资讯_第5张
四、TEE评估前准备
什么叫超声容积探头围手术期经食管超声心动图监测操作的专家共识(可下载)_https://www.jmylbn.com_新闻资讯_第8张

1.签署同意书

2.全麻状态下可选择仰卧位和侧卧位

3.检查并清除患者口腔内和食管内活动性异物

4.气管导管固定于患者嘴角一侧,便于探头置入

5.放置探头前,行胃管负压吸引,以获得清晰的TEE图像

6.TEE探头放置后5分钟,检查无活动性出血,再放置鼻咽部温度探头7.围手术期TEE检查时,注意不要影响患者的呼吸和循环。

8.清醒患者可在必要的镇静、镇痛下结合口咽部局部麻醉,在助手的帮助下置入探头。

9.除超声心动图监测外,还要密切观察心电图波形、有创动脉波形、无创血压、血氧饱和度、呼末CO2等监测指标,以便及时发现和处理异常状况。


什么叫超声容积探头围手术期经食管超声心动图监测操作的专家共识(可下载)_https://www.jmylbn.com_新闻资讯_第5张
五、TEE探头的安全使用
什么叫超声容积探头围手术期经食管超声心动图监测操作的专家共识(可下载)_https://www.jmylbn.com_新闻资讯_第8张

1.检查探头结构是否正常,将探头与超声主机妥善联结,在控制面板上找到探头驱动软件,选择所需检查模式。

2.消毒的探头前端换能器面涂上超声耦合剂。

3.右手持探头管体前1/3处,左手中指、食指和大拇指轻提下颌,打开咽腔、轻柔地将探头送至咽后壁,如遇到阻力,稍前屈探头,通过咽后壁阻力点后,将探头稍向右旋转,用探头细心体会食管开口的位置,观察颈部2侧与梨状窝对应部位,使用恰当的手法,尽量轻柔地将TEE探头推送过食管开口。

4.TEE探头置入困难时禁用暴力,必要时使用喉镜、可视喉镜辅助,或者寻求他人帮助。尝试3次以上未能成功置入探头,或者在放置过程中发现活动性出血,应考虑放弃使用TEE检查。

5.成人TEE探头建议最低安全体重为30KG,儿童TEE探头要求最低安全体重为5KG,新生儿TEE探头用于体重低于5KG的患儿。

6.在TEE检查过程中要注意检查口咽部有无出血,及时发现和处理相关并发症。

7.退出探头时遇到阻力,需要确认探头是否处于前端弯曲状态并被卡锁固定,先解除卡锁,将探头轻柔送入胃内,调直探头后方可重新退出,全麻患者各种保护反射受到抑制,应尽量保护患者。


什么叫超声容积探头围手术期经食管超声心动图监测操作的专家共识(可下载)_https://www.jmylbn.com_新闻资讯_第5张
六、TEE探头的清洗、消毒与临时存储
什么叫超声容积探头围手术期经食管超声心动图监测操作的专家共识(可下载)_https://www.jmylbn.com_新闻资讯_第8张

1.  TEE探头消毒操作前应穿戴好防护用品。

2.  TEE探头消毒前后需明确记录转运者、消毒者和使用者信息。

3.  TEE探头使用后应立即用湿巾纸或湿纱布清洁探头软轴,擦去软轴表面的患者分泌物并套入一次性无菌塑料套转运至清洗消毒室。

4.  TEE探头消毒操作流程和存储规范见附录2。

5.  为避免造成二次污染,消毒后的探头应使用一次性无菌塑料套套入探头软轴转运至探头存储柜。


什么叫超声容积探头围手术期经食管超声心动图监测操作的专家共识(可下载)_https://www.jmylbn.com_新闻资讯_第5张
七、TEE探头的操控及术语
什么叫超声容积探头围手术期经食管超声心动图监测操作的专家共识(可下载)_https://www.jmylbn.com_新闻资讯_第8张

TEE图像的原则是:探头接触患者的位置是TEE图像的顶点,改变探头的位置就是改变TEE图象在人体空间内的位置。


TEE探头呈长管状,探头运动受消化道的限制,整体运动有8种,分别是:前进、后退;左转、右转;前屈、后屈;左屈、右屈(图1)。

1.  手握TEE探头向食管远端推进称“前进”,反之为“后退”。手握探头朝向患者右侧转动称之为“右转”,逆时针转动称之为“左转”。

2.  使用操作柄的大轮将探头前端向前弯曲称之为“前屈”,向后弯曲称为“后屈”。使用操作柄的小轮将探头顶端向左方弯曲称之为“左屈”,反之称为“右屈。

3.  TEE探头处于某一个姿态不动时,垂直与探头换能器的“声学平面”可通过手柄上的2个圆形按键电子调节。“声学平面”角度从0°~180°,称为“加角度”,反向调节声平面角度从180°~0°,称之为“减角度”。


什么叫超声容积探头围手术期经食管超声心动图监测操作的专家共识(可下载)_https://www.jmylbn.com_新闻资讯_第19张                                 

图1  TEE探头的8种运动及“声学平面”操控示意图


什么叫超声容积探头围手术期经食管超声心动图监测操作的专家共识(可下载)_https://www.jmylbn.com_新闻资讯_第5张
八、TEE图像方位与观察视角的统一
什么叫超声容积探头围手术期经食管超声心动图监测操作的专家共识(可下载)_https://www.jmylbn.com_新闻资讯_第8张

超声主机屏幕和出版物上的TEE图像通常被默认属于室内空间,室内空间的方位和坐标和人体空间不同,造成切面、心脏模型和人体空间之间的联系难以理解和交流,因此,TEE图像应该遵循二维或三维切面解剖学的原则,将TEE图像还原到患者的解剖空间,统一人体方位、心脏模型和超声切面。

什么叫超声容积探头围手术期经食管超声心动图监测操作的专家共识(可下载)_https://www.jmylbn.com_新闻资讯_第22张什么叫超声容积探头围手术期经食管超声心动图监测操作的专家共识(可下载)_https://www.jmylbn.com_新闻资讯_第23张

图2  2D和3D图像及成像原理图3食管中段4腔心切面及模型图


2D或是3D图像(图2)都需要定义观察者视角,一般采取面对心脏模型的观察者视角,统一观察者视角有2个理由:1.观察者面对心脏模型与系统解剖学方位一致,便于沟通;2.不同观察者面对心脏模型有利于实现从TEE到TTE的快速切换。以食管中段4腔心切面为例,描述探头与图像的位置关系理解图像和心脏模型的位置关系(图3),直观地显示了探头、切面与心脏模型的空间关系。


什么叫超声容积探头围手术期经食管超声心动图监测操作的专家共识(可下载)_https://www.jmylbn.com_新闻资讯_第5张
九、TEE切面标准化
什么叫超声容积探头围手术期经食管超声心动图监测操作的专家共识(可下载)_https://www.jmylbn.com_新闻资讯_第8张

围手术期的工作特点决定了TEE切面应该标准化,自TEE进入临床,切面标准化工作就没有中断过。1996年美国麻醉医师协会(ASA)和美国超声心动图学会(ASE)一起确立了术中TEE监测的20个标准切面,对全世界术中TEE推广培训具有里程碑意义。随后,ASA和ASE每隔3~4年不断更新和增减内容,2013年美国心血管麻醉医师协会和美国心脏超声协会共同发表联合声明,将20个TEE标准切面简化到11个(图4)。在这份专家共识中,我们重点介绍20个标准切面(表1)和FOCUS-TEE 6个基本切面(图5-6)的采集和临床应用。本次更新还补充了单病种的切面采集规范以及常见围手术期急危重症的目标导向切面(Focused-TEE views)。

9.1.20个TEE检查标准切面


表1  20个TEE检查标准切面一览表

(含6个Focus-TEE基本切面)

什么叫超声容积探头围手术期经食管超声心动图监测操作的专家共识(可下载)_https://www.jmylbn.com_新闻资讯_第26张


什么叫超声容积探头围手术期经食管超声心动图监测操作的专家共识(可下载)_https://www.jmylbn.com_新闻资讯_第27张


什么叫超声容积探头围手术期经食管超声心动图监测操作的专家共识(可下载)_https://www.jmylbn.com_新闻资讯_第28张


什么叫超声容积探头围手术期经食管超声心动图监测操作的专家共识(可下载)_https://www.jmylbn.com_新闻资讯_第29张


什么叫超声容积探头围手术期经食管超声心动图监测操作的专家共识(可下载)_https://www.jmylbn.com_新闻资讯_第30张


什么叫超声容积探头围手术期经食管超声心动图监测操作的专家共识(可下载)_https://www.jmylbn.com_新闻资讯_第31张


什么叫超声容积探头围手术期经食管超声心动图监测操作的专家共识(可下载)_https://www.jmylbn.com_新闻资讯_第32张


什么叫超声容积探头围手术期经食管超声心动图监测操作的专家共识(可下载)_https://www.jmylbn.com_新闻资讯_第33张

 

