什么叫桡鞘畅疗·第十五期|畅医达 5F 0.072''导管鞘助力经桡动脉脑保护伞下颈动脉支架置入术一例

新闻资讯2026-04-23 16:58:02
什么叫桡鞘畅疗·第十五期|畅医达 5F 0.072
什么叫桡鞘畅疗·第十五期|畅医达 5F 0.072

本期介绍


近年来,随着神经介入技术的普及与发展,材料学的进步,经桡动脉入路越来越多的应用于临床血管内治疗。经桡动脉入路行脑血管介入治疗的通路构建至关重要,需考虑患者血管条件、器械种类型号以及术者熟练程度等因素。

本期分享安阳市人民医院张建刚教授、孙科教授使用畅医达 5F 0.072''导管鞘助力经桡动脉脑保护伞下颈动脉支架置入术一例。




病史信息



  • 患者信息:男性,78岁。

  • 主诉:头晕,行走不稳7小时。

  • 现病史:7小时前无明显诱因出现头晕,持续不好转,伴走路不稳,不伴头痛、意识障碍、恶心、呕吐、视物旋转、言语不利等症状。门诊以“脑梗死”为诊断收入我科。

  • 既往史:既往体健。

  • 专科查体:神志清楚,伸舌居中,双侧鼻唇沟对称,四肢肌力、肌张力正常,双侧巴氏征阴性,共济、感觉查体正常。



治疗过程



入院后给予阿司匹林100mg+氯吡格雷75mg,强化阿托伐他汀40mg,症状仍反复发作逐渐加重,给予盐酸替罗非班6ml/h持续静脉泵入后症状稳定。NIHSS评分:0分。

6月18日


入院时DWI未见明显异常。

什么叫桡鞘畅疗·第十五期|畅医达 5F 0.072

MRA

什么叫桡鞘畅疗·第十五期|畅医达 5F 0.072

6月24日


DWI提示右侧半球多发点状新发梗死。

什么叫桡鞘畅疗·第十五期|畅医达 5F 0.072

6月27日


CTP

什么叫桡鞘畅疗·第十五期|畅医达 5F 0.072
什么叫桡鞘畅疗·第十五期|畅医达 5F 0.072
什么叫桡鞘畅疗·第十五期|畅医达 5F 0.072

CTA

什么叫桡鞘畅疗·第十五期|畅医达 5F 0.072
什么叫桡鞘畅疗·第十五期|畅医达 5F 0.072

病情变化


6月27日19:00左右,患者出现发热,体温38.5℃,左侧肢体无力症状加重,肌力0级,NIHSS评分12分。急诊行经桡动脉脑保护伞下颈动脉支架置入术。



术前诊断



  1. 急性脑梗死

  2. 右侧颈内动脉起始段重度狭窄



术前讨论及治疗策略



手术指征:

强化药物治疗后,症状逐渐加重,CTP示右侧半球大面积低灌注区。

手术策略:

急诊局麻行经桡动脉脑保护伞下颈动脉支架置入术

入路选择:

