什么叫桡鞘Epath®长鞘经桡入路丨冯军教授团队:Epath®长鞘经桡入路行颈动脉狭窄CAS术一例

新闻资讯2026-04-23 16:57:25






什么叫桡鞘Epath®长鞘经桡入路丨冯军教授团队:Epath®长鞘经桡入路行颈动脉狭窄CAS术一例_https://www.jmylbn.com_新闻资讯_第1张

Epath®长鞘

什么叫桡鞘Epath®长鞘经桡入路丨冯军教授团队:Epath®长鞘经桡入路行颈动脉狭窄CAS术一例_https://www.jmylbn.com_新闻资讯_第2张

CASE

本期病例

 什么叫桡鞘Epath®长鞘经桡入路丨冯军教授团队:Epath®长鞘经桡入路行颈动脉狭窄CAS术一例_https://www.jmylbn.com_新闻资讯_第3张

术者:沈寅

华中科技大学同济医学院附属协和医院

华中科技大学同济医学院附属协和医院神经外科,主治医师,讲师。毕业于华中科技大学同济医学院,获博士学位后从事临床一线工作至今。擅长神经外科常见疾病的诊断治疗,在颅脑外伤,各种颅内肿瘤及脑血管病方面具有较丰富的经验,专攻经上肢血管入路行脑血管介入治疗。曾以一作或共同一作身份在《Current Medicinal Chemistry》《World neurosurgery》《Current Alzheimer Research》等多家杂志发表SCI文章。

 什么叫桡鞘Epath®长鞘经桡入路丨冯军教授团队:Epath®长鞘经桡入路行颈动脉狭窄CAS术一例_https://www.jmylbn.com_新闻资讯_第4张

指导专家:冯军

华中科技大学同济医学院附属协和医院

华中科技大学同济医学院附属协和医院神经外科,副教授,硕士研究生导师。湖北省卒中学会青年委员会副主任委员、国家脑防委出血性疾病防治专家委员会委员、中国医师协会脑血管病复合手术分会委员、中国卒中学会复合介入神经外科分会委员、中国研究型医院学会神经微侵袭治疗专业委员会委员、湖北省卒中学会理事、湖北省卒中学会神经外科分会常务委员、湖北省脑血管病防治学会神经介入专委会常务委员、武汉医师协会神外分会脑血管专业组副组长。 

01

病例资料

患者男性,53岁。

主诉:“左侧颞叶梗塞后一月余” 入院;

神经系统查体:未见明显阳性体征;

外院DSA:左侧颈内动脉起始部狭窄;。

诊断:

  • 脑梗死恢复期;