什么叫超声容积探头围手术期经食管超声心动图监测操作的专家共识(可下载)_https://www.jmylbn.com_新闻资讯_第34张


什么叫超声容积探头围手术期经食管超声心动图监测操作的专家共识(可下载)_https://www.jmylbn.com_新闻资讯_第35张


什么叫超声容积探头围手术期经食管超声心动图监测操作的专家共识(可下载)_https://www.jmylbn.com_新闻资讯_第36张

常用缩略语:UE ,食管上段;ME,食管中段;TG,经胃;LAX,长轴;SAX,短轴;Asc,升主动脉;AV,主动脉瓣;CS,冠状静脉窦;desc,降主动脉;IAS,房间隔;IVC,下腔静脉;LA,左心房;LAA,左心耳;LV,左心室;LVOT,左室流出道;MV,二尖瓣;PA,肺动脉;prox,近端;PV,肺动脉瓣;RA,右心房;RV,右心室;RVOT,右室流出道;SVC,上腔静脉;TV,三尖瓣


9.2. 11个标准平面介绍:

2013年美国心血管麻醉与心血管超声联合声明推荐的11个标准切面,相比TEE20个标准切面,最显著的特点是:6个经胃切面,只保留了中段左心室短轴切面,说明该切面在围手术期具有重要的监测价值;6个大血管切面去掉了2个切面:食管上段主动脉弓长轴和短轴切面;8个食管中段切面去掉了2个切面:主动脉瓣长轴切面和二尖瓣交界切面(图4)。

什么叫超声容积探头围手术期经食管超声心动图监测操作的专家共识(可下载)_https://www.jmylbn.com_新闻资讯_第37张

图4 TEE20个标准切面示意图


9.3.TEE-FOCUS6个基本平面:

1996TEE20个切面发表以来,切面标准化最大的进展是目标导向和问题导向切面的提出。2014年,本专家共识提出了适用于麻醉急诊和术中循环监测的TEE-FOCUS四个基本切面,临床证明适用于术中循环监测,针对心脏大血管外科手术增加升主动脉长轴切面,降主动脉短轴切面,对体外循环手术主动脉插管的安全性监测,了解主动脉插管部位有无粥样班块及斑块的分级。


截至目前,TEE-FOCUS包括6个基本切面(图5-6),其中有4个关于心脏的基本切面和2个关于大血管的基本切面:1. 左心室长轴切面,2. 右心室流入流出道切面,3. 降主动脉短轴切面,4. 经胃底心室短轴切面,5.食管中段四腔心切面,6.升主动脉长轴切面(新增)。TEE-FOCUS中的6个基本切面具体评估要点如表2所示。对于非心脏手术TEE-FOCUS也包括6个基本切面,不同之处是将升主动脉长轴切面替换为食管中段双腔静脉切面。

什么叫超声容积探头围手术期经食管超声心动图监测操作的专家共识(可下载)_https://www.jmylbn.com_新闻资讯_第38张

图5  TEE-FOCUS 6个基本切面的2D图像

什么叫超声容积探头围手术期经食管超声心动图监测操作的专家共识(可下载)_https://www.jmylbn.com_新闻资讯_第39张

图6TEE-FOCUS中的6个基本切面的模型切面示意图

表2TEE-FOCUS6个基本切面评估要点

基本切面

评估要点

左心室长轴切面(图5-1)

左心房大小、房壁厚度是否正常,舒缩运动是否正常;

二尖瓣开闭运动是否正常,有无穿孔及赘生物;左心室流入道是否通畅;左心室,室壁厚度是否正常,舒缩运动是否正常;

左心室流出道是否有梗阻;

主动脉瓣开闭是否正常,有无赘生物;升主动脉管壁、管腔是否正常;

腔内血流是否正常。

右室流入流出道切面(图5-2)

右心房大小、房壁厚度是否正常,舒缩运动是否正常;

三尖瓣开闭运动是否正常,有无穿孔及赘生物;

右心室流入道是否通畅;

右心室大小,室壁厚度是否正常,舒缩运动是否正常;

右心室流出道是否有梗阻;

肺动脉瓣开闭是否正常,有无赘生物;肺动脉管壁、管腔是否正常;

腔内血流是否正常。

经胃左心室短轴切面(图5-3)

左、右心室腔大小及形态;

左、右心室比例及室间隔凸向哪一侧室壁厚度和搏动幅度;

腔内血流是否正常。

食管中段四腔心切面(图5-4)

各房室大小及其比例;

切面中心室壁的厚度、搏动幅度、连续性;

二尖瓣和三尖瓣的形态结构和开闭功能;

腔内血流是否正常。

降主动脉短轴切面(图5-5)

降主动脉管腔大小及形态;

主动脉壁各层是否增厚,回声增强;是否存在夹层或假性动脉瘤;

腔内血流是否正常。

升主动脉长轴切面(图5-6)

升主动脉管腔大小及形态;

主动脉壁各层是否增厚,回声增强,是否存在附壁血栓和粥样斑块;

是否存在夹层或假性动脉瘤;

腔内血流是否正常。


什么叫超声容积探头围手术期经食管超声心动图监测操作的专家共识(可下载)_https://www.jmylbn.com_新闻资讯_第5张
十、TEE基本切面的定性和定量评估
什么叫超声容积探头围手术期经食管超声心动图监测操作的专家共识(可下载)_https://www.jmylbn.com_新闻资讯_第41张

10.1.TEE基本切面评估的4个基本指标

围手术期TEE的评估内容包括4个基本指标:壁、腔、瓣、流,壁是指:房壁、室壁、血管壁等;腔:心房、心室腔和血管腔;瓣:房、室之间的两个房室瓣、心室和大动脉之间的两个半月瓣,流:心血管的正常和各种异常血流。所有的心血管功能评估指标都是由四个基本指标结合心动周期派生出来的,是密切联系的功能指标系统,不能分割。

10.2.  TEE基本切面4种评估形式及定性评估要点

围手术期TEE标准化切面的评估形式有4种:定位、定时、定性、定量,4种形式是相互联系,相互支持的,其中定性评估是定量评估的基础,整体全面的定性评估结合局部的定量或半定量评估可以有效评估围术期心脏和大血管形态和功能改变,为围手术期诊疗决策提供可靠的依据。表3总结了TEE-FOCUS基本切面的4种基本评估内容:


表3TEE-FOCUS4个基本切面基本评估


切面特点

食管中段右室流入-流出道

经胃底中段心室短轴

食管中段四腔心

食管中段左室长轴


什么叫超声容积探头围手术期经食管超声心动图监测操作的专家共识(可下载)_https://www.jmylbn.com_新闻资讯_第42张

什么叫超声容积探头围手术期经食管超声心动图监测操作的专家共识(可下载)_https://www.jmylbn.com_新闻资讯_第43张

什么叫超声容积探头围手术期经食管超声心动图监测操作的专家共识(可下载)_https://www.jmylbn.com_新闻资讯_第44张


什么叫超声容积探头围手术期经食管超声心动图监测操作的专家共识(可下载)_https://www.jmylbn.com_新闻资讯_第45张

显示瓣叶

显示2个瓣

显示0个瓣

显示2个瓣

显示2个瓣

功能导向

右心通道功能

心室泵功能

房、室功能

左心通道功能

瓣膜功能

三尖瓣、肺动脉瓣

二尖瓣乳头肌

二尖瓣、三尖瓣

二尖瓣、主动脉瓣

探头接触点

ME/胸骨旁

TG/胸骨旁

ME/心尖

ME/胸骨旁

室间隔

顶部室间隔

肌部室间隔

下份室间隔

前份室间隔

房间隔

显示

不显示

显示

不显示


10.3.定量/半定量评估

定量或半定量评估最关键是确定正常参考值,正常参考值是评估心脏结构和功能的基础,最常用的定量参数是心血管腔的内径和房室、血管壁的厚度。通过将测量值与正常参考值(表4)的比较,即可发现心血管的影像学异常。我国尚缺乏麻醉状态下的心血管定量指标的正常参考值,常用指标的参考资料来源于国内的数据或国外TEE/TTE定量指南。


10.3.1.心血管壁、腔参数参考值

以左心室中段短轴切面为例(图7),在这个切面上,可以观察左、右心室的心腔大小,室壁厚度。左心室正常值男性55 mm,女性50 mm,正常情况下左心室和右心室横径的比例关系大约是5:2;而左心室舒张末面积(LVEDA)和左心室收缩末面积(LVESA)的比例大致是2:1。


表4 心血管壁、腔超声测量正常参考值(单位 mm)

测量部位

正常参考值

AO   (根部主动脉)

23~36

LA(左心房)

33~40

LVEDA   (舒张内径)

