尿液中的上皮细胞来源于两方面,一是泌尿系统上皮细胞正常衰老、更新脱落;二是在受到疾病因素影响,导致泌尿系统上皮细胞损伤而脱落。包括了尿路上皮细胞、肾小管上皮细胞、柱状上皮细胞和鳞状上皮细胞。
21 年尿液检验有形成份名称与结果报告专家共识统一将尿移行上皮细胞改称为尿路上皮细胞,将原使用的移行上皮细胞表层(大圆上皮细胞)、移行上皮细胞中层(尾形上皮细胞或肾盂上皮细胞、纺锤形上皮细胞)和移行上皮细胞底层(小圆上皮细胞)统称为尿路上皮细胞,再根据其大小、形状、胞核和胞质的不同分类为表层、中层、底层尿路上皮细胞。
底层尿路上皮细胞 未染色 x1000

底层尿路上皮细胞 瑞吉染色 x1000
中底层尿路上皮细胞 未染色 x1000
中底层尿路上皮细胞大小,来源,临床意义相近,一般不明确划分。
中层尿路上皮细胞 瑞吉染色 x1000
中层尿路上皮细胞,表现为纺锤状、带尾状,胞核稍大偏于一侧,胞质颗粒感且明显细胞边界。

SM 染色 x1000
注:红色箭头为底层尿路上皮细胞;橙色箭头为中层尿路上皮细胞;蓝色箭头为表层尿路上皮细胞。
健康人尿液中可见,一般无临床意义。在尿液中大量出现时可能由于白带污染导致;大量出现伴白细胞升高时,提示尿道炎;大量出现且伴尿路上皮细胞增多,提示慢性膀胱炎。
中底层鳞状上皮细胞 未染色 x1000