右侧桡动脉入路



手术材料



  • 7F 薄壁鞘

  • 畅医达 Calvada 5F 内腔0.072'' 90cm 导管鞘

  • 125cm 5F 西蒙Ⅱ导管

  • 0.014'' 200cm 微导丝

  • 2.5mm×15mm、4.0mm×30mm 球囊扩张导管

  • 5.0mm 一次性栓塞保护伞

  • 7mm×40mm 颈动脉支架



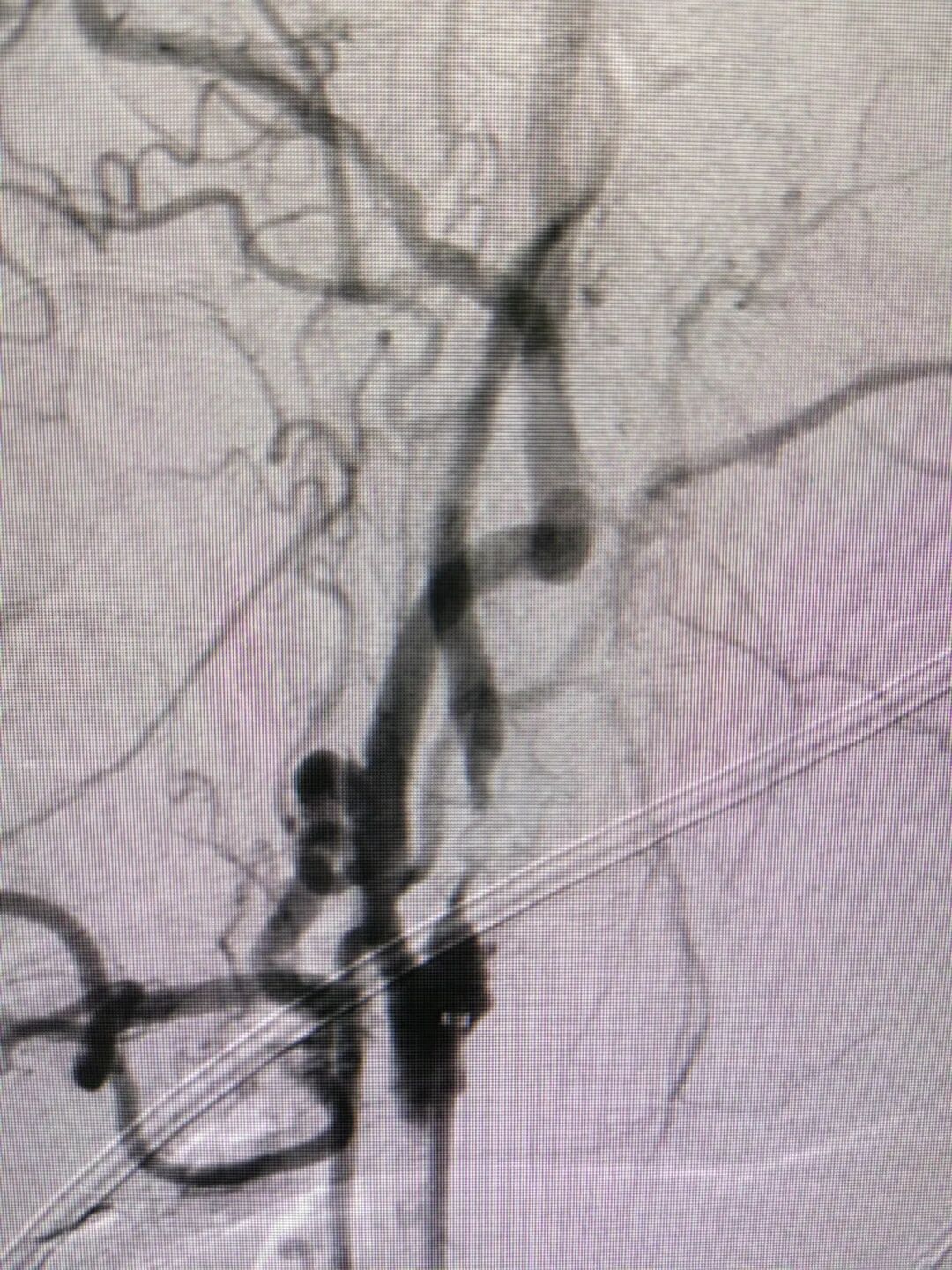