45~55(M)   35~50(F)

LVESA(收缩内径)

25~37(M)   20~35(F)

IVS(室间隔)

8~11

LVPW(左室后壁)

8~11

RA(右心房)

30~38

RV(右心室)

<25

RVOT(右室流出道)

18~34

PA(肺动脉主干)

24~30

FS(短轴缩短率)

>25%

EF(射血分数)

50%~70%


10.3.2 左心室定量评估:

左心室定量评估是在定性基础上对左心室功能进行进一步的基于具体参数的数值分析。TEE的左心室定量分析,可以比照TTE的M型、二维、三维和多普勒方法,目前国内外尚缺乏全身麻醉状态下的左心室定量正常值。

什么叫超声容积探头围手术期经食管超声心动图监测操作的专家共识(可下载)_https://www.jmylbn.com_新闻资讯_第46张

图7 左心室短轴切面与左心室容积/面积-时间曲线的关系

左心室有两条功能曲线(图7),容积-时间曲线和压力-时间曲线,左心室容积-时间曲线的最大值点对应着左心室舒张末容积,最小值点对应着左心室收缩末容积,最大值点和最小值点之间的差值反映每博输出量(SV)。EF(射血分数)=SV/EDV。

(1)左心室心腔定量及整体/局部收缩功能

围手术期获得实时精确的LV容积-时间曲线尚不容易,需要用实时三维超声心动图技术、二维和三维图像自动分割技术(图8)、结合辛普森法计算得到,这种方法用在术中监测左心室的容积-时间曲线成本较高。如果心室形态正常,我们还是推荐用M型超声测量LVEDD/LVESD,计算FS(FS=LVEDD-LVESD/LVEDD)或者左心室中段短轴2D切面测量计算FAC=LVEDA-LVESA/LVEDA;EF≈2FS。

表5左心室定量评估基本要点

什么叫超声容积探头围手术期经食管超声心动图监测操作的专家共识(可下载)_https://www.jmylbn.com_新闻资讯_第47张

什么叫超声容积探头围手术期经食管超声心动图监测操作的专家共识(可下载)_https://www.jmylbn.com_新闻资讯_第48张

什么叫超声容积探头围手术期经食管超声心动图监测操作的专家共识(可下载)_https://www.jmylbn.com_新闻资讯_第49张


常用缩略语:食管上段;ME,食管中段;TG,经胃;LAX,长轴;SAX,短轴;AV,主动脉瓣;IVC,下腔静脉;LA,左心房;LV,左心室;LVOT,左室流出道;RA,右心房;RV,右心室;RVOT,右室流出道;EF,射血分数;FS缩短分数;GLS,整体纵向应变


什么叫超声容积探头围手术期经食管超声心动图监测操作的专家共识(可下载)_https://www.jmylbn.com_新闻资讯_第50张

图8 3D-TEE 获得左心室容积-时间曲线

(2)左心室舒张功能


TEE可有效评估左心室舒张功能,常用指标包括:左心房舒张末容积指数、二尖瓣口前向血流、肺静脉血流和二尖瓣侧壁或间壁组织多普勒频谱等。二尖瓣环侧壁瓣环峰≤10cm/s和跨二尖瓣的E/≤8cm/s可提示左室舒张功能障碍。左室舒张功能障碍分为4期:正常、松弛障碍、假性正常、限制性充盈。随病情进展,各期二尖瓣前向血流、二尖瓣环组织多普勒、肺静脉血流频谱和二尖瓣彩色M型血流传播速度等指标的演变见图9。左室舒张功能障碍可引起左房压力的改变,多种指标可评估左房压力,其评估流程见图10。

什么叫超声容积探头围手术期经食管超声心动图监测操作的专家共识(可下载)_https://www.jmylbn.com_新闻资讯_第51张

图9 超声多普勒评价左室舒张功能分期

 

什么叫超声容积探头围手术期经食管超声心动图监测操作的专家共识(可下载)_https://www.jmylbn.com_新闻资讯_第52张

图10  TEE估测左心房压力流程图


(图注:LA,leftatrium,左心房;LAP,left atrial pressure,左心房压力;PAS,pulmonaryarterialsystolicpressure,肺动脉收缩压;,肺静脉反向血流波持续时间-二尖瓣血流A波持续时间;EF,ejectionfraction,射血分数;IVRT,isovolumicrelaxationtime,等容松弛时间;E,舒张早期二尖瓣血流E波峰速度;A,舒张晚期二尖瓣血流A波峰速度;,舒张早期二尖瓣环峰速度;DT,二尖瓣血流E波减速时间;,彩色M型血流传播速度;S,肺静脉血流S波峰速度;D,肺静脉血流D波峰速度;,二尖瓣血流E波持续时间-二尖瓣环组织多普勒速度波持续时间。


表6左心血流动力学指标正常值及意义

什么叫超声容积探头围手术期经食管超声心动图监测操作的专家共识(可下载)_https://www.jmylbn.com_新闻资讯_第53张

什么叫超声容积探头围手术期经食管超声心动图监测操作的专家共识(可下载)_https://www.jmylbn.com_新闻资讯_第54张


10.3.3右心室功能如表7所示


表7  右心室功能评估

什么叫超声容积探头围手术期经食管超声心动图监测操作的专家共识(可下载)_https://www.jmylbn.com_新闻资讯_第55张

什么叫超声容积探头围手术期经食管超声心动图监测操作的专家共识(可下载)_https://www.jmylbn.com_新闻资讯_第56张

什么叫超声容积探头围手术期经食管超声心动图监测操作的专家共识(可下载)_https://www.jmylbn.com_新闻资讯_第57张


什么叫超声容积探头围手术期经食管超声心动图监测操作的专家共识(可下载)_https://www.jmylbn.com_新闻资讯_第5张
十一、围手术期TEE决策标准化
什么叫超声容积探头围手术期经食管超声心动图监测操作的专家共识(可下载)_https://www.jmylbn.com_新闻资讯_第8张


在TEE切面标准化的基础上,评估和测量也随之标准化,在病情演变的各个时间节点上,标准化TEE资料能进行前后比较,便于监测心血管形态和功能变化。本专家共识建议临床诊疗决策应采用标准化采图流程,在心血管病理生理思维导图(见图22)的帮助下,结合床旁采集的标准化TEE资料,推演可能的泵功能和通道功能障碍引起的血流动力学后果,在确认某个病理生理模型能解释主要的TEE发现后,结合临床表现、监护信息和多学科的循证医学证据,向手术团队提出意向性的诊疗决策建议。


多学科MDT团队应规范化沟通病史、体征,围手术期影像学资料等。手术医师应及时向TEE团队通报术中实际手术操作和术中测量结果,重点是TEE标准化的诊疗决策建议是否有助于解决关键临床问题,MDT团队的每一个成员都应主动和及时应用TEE的发现,使各自的临床行为更加安全、有效,推荐在体外循环下心脏外科手术前后进行床旁TEE-timeout。所谓TEE-timeout是围术期手术团队在手术方案实施的关键决策环节,基于TEE发现充分沟通,开展协同诊疗的床旁医疗行为。



什么叫超声容积探头围手术期经食管超声心动图监测操作的专家共识(可下载)_https://www.jmylbn.com_新闻资讯_第5张
十二、TEE在围手术期急诊中的应用
什么叫超声容积探头围手术期经食管超声心动图监测操作的专家共识(可下载)_https://www.jmylbn.com_新闻资讯_第8张

TEE是急诊患者治疗方案中不可缺少的监测手段。及时有效的目标导向心脏超声检查(Focused cardiac ultrasound)可以快速排查血流动力不稳定的原因,包括快速评估左、右心室功能,室壁运动和容量负荷状况。本次更新推荐TEE目标导向(Focused-TEE)评估方法在急诊中的应用。本专家共识2014年提出了目标导向TEE 4个基本切面(Focused-TEE),2015年国外文献发表了急诊科4个TEE Focused基本切面[9-10],2018年国外文献推荐了TEE在非心脏急诊手术中的评估流程(Rescue-TEE)[11]。本文将三种TEE评估方案对比整理如下表8所示:


表8 三种TEE评估方案对比

什么叫超声容积探头围手术期经食管超声心动图监测操作的专家共识(可下载)_https://www.jmylbn.com_新闻资讯_第62张

什么叫超声容积探头围手术期经食管超声心动图监测操作的专家共识(可下载)_https://www.jmylbn.com_新闻资讯_第63张

什么叫超声容积探头围手术期经食管超声心动图监测操作的专家共识(可下载)_https://www.jmylbn.com_新闻资讯_第64张

12.1.TEE监测心肺复苏

美国急诊医师学会(ACEP)在2017年发布了急诊科使用TEE在心跳骤停中的使用指南,提出TEE在某些情况下可确定心脏骤停的原因,包括左心室衰竭、右心室衰竭、肺栓塞、心包填塞和低血容量。从而更好地帮助临床医生决策。TEE 在心肺复苏中主要具有以下功能:

        Navigation TEE(导航功能):根据成人心脏复苏流程有效地引导CPR操作

        Focus TEE(目标导向的TEE):判断心跳骤停原因,排除其他病因

        Secure TEE(安全导向的TEE):确保介入操作的有效性和安全性

实施TTE会干扰心外按压,TEE 既可以实时评估按压复苏的效果又不会干扰按压操作。心肺复苏是一个复杂的临床技能,需要规范实施,有文献推荐CPR时TEE操作的流程如下图:

什么叫超声容积探头围手术期经食管超声心动图监测操作的专家共识(可下载)_https://www.jmylbn.com_新闻资讯_第65张



图11CPR时TEE操作的流程图


推荐使用TEE指导心肺复苏操作者应该满足以下条件:

表9使用TEE指导心肺复苏操作者应该满足以下条件

完成至少2-4小时以TEE为导向的理论课程

在真实患者/TEE模拟器上完成至少10次TEE检查(包括探头置入)

由获得TEE认证和心肺复苏双重认证的师资进行标准化评估及考核


12.2.TEE评估心衰

12.2.1 左心衰  TEE经食管中段四腔心、经胃心室短轴切面,可测量左心室射血分数(EF),观察左心房、室形态。

EF减低的左心衰表现为:左心腔扩大,室壁变薄,搏幅减低,左室舒张末压升高(图12红色箭头所示),造成冠脉灌注压降低,心肌缺血。这类患者若诱导期如出现心跳骤停,心肺复苏极为困难。常见于扩张型心肌病,主动脉瓣反流,缺血性心肌病,容量过负荷等。处理上要保持心率/律稳定,合适的前负荷,减轻后负荷,增强心肌收缩力。 

什么叫超声容积探头围手术期经食管超声心动图监测操作的专家共识(可下载)_https://www.jmylbn.com_新闻资讯_第66张

图12 左室壁变薄,心腔扩大,左心室舒张末压升高

EF正常或升高的左心衰表现为:左心房增大、左心室壁增厚、左室腔小,

常见于高血压病,主动脉瓣狭窄,左室流出道梗阻,肥厚型心肌病,心肌糖原沉积病;左室长轴、左室短轴切面,可见左心室壁增厚,左心室腔减小(图13)肥厚心室的顺应性降低,前负荷对心房收缩功能的依赖性增加,心肌氧供对后负荷依赖性增加,硬膜外或腰麻可降低外周血管阻力,如盲目进行麻醉可能带来灾难性后果。一般情况下不需要主动增强心肌收缩力,合并流出道梗阻还要减低心肌收缩力,增加外周血管阻力(图13红色箭头所示)和血容量。

什么叫超声容积探头围手术期经食管超声心动图监测操作的专家共识(可下载)_https://www.jmylbn.com_新闻资讯_第67张

图13 室壁增厚,心腔缩小,心室收缩压高于主动脉收缩压 

12.2.2右心衰食管中段四腔心、右心室流入-流出道切面及胃底心室短轴切面评估。

右心室腔扩张,右室游离壁波幅减低,三尖前瓣瓣环运动减低。常见于右室心肌缺血,急性肺动脉高压,急性较大的肺动脉栓塞。肺栓塞,右室心梗,肺动脉高压,大房缺,二尖瓣狭窄晚期,三尖瓣重度反流,肺静脉异位引流(图14)。这类心脏右心室舒张末压升高,如遇到左房压急性升高的因素(急性左心衰、突发心房颤动、二尖瓣急性关闭不全),发生心跳骤停的风险较高。

什么叫超声容积探头围手术期经食管超声心动图监测操作的专家共识(可下载)_https://www.jmylbn.com_新闻资讯_第68张

图14 右心扩大,左心室容量不足,右心室舒张末压升高


  1. 12.3. TEE监测休克

休克是围手术期最常见的循环异常,TEE用于监测休克重点在术后,特别是重症患者休克的循环监测与管理。包括低血容量性休克,各种原因导致的心源性休克(冠脉相关及非冠脉相关),梗阻性休克(急性肺心病、心包填塞、急性肺栓塞等)及分布性休克,评价指标为心大小,室舒缩,膜功能,动静脉血流等。表10总结了4种休克类型的超声心动图表现。

表10  休克的超声心动图表现

休克类型

大小

舒缩

膜功能

CVP

CO/SvO2

分布性

正常

代偿

正常

-

正常/升高

低血容量性

减小

正常/增强

正常

减低

降低

心源性

增大

减低

正常/异常

升高

降低

梗阻性(心包填塞/积液)

右心室减小左心室减小

左、右心室舒张受限

-

升高

降低

梗阻性(肺栓塞/气胸)

右心室扩大   左心室减小

右心室减低左心室代偿

可有             e 三尖瓣返流

升高

降低


什么叫超声容积探头围手术期经食管超声心动图监测操作的专家共识(可下载)_https://www.jmylbn.com_新闻资讯_第5张
十三、TEE在围手术期危重症中的应用
什么叫超声容积探头围手术期经食管超声心动图监测操作的专家共识(可下载)_https://www.jmylbn.com_新闻资讯_第8张

TEE不受肥胖、机械通气、肺气肿等胸壁声窗条件差的影响,可为重症患者提供高质量的图像,TEE在围手术期重症患者的心肺辅助治疗中,可进行目标导向的重症TEE循环管理评估方案。


本共识基于2014年目标导向TEE 4个基本切面(Focused-TEE)和循环管理思维导图(图15),结合2019年《中国重症经食管超声临床应用专家共识》[17],推荐围手术期目标导向重症TEE循环管理评估方案如下表(表11): 


什么叫超声容积探头围手术期经食管超声心动图监测操作的专家共识(可下载)_https://www.jmylbn.com_新闻资讯_第71张


图15循环管理思维导图

表11围术期目标导向的重症TEE循环管理评估方案

目标流程

评估切面

定量/半定量评估要点

第一步:上、下腔静脉

食管中段双房腔静脉切面

下腔静脉内径及塌陷程度判断容量状态与容量反应性

第二步:右心定量评估

食管中段四腔心切面

心腔大小、室壁厚度、运动及室间隔受累

右心舒张末面积/左心舒张末面积

三尖瓣环收缩期位移


食管中段右心室流入流出道

三尖瓣反流及肺动脉宽度


经胃左心室短轴乳头肌切面

离心指数

室间隔形态、运动及受累情况

第三步:左心功能评估

食管中段四腔心切面

左心室收缩与舒张功能


经胃左心室短轴乳头肌切面

心室室壁节段运动障碍

第四步:左心定量评估

食管中段四腔心切面

左心房容积指数

二尖瓣前向血流频谱E峰及A峰

二尖瓣侧壁瓣环及间壁组织多普勒e’和a’

辛普森法测射血分数

二尖瓣环收缩期位移


食管中段左心室长轴切面

左心室室壁厚度

M型超声射血分数

第五步:问题导向切面

食管上段主动脉弓长轴切面

主动脉弓峰流速变异


食管上段主动脉弓短轴切面

肺动脉瓣峰流速变异

什么叫超声容积探头围手术期经食管超声心动图监测操作的专家共识(可下载)_https://www.jmylbn.com_新闻资讯_第72张
十四、TEE在非心脏手术中的应用
什么叫超声容积探头围手术期经食管超声心动图监测操作的专家共识(可下载)_https://www.jmylbn.com_新闻资讯_第73张

患者在进行非心脏大手术时,患者可能出现心血管疾病导致的血流动力学异常、肺血管损害或神经系统损害,此时,TEE 可为麻醉医师和手术医师提供患者心功能及循环状态的检测情况。推荐本文在2014年的共识中推荐的“围术期心脏超声Focused 4个基本切面”作为监测切面,根据实际情况增加必要的问题导向切面。

14.1肝移植

肝移植手术进程中,由于出血,下腔静脉阻断和开放,容量转移,酸碱平衡紊乱,空气栓塞等原因,易发生剧烈的血流动力学波动,特别是严重的低血压,常伴有肺血管压力的变化所致的右心衰竭。规范使用TEE有助于快速评估心脏功能和容量状态,还可评估移植肝的血流以及下腔静脉狭窄。本专家共识推荐国外的肝移植超声Focused-TEE评估方案。该方案与2014版Focused-TEE四个基本切面的对比见下表12:


表12 肝移植Focused-TEE评估方案

评估目标

肝移植超声(5切面)

