乳腺dr能检查什么【科普】DR、CT、MR?放射科检查项目选哪个好?

新闻资讯2026-04-23 16:25:23

“放射科是临床医生的另一双眼睛。”因为放射科诊断一个病人不单单靠“形态学”,最常用到的是DRCTMR(核磁共振)。哪种疾病、什么情况下选用哪个项目检查比较合适,能达到诊断的目的又少花钱呢?下面,佛山市第五人民医院放射科主任蓝燚锋将围绕一些常见病、多发病,介绍一下如何精确选取这些检查项目。

一、DR:

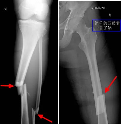
     如果四肢、脊柱等部位受到急性创伤,伴有突发急性疼痛或受伤后的慢性疼痛,一般会优先选择DR。
     观察四肢骨折比较直观(如下图分别为左胫腓骨骨折,左股骨骨折,用红箭头标明骨折处)
乳腺dr能检查什么【科普】DR、CT、MR?放射科检查项目选哪个好?_https://www.jmylbn.com_新闻资讯_第1张


二、CT:

     CT可以简单理解为X光的清晰加强版,经过X光片看不清楚,就可选择CT进一步细看。重要部位的CT检查,如:头颅、胸部、腹部、脊柱、骨盆等优于常规X光检查,尤其对肺部结节、淋巴结增大、气管狭窄等的诊断,早期肺癌的筛查等胸部疾病有重大诊断价值。(如下图所示为肺部恶性结节的部分CT征像)

乳腺dr能检查什么【科普】DR、CT、MR?放射科检查项目选哪个好?_https://www.jmylbn.com_新闻资讯_第2张

     CT检查对中枢神经系统疾病、头颈部疾病的诊断、大血管检查等也有很大的价值。如:急性脑出血、主动脉瘤动脉夹层、冠心病、肺动脉栓塞等急重症的检查尤为重要。(如下图为主动脉夹层CTA检查,能清晰显示主动脉血管的真腔和假腔情况)
乳腺dr能检查什么【科普】DR、CT、MR?放射科检查项目选哪个好?_https://www.jmylbn.com_新闻资讯_第3张

三、MR(核磁共振):
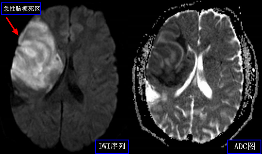
     软组织疾病如肌肉选核磁检查。MR与X线的成像原理不同,对软组织的分辨率远高于CT和X线,能用来观察神经、脊髓等椎管内软组织,因此可以用来检测和诊断中枢神经系统疾病、腰椎间盘后突。(如下图为急性脑梗死患者磁共振功能成像DWI,很容易发现梗死病变)
乳腺dr能检查什么【科普】DR、CT、MR?放射科检查项目选哪个好?_https://www.jmylbn.com_新闻资讯_第4张
     MR对病变组织的敏感度优于CT,尤其对于关节、肌肉、中枢神经系统等软组织的检查结构更清晰,是运动医学科最常用的检查的一个方法,它会观察半月板、韧带、软骨这些比较精细的软组织结构。(如下图为膝关节MR显示半月板撕裂情况)
乳腺dr能检查什么【科普】DR、CT、MR?放射科检查项目选哪个好?_https://www.jmylbn.com_新闻资讯_第5张

乳腺疾病:

     首选超声+钼靶,一般不选择CT。但是MRI平扫+动态增强协助乳腺疾病的判断,更容易发现病灶,并以病变的定性诊断提供更加有力的支持。(如下图为乳腺平扫、动态增强检查,显示恶性肿块征像)

乳腺dr能检查什么【科普】DR、CT、MR?放射科检查项目选哪个好?_https://www.jmylbn.com_新闻资讯_第6张

乳腺dr能检查什么【科普】DR、CT、MR?放射科检查项目选哪个好?_https://www.jmylbn.com_新闻资讯_第7张

     总之,选择什么样的影像检查项目一般由为您诊治的临床医生根据病情需要精确决定。佛山市第五人民医院放射科拥有高尖端影像设备,技术力量雄厚。承担着医院临床医疗、健康查体、科研教学等任务,特别在新冠肺炎疫情期间,放射科胸部CT作为排除新冠的关键检查,发挥着非常重要的作用。科室现有医务人员26人,其中主任医师2人,副主任医师8人,主治医师2人,主管技师3人,聘有高级专家担任医学顾问;拥有西门子1.5T核磁共振、联影UCT780、西门子16排螺旋CT、西门子DR、联影双板DR、西门子数字化胃肠机、联影乳腺钼靶DR、GE骨密度测量仪、联影床边DR等多台先进影像设备。

     当对检查方法的选择有疑问时,欢迎致电佛山市第五人民医院放射科医生:0757-86890249,我们将会为您提供客观而全面的分析、解答。


图、文:黄国鼎

审核:蓝燚锋

审改:陈仰新

相关 · 阅读

1. 少见病例|“冠状动脉起源异常”被放射科诊出

2. “谈癌色变”下的肺癌应对利器——低剂量螺旋CT技术助力肺癌早期筛查

乳腺dr能检查什么【科普】DR、CT、MR?放射科检查项目选哪个好?_https://www.jmylbn.com_新闻资讯_第8张

乳腺dr能检查什么【科普】DR、CT、MR?放射科检查项目选哪个好?_https://www.jmylbn.com_新闻资讯_第9张


乳腺dr能检查什么【科普】DR、CT、MR?放射科检查项目选哪个好?_https://www.jmylbn.com_新闻资讯_第10张

扫一扫二维码

即可关注我们

佛山市第五人民医院