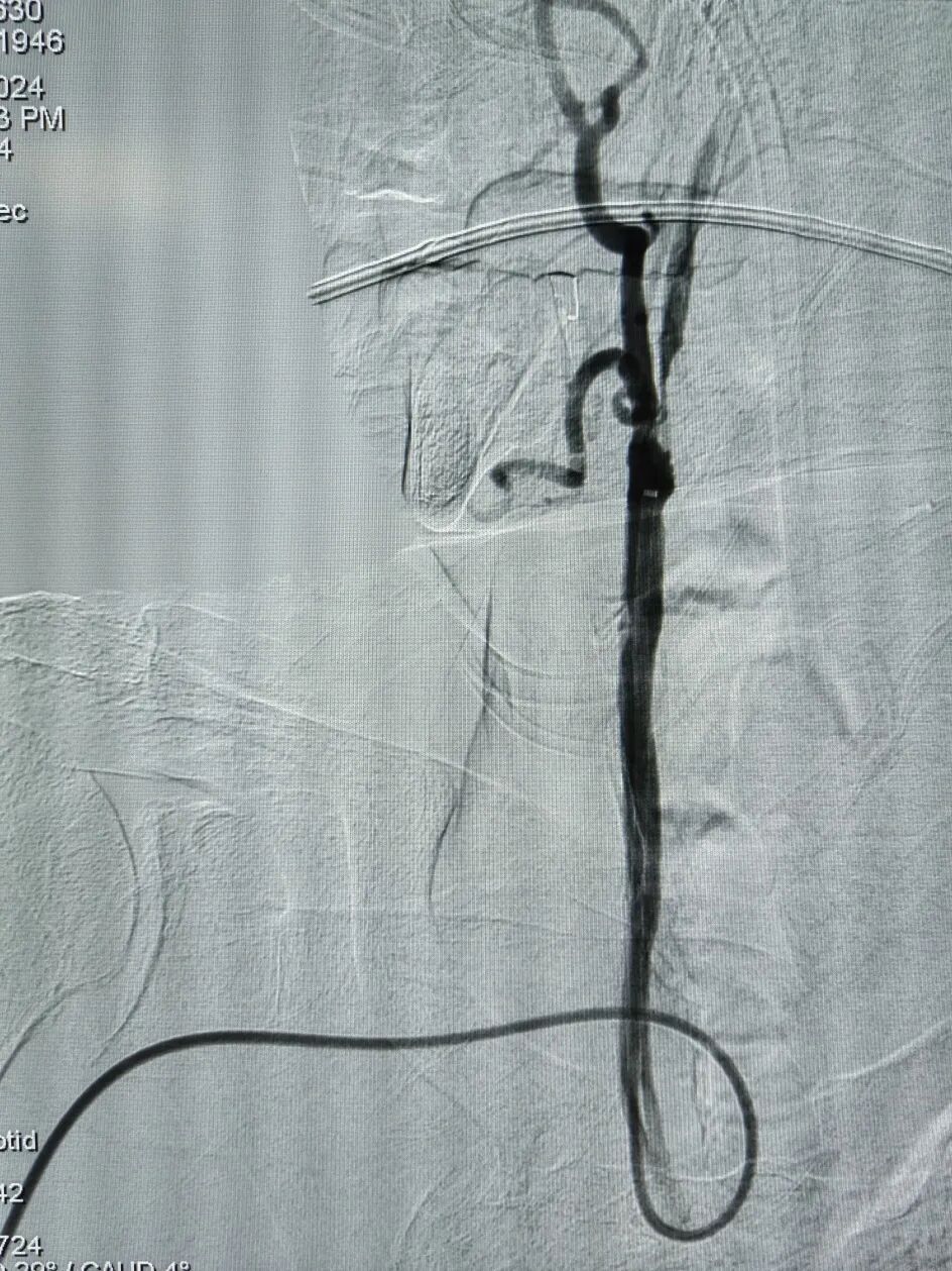
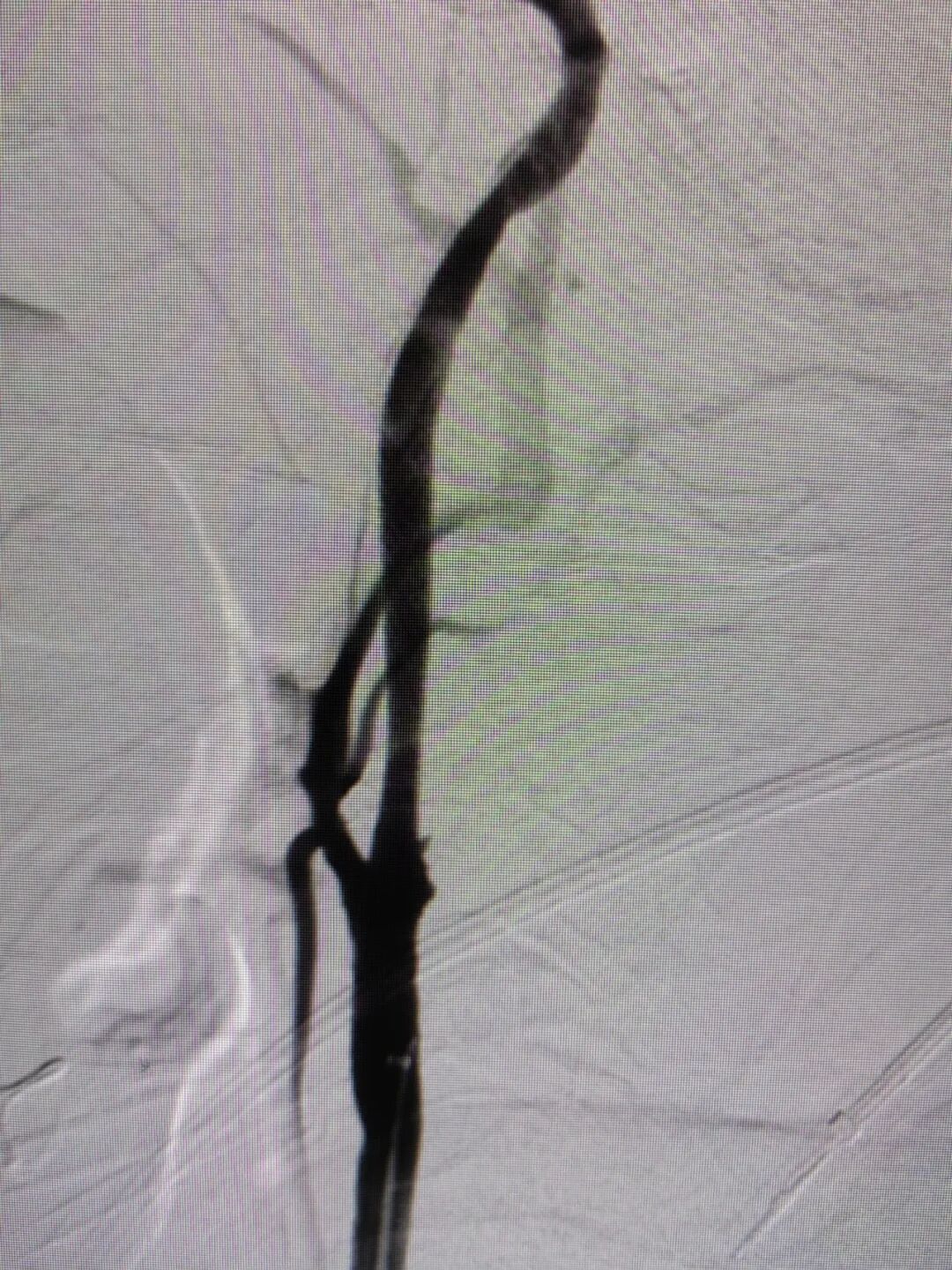
手术过程