Focused-TEE四个基本切面

左室或右室功能不全

食管中段四腔心切面

食管中段四腔心切面

低血压

心包填塞-

二尖瓣前叶收缩期前向运动梗阻左室流出道-

食管中段左室长轴切面

食管中段左室长轴切面

卵圆孔未闭

食管中段双房切面


反常栓塞

低血容量


胃底短轴切面

心肌缺血

主动脉夹层



右室功能不全

食管中段右室流入/流出道

食管中段右室流入/流出道

心内血栓

肺栓塞

肝静脉狭窄

肝静脉切面



14.2 腹腔镜手术

在腹腔镜手术中,腹腔内增加压力影响心肌压力-体积关系并导致心肌顺应性的改变。在心脏容量状态的监测中,心监测左、右压力是不可靠的。对于晚期心脏病患者前后负荷的优化过程中,推荐使用TEE监测血流动力学稳定性[20]。间接指导呼吸机参数的调整,避免出现CO2潴留导致的肺动脉痉挛。高危人群腹腔镜手术中使用TEE进行心功能的实时监测评估方案见表13。

表13腹腔镜TEE评估方案

评估目标

基本切面

左、右心舒缩功能,排查右心压力过负荷

食管中段四腔心切面

左室流出道是否存在梗阻,测量左心输出量

食管中段左室长轴切面

三尖瓣功能,三尖瓣反流估测肺动脉压力

食管中段右室流入-流出道切面

测量左心室短轴缩短率,面积变化分数,评估局部室壁运动

胃底中部短轴切面

评估冠脉开口及血流

食管中段主动脉根部短轴切面


14.3 围术期TEE在肺移植中的应用

肺移植手术中可以通过TEE对患者的心脏功能及肺部疾患进行再评估,考虑到肺移植患者在等待期常合并各种问题,包括肺动脉高压,进行性右心衰竭,需要TEE确认术前检查有关心室功能和瓣膜病变的结果,包括排查血流动力学不稳定原因,如右心室衰竭、低血容量、心肌缺血伴壁运动异常,或严重肺气肿和肺过度膨胀时肺填塞。目标导向的TEE评估方案见表14。


本共识建议移植前使用TEE评估肺动、静脉形态和血流速度,并在移植后比较。评估移植术后肺动、静脉的管壁、管腔、走行、血流以协助判断是否存在栓塞、扭曲及吻合口狭窄。


表14 肺移植TEE评估方案

评估目标

评估要点

TEE切面


移植前

术中

移植后


房间隔

术前卵圆孔未闭/房间隔缺损



食管中段双腔静脉切面

右心室

右室大小

右室肥厚

右室功能

重点:诱导-单侧肺通气-手术操作-肺动脉夹闭-再灌注-关胸

右室功能

前负荷

气栓

食管中段四腔心

经胃底左室长轴与经胃底左室短轴

肺静脉

肺静脉管径基线以及血流速度


肺静脉血流速度

栓塞

扭曲及狭窄

三尖瓣

三尖瓣反流严重程度


肺动脉高压

食管中段四腔心,

右室流入道,双腔静脉切面

肺动脉(通常是肺动脉干和右肺)

肺动脉管径基线以及血流速度


栓塞

扭曲及狭窄

升主动脉短轴切面

左心室

左心室大小

左心室功能


气栓

收缩功能

前负荷

食管中段四腔心切面

经胃底左室短轴切面

其他

ECMO的导管植入


主动脉夹层(如果CPB,心包填塞

胸腔出血

食管中段四腔心切面



什么叫超声容积探头围手术期经食管超声心动图监测操作的专家共识(可下载)_https://www.jmylbn.com_新闻资讯_第74张
十五、TEE在主动脉手术中的应用
什么叫超声容积探头围手术期经食管超声心动图监测操作的专家共识(可下载)_https://www.jmylbn.com_新闻资讯_第75张

在主动脉手术中行TEE检查时,应常规对胸主动脉进行细致探查,尤其对于术中新发或进展的主动脉病变,TEE检查至关重要。因此,检查者应熟悉TEE对胸主动脉各部分的显像,并熟悉相关疾病的特征表现以及检查重点。


主动脉常见病变包括主动脉夹层、壁内血肿、主动脉粥样硬化、主动脉瘤样扩张等,在探查到这些病变后,应尽可能明确其累及的解剖部位以及病变的严重程度,以协助临床决策。在实际操作中,可随主动脉走行顺序进行探查,各部分常用切面和探查重点如表15所示。

表15各部分的胸主动脉TEE评估要点



评估切面

评估和测量要点

注意事项

主动脉根部

食管中段主动脉瓣短轴

食管中段主动脉瓣长轴

主动脉瓣功能;

左右冠脉口受累情况;

瓣环、窦部和窦管交界

内径;

评估主动脉瓣反流的严重程度和反流机制;

冠脉受累情况应结合室壁运动评估;

升主动脉

食管中段升主动脉短轴

食管中段升主动脉长轴

升主动脉内径;

通常仅能显示近端升主动脉;

内径测量部位为右肺动脉水平;

TEE通常仅能显示近心端升主动脉,必要时可行心表超声探查升主动脉中远段;

主动脉弓

食管上段主动脉弓长轴

食管上段主动脉弓短轴

头臂血管受累情况;

远端弓部内径;

TEE通常仅能显示远端主动脉弓和左锁骨下动脉;

必要时可行体表颈部血管超声探查无名动脉和左颈总动脉;

胸降主动脉

食管中段降主动脉短轴

食管中段降主动脉长轴

降主动脉内径


TEE在诊断升主动脉夹层中具有极高的敏感性和特异性,尤其对于术中急性夹层,TEE的诊断具有重要临床意义。在进行检查时,应遵循逻辑顺序(见表16),首先明确夹层的诊断,随后探明病变累及的血管范围、确定Standford分型,然后探查夹层相关并发症,检查内膜破口位置及分流血流,如在夹层累及范围内有动脉插管,还需确定导丝或插管的位置是否在真腔内。

表16术中主动脉夹层的TEE检查

检查

分析

1、明确夹层诊断

主动脉腔内有漂浮的内膜片,将血管腔分为真腔和假腔;

2、受累范围

根据受累范围明确Standford分型;

3、相关并发症

心包积液和心包填塞;

的主动脉瓣反流;

的冠脉受累缺血、节段性室壁运动异常;

头臂血管受累缺血;

4、内膜破口位置,明确真腔与假腔

多普勒血流显像可见血液自真腔流入假腔;

5、确定动脉插管和导丝位置

必须确定动脉插管、导丝等在真腔内


什么叫超声容积探头围手术期经食管超声心动图监测操作的专家共识(可下载)_https://www.jmylbn.com_新闻资讯_第74张
十六、TEE在瓣膜手术中的应用
什么叫超声容积探头围手术期经食管超声心动图监测操作的专家共识(可下载)_https://www.jmylbn.com_新闻资讯_第75张

心脏瓣膜手术的患者常规进行术中TEE评估:1)术前明确和补充术前诊断,提出具体手术建议。2)术后进行手术效果评价,辅助手术决策;3)经皮瓣膜成形手术的术中实时引导;4)术中心功能评估和血流动力学精准监测;5)评估左心耳血栓。心脏瓣膜的病变会引起特定病理生理的变化,最终导致心脏的壁、腔、流以及心功能的改变,单纯瓣膜病超声影像特征见表17。


表17   单纯瓣膜病的超声影像特征

二尖瓣狭窄

左房大,左室小

左房壁薄

二尖瓣前向血流加速(射流)


二尖瓣关闭不全

左房大,左室大

左房壁薄

二尖瓣反流

主动脉瓣狭窄

左房大,左室小

左室壁厚

主动脉瓣前向血流加速(射流)

主动脉瓣关闭不全

左房大,左室大

左室壁薄

主动脉瓣反流

16.1  TEE评估二尖瓣:

二尖瓣环是具有动态变化性能的纤维肌性环,呈马鞍形,收缩期时瓣环径缩小,朝向心尖运动,舒张期时瓣环径扩大,背离心尖运动。二尖瓣有两个瓣叶,前叶约占二尖瓣表面积的三分之二,后叶呈C型,盘绕在前叶周围,占二尖瓣周长约三分之一,二者在前外侧和后内侧交界处会合。二尖瓣的前、后叶均可分为三个小叶,二尖瓣瓣叶左心室面的腱索附着在两组乳头肌上,分别为前外侧乳头肌和后内侧乳头肌。


TEE切面可用来评估二尖瓣系统的每一部分,检查时将探头送至食管中段,操纵探头调整成像的角度使声平面对准二尖瓣环中心,探头晶片置于0~10度食管中段4腔心切面后开始旋转声平面,依次获得食管中段二尖瓣交界切面、食管中段左心室2腔切面、食管中段左心室长轴切面,在各个标准切面上可以观察不同小叶的功能状态,各个小叶与标准切面的对应关系如下图16所示。

什么叫超声容积探头围手术期经食管超声心动图监测操作的专家共识(可下载)_https://www.jmylbn.com_新闻资讯_第78张

图16  TEE评价二尖瓣形态和功能的基本切面(标注二尖瓣分区)


