乳腺cr是什么领军疗效高度,曲帕双靶治疗HER2阳性转移性乳腺癌达CR

新闻资讯2026-04-23 16:25:03
整理:肿瘤资讯
来源:肿瘤资讯

曲妥珠单抗+帕妥珠单抗双靶治疗开创了HER2+晚期乳腺癌(ABC)抗HER2治疗的疗效高度,已经成为HER2+ABC患者的标准一线治疗模式。皖南医学院弋矶山医院王亚兵教授董兵斌医生分享了一例HER2+乳腺癌病例,患者术后4年发生肝、骨转移,接受曲帕双靶一线治疗后病灶完全缓解(CR),证实双靶是抗HER2治疗的有力武器。

乳腺cr是什么领军疗效高度,曲帕双靶治疗HER2阳性转移性乳腺癌达CR_https://www.jmylbn.com_新闻资讯_第1张               
王亚兵
主任医师、副教授、硕士研究生导师

皖南医学院弋矶山医院甲乳外科科主任
中国抗癌协会甲状腺专业委员会青年委员
安徽省医学会乳腺病专业委员会常委

安徽省医学会外科学甲乳学组副组长
承担乳腺癌前哨淋巴结检测及临床应用省级科研项目多项,在省级及国家级期刊上发表论文十余篇。
擅长甲状腺,乳腺各类肿瘤手术,尤其在乳腺癌一期乳房再造及腔镜下甲状腺各类手术有较深造诣,在安徽省首先开展了腔镜下甲状腺癌根治联合功能性颈清扫术。

乳腺cr是什么领军疗效高度,曲帕双靶治疗HER2阳性转移性乳腺癌达CR_https://www.jmylbn.com_新闻资讯_第2张               
董兵斌
主治医师

皖南医学院弋矶山医院 

甲乳外科主治医师、医学博士
主要从事乳腺癌和甲状腺癌的基础和临床研究,发表论文多篇。                 

病史简介

患者,女,55岁,绝经后。

主诉:因“右乳癌术后4年余,复查示肝脏占位3天”入院。

查体:左乳未触及明显异常,右乳已切除,右侧胸壁见长约15 cm陈旧性手术瘢痕,双侧腋窝未触及肿大淋巴结。

家族史:无特殊

既往治疗:2017年3月乳腺彩超提示右乳外上象限见32 mm×20 mm×32 mm肿块,边界不清,BI-RADS 5类,右侧腋窝见多发肿大淋巴结,融合,较大的直径约21×12 mm。左乳及左侧腋窝未见明显异常。右乳肿物穿刺示浸润性导管癌Ⅱ级,神经见癌侵犯;免疫组化:ER(3+,80%)、PR(3+,30%)、C-erbB-2(3+)、Ki-67(+,30%)。临床分期 cT2N2M0 (Luminal B HER2阳性型)

2017年3~8月行EC-TH(表柔比星+环磷酰胺×4周期序贯多西他赛+曲妥珠单抗×4周期)方案新辅助化疗。

2017年9月行右乳癌改良根治术。术后病理:浸润性导管癌Ⅱ级,癌灶大小约1.5 cm×1.5 cm×1.2 cm;周边纤维组织增生伴泡沫细胞反应及钙盐沉积;其形态学改变符合新辅助化疗后MP3级;神经、脉管未见癌侵犯;乳头、底切缘及皮肤均未见癌组织累及;同侧腋窝找见淋巴结16枚,8枚见癌转移(8+/16);免疫组化:癌细胞 ER(3+,90%),PR(1+,5%),C-erbB-2(3+),Ki-67(+,8%)。新辅助化疗后病理分期:ypT1N2M0(Luminal B HER2阳性型)