经右侧桡动脉穿刺置入7F 薄壁鞘,畅医达 Calvada 5F 内腔0.072'' 导管鞘同轴125cm 5F 西蒙Ⅱ导管,在0.035'' 导丝引导下顺利到达右侧颈总动脉远端,小球囊预扩后,送入5mm 保护伞,4.0mm×30mm 球囊扩张后置入7mm×40mm 颈动脉支架。

什么叫桡鞘畅疗·第十五期|畅医达 5F 0.072
什么叫桡鞘畅疗·第十五期|畅医达 5F 0.072
什么叫桡鞘畅疗·第十五期|畅医达 5F 0.072
什么叫桡鞘畅疗·第十五期|畅医达 5F 0.072

术后影像


术后患者神志清楚,左侧肢体肌力4级,NIHSS评分:3分。

什么叫桡鞘畅疗·第十五期|畅医达 5F 0.072


总结




畅医达 5F 0.072''导管鞘头端柔软高到位,近端强支撑,能顺利过主动脉弓,内腔足够大,兼容大部分颈动脉支架。

畅医达 5F 0.072''导管鞘可配合7F 薄壁鞘,同轴临床经桡常用的5F 西蒙Ⅱ导管,为经桡动脉手术提供稳定的血管通路。


术者介绍

什么叫桡鞘畅疗·第十五期|畅医达 5F 0.072

张建刚

安阳市人民医院

安阳市人民医院卒中病房主任,主任医师,医学博士,新乡医学院硕士生导师,河南省抗癫痫学会常务委员,河南省重症脑血管病专业委员会副主任委员,河南省脑卒中学会介入分会委员,河南省急诊医学分会心脑血管急症专业学组委员,安阳市医学会神经内科学分会神经介入学组副组长,安阳市医学会神经内科学分会癫痫学组副组长。1996年毕业于河南医科大学医疗系,2006年-2011年在重庆医科大学硕博连读并取得博士学位。2015年3月-6月在河南省人民医院进修神经介入。擅长各种癫痫的诊断与治疗,并且擅长急性脑血管病的诊治,可独立开展多种神经介入手术,获得河南省科技进步二等奖一项,安阳市科技进步二等奖一项,撰写论文20余篇,参与国家自然科学基金面上项目一项。


什么叫桡鞘畅疗·第十五期|畅医达 5F 0.072

孙科

安阳市人民医院

医学硕士,副主任医师。安阳市人民医院神经内科卒中病区副主任。河南省医师协会神经介入专业委员会首届急性缺血性卒中血管内治疗学组委员,河南省神经免疫青年专业委员会常委。发表论文5篇,其中核心期刊1篇,国家级期刊4篇。

诊疗专长:急性缺血性脑血管病的溶栓、取栓治疗,颅内血管狭窄的临床、影像诊断及介入、综合治疗。

什么叫桡鞘畅疗·第十五期|畅医达 5F 0.072

江苏畅医达医疗科技有限公司涉及神经介入、神经调控两大治疗方向,覆盖出血性脑卒中、缺血性脑卒中,外周神经刺激、深部脑神经刺激、皮层感知深脑刺激等多个疾病领域,是国内唯一在神经科学赛道全线规划布局的公司。

神经介入领域,畅医达医疗具备行业内手工编织和高端机械编织双重能力。先后启动了血流导向装置和编织辅助支架的临床研究,即将启动缺血性脑卒中临床试验,和第三个出血性脑卒中重量级临床研究-瘤内扰流器械临床试验。

神经调控领域,国内首款经皮外周神经刺激系统(PNS)将为中国千万疼痛病患提供新的安全有效的疗法。畅医达医疗不仅具备国际前沿的无线DBS研发技术,同时在神经调控智能双向交互领域、脑-机接口技术等方面有着显著的研究成果,代表着中国的神经调控技术将进入全新的提速时代。

点击关注

招商热线:(021) 2097 7396*809

商务邮箱:CEDHealthcare@neulive.cn‍‍

© 版权声明

严禁任何媒体、网站或个人在未经授权的情况下转载或以其他方式复制发布/发表本文内的文字、图片、视频等资料。已经协议授权的媒体、网站或个人,在使用时必须注明来源,违者将依法追究责任。

△ 特别说明

本页面所包含的文字、图片、音视频等内容仅供医学专业人士参考。本页面所包含的内容,仅为专家个人观点,不能代替医疗专业人士的判断。本页面不向非医学专业人士开放,敬请理解。





觉得内容还不错,点个“在看”呗

什么叫桡鞘畅疗·第十五期|畅医达 5F 0.072
什么叫桡鞘畅疗·第十五期|畅医达 5F 0.072