TEE切面与二尖瓣分区的对应关系可用于二尖瓣脱垂部位的判断,但要注意的是:一定要将2D或3D图像与二尖瓣模型对应起来,不理解切面和模型之间的空间关系,直接用文献上的分区对应实际的超声图像会导致定位不准和交流障碍(表18);另外,经胃底基底段短轴切面对诊断瓣叶裂和穿孔很有帮助,彩色多普勒可以提供有关反流束起源的信息。

表18不同二维TEE切面所显示的二尖瓣小叶分区


TEE二维切面名称

显示小叶分区

食管中段五腔切面(0°)

A1-P1

食管中段四腔切面(0°)

A3-A2-P2

深部短四腔切面(0°)

A3-P3

食管中段交界区切面(60°)

P3-A2-P1

食管中段两腔切面(90°)

P3-A1-A2

食管中段长轴切面(120°-160°)

A2-P2

经胃底短轴切面(0°)

A1-A2-A3,P1-P2-P3


16.1.1 二尖瓣反流

超声心动图是用以评估二尖瓣反流的严重程度和机制、其对左心室(功能和重构)、左心房和肺循环的影响,以及修复的可能性的主要检查方式。定义二尖瓣反流的病变的精确解剖学描述,应该使用Carpentier分类的节段和功能解剖学(图17),评估修复的可行性。二尖瓣反流量化评估应综合进行,包括定性参数、半定量参数和定量参数(表14)。

什么叫超声容积探头围手术期经食管超声心动图监测操作的专家共识(可下载)_https://www.jmylbn.com_新闻资讯_第79张

图17 Carpentier分型

I型:瓣叶活动正常,二尖瓣反流呈中心性。II型:二尖瓣瓣叶活动过度,二尖瓣反流偏向健侧。III型二尖瓣活动受限,又分为IIIa(结构性)和IIIb(功能性)两个亚型


表19二尖瓣反流程度的多普勒评估(AHA/ASE)


方法

轻度

中度

重度

定性

彩色射流束面积a

可变化

血流聚集(cm)b

<0.3

轻重度之间

≥1.0

连续多普勒信号强度

薄弱

致密或者部分致密

全息舒张期

半定量

缩流径(cm)

<0.30

0.30-0.70

>0.70

肺静脉多普勒(S)

正常

正常/圆钝

负向

二尖瓣前向血流

A

可变

E

定量

有效反流口面积(cm2)

<0.20

0.20-0.39

≥0.4

反流容积(cm3)

30

30-59

≥60

反流分数(%)

30

30-49

≥50

需在生理状态下(收缩压,后负荷与左室功能)评估二尖瓣反流严重程度,应用合适的Nyquist速度a40cm/sb50-60cm/s

及彩色增益。引自:Zoghbi W, et al. J Am Soc Echocardiogr  2017;30:303–371[22]


16.1.2 二尖瓣反流的严重程度评价

二尖瓣反流(MR)的严重程度分为微量,轻度,中度,重度,心脏的二维超声检查常常可以提供明显MR的线索。这些线索可以是直接的,例如较大的对合缺失或瓣叶的结构异常;也可以是间接的,例如重度MR的血流动力学后果为左房左室容量负荷过重,或肺动脉高压的征象(右室扩张,右室肥厚,室间隔平坦,肺动脉扩张,三尖瓣反流)。


反流束最窄的部分,称为“缩流颈(vena contracta)”,可以通过测量缩流颈的直径(图18)来判断反流的程度,当直径≥5.5mm时,与心导管测量的重度反流相关性很好。如果使用7mm作为重度MR的截断值会更有帮助,此时特异性强,但敏感性大幅下降。

什么叫超声容积探头围手术期经食管超声心动图监测操作的专家共识(可下载)_https://www.jmylbn.com_新闻资讯_第80张

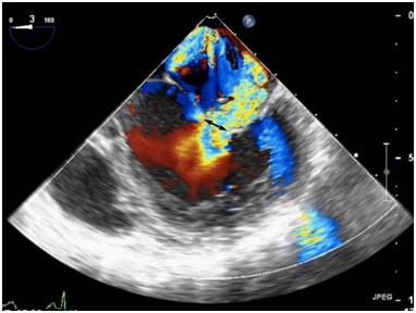
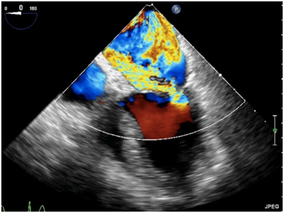
图18 缩流颈的测量食管中段四腔心切面,反流束基底部宽度与二尖瓣反流的严重程度相关。


反流束的方向也很重要,其不仅仅是病因学的线索,也是严重程度的一个征象。中心性反流可由瓣环扩张或心室功能不全引起,偏心性反流(图19)常常由二尖瓣结构本身异常引起的,可认为出现偏心性的贴壁反流束属于中度以上反流[23]

什么叫超声容积探头围手术期经食管超声心动图监测操作的专家共识(可下载)_https://www.jmylbn.com_新闻资讯_第81张

图19偏心性二尖瓣反流食管中段四腔心切面二尖瓣彩色多普勒血流成像,可见重度MR沿左房内侧壁走行达心房顶部。


表20二尖瓣反流的多普勒和定量参数


轻度

中度

重度

多普勒参数




反流面积/左房面积

20%

40%

CW的密度

浓密、完整

肺静脉血流

收缩期变钝a

收缩期反向a

定量参数




缩流颈宽度(mm)

<3

3-6.9

≥7

反流容积(mL)

<30

30-60

≥60

反流分数(%)

<30

30-50

≥50

有效瓣口面积

<0.20

0.20-0.40

≥0.40

a收缩期变钝和收缩期反向具有特异性但敏感性不高。

什么叫超声容积探头围手术期经食管超声心动图监测操作的专家共识(可下载)_https://www.jmylbn.com_新闻资讯_第82张

                           

图20 二尖瓣返流的肺静脉频谱:A 无反流B 轻度反流C 中度反流D 重度反流


在上述的评价方法中,没有一种方法自身足以诊断重度MR,但是作为一组评价方法,它们可以提高诊断的准确性。国外指南推荐的二尖瓣反流分期评估要点如下表21及表22所示


表21原发性二尖瓣反流分期评估要点

分期

定义

膜解剖结构

瓣膜血动力学

血流动力学后果(腔/壁/压)

A

有MR的风险

轻度二尖瓣脱垂,瓣膜对合正常

二尖瓣增厚且瓣叶活动受限

无反流或少量中心性反流(反流面积<20%左房面积)

缩流颈<0.3cm

B

MR进展期

严重的二尖瓣脱垂,瓣膜对合尚正常

风湿性瓣膜改变,伴有瓣叶活动受限、中央对合不良

曾患感染性心内膜炎

中心性反流(反流面积占20%-40%左房面积),或收缩末期偏心性反流

缩流颈<0.7cm

反流容积<60mL

反流分数<50%

ERO<0.40cm2

血管造影分级1-2+

左房轻度扩大

无左室扩大

肺动脉压力正常

C

严重MR,不伴有症状

严重的二尖瓣脱垂,伴有对合不良或瓣叶连枷征

风湿性瓣膜改变,伴有瓣叶活动受限、中央对合不良

曾患感染性心内膜炎

放射性心脏疾病引起的瓣叶增厚

中心性反流(反流面积>40%左房面积),或全收缩期偏心性反流

缩流颈≥0.7cm

反流容积≥60mL

反流分数≥50%

ERO≥0.40cm2

血管造影分级3-4+

中到重度左房扩大

左室扩大

静息或活动时可能存在肺动脉高压

C1:LVEF>60%,且LVESD<40mm

C2:LVEF≤60%,且LVESD≥40mm

D

严重MR,伴有症状

同上

同上

中到重度左房扩大

左室扩大

存在肺动脉高压

活动耐量下降劳力性呼吸困难

缩写:ERO,有效反流口面积;LVEF,左室射血分数;LVESD,左室收缩末期直径;MR,二尖瓣反流)


继发性二尖瓣反流受血流动力学改变的影响而发生动态改变。应在左心室前、后负荷适合的情况下确定MR的严重程度。继发性重度二尖瓣反流阈值比原发性二尖瓣反流低[25]。然而,与左心室功能不全相比,二尖瓣反流是否独立影响预后尚不清楚。到目前为止,减少继发性二尖瓣反流对患者预后是否有益尚未证实。CPB前TEE有助于判断CPB后左室流出道梗阻的倾向。有研究报道二尖瓣后叶/前叶长度比>1.3,二尖瓣叶对合点-室间隔距离≤ 2.5 cm,以及不对称的基底隔肥大均与LVOT 梗阻风险相关


表22继发性二尖瓣反流分期评估要点

分期

定义

膜解剖结构

瓣膜血动力学

相关心脏异常(壁/腔/压)