2017年9月~2018年5月术后继续行曲妥珠单抗治疗满1年。2017年10月~11月行辅助放疗,并阿那曲唑内分泌治疗。

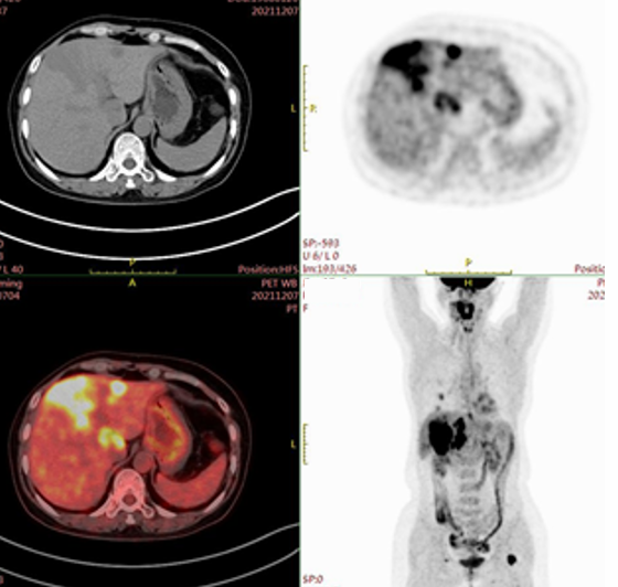
复发转移:2021年12月1日复查;腹部超声:肝脏实质内见多个大小不等的低回声团,较大的约46 mm×44 mm;余实质回声均匀。肿瘤标志物:CEA 8.63 ng/mL(参考范围0~5 ng/mL),CA15-3>300 U/mL (参考范围0~25 U/mL) 。2021年12月7日PET-CT肝脏多发转移灶,较大者较大截面约5.7×6.9 cm,边界欠清,FDG代谢增高,SUVmax=14.0;左侧股骨上端转移灶。2021年12月10日超声引导下行肝脏占位穿刺病理:肝脏组织中见中-低分化腺癌,结合免疫组化标记结果考虑为乳腺癌转移;免疫组化结果显示癌细胞C-erbB-2(3+),ER(1+,约20%),PR(-),Ki-67(+,约40%)。

 乳腺cr是什么领军疗效高度,曲帕双靶治疗HER2阳性转移性乳腺癌达CR_https://www.jmylbn.com_新闻资讯_第3张

图1.PET-CT

一线治疗:2021年12月~2022年5月行THP方案治疗(白蛋白紫杉醇260 mg/m2+曲妥珠单抗首剂8 mg/kg,后续6 mg/kg+帕妥珠单抗首剂840 mg,后续420 mg)。治疗过程中腹部MRI/CT显示肝部病灶逐渐减小,直至消失。CEA、CA15-3逐渐恢复正常。疗效评价:完全缓解(CR)

乳腺cr是什么领军疗效高度,曲帕双靶治疗HER2阳性转移性乳腺癌达CR_https://www.jmylbn.com_新闻资讯_第4张

图2.一线治疗中腹部MRI/CT

乳腺cr是什么领军疗效高度,曲帕双靶治疗HER2阳性转移性乳腺癌达CR_https://www.jmylbn.com_新闻资讯_第5张

图3.肿瘤标志物变化

家点评


珠联璧合,曲帕双靶治疗开创HER2+晚期乳腺癌治疗新时代

乳腺癌中HER2过表达比例约占20%~30%。曲妥珠单抗的出现是HER2+ABC治疗史上的里程碑,强力逆转了此类患者的不良预后,使得HER2+ABC患者的长期生存成为可能。之后,帕妥珠单抗的出现再次改写历史,为晚期患者打造了生存新高度。曲妥珠单抗和帕妥珠单抗可阻断HER2同源二聚体和异源二聚体,彻底抑制下游信号通路,阻断肿瘤细胞增殖生长。此外,二者合用具有更强的抗体依赖细胞介导细胞毒(ADCC)作用,可通过免疫作用促进肿瘤细胞的裂解凋亡,实现对HER2的全面阻断。