表层鳞状上皮细胞 未染色 x1000
肾小管上皮细胞常单个脱落,极少成团脱落,形状表现为圆形、不规则形和多边形,胞核大、明显、圆形,核膜厚且清晰易见。
正常人尿液中偶见少量肾小管上皮细胞;增多提示肾小管损伤或坏死,如急性肾小管坏死、肾病综合征、肾小管间质性炎症等。部分实验室将尿液中出现大量肾小管上皮细胞作为「危急值」,当发现时应及时联系和告知临床,提示患者存在急性肾小管坏死等情况。
未染色 x1000
未染色 x400
注:急性肝衰竭伴急性肾功能损伤患者出现黄疸尿液,肾小管上皮细胞黄染。
柱状上皮细胞来源于男性尿道中段、前列腺及精囊等,女性来源于子宫颈及子宫体等。正常人尿液中罕见,大量出现提示慢性尿道炎、慢性膀胱炎或前列腺炎等。
柱状上皮细胞如其名,表现为圆柱状,上宽下窄,胞核偏于一侧,多位于中下底部,胞质表现为颗粒状或均质状。
瑞吉染色 x1000
图片来源:福建附属医科大学附属第一医院 陈彪
在外在因素刺激下,尿液中的上皮细胞中可出现颗粒、空泡及脂肪滴等变性,21 年尿液检验有形成份名称与结果报告专家共识里建议将脂肪颗粒细胞、复粒细胞和卵圆脂肪小体统称为脂肪颗粒细胞。
未染色时,呈淡黄色,折光性较强,脂肪滴可从细胞边缘溢出,体积大的脂肪颗粒可在偏振光显微镜下看到「马耳他十字」。苏丹 Ⅲ 染色脂肪颗粒被染成橘红色或黄红色。常见于慢性肾炎、肾梗死、充血性梗阻、糖尿病肾病、肾病综合征和泌尿系统肿瘤等。
苏丹 Ⅲ 染色 x400
当机体免疫抑制情况下,多瘤病毒在体内大量复制,感染多瘤病毒的肾小管上皮细胞或尿路上皮细胞脱落形成诱饵细胞。
21 年尿液检验有形成份名称与结果报告专家共识里提到重视诱饵细胞的报告,当发现尿液中存在疑似诱饵细胞时建议标本离心后染色鉴别,如 S 或 SM 活体染色法,均可以简单、快捷地鉴别诱饵细胞;当尿液中出现大量诱饵细胞时提示肾移植患者移植肾功能急剧下降甚至丧失,应及时报告临床,临床结合尿液 / 血液中多瘤病毒 DNA 核酸检测结果,及时调整治疗方案。
未染色 x1000
注:多瘤病毒大量复制,将原有核内物质挤压至边缘形成空泡。
瑞吉染色 x1000
瑞吉染色,细胞体积增大,胞核增大、致密,胞质比增高。瑞吉染色下这些都与尿液肿瘤细胞表现相近,容易被误认为肿瘤细胞,故称为诱饵 / 诱骗细胞。鉴别点在于肿瘤细胞瑞吉染色后胞质表现为蓝紫色,而诱饵细胞表现为紫红色。
当肾小管上皮细胞内大量沉积含铁血黄素颗粒或吞噬细胞吞噬大量含铁血黄素颗粒时,形成含铁血黄素颗粒细胞。含铁血黄素颗粒细胞表现为圆形、不规则形、多边形等;胞核少见;胞质可见大量粗糙地黄褐色含铁血黄素颗粒。铁染色后表现为蓝色。
铁染色 x1000
尿路上皮细胞在外在因素刺激下形成非典型尿路上皮细胞,这种改变可能是肿瘤性改变或非肿瘤性改变,常见外在因素包括结石、膀胱炎、前列腺增生、放化疗、肿瘤等。在报告临床时建议结合患者病历,避免过度诊断。
瑞吉染色 x1000
高级别尿路上皮肿瘤细胞按部位来源可分为:肾癌、肾盂癌、输尿管癌、膀胱癌(最常见);按上皮组织来源可分为尿路上皮癌(占 90% 以上)、肾腺癌(占 5% 左右,起源于肾小管,多为透明细胞癌;也可由肺、骨转移)、肾母细胞瘤、鳞癌、小细胞癌。
尿路上皮癌的发生与吸烟、接触芳香胺、埃及血吸虫感染、辐射和膀胱黏膜的慢性刺激等有关。吸烟可明显增加尿路上皮癌发病的危险性,是最重要的影响因素。
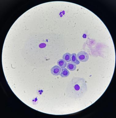
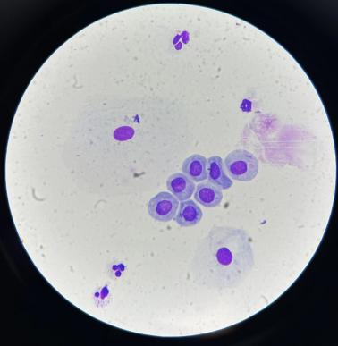
高级别尿路上皮肿瘤细胞表现为成堆或散在分布,异型性明显,胞核增大、畸形,核染色质分布不均呈粗块状,核膜不规则,核仁明显。
瑞吉染色 x1000
注:成堆分布,胞核增大、畸形,胞质空泡样改变,核质比升高,异型性明显,结合免疫组化结果考虑是尿路上皮癌伴腺样分化。
瑞吉染色 x1000
大小形状胞核等表现与正常尿路上皮细胞相似,是高分化的肿瘤细胞,通过形态学鉴别难度较高,一般不建议报告临床低级别尿路上皮肿瘤细胞。这个概念来源于 2016 年《尿液细胞学 TPS 报告系统》,但在 2022 年更新的 【The Paris System for Reporting Urinary Cytology 2022】中,已经完全删除低级别尿路上皮肿瘤的章节,并将其纳入高级别尿路上皮肿瘤细胞的阴性类别。
[1] 闫立志,郑磊,蔡绍曦。呼吸系统细胞学检验诊断图谱 [M]. 北京:人民卫生出版社,2022.
[2] 闫立志,张时民。活体染色法在筛查尿液诱饵细胞中的应用 [J]. 临床检验杂志,2020, 38 (10):3.DOI:10.13602/j.cnki.jcls.2020.10.04.
[3] 尚红,王毓三,申子瑜。全国临床检验操作规程 [M]. 人民卫生出版社,2015
[4] 李静芳,闫立志。尿液有形成分图谱精选 [M]. 云南科技出版社,2021.
[5] 中华医学会检验医学分会血液学与体液学学组. 尿液检验有形成分名称与结果报告专家共识 [J] . 中华检验医学杂志, 2021, 44(7) : 574-586. DOI: 10.3760/cma.j.cn114452-20210115-00038.