A

有MR风险

基础存在冠心病或心肌病,瓣叶、腱索及瓣环正常

无反流或少量中心性反流(反流面积<20%左房面积)

缩流颈<0.3cm

左室大小正常或轻度扩大,伴有因既往心梗而持续存在或心肌缺血诱发的局部室壁运动异常

原发性心肌病,伴有左室扩大及收缩功能障碍

可出现因冠脉缺血或心衰而引起的症状,这些症状经再血管化治疗及合适的药物治疗后可有效改善

B

MR进展期

局部室壁运动异常,伴有轻度瓣叶牵张

瓣环扩大,伴有瓣叶中央轻度对合不良

ERO<0.20cm2

反流容积<30mL

反流分数<50%


局部室壁运动异常,伴有左室收缩功能下降

左室扩大,并伴有原发性心肌病所导致的收缩功能障碍

同上

C

严重MR,不伴有症状

左室扩大并引起瓣叶严重牵张,伴或不伴有局部室壁运动异常,瓣环扩大,伴有瓣叶中央严重对合不良

ERO≥0.20cm2

反流容积≥30mL

反流分数≥50%


同上

同上

D

严重MR,伴有症状

同上

同上

同上

由于MR所致的心衰症状持续存在,经再血管化治疗或优化药物治疗后仍难以改善

运动耐量下降

劳力性呼吸困难


16.1.3二尖瓣狭窄

二尖瓣狭窄可导致左心房压力增大,左心房扩大可以引起房颤,二尖瓣狭窄也可以引起血流淤滞从而导致左心房尤其是左心耳血栓发生率较高,因此经食道超声应除了基本评估外,应该重点评估左心房尤其是左心耳血栓情况,二尖瓣狭窄分期及评估要点[22, 27-28]详见表23。

表23 二尖瓣狭窄分期及评估要点(EAE/ASE)

分期

定义

膜解剖结构

瓣膜血动力学

血流动力学后果

(腔/壁/压)

A

高危期

舒张期二尖瓣叶轻度凸起

跨瓣流速正常


B

进展期

风湿性瓣膜对合处出现融合以及舒张期二尖瓣叶凸起

MVA>1.5cm2

跨瓣流速增加

MVA>1.5cm2

舒张期压力半降时间时间<150ms

轻到中度LA扩张

静息状态下肺动脉压正常

C

无症状重度狭窄期

风湿性瓣膜对合处出现融合以及舒张期二尖瓣叶凸起

MVA≤1.5cm2

(MVA≤1.0cm2为重度狭窄)

MVA≤1.5cm2(MVA≤1.0cm2为重度狭窄)

舒张期压力半降时间≥150ms

(舒张期压力半降时间≥220ms为重度狭窄)

重度LA扩张

PASP>30mmHg

D

有症状重度狭窄期

风湿性瓣膜出现融合以及舒张期二尖瓣叶凸起

MVA≤1.5cm2

(≤1.0cm2的重度狭窄)

MVA≤1.5cm2

(MVA≤1.0cm2的重度狭窄)

舒张期压力半降时间≥150ms

(舒张期压力半降时间≥220ms为重度狭窄)

重度左心房扩张

PASP>30mmHg

运动耐力减弱

劳力性呼吸困难

缩写:LA左心房;LV左心室;MVA二尖瓣面积;MS二尖瓣狭窄;PASP肺动脉收缩压


二尖瓣置换术患者也应从食管中段切面和经胃底切面评估左室功能,注意排除左回旋支受损。其他罕见的并发症包括邻近心腔(右心房、右心室、冠状窦、主动脉瓣窦)的医源性瘘或主动脉瓣的潜在损伤。舒张期二尖瓣平均跨瓣压差应在正常心率时评估,同时应考虑CPB后患者血红蛋白水平的影响。心率过快或严重贫血可显著增加舒张期血流,进而导致多普勒血流速度增快和舒张期平均压差升高。推荐二尖瓣狭窄严重程度的评估 [27-28]参照表24。


表24 二尖瓣狭窄严重程度超声评估(EAE/ASE)


瓣口面积(cm2)

压差(mmHg)

压力半降时间(ms)

肺动脉压峰值(mmHg)

正常

4-6

-

40-70

20-30

轻度

>1.5

<5

70-150

<30

中度

1.0-1.5

5-10

150-220

30-50

重度

<1.0

>10

>220

>50


16.2、主动脉瓣评价

主动脉瓣体包括左心室流出道、主动脉瓣和主动脉根部。主动脉瓣超声评估的切面包括:经食管中段五腔心切面、经食管中段左室长轴切面、经食管中段主动脉瓣短轴和长轴切面、经胃底左室长轴切面、经深胃底五腔心切面。同时应该仔细评估主动脉瓣体是否存在潜在的主动脉下、主动脉和瓣膜上梗阻。熟悉所有这些结构是很重要的,因为任何水平的阻塞或扩张最终都会影响主动脉瓣的功能。


16.2.1 主动脉瓣关闭不全

主动脉瓣关闭不全可由主动脉瓣尖的原发性疾病和/或主动脉根部和升主动脉几何结构异常引起。急性重度主动脉瓣关闭不全多由感染性心内膜炎引起,主动脉夹层引起较少见。主动脉瓣反流的机制可以类似于二尖瓣Carpentier分型分为:I型(瓣膜活动度正常)、II型(瓣膜活动度增加)和III型(瓣膜活动度受限)。


16.2.2主动脉瓣反流定量

主动脉瓣的反流分期评估要点详见表25,主动脉瓣反流严重程度超声评估[22,29]详见表26。

表25主动脉反流的分期及评估要点


什么叫超声容积探头围手术期经食管超声心动图监测操作的专家共识(可下载)_https://www.jmylbn.com_新闻资讯_第83张

表26主动脉瓣反流严重程度超声评估(ASE)

16.2.3主动脉瓣狭窄

主动脉瓣狭窄是目前常见的导致手术或导管介入手术的原发性瓣膜疾病。多普勒超声心动图是评估主动脉狭窄严重程度的首选技术。TEE确认主动脉狭窄的程度;评估瓣膜钙化程度、左心室功能和室壁厚度;检测其他相关瓣膜疾病尤其二尖瓣反流的情况是或主动脉病变的存在,并提供预后信息。主动脉瓣狭窄严重程度超声评估指标[27-28]见表27。

表27主动脉瓣狭窄严重程度超声评估(ASE)



主动脉硬化

轻度

中度

重度

峰值流速(m/s

≤2.5

2.6-2.9

3-4

4

平均压差(mmHg)

-

20

20-40

40

瓣口面积(cm2)

-

1.5

1.0-1.5

1.0

瓣口面积指数(cm2/m2)

-

0.85

0.6-0.85

0.6

速度比值

-

0.50

0.25-0.50

0.25

引自:Baumgartner H, et al. J Am Soc  Echocardiogr 2017;30:372–92

16.3. TEE评估三尖瓣

在主动脉瓣置换手术需要注意的是,瓣环径< 2cm的钙化主动脉瓣环可能需要进行广泛瓣环扩大术或自体心包瓣膜成形术,以放入足够大小的瓣环。如果存在明显的室间隔基底段增厚,可能会增加CPB后LVOT梗阻的风险,因此必要时考虑同时行室间隔基底段切除术。对于所有患者,尤其是同时存在主动脉瓣病变的二尖瓣病变患者,确认主动脉根部、升主动脉、主动脉弓的直径是考虑术中同时修复这些结构的重要因素。


三尖瓣在解剖学上和功能上都很复杂,由附着在纤维环、腱索和乳头肌上的三个瓣叶(前瓣、后瓣和隔瓣)组成。三尖瓣异常可以是解剖学的,如Ebstein畸形、三尖瓣发育不良、狭窄、起搏器导联导致的粘连、瓣叶连枷、复杂先心病的骑跨;或继发于右心系统的功能性异常(肺动脉高压、右室功能不全和扩张),或左心系统(各种原因导致的左房充盈压力升高和室间隔形态异常)功能障碍。


三尖瓣的标准TEE切面:食管中段四腔心切面、食管中段右室流入流出道切面、食管中段改良双房上下腔切面、冠状静脉窦切面、经胃底右心室短轴切面和经胃底右室流入道切面。三维TEE最佳切面通常是使用从右心房视角观察的经食管中段四腔心切面获得的,并且可以更好地明确三尖瓣功能障碍的机制。双平面二维成像和彩色多普勒血流图方法是有效和实时的方式。