CLEOPATRA研究[1]证实了这一组合的高度有效性。研究入组808例HER2+ABC患者,随机接受曲妥珠单抗+帕妥珠单抗+多西他赛或曲妥珠单抗+安慰剂+多西他赛治疗。结果显示两组中位无进展生存期(PFS)分别是18.7个月vs 12.4个月(HR 0.69),中位总生存(OS)分别是57.1个月 vs 40.8个月(HR 0.69),双靶治疗将8年OS率提高14%。之后的PERUSE研究[2]再次复制这一优异结果,曲帕双靶联合紫杉类药物将PFS延长至20.7个月,将OS延长至65.3个月,使得HER2+ABC实现了慢病化,创造前所未有的长生存。


曲帕双靶的卓越疗效在中国患者中同样得以体现,PUFFIN研究[3]中,帕妥珠单抗组和安慰剂组的中位PFS分别是16.5个月 vs 12.5个月,帕妥珠单抗将疾病进展或死亡风险显著降低40%。结果显示中国患者同样可从曲帕双靶一线治疗中获益。该病例中,患者术后4年发生肝、骨转移,接受曲帕双靶一线治疗后病灶完全缓解,达到CR,证实了双靶一线治疗的疗效。


全面覆盖,双靶治疗为广泛人群带来获益

《中国临床肿瘤学会(CSCO)乳腺癌诊疗指南》[4]推荐根据曲妥珠单抗既往治疗情况将HER2+ABC患者分层。曲妥珠单抗新辅助治疗有效、辅助治疗结束1年以后复发或解救治疗有效后停药患者属于曲妥珠单抗在使用敏感人群,曲帕双靶治疗为其标准一线治疗方式。


CLEOPATRA研究[1]中,既往接受过曲妥珠单抗治疗的患者亚组中,PFS及OS获益和总人群一致,既往曲妥珠单抗治疗对患者结局无显著影响。此外,无论患者年龄、激素受体状况、转移部位等如何,各亚组接受双靶治疗均有一致获益,实现了获益人群的广泛覆盖。因此,双靶治疗成为国内外各大权威指南一致推荐的HER2+ABC患者优选一线治疗方案,期待其在临床实践中造福更多患者。

参考文献

[1] Swain SM, et al. Pertuzumab, trastuzumab, and docetaxel for HER2-positive metastatic breast cancer (CLEOPATRA): end-of-study results from a double-blind, randomised, placebo-controlled, phase 3 study. Lancet Oncol. 2020;21(4):519-530.

[2] Miles D, et al. Final results from the PERUSE study of first-line pertuzumab plus trastuzumab plus a taxane for HER2-positive locally recurrent or metastatic breast cancer, with a multivariable approach to guide prognostication. Ann Oncol. 2021;32(10):1245-1255.

[3] Xu B, et al. Pertuzumab, trastuzumab, and docetaxel for Chinese patients with previously untreated HER2-positive locally recurrent or metastatic breast cancer (PUFFIN): a phase III, randomized, double-blind, placebo-controlled study. Breast Cancer Res Treat. 2020;182(3):689-697.

[4] 中国临床肿瘤学会乳腺癌诊疗指南, 2022版.


责任编辑:肿瘤资讯-Hedy
排版编辑:肿瘤资讯-Awa

                   

版权声明
版权归肿瘤资讯所有。欢迎个人转发分享,其他任何媒体、网站如需转载或引用本网版权所有内容,须获得授权,且在醒目位置处注明“转自:良医汇-肿瘤医生APP”。

乳腺cr是什么领军疗效高度,曲帕双靶治疗HER2阳性转移性乳腺癌达CR_https://www.jmylbn.com_新闻资讯_第6张

乳腺cr是什么领军疗效高度,曲帕双靶治疗HER2阳性转移性乳腺癌达CR_https://www.jmylbn.com_新闻资讯_第7张