  • 左侧颈动脉狭窄。

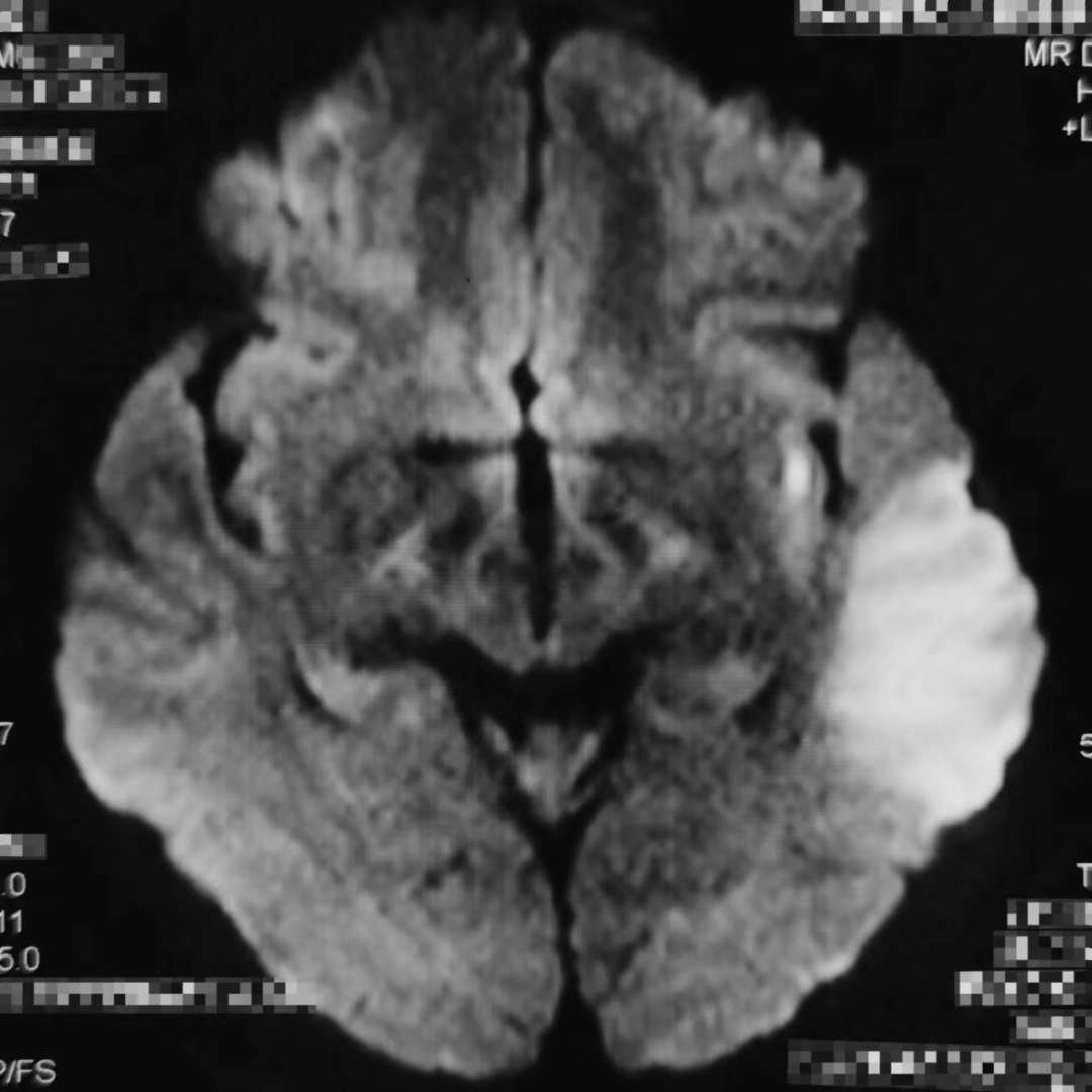
什么叫桡鞘Epath®长鞘经桡入路丨冯军教授团队:Epath®长鞘经桡入路行颈动脉狭窄CAS术一例_https://www.jmylbn.com_新闻资讯_第5张

脑部MR示:左侧颞叶梗塞灶

什么叫桡鞘Epath®长鞘经桡入路丨冯军教授团队:Epath®长鞘经桡入路行颈动脉狭窄CAS术一例_https://www.jmylbn.com_新闻资讯_第6张

DSA示:牛角弓,左侧颈内动脉起始部狭窄

02

手术策略

  • 患者左侧颈动脉狭窄,狭窄程度>50%,合并既往左侧颞叶梗塞,具备明确手术指征;患者拒绝行颈动脉CEA手术,要求选择CAS术;患者主动脉弓形为牛角弓,经股建立通路较繁琐,适于经桡建立左侧颈动脉通路;

  • 患者术前B超示右侧桡动脉直径>2.5mm,具备置入6F长鞘的可能性,而6F长鞘可兼容全品牌全系列颈动脉支架。

03

主要器械

  • 6F Epath长鞘

  • 6*30mm球囊

  • 7*40mm Wallstent支架

04

手术过程

置入泥鳅导丝后退出短鞘,交换6F Epath长鞘在路图下上行至右侧锁骨下动脉。

什么叫桡鞘Epath®长鞘经桡入路丨冯军教授团队:Epath®长鞘经桡入路行颈动脉狭窄CAS术一例_https://www.jmylbn.com_新闻资讯_第7张
什么叫桡鞘Epath®长鞘经桡入路丨冯军教授团队:Epath®长鞘经桡入路行颈动脉狭窄CAS术一例_https://www.jmylbn.com_新闻资讯_第8张