16.3.1 三尖瓣反流

围手术期TEE评估三尖瓣反流要进一步明确三尖瓣反流的病因、分类、分期和分级,进一步确定外科手术的要点和围手术期循环管理要点。


原发性三尖瓣反流主要表现为器质性反流,病因可能是感染性心内膜炎(尤其是静脉吸毒者)、风湿性心脏病、类癌综合征、粘液瘤病、心内膜纤维化、Ebstein畸形和先天性瓣膜发育不良、药物所致的瓣膜疾病、胸部创伤和医源性瓣膜发育不全。围术期TEE应重点评估瓣叶的结构和三尖瓣开闭运动异常及程度。


继发性三尖瓣反流主要表现为功能性反流,通常瓣叶结构正常,压力和/或容量超负荷导致的右心室功能障碍引起。围术期TEE应重点评估三尖瓣瓣环的扩张、变形程度、右心室的大小、右室壁厚度、肺动脉和左心系统形态和功能异常程度。三尖瓣反流TEE评估的基本切面如图所示,分期和分级常用的参数及参考值如图21所示:


什么叫超声容积探头围手术期经食管超声心动图监测操作的专家共识(可下载)_https://www.jmylbn.com_新闻资讯_第84张

图21 三尖瓣反流TEE评估的目标切面

三尖瓣反流的分级可参照CPB前经TTE的定性、半定量和定量参数,结合术中肺动脉收缩压进行术中TEE评估[22],具体见表28。

表28三尖瓣反流程度分级(ASE)


轻度

中度

重度

定性

反流面积(cm2ab

<5

5-10

>10

彩色多普勒反流密度

弱抛物线形

高密度形状不定

高回声三角形

半定量

反流束面积

不确定

不确定

>7

缩流径a

<0.3

0.30-0.69

≥0.7

PISA半径(cm)c

≤0.5

0.6-0.9

≥0.9

肝静脉血流

S峰为主

S峰圆钝

负向S峰

三尖瓣前向血流

A峰

可变的

E峰

定量

有效反流口面积(cm2)

<0.20

0.20-0.39

≥0.4

反流容积(ml)

<30

30-44

≥45

Nyquist极限:a(50-70 cm/s),b不适用于偏心反流,c(28 cm/s);S:收缩期

引自:Zoghbi   W, et al. J am Soc Echocardiogr 2017;30:303–371









三尖瓣反流程度的分期及超声评估要点(见表29)。

表29三尖瓣反流分期及评估要点

分期

膜解剖结构

瓣膜血动力学

血流动力学后果

//压)

A存在TR风险

原发性:轻度风湿、脱垂;感染赘生物、早期类癌、放疗;导线、导管。功能性:正常/早期瓣环扩大

无反流

或微量反流

无症状或左心、肺、肺血管病变相关

B   TR进展

进展中的瓣叶退变/毁损;中-重度脱垂;局部腱索断裂。

功能性:早期瓣环扩大,瓣叶中度牵张

中心反流面积<5cm2;缩流颈界限不明;CW密度低,抛物线型。肝静脉血流收缩期低钝。

轻度TR:右房、右室大小和下腔直径正常。中度TR:右室不大,右房轻度增大或正常,下腔正常或轻度增宽,呼吸变异正常,右房压正常

同上

C严重TR无症状

瓣叶明显受损或连枷。功能性:瓣环显著扩张>40mm或21mm/m2;瓣叶重度牵拉

中心反流面积>10cm2;缩流颈>0.70cm;CW密度大,收缩早期三角型改变。肝静脉血流收缩期逆流。

右房、右室及下腔静脉扩张,下腔呼吸变异减低;右房压升高,C-v波出现;舒张期室间隔变平;

同上

D严重TR有症状

同上

同上

晚期右室收缩功能减低,余同上

乏力、心悸、呼吸困难、腹胀、食欲不振、水肿







什么叫超声容积探头围手术期经食管超声心动图监测操作的专家共识(可下载)_https://www.jmylbn.com_新闻资讯_第85张
十七、TEE在先心病手术中的应用
什么叫超声容积探头围手术期经食管超声心动图监测操作的专家共识(可下载)_https://www.jmylbn.com_新闻资讯_第86张

先天性心脏病根据病理生理特征可有多种分型方法,如根据有无右向左分流方向可分为非紫绀型与紫绀型,根据肺动脉血流量多少可分为“肺充血型”和“肺缺血型”(表30)。常见先心病包括房间隔缺损、肺静脉异位、室间隔缺损、动脉导管未闭等。

表30先天性心脏病按肺动脉血流分型

肺动脉血流/典型表现

“肺充血”型

“肺缺血”型

常见疾病

VSDPDA

法洛四联症

肺动脉高压

常见

少见

体肺侧枝循环

少见

常见

艾森曼格综合征

晚期可见

罕见

鱼精蛋白反应

常见

罕见

左心扩大

常见(除外ASDAPVD

少见

以肺充血为主要表现的先天性心脏病包括:房间隔缺损,肺静脉异位引流,室间隔缺损,动脉导管未闭等疾病。早期表现为左向右分流,图22为常见跨肺分流病理生理思维导图。

什么叫超声容积探头围手术期经食管超声心动图监测操作的专家共识(可下载)_https://www.jmylbn.com_新闻资讯_第87张

图22常见“跨肺分流”先心病病理生理分析思维导图

(注:①肺静脉异位引流APVD ,②房间隔缺损ASD,③室间隔缺损 VSD,④动脉导管未闭 PDA)


肺充血后血管床扩张,胸片常见肺纹理增多,容易发生感染和急性肺动脉高压危象,体外循环术后容易发生鱼精蛋白过敏,严重者甚至会发生心脏停搏。房间隔缺损、室间隔缺损、动脉导管未闭的患者长期肺充血可导致肺动脉高压,肺小动脉管壁增厚、闭塞直至艾森曼格综合征。艾森曼格综合征的患者行剖宫产手术时要注意维持体循环阻力和血容量,降低肺循环阻力。


以“肺缺血”为主要表现的先天性心脏病有:法洛氏四联症、肺动脉闭锁等。这类疾病肺血管床发育差,胸片肺纹稀疏,早期表现为右向左分流,术中血氧饱和度下降的常见原因是体循环阻力下降,右向左分流增加,肺血减少,如遇到右室流出道动力性梗阻,会出现严重的低氧血症,称为缺氧发作。“肺缺血”的先心病通常无肺动脉高压,不易发生鱼精蛋白过敏,不发生艾森曼格综合征,左房压低,左心室容积偏低,术后需要避免容量过负荷。侧枝循环在术后常会带来间质性肺水肿在矫正肺动脉狭窄/闭锁的同时行侧枝封堵。


什么叫超声容积探头围手术期经食管超声心动图监测操作的专家共识(可下载)_https://www.jmylbn.com_新闻资讯_第74张
【小结】
什么叫超声容积探头围手术期经食管超声心动图监测操作的专家共识(可下载)_https://www.jmylbn.com_新闻资讯_第89张

TEE监测要根据临床和教学的实际需要制定标准和规范,并持续改进,学科之间的协作已经成为TEE超声检查临床、教学、科研、管理工作的新特点,不仅有超声学会和麻醉学会两个学科之间的协作,也有包括心脏学会在内的三个学科之间的协作,TEE临床推广与各学会的专科准入制度的结合。


围手术期经TEE检查要在临床中实现规范化、标准化,基本的基本思路是:发现TEE影像的特征,建立个体化的病理生理学模型,结合相关诊疗经验和循证医学证据进行术中诊疗决策,管理和控制围手术期风险。


对于非心脏专科麻醉医师,超声快速监测和评价心血管功能将使危重病人和重、大手术的围手术期管理变得更加安全,对心血管专科麻醉医师和ICU医师,TEE在围手术期能提供有关心脏及大血管结构与功能的实时动态信息,有助于帮助手术团队进一步明确术前诊断,发现新的形态及功能异常,调整麻醉和外科、急危重症的决策,评估、监控手术风险、随访手术效果。

 

附录1【术中TEE监测记录单】

日期:   年   月  日

什么叫超声容积探头围手术期经食管超声心动图监测操作的专家共识(可下载)_https://www.jmylbn.com_新闻资讯_第90张

培训医生:                指导老师:


本次指南致谢名单:

陈明静  周文英  李萍  陈皎  岳建民  王馨  林静

推荐阅读:

《职称改革来了,送给每一个需要晋升的朋友(收藏起来,早晚用得上!)》

请点击文章开头蓝色字体“麻醉MedicalGroup”或者长按扫描文末二维码后回复关键字“超声监测”,即可下载专家共识


学术文章、科普文章约稿:

麻醉MedicalGroup全国性学术、科普平台,文章可同步刊登在今日头条、腾讯新闻、百度以及人民日报等平台。总粉丝30万+,年阅读量一亿人次+。文章请发送至59090929@qq.com或添加微信weitiegang999

什么叫超声容积探头围手术期经食管超声心动图监测操作的专家共识(可下载)_https://www.jmylbn.com_新闻资讯_第91张

动动手指转发,让大家多了解麻醉科,多理解麻醉科~