利用导丝直接超选左侧颈总动脉开口并将导丝头端置于左侧颈外动脉,引导Epath上行至左侧颈总动脉主干。

保护伞上行越过狭窄段并打开,经尾丝引入6*30mm球囊至狭窄处扩张至8atm。

什么叫桡鞘Epath®长鞘经桡入路丨冯军教授团队:Epath®长鞘经桡入路行颈动脉狭窄CAS术一例_https://www.jmylbn.com_新闻资讯_第9张

排空球囊后造影示狭窄改善明显,撤出球囊后交换7*40mm Wallstent支架至病变部位打开。

造影示支架打开良好,贴壁良好,病变节段覆盖完全,回收保护伞,再次造影示远端终末血管无栓塞,撤除治疗系统,手术结束。

什么叫桡鞘Epath®长鞘经桡入路丨冯军教授团队:Epath®长鞘经桡入路行颈动脉狭窄CAS术一例_https://www.jmylbn.com_新闻资讯_第10张


经桡入路行颈动脉CAS术的常见难点

经桡入路行颈动脉CAS术对患者通路血管有较高的要求,桡动脉远较股动脉为细,一般要求穿刺处桡动脉直径>2.5mm,且通路血管不能过于迂曲或合并变异(如高位桡动脉);即使通路血管满足要求,置入较粗的通路导管也会大大增加术中桡动脉痉挛及术后桡动脉闭塞的概率,因此选择亲水性强且薄壁大内腔的导管能减少对血管的刺激,操作过程中也应尽量减少反复进退导管的动作;

一般而言,较粗的通路导管转弯半径大,柔顺性较差,如何跨越主动脉弓反向弯进入目标血管是一大难点,若选择长鞘做为通路,则必须使用高性能长鞘(柔软头端设计);使用直径>7F的导管进入桡动脉,拔管时都可能出现导管抱死无法退出体外的情况,在局麻环境下用力拔管会引起患者明显疼痛,我们的经验是充分使用血管解痉药物,嘱患者放松,必要时皮下多点注射局麻药物,多可顺利拔管。

通路导管的选择及Epath的特点:若要兼顾全部所有尺寸的颈动脉支架,则一般要求通路导管的内径在0.078in以上,即至少选择7F导管建立通路,长鞘在明显迂曲的血管内易折,因此选择合适的弓上血管类型和抗折性强的导管非常重要;

Epath高性能长鞘,具备2.73mm外径,.089in大内腔,头端4cm柔软段设计,7cm强亲水涂层,具有易插入、易输送、易撤除、过弯强、支撑稳、大内腔等特点,在经桡入路CAS术中做为通路导管具备显著优势。


手术小结



经桡入路颈动脉CAS术的通路构建至关重要,需考虑患者血管条件、器械种类型号以及术者熟练程度等因素;因支架规格限制,经桡CAS术一般选择7F导管或6F长鞘做为通路导管,但对导管的性能提出要求;Epath高性能长鞘具有易插入、易输送、易撤除、过弯强、支撑稳、大内腔等特点,在经桡入路CAS术中做为通路导管具备显著优势

什么叫桡鞘Epath®长鞘经桡入路丨冯军教授团队:Epath®长鞘经桡入路行颈动脉狭窄CAS术一例_https://www.jmylbn.com_新闻资讯_第11张

特别说明:本页面所包含的文字、图片、音视频等内容仅供医学专业人士参考。本页面所包含的内容,仅为专家个人观点,不能代替医疗专业人士的判断。本页面不向非医学专业人士开放,敬请理解。

什么叫桡鞘Epath®长鞘经桡入路丨冯军教授团队:Epath®长鞘经桡入路行颈动脉狭窄CAS术一例_https://www.jmylbn.com_新闻资讯_第12张
什么叫桡鞘Epath®长鞘经桡入路丨冯军教授团队:Epath®长鞘经桡入路行颈动脉狭窄CAS术一例_https://www.jmylbn.com_新闻资讯_第13张

觉得内容还不错,点个“在看”呗

什么叫桡鞘Epath®长鞘经桡入路丨冯军教授团队:Epath®长鞘经桡入路行颈动脉狭窄CAS术一例_https://www.jmylbn.com_新闻资讯_第14张
什么叫桡鞘Epath®长鞘经桡入路丨冯军教授团队:Epath®长鞘经桡入路行颈动脉狭窄CAS术一例_https://www.jmylbn.com_新闻资讯_第15张